体检dr是什么意思【医学科普】胸部体检选择DR胸片还是CT?

新闻资讯2026-04-23 21:09:09







体检dr是什么意思【医学科普】胸部体检选择DR胸片还是CT?_https://www.jmylbn.com_新闻资讯_第1张


体检是指通过各种医学手段和方法对受检者身体进行检查,目的是早期发现病变,以便早治疗,尤其是恶性肿瘤。其中肺癌发病率排在各种肿瘤之首,所以胸部体检很重要,尤其针对40岁以后的中老年人。


日常普通体检时,医生一般会让受检者去拍张DR胸片,即常说的胸部X光片,价格便宜、操作简单,且辐射剂量低于胸部 CT。

体检dr是什么意思【医学科普】胸部体检选择DR胸片还是CT?_https://www.jmylbn.com_新闻资讯_第2张

(胸部正常平片)


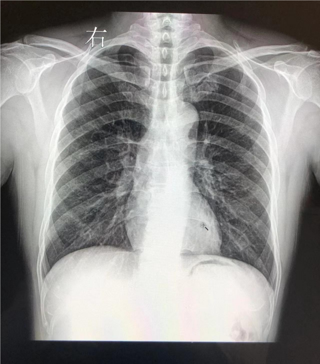
当X线透过人体后投射到采集板上所形成的黑白影像,是二维叠加的图像,所以肺部早期病变是有可能被肋骨、心影、胸壁软组织等重叠所干扰,肺部小结节也容易被隐藏,胸片一般只能查到15~20mm的肿瘤。在实际工作中,当胸片发现了肺部异常,需要做CT进一步排查,进一步确诊还要做 增强CT 。

体检dr是什么意思【医学科普】胸部体检选择DR胸片还是CT?_https://www.jmylbn.com_新闻资讯_第3张

(胸片异常影像)


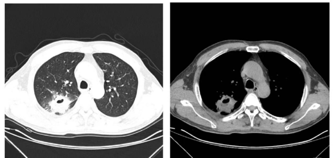
CT 检查把人体结构扫描成多层的断面图像,即横断剖面图,组织之间互不重叠干扰,其中薄层扫描可发现2mm以上的肺结节,图像更清晰,这是 DR 不能实现的,但辐射剂量较胸片大,费用昂贵。

体检dr是什么意思【医学科普】胸部体检选择DR胸片还是CT?_https://www.jmylbn.com_新闻资讯_第4张

(CT断层扫描发现病灶)



建议


1.没有特殊病史的儿童,<40岁没有特殊病史、高危因素、或无不适的人群体检可选择胸片。


2.>40岁、长期抽烟或有肺部疾病史、肺癌家族史人群体检尽可选择 CT。

体检dr是什么意思【医学科普】胸部体检选择DR胸片还是CT?_https://www.jmylbn.com_新闻资讯_第5张


冼村街道社区卫生服务中心放射科DR现已投入使用,提供DR胸部体检项目,检查费用为三甲医院八折。

持有广州市职工医保参保人,可以支付30元,享受本中心家庭医生签约基本包套餐:放射DR检查部位三选一(胸部位、颈椎部位、任一一个关节部位),具体可咨询医护人员。

体检dr是什么意思【医学科普】胸部体检选择DR胸片还是CT?_https://www.jmylbn.com_新闻资讯_第6张


就诊流程

挂号(全科/中医科/康复科)

门诊医生开单

缴费

放射科检查

报告时间

检查完后约1小时取报告。

内容:邱慧霞

部分图片源于网络

审核:薛晓扬

想及时获取更多资讯,

同时关注我中心微信订阅号

“天河区冼村街道社区卫生服务中心”




天河区冼村街道社区卫生服务中心

体检dr是什么意思【医学科普】胸部体检选择DR胸片还是CT?_https://www.jmylbn.com_新闻资讯_第7张

(扫一扫或长按二维码进行关注)

体检dr是什么意思【医学科普】胸部体检选择DR胸片还是CT?_https://www.jmylbn.com_新闻资讯_第8张