彩超伪像是什么超声伪像:折射伪像

新闻资讯2026-04-24 02:35:18

       从今天起,我们讲一些超声诊断中最基础的内容——超声伪像。

       超声伪像是由于各种原因导致的一些假的影像,这些假的影像可能会影响我们对病变的观察,有时候也可以帮助我们辅助诊断。

      超声伪像广泛存在于声像图的每个角落,产生的原因众多,大多数与超声波传播过程中的声束的方向、能量等非线性变化的特征有关,也有一些是由于制造工艺技术的限制导致的。

       今天先讲一讲折射伪像。

       折射伪像非常常见。超声声束在经过声阻抗有显著差别的界面时,声束就会发生折射。界面两侧的介质的声阻抗差别越大,这种折射就越显著,同时,折射还与界面与声束的夹角有关。

      折射导致的声束的传播方向发生弯曲,但是,超声仪器在成像的过程中都是假定声束是直线传播的,这就会出现显示的位置与实际位置出现偏差,从而形成伪像。临床工作中,折射伪像非常常见,主要导致深方结构的变形、移位和重复。

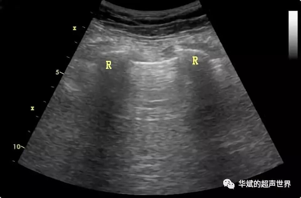
       折射伪像最经典的例子就是腹直肌构成的所谓“棱镜效应”。超声波经过棱镜一样的腹直肌时发生显著折射,使得深方的结构出现所谓的重复伪像。(图1,图2所示)

彩超伪像是什么超声伪像:折射伪像_https://www.jmylbn.com_新闻资讯_第1张

图1 腹直肌的棱镜效应引起的折射伪像示意图。图中的实线是声束实际的传播途径,虚线是仪器假定的声波的传播路线。最终的结果就是仪器显示深方的结构偏离实际位置。

彩超伪像是什么超声伪像:折射伪像_https://www.jmylbn.com_新闻资讯_第2张

图2 腹直肌棱镜效应导致深方的肠系膜上动脉出现“重复伪像”。注意更深方的腹主动脉也被横向拉宽,同样也是重复伪像。


      我们之前讲过的 肾重复伪像 也是由于折射引起的。(点击 查看肾重复伪像 )。


     我们在胸部扫查时会发现,肋间的胸膜肺线在纵断时并非平直的,而是两端上翘的凹面,这也是由于声束通过肋骨边缘时发生折射形成的。(图3)

彩超伪像是什么超声伪像:折射伪像_https://www.jmylbn.com_新闻资讯_第3张

图3 肋间的胸膜线呈凹面,也是折射伪像。


      我们之前还讲过一个例子,胎儿的主动脉在彩色多普勒超声检查时有时会出现红蓝相间的现象,这也是声束经过胎儿椎体时发生折射所致,也是一种折射伪像(点击右边查看:昨日有奖问答答案)。


彩超伪像是什么超声伪像:折射伪像_https://www.jmylbn.com_新闻资讯_第4张

       图4 声束折射导致胎儿的主动脉在彩色多普勒超声检查时有时会出现红蓝相间的现象。


       此外,侧边声影其实也是一种特殊的折射伪像,我们在后边讲到声影的时候再做介绍。