什么是病理蜡块病理新技术之“细胞蜡块”,让胸腹水中查找恶性细胞从“大海捞针”到“探囊取物”!

新闻资讯2026-04-23 19:34:46

在临床诊断中,胸腔积液检查是判断胸膜病变的重要手段,而离心涂片未发现肿瘤细胞曾是许多病理报告的常见结论。近期,我院病理科通过立项开展的新技术——细胞蜡块技术,成功从一例看似无肿瘤细胞的胸腔积液标本中精准检出肿瘤细胞,为患者明确诊断、制定治疗方案提供了关键依据,再次彰显了精准病理诊断的重要价值!

什么是病理蜡块病理新技术之“细胞蜡块”,让胸腹水中查找恶性细胞从“大海捞针”到“探囊取物”!_https://www.jmylbn.com_新闻资讯_第1张

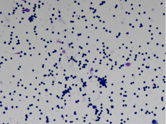
作为松滋市数智化病理诊断中心的新技术之一,细胞蜡块技术自立项后便投入应用。截至目前,已完成100余例检测,其中胸水28例,阳性11例,阳性率39.3%腹水77例,阳性31例,阳性率40.3%。该技术不仅是我院病理诊断的重要辅助手段,更筑牢了临床病理诊断的“第一道防线”。病理诊断是临床治疗的“指南针”,而细胞蜡块技术帮助我们突破常规检测的局限,不放过任何细微的病变信患者为老年男性,因气喘入院,胸腔积液常规检查提示为渗出液。按照常规流程,病理科先对胸腔积液进行离心涂片,经病理医师显微镜下反复观察,均未发现明确肿瘤细胞。

什么是病理蜡块病理新技术之“细胞蜡块”,让胸腹水中查找恶性细胞从“大海捞针”到“探囊取物”!_https://www.jmylbn.com_新闻资讯_第2张

100×,未见明确肿瘤细胞

然而,病理科团队并未止步于此。考虑到患者积液量较大且症状持续,为最大限度避免漏诊、误诊,科室决定进一步采用细胞蜡块技术开展深度检测。技术人员将胸腔积液离心后的沉淀物进行固定、包埋、切片,制成细胞蜡块,再通过HE染色及免疫组化标志物检测,层层解析细胞形态与分子特征。

正是这关键的一步,让“隐形”的肿瘤细胞现了原形!在细胞蜡块切片下,病理医师清晰观察到肿瘤细胞的异型性、排列方式等特征,结合免疫组化结果,最终明确该胸腔积液来源于恶性肿瘤转移,为临床精准分型、开展后续治疗赢得了宝贵时间。

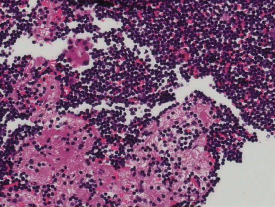
什么是病理蜡块病理新技术之“细胞蜡块”,让胸腹水中查找恶性细胞从“大海捞针”到“探囊取物”!_https://www.jmylbn.com_新闻资讯_第3张

100×,查见异型腺体

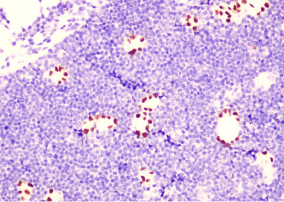
什么是病理蜡块病理新技术之“细胞蜡块”,让胸腹水中查找恶性细胞从“大海捞针”到“探囊取物”!_https://www.jmylbn.com_新闻资讯_第4张

100×,TTF-1+

此次病例的成功诊断,充分凸显了细胞蜡块技术相较于细胞涂片的优势,进一步降低了潜在风险。与传统离心涂片相比,细胞蜡块技术能将积液中分散的细胞集中固化,保留完整的细胞形态和组织结构,大幅提升肿瘤细胞检出率,尤其适用于涂片阴性的疑难病例;同时,它能为免疫组化、基因检测等后续病理分析提供充足样本,助力精准分型与预后评估。

未来,我院病理科将持续深耕数智化病理技术,推广细胞蜡块等精准检测手段,以更严谨的态度、更先进的技术,为每一位患者提供可靠的病理诊断依据,用专业守护生命健康!

什么是病理蜡块病理新技术之“细胞蜡块”,让胸腹水中查找恶性细胞从“大海捞针”到“探囊取物”!_https://www.jmylbn.com_新闻资讯_第5张
什么是病理蜡块病理新技术之“细胞蜡块”,让胸腹水中查找恶性细胞从“大海捞针”到“探囊取物”!_https://www.jmylbn.com_新闻资讯_第6张

素材来源:病理科 曹淑龙 

编辑:骆   旋    审核:吴文超

    整理编辑:宣传股