微波针是什么“针芯”化结——厦门市中医院首例CT引导下肺结节微波消融

新闻资讯2026-04-24 02:39:50
微波针是什么“针芯”化结——厦门市中医院首例CT引导下肺结节微波消融_https://www.jmylbn.com_新闻资讯_第1张


谈“结”色变 不必恐慌

近年来,随着生活水平日益提升及肺部低剂量螺旋计算机断层扫描(LDCT)筛查的广泛应用,许多人被查出肺内小结节,有部分患者的结节表现为 “磨玻璃”样变,我们称之为玻璃结节(Ground Glass Opacity,简称GGO)。


而其中部分磨玻璃结节属于肺癌的早期影像改变,随之而来的是人们谈“结”色变。尤其是部分实性的磨玻璃结节,如不及时干预,部分磨玻璃结节有可能进一步发展为中晚期肺癌。

微波针是什么“针芯”化结——厦门市中医院首例CT引导下肺结节微波消融_https://www.jmylbn.com_新闻资讯_第2张

早期肺癌—晚期肺癌

微波针是什么“针芯”化结——厦门市中医院首例CT引导下肺结节微波消融_https://www.jmylbn.com_新闻资讯_第3张
微波针是什么“针芯”化结——厦门市中医院首例CT引导下肺结节微波消融_https://www.jmylbn.com_新闻资讯_第4张
微波针是什么“针芯”化结——厦门市中医院首例CT引导下肺结节微波消融_https://www.jmylbn.com_新闻资讯_第5张

2016年右肺下叶魔玻璃密度结节灶(早期肺癌)

2018年结节体积增大密度变实

2019年病灶体积进一步增大,并空泡形成

2022年形成软组织肿块并全身多发转移

(此病例患者虽有坚持做检查,但未提高重视,最终发展为晚期肺癌)


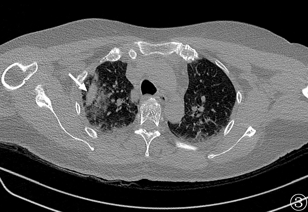
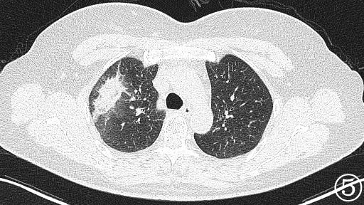
近日,51岁女性体检时发现肺部多发结节,最大一枚直径1.1cm,位于右肺上叶尖段并伴随着恶性影像征象(图①)。

微波针是什么“针芯”化结——厦门市中医院首例CT引导下肺结节微波消融_https://www.jmylbn.com_新闻资讯_第6张


厦门市中医院肿瘤与血管介入科廖良忠主任详细阅片后认为病灶尚处于肿瘤发展的早期阶段,病变发生淋巴结转移的可能性不大,患者本人拒绝外科手术,可以通过经皮穿刺微波消融术的方式来解决这个“坏家伙”,达到治愈的目的。


廖良忠主任带领廖健主治医师等介入团队,再与患者及家属充分沟通,征得患者同意后,行经皮肺穿刺活检同步微波消融术。




微波消融术是应用特制微波针经皮穿刺到病灶区域,利用针尖部位释放电磁波使病灶内的分子之间相互碰撞、摩擦,并在根据病灶大小的设定范围内使病灶发生凝固坏死而实现精准、根治的目的。


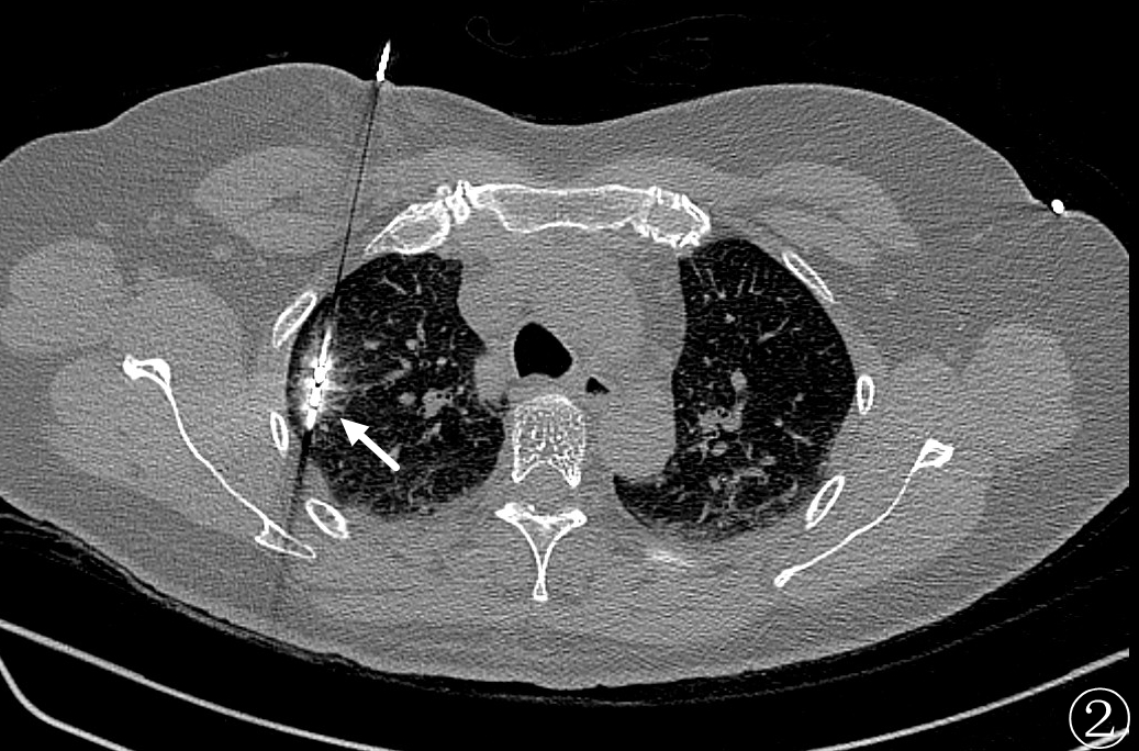
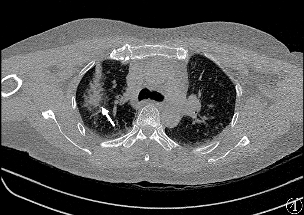
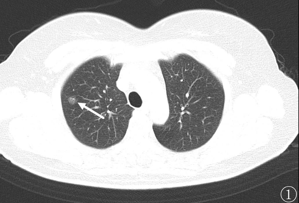
术前进行常规CT扫描确定消融区域及穿刺路径,局部麻醉后利用微波消融针,从体表定位点沿着穿刺路径逐层穿刺到达预定消融区域(图②),予以单次多点消融靶区,最后可见消融后靶区完全覆盖病变区域(图③、④)。手术过程仅耗时约1h,术中肺尖可见少量出血,未发现气胸及咯血等并发症,术后3天复查影像可见消融区完全覆盖病灶(图⑤),病人安然出院,从而达到治愈性消融的目的。

微波针是什么“针芯”化结——厦门市中医院首例CT引导下肺结节微波消融_https://www.jmylbn.com_新闻资讯_第7张
微波针是什么“针芯”化结——厦门市中医院首例CT引导下肺结节微波消融_https://www.jmylbn.com_新闻资讯_第8张
微波针是什么“针芯”化结——厦门市中医院首例CT引导下肺结节微波消融_https://www.jmylbn.com_新闻资讯_第9张
微波针是什么“针芯”化结——厦门市中医院首例CT引导下肺结节微波消融_https://www.jmylbn.com_新闻资讯_第10张



肺结节微波消融术优势:

  • 微创、安全性较高。微波针直径只有1.4mm左右,病人在局麻和清醒的状态下进行,具有“创伤小、出血少和痛苦轻”以及术后恢复快的特点。

  • 早期肺癌可以不开刀而达到治愈的效果。

  • 可重复。针对肺部多发恶性磨玻璃结节和各种手术后再发结节,微波消融可采取重复或一次多根消融针的办法进行治疗。

  • 对于年纪较大、不能耐受外科手术打击的患者尤为适用。


微波针是什么“针芯”化结——厦门市中医院首例CT引导下肺结节微波消融_https://www.jmylbn.com_新闻资讯_第11张
微波针是什么“针芯”化结——厦门市中医院首例CT引导下肺结节微波消融_https://www.jmylbn.com_新闻资讯_第12张

厦门市中医院介入诊疗科

  开展以下微创介入诊疗项目:

一、血管性疾病

(一)下肢静脉曲张:下肢曲张射频、泡沫硬化微创介入治疗;

(二)下肢静脉血栓:下腔静脉滤器植入、导管溶栓等微创介入治疗;

(三)下肢动脉狭窄闭塞、糖尿病足、肾动脉狭窄、髂动脉狭窄;髂静脉狭窄、髂静脉压迫综合征、布-加综合征等各种原因引起的动脉及静脉狭窄的微创介入治疗;

(四)肝硬化门脉高压症分流术(TIPS);肝硬化脾肿大功能亢进栓塞治疗;

(五)血管瘤与血管畸形微创介入治疗;

(六)胸腹主动脉瘤、假性动脉瘤、夹层动脉瘤等微创治疗;

(七)股骨头缺血性坏死血管融通微创介入治疗;

(八)急慢性创伤出血、消化道出血、呼吸道咯血、食道胃底静脉曲张破裂出血、产后大出血等血管栓塞治疗出血性疾病的微创介入治疗;

二、肿瘤性疾病:

(一)肝癌、肺癌、肾癌、膀胱癌、子宫恶性肿瘤、肠癌、胰腺癌、骨肿瘤、子宫肌瘤、肝血管瘤等良恶性微创介入治疗(栓塞、消融等);

(二)胆道梗阻、食道狭窄等各种肿瘤引起的腔道梗阻、出血、动静脉瘘等微创介入治疗;

(三)肿瘤的局部放射治疗(经皮穿刺放射性粒子植入术);

 三、妇产科学:

(一)子宫腺肌症、输卵管阻塞、子宫肌瘤等微创介入治疗

(二)盆腔淤血综合征;

(三)异位妊娠的介入治疗;


  肿瘤与血管介入治疗科门诊时间(厦门市中医院总院):

1. 血管与肿瘤介入门诊 周一至周五门诊二楼6诊室

2. 下肢静脉曲张微创治疗门诊  周一至周五门诊二楼6诊室


廖良忠: 主任医师,科主任,专长:从事医学影像诊断及介入治疗。特别在放射介入诊疗方面有较高的造旨:擅长肿瘤及非肿瘤疾病、外周血管疾病的介入诊疗。

曾德筠:医学硕士 副主任医师。专长:血管性疾病和肿瘤疾病微创治疗。专注下肢静脉曲张个性化微创治疗及肿瘤的微创治疗。

廖健:医学硕士  主治医师。专长:胸部影像诊断、胸腹部及周围软组织穿刺活检及消融治疗。

徐文海:医学硕士 住院医师。专长:擅长肿瘤与血管性疾病的诊断与介入微创治疗。

微波针是什么“针芯”化结——厦门市中医院首例CT引导下肺结节微波消融_https://www.jmylbn.com_新闻资讯_第13张