什么是超声容积探头血流量测定 |取样容积和角度θ

新闻资讯2026-04-23 20:07:34

什么是超声容积探头血流量测定 |取样容积和角度θ_https://www.jmylbn.com_新闻资讯_第1张

取样容积的大小

什么是超声容积探头血流量测定 |取样容积和角度θ_https://www.jmylbn.com_新闻资讯_第2张

上图中那个类似“=”的小框框就是所谓的取样容积,也就是说落在这个框里的信号才会被采集,一般认为取样容积的大小为血管直径的50-70%,也就是大概2/3左右。


以前我自己做超声时,取样容积就是这么设定的,但是,最近和专业的超声仪工程师交流后,同时又查阅了一些资料后,看法有所改变,也就是说在测血流量时的取样容设定有一点特别。


血流并不是我们想象的一样,所有质点同步行进、速度一致,湍流自不必说,即使是层流,流速也是不一致的。如下图,中间快,旁边慢。

什么是超声容积探头血流量测定 |取样容积和角度θ_https://www.jmylbn.com_新闻资讯_第3张
这就提醒我们,测量速度的时候不能只顾“中流砥柱”,而要“兼容并蓄”,换句话说,就是取样容积要尽可能包括整个血管腔,而不是只涵盖中间部分。
下图中,取样容积很小,血流频谱的宽度较小,结果容易偏高。

什么是超声容积探头血流量测定 |取样容积和角度θ_https://www.jmylbn.com_新闻资讯_第4张


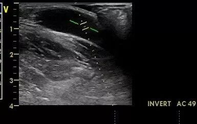
下图中的取样容积基本包括整个血管腔,频谱较宽,涵盖了贴壁的低速血流,说计算得平均速度较为准确。

什么是超声容积探头血流量测定 |取样容积和角度θ_https://www.jmylbn.com_新闻资讯_第5张


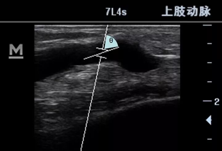
  • 多普勒角度θ

如下图所示,这就是多普勒角度θ。

什么是超声容积探头血流量测定 |取样容积和角度θ_https://www.jmylbn.com_新闻资讯_第6张

理论上,多普勒声束与血流完全同向时,测量的精度最好,这时的θ角为0度,然而,这种角度似乎只有血管内探头才可能实现。

体表探头与血管总是存在角度,直接测得的速度需要经过三角函数的矫正才能得到血流速度,而这个角度大于60度后,矫正的误差会很大,所以要求θ角应当小于60°。换句话说,就是探头要尽可能避免与血管垂直。而且这个角度越小,误差越小

由于肢体血管大都与体表较为平行,有时获得良好的角度比不容易,有以下两点可以参考。

1.选择血管倾斜的部分进行测量。

下图中,血管斜角较大,θ角为46°

什么是超声容积探头血流量测定 |取样容积和角度θ_https://www.jmylbn.com_新闻资讯_第7张

大多数肱动脉从肘部到桡尺分叉这一段有一个自然的斜角,可以利用这个天然角度。

什么是超声容积探头血流量测定 |取样容积和角度θ_https://www.jmylbn.com_新闻资讯_第8张

2.利用耦合剂帮助探头倾斜,人为形成角度。这种作法的另一个好处在于可以避免对血管的压迫,减小对直径测定的影响。

什么是超声容积探头血流量测定 |取样容积和角度θ_https://www.jmylbn.com_新闻资讯_第9张

什么是超声容积探头血流量测定 |取样容积和角度θ_https://www.jmylbn.com_新闻资讯_第10张

3.还有的探头在在设计时就制作成斜向发射的形状,相当于将上图的耦合剂换成固态导声材料。

最后,设定角度时,还有一点要强调的,就是取样容积中的短线必须与血管壁平行


什么是超声容积探头血流量测定 |取样容积和角度θ_https://www.jmylbn.com_新闻资讯_第11张

下图中短线的角度设定是不合适的。

什么是超声容积探头血流量测定 |取样容积和角度θ_https://www.jmylbn.com_新闻资讯_第12张总体的体会是,细节决定精度

  • 另外,为了减小误差,流量测定可以多次测量后取平均。有的学者认为,严格要求的话,应该测量三次,如果三次的最大差值小于100ml/min,就取这三次的均值,如果大于100ml/min,就需要增加测量次数,直到达标。

  • 最后,提醒大家不要笃信机器的自动测量,比如下图中,机器自动选择的起点和终点已经超出了一个完整的心动周期,所以,便利有时候是陷阱。

什么是超声容积探头血流量测定 |取样容积和角度θ_https://www.jmylbn.com_新闻资讯_第13张

又比如,有时会出现以下这种情况,信号太弱,机器未识别,这种频谱显然不可靠。

什么是超声容积探头血流量测定 |取样容积和角度θ_https://www.jmylbn.com_新闻资讯_第14张