体检dr是什么意思【科普】 肺部体检选择摄片(DR)还是CT?

新闻资讯2026-04-23 21:09:12

近来,

很多来院体检的群众都在咨询

肺部体检

选择摄片(DR)还是CT?

那个更好?

我们来听听影像专家怎么说~~~

体检dr是什么意思【科普】 肺部体检选择摄片(DR)还是CT?_https://www.jmylbn.com_新闻资讯_第1张
体检dr是什么意思【科普】 肺部体检选择摄片(DR)还是CT?_https://www.jmylbn.com_新闻资讯_第2张


  影像专家这样讲

体检dr是什么意思【科普】 肺部体检选择摄片(DR)还是CT?_https://www.jmylbn.com_新闻资讯_第3张


体检dr是什么意思【科普】 肺部体检选择摄片(DR)还是CT?_https://www.jmylbn.com_新闻资讯_第4张

体检是指通过医学各种手段和方法对受检者身体进行检查,目的是早期发现病变,以便早期治疗,尤其是恶性肿瘤,其中肺癌发病率排在各种肿瘤之首;所以肺部体检尤为重要,尤其是对40岁以后的中老年人。

体检dr是什么意思【科普】 肺部体检选择摄片(DR)还是CT?_https://www.jmylbn.com_新闻资讯_第5张

以前CT没有普及,一般医生会让受检者去拍张胸片,价格便宜又简单;但随着近些年CT的普及,尤其是多层螺旋CT的普及;拍片的局限性就明显暴露出来。

体检dr是什么意思【科普】 肺部体检选择摄片(DR)还是CT?_https://www.jmylbn.com_新闻资讯_第6张

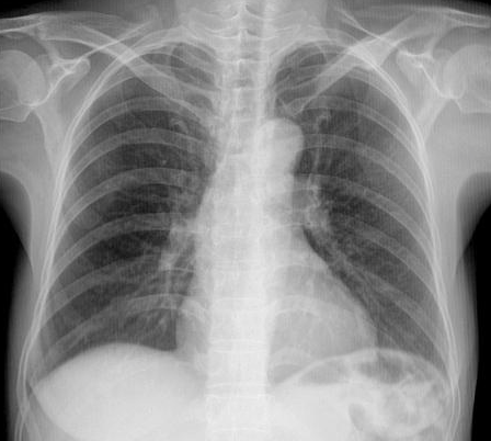
 病例1:胸部摄片未见明显异常

体检dr是什么意思【科普】 肺部体检选择摄片(DR)还是CT?_https://www.jmylbn.com_新闻资讯_第7张

病例1:胸部摄片未见明显异常,但CT扫描发现肺上叶磨玻璃密度结节,

术后病理检查:微浸润腺癌 

摄片(DR)是X线透过人体后投射到采集板上所形成的图像,是二维叠加图像,肺部早期病变(尤其是我们最关心的恶性肿瘤)完全可能被肋骨、心影、甚至胸壁软组织所重叠干扰。所以在我们实际工作中发现,当摄片都发现肺部肿瘤了,大部分都是中、晚期,失去了彻底治愈的可能。所以摄片报告上写未见异常,不一定真无异常。


体检dr是什么意思【科普】 肺部体检选择摄片(DR)还是CT?_https://www.jmylbn.com_新闻资讯_第8张

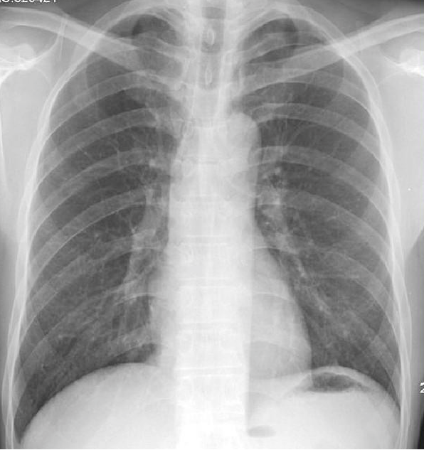
病例2:胸部摄片未见明显异常。

体检dr是什么意思【科普】 肺部体检选择摄片(DR)还是CT?_https://www.jmylbn.com_新闻资讯_第9张

病例2:胸部摄片未见明显异常,

但CT扫描发现右肺结节,

术后病理检查:原位腺癌


CT检查,通俗来讲就是把人体结构扫描成数层断层图像,是剖面图,互补重叠干扰,其中薄层扫描可以发现3mm以下的病变,这是摄片(DR)不能实现的。这样我们就能发现早期病变,尤其是恶性肿瘤,可以做到早期切除,彻底治愈。

所以肺部体检建议大家选择CT,而且是多排螺旋CT,因为多排螺旋CT一般同步有1mm左右的薄层图像,我们寻找早期病变就需要观察这薄层图像。如果怕“吃”射线,可以选择多排螺旋CT低剂量扫描(大概为常规扫描射线剂量1/5)。

体检dr是什么意思【科普】 肺部体检选择摄片(DR)还是CT?_https://www.jmylbn.com_新闻资讯_第10张

大家可能觉得磁共振高档、而且没有X线辐射,肺部体检可不可以做磁共振呢?遗憾的告诉大家,由于肺部呼吸运动而且是含气脏器,磁共振扫描时间又长,所以磁共振发现肺部早期病变效果远没有CT好。


体检dr是什么意思【科普】 肺部体检选择摄片(DR)还是CT?_https://www.jmylbn.com_新闻资讯_第11张


体检dr是什么意思【科普】 肺部体检选择摄片(DR)还是CT?_https://www.jmylbn.com_新闻资讯_第12张





专家简介

体检dr是什么意思【科普】 肺部体检选择摄片(DR)还是CT?_https://www.jmylbn.com_新闻资讯_第13张

余  何

副主任医师,医学影像科主任,毕业于西南医科大学,本科学历,四川省中医药发展促进会放射学会会员、宜宾市医学会放射专委会会员。曾在西南医科大学附属医院、华西医院进修学习。从事医学影像工作20余年,熟练掌握摄片(DR)、CT、磁共振(MRI)的影像诊断,尤其擅长中枢神经系统、呼吸系统疾病的影像诊断。

联系电话:15328833101



审稿/廖   莉

供稿/余   何

 编辑/余   何  申   涛

校对/任思思  申   涛

24小时急救电话

0831—4630999

体检dr是什么意思【科普】 肺部体检选择摄片(DR)还是CT?_https://www.jmylbn.com_新闻资讯_第14张

长宁县中医医院服务号

预约、挂号

缴费、查询

● 扫码关注我们 ●

体检dr是什么意思【科普】 肺部体检选择摄片(DR)还是CT?_https://www.jmylbn.com_新闻资讯_第15张

长宁县中医医院

医院动态

 知识科普 

健康养生

● 扫码关注我们 ●

体检dr是什么意思【科普】 肺部体检选择摄片(DR)还是CT?_https://www.jmylbn.com_新闻资讯_第16张