什么是电凝止血“非静脉曲张性消化道出血内镜止血宝典”学习笔记

新闻资讯2026-04-23 19:27:39

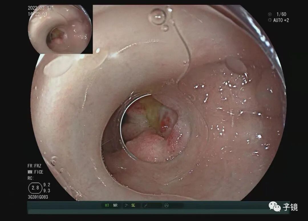
    2022.3.23凌晨3点,子敬(广东省连州市人民医院潘新智 )接到急会诊电话:患者是69岁男性,“呕血黑便”入院,有长期服“风湿止痛药”史,无肝硬化病史,入院时合并失血性休克,ICU给予生命支持,液体复苏,生命体征稳定后,申请急诊内镜诊疗。

术前完成相关风险告知及签字手续,清醒下操作,进镜前对患者心理辅导,“我们想办法帮你止血,但整个过程你肯定会难受,请你放松配合”,患者表示理解。

术中发现十二指肠球降交界多发溃疡,其中前壁大弯侧为刚出血后的红色血栓,再出血几率极大。退镜,戴透明帽再次入镜,准备对出血病灶进行内镜治疗。

什么是电凝止血“非静脉曲张性消化道出血内镜止血宝典”学习笔记_https://www.jmylbn.com_新闻资讯_第1张

      给予肾上腺素0.5mg+10%氯化钠10ml+0.9%生理盐水10ml配成副肾素高渗液,在血栓旁行粘膜下注射,两个点,每个点2.5ml。

什么是电凝止血“非静脉曲张性消化道出血内镜止血宝典”学习笔记_https://www.jmylbn.com_新闻资讯_第2张


什么是电凝止血“非静脉曲张性消化道出血内镜止血宝典”学习笔记_https://www.jmylbn.com_新闻资讯_第3张


什么是电凝止血“非静脉曲张性消化道出血内镜止血宝典”学习笔记_https://www.jmylbn.com_新闻资讯_第4张

注射后周边粘膜发白,隆起。 

什么是电凝止血“非静脉曲张性消化道出血内镜止血宝典”学习笔记_https://www.jmylbn.com_新闻资讯_第5张

进微创一次性热止血钳,轻盈夹住血栓出血灶,保持止血钳与出血灶间的平衡力,在柔和电凝80W模式下电凝,持续约5秒。 

什么是电凝止血“非静脉曲张性消化道出血内镜止血宝典”学习笔记_https://www.jmylbn.com_新闻资讯_第6张


什么是电凝止血“非静脉曲张性消化道出血内镜止血宝典”学习笔记_https://www.jmylbn.com_新闻资讯_第7张


什么是电凝止血“非静脉曲张性消化道出血内镜止血宝典”学习笔记_https://www.jmylbn.com_新闻资讯_第8张

创面变白固化,血管变黑碳化,止血成功。 

什么是电凝止血“非静脉曲张性消化道出血内镜止血宝典”学习笔记_https://www.jmylbn.com_新闻资讯_第9张

子敬感觉此止血操作视频经典,剪辑后发至国内多个消化微信群,获得了点赞的同时,也引起了国内内镜高手们对内镜止血的大讨论,让子敬如获至宝,现摘录部分内容,分享如下。

郑大一附院消化病院刘冰熔院长 :凌晨救人辛苦啦!有几点建议供你参考:1. 溃疡病灶没有粘膜下层,行粘膜下注射是多此一举,反而把周围粘膜隆起了,导致电凝钳夹出血灶困难增加,增加工作量。2.电凝钳夹住出血灶时,要保持内镜与病变的距离不变,在电凝过程中应该保持病灶始终在内镜观察下,这样才能确定效果并保证安全。3.溃疡病灶比较坚硬,角度大,能准确打好夹子不容易;其次,止血夹绝大多数都是中间有较大的空隙,除非两个翼尖端准确夹住血管,否则有再出血的可能性,再次,如果第一个夹子没有打准确,会严重影响其后面夹子的使用,所以绝大多数溃疡出血打夹子不如电凝确切。4. 电凝模式选柔和电凝40—60W,没必要80W,电凝至创面起泡发白后,持续1-2秒钟,不会有穿孔

子敬:感谢刘院长的指导,我在反思,我一直在做的粘膜下注射压迫止血后用热止血钳柔和电凝止血,在电凝止血中是否多此一举,因为电凝止血涉及热止血钳能否做到100%精准钳中血管或出血灶电凝;在“浴血奋战”的紧急关头,止血操作是受创面渗血,呼吸、蠕动,术者控镜稳定能力,心理素质、助手配合等影响,可能会出现一次钳凝不准,二次钳凝仍出血,三次钳凝才止血的场面,甚至更多次凝;缺少注射水垫分离保护,穿孔几率会上升,很考验术者的“心脏”。溃疡粘膜下注射压迫或创面下注水垫分离粘膜下层或肌层,甚至浆膜层,再进行电凝,目的是在增加电凝的频次仍有防穿孔的风险。本人近两年做了数十非静脉曲张性出血粘膜下注射水垫后柔和电凝止血,频次1-4次,止血成功率100%,无一例穿孔。如果缺少电凝前注射水垫的保护,电凝频次1-4次,能否做到100%不穿孔?我还没有做去这方面的动物试验,建议有经常做活体动物试验条的老师可以试一下,我想试验结果就算没有穿孔,电凝穿透的深度也比注射后再电凝深度深;或者也可以做另外一种动物试验,对着深达肌层的溃疡注水,能否分离一点点溃疡面与肌层,或浆膜层,只要能分离一点点,也能说明注射水垫压迫或分离后再电凝就比不注射更安全,请各位老师指导。

武定左涛军教授:比较深大的溃疡中央的血管止血钳夹不住,用止血钳顶住凝会不会穿孔,每次都是提心吊胆的,请刘院院多指导,谢谢。

郑大一附院消化病院刘冰熔院长 :我们做内镜下更大的出血更多,这种形成溃疡的出血病灶,粘膜下注射没有意义,更多的是术者担心穿孔,我们以前开始做肠道息肉切,也是战战兢兢的。其实肠道没有想想象中那么薄,一凝就穿。选柔和电凝模式,电凝的效果是钳住的出血灶,电凝至变白冒泡几秒,就有效止血了

为什么要凝几次,那因为担心穿孔,每次电凝时间短,不敢凝到足够深。我们没有注射,直接凝也没有发生过穿孔,实际上不注射,视野更清晰溃疡性、疤痕性、纤维性病灶注射是打不进去水的,你可以看到是周边的粘膜隆起,真正的病变没有隆起,反而凹陷下去,就是有一点点作用也是微不足道的,所以这种粘膜下的注射是没有意义的。就像有些人进百货大楼要戴个安全帽才安全,这是没必要的

电凝的深度要到肌层,把血管和肌层夹住,尤其是动脉必须和肌层凝在一起,形成一个充分的电凝块,这根血管才能被闭塞手术出现迟发性出血,就是电凝不够充分,浅浅的凝一下,术后动脉压力一高,或坏死组织脱落,就出现迟发性出血,所以凝血一定要充分。我们做了很多手术,粘膜层完全剥离,暴露肌层,有些在肌层切除时出血,我们也用充分柔和电凝止血,也没有穿孔,所以大家要有信心,不要因为担心穿孔畏手畏脚

有些医生做有蒂息肉,也要粘膜下注射隆起来再切,认为才安全,实际上有蒂息肉,打水垫后基底变得更粗更大了,电切创面更大,没有任何意义。我们在临床工作中,小心是必要的,预案是必要的,但要胆大心细,而不是做一些无谓的过度的防卫,那是没有意义的。

子敬:我在10多年前用奥巴的PSD30电凝球部溃疡出血穿过一例,再也不敢电凝止血,后来学了ESD后,用水垫保护肌层后电凝止血效果好,我又重新喜欢上了粘膜下注射+电凝止血,这种止血就象外科直视下手术般的止血,确切!或许是现在电刀、热止血钳与10多年前有较大的技术改良,也是刘院长说的无需注射的原因之一。下次遇到非静脉曲张性消化道出血,向刘院长这位世界级的大师学习,不注射水垫,直接钳住出血灶柔和电凝至冒泡2秒,这样更简单,更快捷,更省时,更省钱。技术要点:1)尽量戴透明帽协助固定视野,2)钳住出血灶不宜用力往里推保持内镜与病变的距离不变,在电凝过程中保持病灶始终在内镜观察下。3)柔和电凝模式50-60W持续电凝至冒泡2-3秒,4)备好荷包结扎装置以防穿孔封闭创面

嚯嚯教授:粘膜下注射的目的是临时止血,争取视野,还是有意义的

江苏省人民医院消化内镜范志宁主任:局部注射用肾上腺素与10%氯化钠10ml配成1:10000肾上腺素液,要高渗液才有用,在出血周围及出血点注射。 

陕西铜川市人医消化内科杨剑教授:抛个砖,男性,72y,十二指肠球部大弯侧溃疡出血,患有风湿病,药物引起球部溃疡出血,幽门有些变形,操作空间狭小。如何选择止血方式? 

什么是电凝止血“非静脉曲张性消化道出血内镜止血宝典”学习笔记_https://www.jmylbn.com_新闻资讯_第10张

子敬:住出血灶不宜用力往里推,柔和电凝模式60W持续电凝至冒泡2秒

陕西铜川市人医消化内科杨剑教授:此例我们用的是组织胶0.25mI+生理盐水 

什么是电凝止血“非静脉曲张性消化道出血内镜止血宝典”学习笔记_https://www.jmylbn.com_新闻资讯_第11张


什么是电凝止血“非静脉曲张性消化道出血内镜止血宝典”学习笔记_https://www.jmylbn.com_新闻资讯_第12张

中航消化内科马骋教授:我觉得在遇到这种急诊出血的时候不一定非要有套路,选择手边现有的器械,选择自己最擅长的,不管何种方式,只要止住就行。我这个病例用的就是柔和电凝止血。 

什么是电凝止血“非静脉曲张性消化道出血内镜止血宝典”学习笔记_https://www.jmylbn.com_新闻资讯_第13张


什么是电凝止血“非静脉曲张性消化道出血内镜止血宝典”学习笔记_https://www.jmylbn.com_新闻资讯_第14张

     郑大一附院消化病院刘冰熔院长 :杨剑教授那个病例可以电凝止血。马骋教授说得对“在遇到这种急诊出血的时候不一定非要有套路,选择手边现有的器械,选择自己最擅长的,不管何种方式,只要止住就行”!好的方法还要有扎实的基本功来实现。我认为柔和模式电凝止血是适用性最广的止血方式,切实有效,方便安全。当然,如果拼命去凝也会穿孔,但是保证短时间冒泡,组织变白,基本不会穿孔出血点注射硬化剂和组织胶也可以止血,只是溃疡中心处血管旁注射难度非常大,因为溃疡底部的组织非常硬!止血夹也是有效的止血办法,但要夹得准,夹得确切,还要有足够的软组织来保证夹子有足够的组织挤压住血管!粘膜下注射是没有止血作用的!就像食管粘膜下血肿,血肿自身是没有止血作用的,想象一下,如果动脉出血,在根本就不相连的粘膜下注射盐水除了把周边组织打得肿胀起来让溃疡内血管的注射更困难,没有别的作用。

辽阳市中心医院内镜中心袁胜春教授:首选电凝,万一止不住再打胶,如果先打胶一旦不奏效就难改其他方法了。

郑大一附院消化病院刘冰熔院长首选电凝,没有不奏效的!我们在很多情况下,缺乏的就是应有的信心!饭是一口一口地吃,不能吃两口没饱就说饭无效!只要看到确认是在消化道腔内准确的出血点(极少时候会多于一个),给予充分、彻底的柔和电凝,几乎100%有效

辽阳市中心医院内镜中心袁胜春教授:有两例溃疡中央的血管特别粗,没用电凝,打了半支胶,注射针用聚桂醇预充、后面接0.25mg胶、后面用空气、盐水推进。 

什么是电凝止血“非静脉曲张性消化道出血内镜止血宝典”学习笔记_https://www.jmylbn.com_新闻资讯_第15张


什么是电凝止血“非静脉曲张性消化道出血内镜止血宝典”学习笔记_https://www.jmylbn.com_新闻资讯_第16张


什么是电凝止血“非静脉曲张性消化道出血内镜止血宝典”学习笔记_https://www.jmylbn.com_新闻资讯_第17张

郑大一附院消化病院刘冰熔院长打胶有效就行临床工作最重要的就是随机应变,量体裁衣!会什么、有什么就用什么!但一定要完全彻底。不管黑猫白猫捉到老鼠就是好猫

中科大一附院消化内科肖梅主任:非常赞同刘院长的观点,任何一种技术的存在都可以解决一些问题,以我们接诊医生的判断为准,所掌握的技术为准,不引起严重近远期并发症为准,只要能止血就是王道,不用视若洪水猛兽穿刺到血管有回血后再注射,可以称之为内镜下血管栓塞术,和介入的理念是相通的太细的血管没必要打胶,其他的措施能有效的都可以选用,我们不能盲目打胶,但是如果其他的措施效果都不好,打胶可以保底溃疡性出血,直接打胶的止血的话,一般是0.25~0.5ml胶,必要时补充,打到血管里是上上选,23G或25G均可

江苏无锡市人医消化内科朱智勇教授:非静脉曲张出血治疗还是要以个人擅长和平台高低为出发点,危机时刻,止血保命为终极目标,用啥方法不能千篇一律。我的小小感悟:出血位置和视野很重要,胃体小弯球部后壁贲门这些比较难,有时需要透明帽辅助。出血迅猛的可以紧急变换体位来帮助暴露视野。胃壁无论电凝还是注射相对安全,但球部穿孔风险偏大。内镜止血方法:1.用钛夹止血需要周边组织够软,水肿或太硬效果不好,对于贲门撕裂,杜氏病,医源性出血等比较理想。2.电凝应用最广泛,但较深溃疡要小心,不要抵触太用力,有电凝不充分反而进一步导致大出血可能,考验心理素质。3.组织胶注射,能注射动脉内最好,即便注射血管外也是有效的,但不会像静脉曲张那样凝固成团(基底实质内没有静脉曲张那样的空间),而是像散弹枪打面团,以密集胶粒状态分布溃疡基底血管附近,可以起到比肾上腺素盐水注射更持久的压迫作用,伴随溃疡面恢复而逐渐一点点外排,球部溃疡也有穿孔可能。感悟:平台高低决定家属信任度,治疗前谈话和补救方案很重要。大平台专家级团队成员做事心理踏实,小平台单打独斗会胆战心惊。刘院教导得对,积极做事的医生肯定会遇到挫折,要迎难而上,要向子敬学习,时刻总结经验,针对不同病人病种要个体化应对。分享一个2016年的病例,大家共勉,吸取教训。 

什么是电凝止血“非静脉曲张性消化道出血内镜止血宝典”学习笔记_https://www.jmylbn.com_新闻资讯_第18张

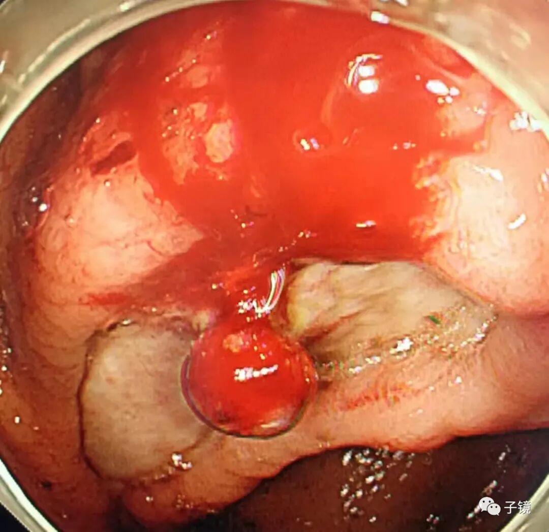
胃角溃疡,见血管残端。 

什么是电凝止血“非静脉曲张性消化道出血内镜止血宝典”学习笔记_https://www.jmylbn.com_新闻资讯_第19张

首选电凝止血。

什么是电凝止血“非静脉曲张性消化道出血内镜止血宝典”学习笔记_https://www.jmylbn.com_新闻资讯_第20张


什么是电凝止血“非静脉曲张性消化道出血内镜止血宝典”学习笔记_https://www.jmylbn.com_新闻资讯_第21张

但是、、、反而喷射状出血。。。。 

什么是电凝止血“非静脉曲张性消化道出血内镜止血宝典”学习笔记_https://www.jmylbn.com_新闻资讯_第22张

钛夹失败,只好注射组织胶,但并未注射到血管内。 

什么是电凝止血“非静脉曲张性消化道出血内镜止血宝典”学习笔记_https://www.jmylbn.com_新闻资讯_第23张

幸好最终组织胶起效,后续溃疡恢复,未再出血。 

什么是电凝止血“非静脉曲张性消化道出血内镜止血宝典”学习笔记_https://www.jmylbn.com_新闻资讯_第24张

郑大一附院消化病院刘冰熔院长第一次电凝没有凝住,可以再次电凝,直到把血管闭住!面对凶猛的出血,一定要有毛主席教导的气概:这个军队具有一往无前的精神,他要压倒一切敌人而绝不被敌人所屈服

中科大一附院消化内科肖梅主任:止血是消化内镜医生无法回避的问题,结合自己的经验、医院现有条件、病人及家属的信任和配合程度选择止血手段,救人是职责,但是量力而为,像刘院长那样的全能大咖,是我们的偶像和目标。有几点治疗感悟和大家分享下,也希望得到群里专家们的指导:1.内镜止血,大致可以分为物理挤压式、化学破坏式和血管精准栓塞式三种。我们可以结合自己的经验教训选择快速有效的方式。2.内镜下出血血管内注射思路来源于介入栓塞止血,只要有出血,肯定有破裂的血管,只要我们把出血血管找出来,用组织胶之类的耗材把血管堵上,就可以起到止血作用。3.介入止血不一定能精确到出血血管,有时也是在其上游血管栓塞,可以一样起到止血作用,但是会造成较大范围的血供障碍,但是胃肠多重血管,术后可以代偿恢复,但需要时间。4.内镜下血管栓塞也是一样,能做到精准穿刺到血管是上上之选,真的穿不到,注射到出血灶周围的组织内,在组织内挤压,比组织外挤压效果要确切的多。5.越是精准的穿刺到血管,术后病灶越容易因缺血形成溃疡,愈合需要时间,但是只要不出血,就已经达到治疗目的。就像我们消化性溃疡,没有出血并发症的病人口服药物即可。6.非静脉曲张出血血管内注射组织胶,不宜采用较大剂量,需要注意穿刺针深度,避免穿透胃肠壁。7.穿刺点建议在出血灶周边。直接按住血栓头打往往会偏离血管,而且拔针容易再出血

河南大学淮河医院赵江海教授就止血成功率而言,钛夹最高,然后是电凝止血,粘膜下注射压迫较低;其次,直接电凝穿孔的风险是很低的,除非是长时间的电凝,第三,粘膜下注射后再电凝,穿孔的风险是否下降没有多中心数据,从理论上讲应该可行,也能让我们更有安全感

子敬:抛出一块砖,引出好多玉啊!“养兵千日用兵一时”!我们平常要训练好扎实的基本功和超强的控镜能力,运用柔和模式电凝技巧,必要时戴上长透明帽辅助,便可对非静脉曲张性消化道出血进行实现快捷、安全、有效止血感谢刘冰熔院长等教授的指导和经验分享,刘院长高超和精湛的内镜诊疗技术,以及敢为天下先的精神是引领我们努力和前进的方向。通过讨论和学习,相信再来“浴血奋战”,我们会更加有底气,有信心挽救更多病人的生命


子敬(广东省连州市人民医院潘新智)2022-03-23至2022-06-29日理整。感谢肖梅教授、朱智勇教授、袁胜春教授、杨剑教授、马骋教授、赵江海教授协助审稿。摘录内容不全,谨供各位老师参考,摘录内容可能存在不正确的地方,请各位老师批评指正,谢谢!  

  声明:以上为子敬(广东省连州市人民医院潘新智)个人学习笔记,如有错记、漏记、记录不完整等情况,纯属于本人问题,与指导教授无关。

欢迎关注“子镜”公众号,目前关注人数为13208。“子镜”属于学习、公益型公众号,是子敬利用业余时间学习和收集消化、肝胆外科、超声介入、基础医学等各界大咖们宝贵的诊疗经验,分享给愿意学习和探讨的同仁,争取共同进步!  

什么是电凝止血“非静脉曲张性消化道出血内镜止血宝典”学习笔记_https://www.jmylbn.com_新闻资讯_第25张