为什么要用到微导管操作演示:双腔微导管在重度扭曲病变中的使用,非常有效!

新闻资讯2026-04-17 14:11:54

本期主持:杨杨教授 江苏省人民医院


患者,男性,49岁,因“胸闷胸痛六天”入院。


诊断:

1. 冠状动脉粥样硬化性心脏病

           急性下壁心肌梗死

           Killip Ⅰ级 ;

2. 高血压病

3. 2型糖尿病

4. 痛风


该患者于2019年03月28日在外院(县级市医院和地区级医学院附属大医院)两次冠脉造影术及PCI治疗均没成功,过程如下:

为什么要用到微导管操作演示:双腔微导管在重度扭曲病变中的使用,非常有效!_https://www.jmylbn.com_新闻资讯_第1张
为什么要用到微导管操作演示:双腔微导管在重度扭曲病变中的使用,非常有效!_https://www.jmylbn.com_新闻资讯_第2张
为什么要用到微导管操作演示:双腔微导管在重度扭曲病变中的使用,非常有效!_https://www.jmylbn.com_新闻资讯_第3张
为什么要用到微导管操作演示:双腔微导管在重度扭曲病变中的使用,非常有效!_https://www.jmylbn.com_新闻资讯_第4张
为什么要用到微导管操作演示:双腔微导管在重度扭曲病变中的使用,非常有效!_https://www.jmylbn.com_新闻资讯_第5张


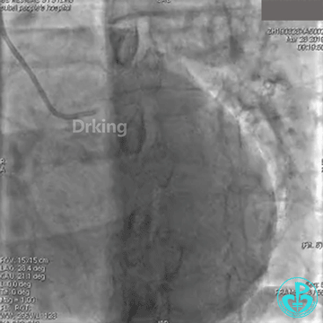
该患者近日转诊到江苏省人民医院,复查冠脉造影术,提示LCX近段扭曲严重(2处90度扭曲)的远段95%狭窄。当地医院市级及地区级医学院附属医院曾反复尝试,导丝均未能通过LCX近段扭曲处送至远段。


心内科冠脉病区主任王连生教授带领陈磊磊主任医师、杨杨和蔡娟医师一起讨论后,决定针对LCX病变行PCI术:

7F EBU指导导管到达左冠开口,把Sion导丝送至LAD远段,先后在微导管、双腔微导管、抽吸导管及2.5×20mm、3.0×15mm球囊堵闭LAD开口等各种技巧辅助支撑下,尝试Sion、BMW、Intuition、XT导丝反复塑形调整均未能通过LCX近段扭曲处送至远段。其间采用了球囊锚定、双腔微导管支撑、抽吸导管支撑、导丝塑成天鹅颈形状等技术。

为什么要用到微导管操作演示:双腔微导管在重度扭曲病变中的使用,非常有效!_https://www.jmylbn.com_新闻资讯_第6张
为什么要用到微导管操作演示:双腔微导管在重度扭曲病变中的使用,非常有效!_https://www.jmylbn.com_新闻资讯_第7张
为什么要用到微导管操作演示:双腔微导管在重度扭曲病变中的使用,非常有效!_https://www.jmylbn.com_新闻资讯_第8张
为什么要用到微导管操作演示:双腔微导管在重度扭曲病变中的使用,非常有效!_https://www.jmylbn.com_新闻资讯_第9张

经反复尝试失败后,发现由于LAD血管较粗,且LCX严重扭曲角度刁钻,而且不止一个高度弯曲(2处),以上技术实施时预进入LCX的导丝仍然会被弹入LAD。


此时反复看造影图,发现LCX有一支高位的小的OM,预想是否可以把导丝送至高位OM远段,再用双腔微导管辅助支撑下将另一根导丝通过严重扭曲处送至LCX远段呢?


以下是导丝成功通过严重扭曲病变的图:

为什么要用到微导管操作演示:双腔微导管在重度扭曲病变中的使用,非常有效!_https://www.jmylbn.com_新闻资讯_第10张
为什么要用到微导管操作演示:双腔微导管在重度扭曲病变中的使用,非常有效!_https://www.jmylbn.com_新闻资讯_第11张
为什么要用到微导管操作演示:双腔微导管在重度扭曲病变中的使用,非常有效!_https://www.jmylbn.com_新闻资讯_第12张
为什么要用到微导管操作演示:双腔微导管在重度扭曲病变中的使用,非常有效!_https://www.jmylbn.com_新闻资讯_第13张
为什么要用到微导管操作演示:双腔微导管在重度扭曲病变中的使用,非常有效!_https://www.jmylbn.com_新闻资讯_第14张
为什么要用到微导管操作演示:双腔微导管在重度扭曲病变中的使用,非常有效!_https://www.jmylbn.com_新闻资讯_第15张
为什么要用到微导管操作演示:双腔微导管在重度扭曲病变中的使用,非常有效!_https://www.jmylbn.com_新闻资讯_第16张
为什么要用到微导管操作演示:双腔微导管在重度扭曲病变中的使用,非常有效!_https://www.jmylbn.com_新闻资讯_第17张


最终结果:

把Sion导丝送至高位OM的远段,在双腔微导管的辅助支撑下,把BMW导丝通过LCX扭曲及病变处顺利送至远段,撤出双腔微导管,2.0×20mm球囊对病变处PTCA后狭窄减轻,于病变处植入2.75×23mm支架一枚,后分别用2.75×12mm、3.0×12mm球囊对支架内后扩,复查造影原病变处狭窄消失,TIMI血流三级。


冠脉严重扭曲病变导丝通过困难时,策略技巧如下:

1. 强有力的大腔支撑;

2. 导丝反复塑形,如该病例中导丝塑成天鹅颈形状;

3. 球囊封堵分支开口;

4. 微导管、抽吸导管、双腔微导管等辅助支撑与引导,尤其巧用分支血管利用双腔微导管也是一高招。


该病例由蔡娟&杨杨教授整理(江苏省人民医院)


Drking 道金医学


声明:本讨论来源于介入并发症群及其版权所有,转载请注明出处(专家姓名+Drking道金医学)。文内观点针对特定病例,不具备广泛临床指导意义,请勿简单模仿,以免对患者带来负面影响。对于盲目模仿文中方法带来的不良后果,Drking道金医学不负任何责任。

说明:文章中所使用的文字和图片如有侵权请告知,我们会第一时间撤回删除。

>> 本期编辑 | 杨斐 <<