什么是260胃镜胃肠不适,不想做胃镜,建水县人民医院胃肠超声造影检查能看!

新闻资讯2026-04-23 17:17:50

什么是260胃镜胃肠不适,不想做胃镜,建水县人民医院胃肠超声造影检查能看!_https://www.jmylbn.com_新闻资讯_第1张

快节奏的时代,

工作生活压力山大,

饮食作息不规律,

胃部不适

已不仅仅是年老体弱者的烦恼。

腹胀、反酸、嗳气、上腹痛、

食欲不佳、消化不良、恶心呕吐等

胃肠不舒服,是不是胃有毛病了?


想去医院做个检查探个究竟。

大伙都知道的做胃镜,

可是,

做胃镜想想就害怕,

钡餐又难喝,

可以有其他选择吗?


不要慌,

当然有!


建水县人民医院超声医学科

目前开展了胃肠超声造影检查技术

什么是260胃镜胃肠不适,不想做胃镜,建水县人民医院胃肠超声造影检查能看!_https://www.jmylbn.com_新闻资讯_第2张

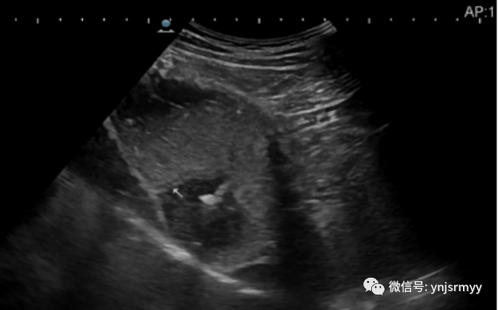
胃肠超声造影检查技术发展到今日,已经很成熟了。这是一种无痛、无创、低耗、高效、方便的检查方法,除了能观察胃肠道腔内的情况以外,还能直观全面地观察胃肠道壁内以及壁外的情况,对病灶的来源、定位有着不可替代的作用,可作为胃癌患者的常规影像学检查手段。

胃肠超声造影检查是一种准确、可重复的胃肠疾病检查新技术,病人在空腹状态喝下一杯食品型造影剂充盈胃肠腔,充盈后的胃肠腔在声像图上显示类似于实质性组织的回声,消除了胃腔内的气体及粘液干扰,和胃肠壁及肝、胆、脾、胰之间产生明显的对比效应,使胃肠壁的层次结构显示更加清晰,能筛查出胃肠肿瘤、炎症、粘膜病变、功能紊乱性疾病等疾病,做到早期发现、早期诊断、早期治疗。

胃超声检查的最大优势是声束能穿透胃壁,从而可以显示胃壁层次结构。它作为一种非创伤性诊断方法,可以给临床提供胃壁占位性病灶的部位、大小和形态,能估计病变侵犯胃壁的程度,为手术方式的选择提供参考方案。特别是能了解胃周器官的转移情况,这是X线钡餐检查和胃镜检查无法做到的。

什么是260胃镜胃肠不适,不想做胃镜,建水县人民医院胃肠超声造影检查能看!_https://www.jmylbn.com_新闻资讯_第3张

检查地址:建水县人民医院门诊综合楼三楼超声医学科

什么是260胃镜胃肠不适,不想做胃镜,建水县人民医院胃肠超声造影检查能看!_https://www.jmylbn.com_新闻资讯_第4张

联系电话:0873-7625413;7858488


什么是260胃镜胃肠不适,不想做胃镜,建水县人民医院胃肠超声造影检查能看!_https://www.jmylbn.com_新闻资讯_第5张

什么是260胃镜胃肠不适,不想做胃镜,建水县人民医院胃肠超声造影检查能看!_https://www.jmylbn.com_新闻资讯_第6张

什么是260胃镜胃肠不适,不想做胃镜,建水县人民医院胃肠超声造影检查能看!_https://www.jmylbn.com_新闻资讯_第7张

造影剂成分是什么?

胃肠超声造影使用的造影剂主要采用薏苡仁、淮山药、陈皮等中药加工制造而成,为食品型造影剂,服后口感良好,无任何副作用。

什么是260胃镜胃肠不适,不想做胃镜,建水县人民医院胃肠超声造影检查能看!_https://www.jmylbn.com_新闻资讯_第8张


什么是260胃镜胃肠不适,不想做胃镜,建水县人民医院胃肠超声造影检查能看!_https://www.jmylbn.com_新闻资讯_第6张

什么是260胃镜胃肠不适,不想做胃镜,建水县人民医院胃肠超声造影检查能看!_https://www.jmylbn.com_新闻资讯_第7张

胃肠超声造影的优势

1. 胃肠超声造影检查简便、可重复性好、无任何创伤或不适。

2. 可透视到胃粘膜层、粘膜肌层、粘膜下层、固有肌层及浆膜层,有助于判断病变浸润范围、程度和正常组织与病变组织的界限。

3.可实时显示胃肠腔内的充盈、排空及蠕动情况,判断其功能状态。

4.对胃周围脏器如肝、胆、胰、脾、肾显示更清晰,对胰腺疾病、胆管疾病诊断更佳


什么是260胃镜胃肠不适,不想做胃镜,建水县人民医院胃肠超声造影检查能看!_https://www.jmylbn.com_新闻资讯_第6张

什么是260胃镜胃肠不适,不想做胃镜,建水县人民医院胃肠超声造影检查能看!_https://www.jmylbn.com_新闻资讯_第7张

适应人群

所有健康体检人员;

特殊人群:患有高血压或者心脏病老人、儿童、孕产妇、术后或治疗后复查等;

无法耐受胃肠镜、X线钡餐检查的患者。


什么是260胃镜胃肠不适,不想做胃镜,建水县人民医院胃肠超声造影检查能看!_https://www.jmylbn.com_新闻资讯_第6张

什么是260胃镜胃肠不适,不想做胃镜,建水县人民医院胃肠超声造影检查能看!_https://www.jmylbn.com_新闻资讯_第7张

适应症

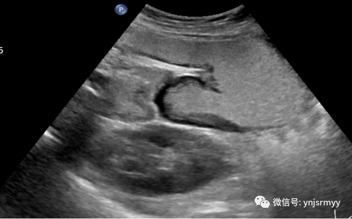
1、肿瘤:胃息肉,胃间质瘤、胃癌、十二指肠占位等

2、炎症:急慢性胃炎,胃及十二指肠溃疡等

3、先天性病变:先天性肥厚性幽门狭窄、囊肿、胃壁胰腺异位症等

4、其他疾病:胃石症、胃底静脉曲张、胃下垂、胃内异物等

什么是260胃镜胃肠不适,不想做胃镜,建水县人民医院胃肠超声造影检查能看!_https://www.jmylbn.com_新闻资讯_第15张

急性胃炎

什么是260胃镜胃肠不适,不想做胃镜,建水县人民医院胃肠超声造影检查能看!_https://www.jmylbn.com_新闻资讯_第16张

胃癌

什么是260胃镜胃肠不适,不想做胃镜,建水县人民医院胃肠超声造影检查能看!_https://www.jmylbn.com_新闻资讯_第17张

胃间质瘤

什么是260胃镜胃肠不适,不想做胃镜,建水县人民医院胃肠超声造影检查能看!_https://www.jmylbn.com_新闻资讯_第18张

异位胰腺

什么是260胃镜胃肠不适,不想做胃镜,建水县人民医院胃肠超声造影检查能看!_https://www.jmylbn.com_新闻资讯_第6张

什么是260胃镜胃肠不适,不想做胃镜,建水县人民医院胃肠超声造影检查能看!_https://www.jmylbn.com_新闻资讯_第7张

禁忌症

急性胃扩张、上消化道穿孔、上消化道活动性大出血等。

什么是260胃镜胃肠不适,不想做胃镜,建水县人民医院胃肠超声造影检查能看!_https://www.jmylbn.com_新闻资讯_第6张

什么是260胃镜胃肠不适,不想做胃镜,建水县人民医院胃肠超声造影检查能看!_https://www.jmylbn.com_新闻资讯_第7张

检查注意事项

检查前一日晚餐不宜进食高脂类和易产气的食物。

受检者检查前禁食8-12小时,禁饮4小时以上。

造影剂为无糖型配方,糖尿病患者可放心使用

胃肠超声

VS

胃镜

01

胃镜


比较直观,打个比方,就像一间房子,胃镜只对“房子”内的墙皮比较直观,但对“房子墙壁”(胃)里面的结构看不到,对“墙壁”(胃)外面的结构也看不到。

02

胃肠超声


能看到“房子墙壁”(胃)里面的结构,可观察“房子墙壁”(胃肠壁)的层次结构,发现胃肠壁肿瘤的部位、大小和形态,特别是了解周围器官的情况,为临床胃肠疾病的诊断提供依据。

胃镜检查比较直观,看黏膜表面病灶比较有优势,且能够取材活检;胃肠超声具有穿透性,看黏膜下、肌壁间病变及外侵性病变比较有优势。胃肠超声与胃镜相辅相成,取长补短,提高了胃肠道检查诊断的全面性和准确性,更好的为患者服务!

什么是260胃镜胃肠不适,不想做胃镜,建水县人民医院胃肠超声造影检查能看!_https://www.jmylbn.com_新闻资讯_第23张

精彩推荐

建水县人民医院自助机怎么用?

来建水县人民医院,“扫一扫”“点一点”看病更方便

建水县人民医院现已开通手机自助申请新冠核酸检测通道啦,线上预约步骤看这里! 

好消息!建水县人民医院临床营养科开诊啦!

◆ ◆  ◆ 


编辑/陈旭志 张永锋 杨敏  审校/师金霞 


什么是260胃镜胃肠不适,不想做胃镜,建水县人民医院胃肠超声造影检查能看!_https://www.jmylbn.com_新闻资讯_第24张

什么是260胃镜胃肠不适,不想做胃镜,建水县人民医院胃肠超声造影检查能看!_https://www.jmylbn.com_新闻资讯_第25张