什么是超声容积探头妇产科超声影像学丨胎儿心脏超声智能导航技术显示胎儿完全型大动脉转位诊断切面的应用价值

新闻资讯2026-04-23 20:07:05

点击上方“中华医学超声杂志电子版”关注我们


文章来源:中华医学超声杂志(电子版),2020,17 (09): 866-873. DOI: 10.3877 
作者:
庞海苏赵博文黄超 潘美 陈冉 彭晓慧 王蓓

作者单位:浙江大学附属邵逸夫医院超声科

通信作者:赵博文


胎儿完全型大动脉转位(complete transposition of the great arteries,cTGA)是动脉圆锥干畸形的一种,占先天性心脏病的5%~7%,活婴的发生率在2‰~3‰[1,2]。cTGA的解剖特征是心房心室连接一致,心室与大动脉连接不一致,形态学右心室发出主动脉,而形态学左心室发出肺动脉,两只大动脉平行走行[3]。主要诊断切面包括三血管气管切面(three-vessel view,3VT)、四腔心切面(four-chamber view,4CV)、左心室流出道切面(left ventricular outlet view,LVOT)及右心室流出道切面(right ventricular outlet view,RVOT)。尽管产前胎儿超声筛查普及率逐年增高,但是胎儿cTGA的检出率仍然不理想,从美国报道的10%到欧洲报道的50%~70%不等[4,5,6,7]。尤其是单纯类型的胎儿cTGA时常不伴心外畸形或染色体异常,4CV也往往无明显异常表现,更是增加了产前超声诊断的难度[8,9]
胎儿5D Heart技术是基于时间空间相关成像技术(spatio-temporal image correlation,STIC)[10,11,12]的胎儿心脏三维容积成像显示模式,又称胎儿智能导航超声心动图(fetal intelligent navigation echocardiography,FINE)[13,14,15],是在初始四腔心切面基础上使用三维容积探头采集胎儿心脏容积超声数据后,操作者应用5D Heart分析软件,根据导航自动生成并显示胎儿心脏超声筛查所需的9个胎儿超声心动图标准切面。本研究旨在探讨5D Heart技术在显示胎儿cTGA的主要诊断切面及诊断要素中的应用价值。


资料与方法
一、对象
选取2018年1月至7月在浙江大学医学院附属邵逸夫医院经资深胎儿超声心动图诊断专家检查后诊断其胎儿患有cTGA的妊娠孕妇15例。其中产前诊断单纯cTGA 8例,占53.3%;cTGA合并室间隔缺损7例,占46.7%。孕妇年龄23~35岁,平均年龄(30.4±3.3)岁;孕周22~37周,平均孕周(26.0±3.7)周。纳入标准为:行胎儿超声心动图检查,有准确的停经史,或经产科超声评估的孕周与停经史计算的孕周相符(≤2周)。排除标准为:剔除双胎、合并有其他严重胎儿心脏或心脏外畸形的病例。所有孕妇均知情检查内容,并签署胎儿超声心动图检查知情同意书。对15例进行随访,以尸检结果、出生后超声心动图为"金标准";当无法获得上述结果时,以胎儿心脏超声诊断专家的诊断结果作为标准。
二、仪器与方法
1.仪器:
检查采用Samsung公司WS80A彩色多普勒超声诊断仪,探头选用V1-8经腹三维超声容积探头,频率1~8 MHz,具备包括3D,4D,5D Heart以及虚拟智能超声辅助技术(Virtual Intelligent Sonographer Assistance,VIS-Assistance®)在内的胎儿心脏超声检查与分析功能等,用5D Heart分析软件对容积数据在机后处理。
2.检查人员:
1名有丰富经验的从事胎儿超声心动图检查的高年资医师专门负责三维容积维数据和5D Heart图像的采集;另外2名图像分析医师(医师A和医师B)负责容积数据的后处理,均为经过6个月系统胎儿心脏超声培训的、经验相对不足的超声医师(从事胎儿心脏超声检查不足3年)。
3.容积数据的采集:
完成系统胎儿超声心动图检查及图像存储后,进入4D模式,在随机胎方位并且胎儿安静的条件下,调整感兴趣区大小到包涵整个胎儿胸廓,启动5D Heart功能,以4CV作为初始切面,容积探头通过自动扫描以获取整个胎儿心脏的容积数据。采集过程中嘱孕妇屏住呼吸,采集时间7~12 s,采集角度35°~45°,根据孕周调整。纳入研究的容积数据应符合以下标准:(1)胎方位随机;(2)合适的能够用于分析的图像质量;(3)胎儿上纵隔和胃泡包含在容积数据中并清晰可见;(4)尽量少或者不存在声影;(5)没有胎儿呼吸样运动、打嗝或者胎动。所有的容积数据都储存在机器硬盘上以供后期处理。每例孕妇采集3~5组容积数据,只选取质量最优的一个容积数据纳入分析。
4.5D Heart容积数据在机后处理分析:
运用5D Heart分析软件,通过顺序标记胎儿心脏的7个解剖结构,自动生成并显示胎儿心脏超声检查的9个标准诊断切面。这些结构分别是:(1)腹部胃泡水平横切面的腹主动脉中心;(2)4CV的胸主动脉中心;(3)4CV的"十字交叉";(4)4CV的右心房壁;(5)3VT的肺动脉瓣;(6)3VT的上腔静脉;(7)主动脉横弓切面的主动脉横弓中心。生成的9个胎儿心脏超声检查标准切面分别是(图1):3VT、4CV、5CV、LVOT、大动脉短轴/RVOT、胃泡水平腹部横切面、动脉导管弓切面、主动脉弓切面及上下腔静脉长轴切面。随后应用内置的VIS-Assistance®对上述所获取的9个标准切面进一步优化后处理并存储图像。
什么是超声容积探头妇产科超声影像学丨胎儿心脏超声智能导航技术显示胎儿完全型大动脉转位诊断切面的应用价值_https://www.jmylbn.com_新闻资讯_第1张
图1 5D Heart显示的正常胎儿心脏超声的9个诊断切面。图a为三血管气管切面;图b为四腔心切面;图c为五腔心切面;图d为左心室流出道切面;图e为右心室流出道切面;图f为胃泡水平腹部横切面;图g为动脉导管弓切面;图h为主动脉弓切面;图i为上下腔静脉右心房切面;每个切面自动标记解剖结构、胎儿左、右及头尾侧
5.胎儿cTGA超声心动图诊断切面图像评分方法:
参照国际妇产科超声学会制定的胎儿cTGA超声诊断标准,4个主要诊断切面的诊断要素分别为:3VT(仅见一条大血管,上腔静脉位于右侧);4CV(可以无明显异常,伴或不伴室间隔缺损);LVOT(平行走行的两条大血管,起源于右心室的血管未见分支/起源于左心室的血管可见分支);RVOT(主肺动脉交叉环抱关系消失)。把各诊断要素按图像质量分为3个等级进行评分(图2[16]:结构显示清晰3分(优);结构可以辨认,但不够清晰2分(一般);结构不能辨认1分(差)。2名经验相对不足的医师(医师A和医师B)对每个胎儿容积数据应用5D-Heart软件联合内置的VIS-Assistance®优化处理后进行图像评分,医师A在2周之后再次对图像处理后进行复评。每个诊断切面内各要素所得总分除以要素个数视为该心脏切面的得分,图像获取成功标准为诊断平面内每个要素得分≥2分。
什么是超声容积探头妇产科超声影像学丨胎儿心脏超声智能导航技术显示胎儿完全型大动脉转位诊断切面的应用价值_https://www.jmylbn.com_新闻资讯_第2张
图2 四腔心切面为例进行切面图像质量评分。图a为1分;图b为2分;图c为3分
三、统计学分析
采用SPSS 24.0统计软件进行统计学分析。计算医师A评分后,4个诊断切面及相应各切面诊断要素的显示率。计算4个诊断切面中各个诊断要素的评分均值,采用秩和检验比较2位医师之间对4个诊断切面的评分。以P<0.05为差异有统计学意义。
结果
一、5D Heart技术对15例cTGA胎儿的4个诊断切面显示率
使用5D Heart联合内置的VIS-Assistance®技术处理15组容积数据,所得4个诊断切面的显示率分别是:(1)3VT 86.7%(n=13);(2)4CV 93.3%(n=14);(3)LVOT 80.0%(n=12);(4)RVOT 86.7%(n=13)。
二、胎儿cTGA的4个诊断切面中各个诊断要素的显示成功率
使用5D Heart联合内置的VIS-Assistance®技术,在3VT中,86.7%的图像显示仅见一条大血管,同时93.3%的图像显示了上腔静脉;在4CV中,100%的容积数据能够成功显示出4个房室腔、十字交叉、调节束、室间隔、房室瓣、房室瓣距离等结构,60.0%的容积数据能够清晰显示卵圆孔瓣;在LVOT切面,73.3%的容积数据中可见起源自右心室的大血管未见分支或者起源自左心室的大血管可见分支,73.3%的数据中可以成功显示出两条血管平行走行;80.0%的容积数据在ROVT切面显示主动脉和肺动脉的交叉环抱关系消失(表1)。
什么是超声容积探头妇产科超声影像学丨胎儿心脏超声智能导航技术显示胎儿完全型大动脉转位诊断切面的应用价值_https://www.jmylbn.com_新闻资讯_第3张
表1 各个切面每个诊断要素显示率
三、5D Heart技术的重复性及一致性检验结果
医师A对15例经5D Heart联合内置的VIS-Assistance®技术处理后的图像进行评分,2周之后再次对这15个数据处理后的4个诊断切面进行评分。2次评分结果比较显示,评分差异均无统计学意义(P>0.05,表2)。2名经验相对不足的医师(医师A和医师B)同时分别对15例容积数据处理后的图像评分,结果显示4个诊断切面上的图像评分差异均无统计学意义(P>0.05,表3)。
什么是超声容积探头妇产科超声影像学丨胎儿心脏超声智能导航技术显示胎儿完全型大动脉转位诊断切面的应用价值_https://www.jmylbn.com_新闻资讯_第4张
表2 师A 2次评分检验结果[分,MQR)]
什么是超声容积探头妇产科超声影像学丨胎儿心脏超声智能导航技术显示胎儿完全型大动脉转位诊断切面的应用价值_https://www.jmylbn.com_新闻资讯_第5张
表3 2名医师(医师A及医师B)评分结果比较[分,MQR)]
四、妊娠结局
对该研究中的15例产前疑诊胎儿cTGA妊娠孕妇进行随访,其中有4例胎儿出生,1例进行了尸检,这部分病例中,产前与产后诊断结果均一致。另外有5例确认终止妊娠以及其余失访病例的诊断结果,以资深产前胎儿心脏超声诊断专家的诊断结果为最终诊断。
讨论
胎儿cTGA是常见的严重先天性心脏病之一,如果出生后不能及时干预,患儿会迅速出现血流动力学的改变并且危及生命。产前及时诊断能够帮助孕妇选择在有条件救治的医院分娩,改善新生儿的术前管理,从而降低死亡率和病死率[17]。因为4CV更容易获取,因此它仍然是胎儿心脏超声检查的关键部分,但是在4CV无明显异常表现而流出道存在异常的严重胎儿先天性心脏病中,仅显示该切面容易出现漏诊[18]。尽管包括AIUM和ISUOG在内的国际超声学会(协会)产科超声指南,都建议在4CV的基础上增加LVOT、RVOT及3VT[19,20],以期望提高产前先天性心脏病的检出率,但是应用产前超声进行系统全面的胎儿心血管结构的评估仍十分耗时,强烈依赖超声医师的检查技巧和经验,尤其是在基层单位和对于经验不足的医师而言仍非常有挑战性。cTGA胎儿因为心房心室连接关系正常,在4CV往往并无异常表现,伴或不伴有小的室间隔缺损,甚至少见心外畸形及染色体异常,而是更常出现在低风险人群中,同时受到孕妇腹壁脂肪、孕周、胎动等因素影响,产前超声识别与诊断的难度都相应增加了。胎儿超声心动图诊断cTGA的主要依据是在3VT仅可见1条大动脉,上腔静脉在其右侧,在LVOT切面可见两条大血管呈平行走行,并且从左心室发出的血管在不远处可见分支,两只大动脉的交叉环抱关系消失,但这些特征性超声心动图诊断表现需要检查医师能够快速的获取3VT以及两个流出道切面,成功的显示心室和大动脉之间的连接关系以及两条大动脉之间的位置关系。因而,产前cTGA的诊断率仍然不够理想。
什么是超声容积探头妇产科超声影像学丨胎儿心脏超声智能导航技术显示胎儿完全型大动脉转位诊断切面的应用价值_https://www.jmylbn.com_新闻资讯_第6张
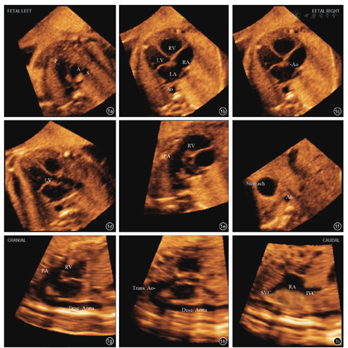
图3 应用5D Heart联合VIS-Assistance®技术显示1例24周cTGA胎儿的9个心脏超声诊断切面。图a为三血管气管切面(仅见一条大血管,上腔静脉位于右侧);图b为四腔心切面(无明显异常);图c为五腔心切面(无明显异常);图d为左心室流出道切面(平行走行的两条大血管,起源于右心室的血管未见分支/起源于左心室的血管可见分支进入胎儿肺组织);图e为右心室流出道切面(主肺动脉交叉环抱关系消失);图f为胃泡切面(无明显异常);图g为动脉导管弓切面(无法正常显示);图h为主动脉弓切面(无法正常显示);图i为上下腔静脉及右心房切面(无明显异常)

在过去的几十年里,随着产前筛查的基本普及,筛查技术和设备不断地提高和进步,出现了很多新技术以期提高胎儿先天性心脏病的产前检出率。理论上,传统STIC技术获取了完整的一个胎儿心动周期的所有信息,通过3个正交平面模式,检查者能够获得诊断切面,对图像进行脱机后处理。但是,通过"手动导航"分析容积数据来判断胎儿心脏切面中的方位和空间关系,对于产前诊断而言依然具有很高的挑战性,分析图像时的操作者依赖性高是最主要的问题,同时图像处理耗费时间,缺乏有效性和系统性。相对的,在不同孕周及任意胎方位的胎儿中应用5D Heart技术,检查者能够以4CV为初始切面获得容积数据后,通过自动导航成功的同时显示胎儿心脏超声检查的9个标准诊断切面[21],使得胎儿心脏超声检查的过程得到简化。同时5D Heart技术的自动标记、智能提示(提示操作者有关容积数据可能存在的问题)及标记提示(提示操作者胎儿实际的解剖标记可能与预期不符)这些功能,都降低了操作者的依赖性。Garcia等[22]报道应用5D Heart技术能够在72.5%的正常胎儿心脏检查中成功获取容积数据进行分析,9个标准切面显示率为98%~100%。
在本研究中,2名经验相对不足的超声医师经过培训后,应用5D Heart智能导航技术,对在任意胎方位下的以4CV为基础获得的15例不同孕周的cTGA胎儿心脏超声容积数据进行了在机后处理和图像分析。研究结果显示,86.7%的容积数据成功显示3VT切面,在该切面中,有86.7%的图像成功显示出仅见1条大血管,同时93.3%的图象能够显示出上腔静脉,而不是正常情况下的3个血管,此切面显示出的血管数目异常,高度提示胎儿心脏存在异常,而这种数目的异常也可以见于其他的动脉圆锥干畸形。15个容积数据中,LVOT显示率为80.0%,其中73.3%的容积数据显示出两条大血管平行走行,同时显示起源于解剖右心室的大血管未见分支而起源于解剖左心室的大血管走行较短距离后即可见分支,在这一切面上的所见,提示检查者起源自右心室的大血管是主动脉,而肺动脉则起源于左心室,两条大血管的位置关系是平行走行而不是正常情况下的交叉环抱关系,以上这些异常改变是胎儿cTGA最具特征性的超声表现。同时86.7%的容积数据在RVOT显示原本主动脉和肺动脉的交叉环抱关系消失,进一步提示检查者两条大血管位置排列关系存在异常。
本研究中应用5D Heart智能导航技术对于胎儿心室-大动脉异常连接关系的成功显示率,已经与加拿大一项由胎儿和新生儿心脏病专家共同进行的回顾性研究中报道的产前胎儿cTGA的诊断成功率接近[23]。Yeo等[24]也报道了应用5D Heart智能导航技术检查多种先天性心脏病的敏感度(98%)和特异度(93%),并且74%能够完全符合最终诊断,这其中包含4例cTGA。本研究中医师A在不同时间进行操作后的评分结果比较差异无统计学意义(P>0.05),说明该技术同时有良好的重复性;而2名经验相对不足的医师的评分结果比较差异无统计学意义(P>0.05),提示该技术也具有良好的一致性。本研究还提示即使是经验不足的医师也可以在经过培训后,应用5D Heart智能导航技术,根据导航步骤完成对胎儿心脏的系统扫查,并且实现9个标准切面的显示,能够很容易在同屏同步显示的3VT、LVOT和RVOT切面上观察比较胎儿心脏和大血管的异常,然后储存资料并将资料传输给从事胎儿心脏超声检查的专家,从而使得远程会诊成为可能,以提高胎儿CHD的产前筛查率。这是因为在这项技术中,计算机能够自动识别容积数据里的解剖标志,操作者可能只需要进行稍许调整就能够根据导航进行解剖位置的标记,而使得胎儿心脏超声检查的操作步骤变得更加简单。智能导航技术的另一个优势就是无论感兴趣区域的初始方向如何,最终每个诊断平面都能够自动的、无操作者依赖性的以同样的、一贯的方式显示出来。因此,尽管本研究中的15例胎儿的孕周、胎位和初始胎方位不同,智能导航技术能够通过自动调整容积数据,重新定位、标准化胎儿解剖位置,使胎儿心脏的诊断切面持续以一贯相同的方式显示,由此降低了对操作者的依赖性。以上这些特征都提高了此项技术的可行性及推广性,使胎儿先天性心脏病的产前筛查在基层医院或者偏远地区开展成为可能。
研究的局限性在于:(1)一些因素如孕妇腹壁脂肪厚、声影遮挡、胎儿呼吸样运动、胎动活跃等,影响容积数据采集时,导致不能正确标记解剖结构,从而影响5D Heart的分析结果。(2)本研究未对5D Heart Color功能进行研究,因此5D Heart处理生成的9个切面没有包含彩色多普勒血流信息,此领域的应用有待进一步深入研究。(3)同时,这项技术并不能完全替代传统的实时二维胎儿心脏超声检查,因为后者能够评估胎儿心率和节律,进行多普勒的测量等。
总之,5D Heart技术是一项能够自动导航、发现、提取并显示胎儿心脏诊断切面的技术,能够成功显示胎儿cTGA超声心动图的胎儿心脏异常解剖特征。这项技术无操作者依赖性,具有简便、稳定以及可重复的特点。因此,5D Heart技术可以应用于胎儿cTGA的产前筛查。

 参考文献(略)


点击阅读原文,可下载全文PDF