乳腺cr是什么双优标杆!从PD到18 个月达颅内CR,瑞波西利改写32岁HR+/HER2-晚期乳腺癌患者命运

新闻资讯2026-04-23 16:23:56
整理:肿瘤资讯
来源:肿瘤资讯

近二十年来,乳腺癌的全球发病率持续攀升,已成为女性群体中最常见的恶性肿瘤之一。其中,约70%的病例属于激素受体阳性、人表皮生长因子受体2阴性(HR+/HER2-)分子亚型。真实世界研究显示,我国仍有部分HR+/HER2-型晚期乳腺癌的临床实践目前以化疗为主要治疗手段,部分临床决策与国内外权威指南之间存在差距,反映出一定程度的化疗过度应用与指南依从性不足的问题。随着细胞周期蛋白依赖性激酶4/6(CDK4/6)抑制剂等创新药物的涌现,其在HR+/HER2-晚期乳腺癌治疗中展现出卓越疗效,正引领治疗格局由化疗为主,向以CDK4/6抑制剂为基础的模式转变1-3
 
本期,【肿瘤资讯】特别邀请昆明医科大学第一附属医院王鑫医师报告一例32岁女性Luminal B型HER2-右侧乳腺癌(cT3N1M0 IIIA期)患者的诊疗过程。该患者在接受新辅助化疗后出现疾病进展,发生脑转移,经调整为瑞波西利联合内分泌治疗方案, 18个月实现颅内病灶完全缓解(CR),并邀请到昆明医科大学第一附属医院葛菲教授基于该病例的诊治过程进行深度点评。

病例简介



基本情况

基本信息:患者女,32岁。

主诉:发现右乳肿物4月余。

现病史:2023年10月6日,患者因发现右乳肿物红肿疼痛4月入院。

既往史:无特殊。

肿瘤家族史:外婆右乳腺癌,否认其他家族性遗传性疾病史。

体格检查:右乳稍大于左乳,皮肤无破溃、乳头无溢液,酒窝征(-),橘皮征(-)。右侧乳房皮肤红肿,乳房外象限乳头处可触及约5cm*6cm肿物,质地韧,表面欠光滑,活动差,边界不清,左侧乳房未触及明显肿物,双侧腋窝、锁骨上下窝未触及明显肿大淋巴结。

既往治疗史既往健康状况良好。

首发症状:右乳肿物红肿伴疼痛4月余。

前期治疗:自行口服头孢抗生素。

一般情况:无特殊。



诊治经过

初步辅助检查:

  • 胸部CT(2023年10月6日):双肺局部小叶间隔增厚;双肺多发微小结节;右乳皮肤增厚,片状不均匀密度增高影,右乳多发异常强化,右侧腋窝淋巴结肿大;肺门淋巴结增大。

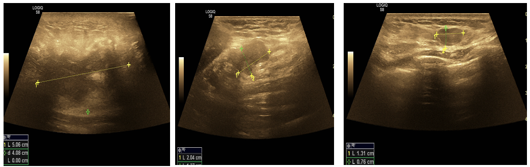
  • 乳腺+腋窝淋巴结超声(2023年10月6日 ):双乳腺增生症;右乳多发实性结节(BI-RADS-4a);左乳多发实性结节(BI-RADS-3);右侧腋中、下组多个淋巴结肿大(建议活检);左侧腋窝多个淋巴结可见,个别淋巴结肿大。

乳腺cr是什么双优标杆!从PD到18 个月达颅内CR,瑞波西利改写32岁HR+/HER2-晚期乳腺癌患者命运_https://www.jmylbn.com_新闻资讯_第1张
图 2023年10月6日乳腺+腋窝淋巴结超声
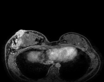
  • 乳腺MR(2023年10月9日):右乳中央区及外下象限见两个不规则肿块,右侧乳头及乳晕与肿块分界不清,考虑恶性,请结合临床综合分析(BI-RADS6);右侧腋窝见肿大淋巴结;双侧乳腺内见散在结节状显著强化灶,性质待定(BI-RADS 3)。

乳腺cr是什么双优标杆!从PD到18 个月达颅内CR,瑞波西利改写32岁HR+/HER2-晚期乳腺癌患者命运_https://www.jmylbn.com_新闻资讯_第2张
图 2023年10月9日乳腺MR
  • 穿刺活检病理:
    ①右乳穿刺组织:浸润性乳腺癌,非特殊类型(NST),伴神经内分泌分化,组织学2级(腺管形成3分,核级2分,核分裂2分,总分7分)。
    ②右腋窝穿刺组织:查见转移性腺癌,结合HE形态及免疫组化结果,支持乳腺来源。

  • 免疫组化结果:
    ①右乳肿物:ER(+,约60%-70%强),PR(+,约40%-50%强),Her-2(1+),KI-67(+,约30%-40%强)。
    ②右腋窝穿刺组织:ER(+,约70%-80%强),PR(+,约30%强),Her-2(1+),KI-67(+,约40%-50%强)。

  • 基因检测结果:BRCA1不确定性变异,同源重组缺陷状态为阴性。

乳腺cr是什么双优标杆!从PD到18 个月达颅内CR,瑞波西利改写32岁HR+/HER2-晚期乳腺癌患者命运_https://www.jmylbn.com_新闻资讯_第3张
图 初步辅助检查病理组织切片

诊断:右乳恶性肿瘤(cT3N1M0 IIIA期 Luminal B型 Her2-型);右腋窝继发恶性肿瘤。

治疗历程:2023年10月至2024年3月行EC-T方案 (E 150mg,C 900mg,T 400mg)治疗。

疗效评价:乳房部分缓解(PR)。

乳腺cr是什么双优标杆!从PD到18 个月达颅内CR,瑞波西利改写32岁HR+/HER2-晚期乳腺癌患者命运_https://www.jmylbn.com_新闻资讯_第4张
图 乳腺MR对比图

复诊辅助检查:

  • 乳腺MR(2024年3月10日):右乳外上象限不规则肿块,较前缩小;右侧腋窝见肿大淋巴结较前减小、减少;原右乳腺广泛水肿信号影本次未见显示。

乳腺cr是什么双优标杆!从PD到18 个月达颅内CR,瑞波西利改写32岁HR+/HER2-晚期乳腺癌患者命运_https://www.jmylbn.com_新闻资讯_第5张
图 2024年3月10日乳腺MR
  • 胸部CT(2024年4月11日):双肺多发微结节,大致同前;右乳皮肤增厚,并见右乳内结节状高密度影。

  • 肝胆胰脾MR(2024年4月11日):肝S3结节样异常强化,考虑血管瘤;肝S4小囊肿。

  • 头颅MR(2024年4月14日):颅内多发结节状异常信号,大者位于左侧小脑板球,大小约1.1cm×1.0cm,M灶可能,请结合临床。

乳腺cr是什么双优标杆!从PD到18 个月达颅内CR,瑞波西利改写32岁HR+/HER2-晚期乳腺癌患者命运_https://www.jmylbn.com_新闻资讯_第6张
图 2024年4月14日头颅MR

确诊脑转移后治疗历程:

  • 脑转移时间:2024年4月14日。

  • 患者症状:于凹凸地面上行走时感觉到眩晕。

  • 治疗方案:2024年4月至2025年10月,瑞波西利(600mg,每3周停1周);依西美坦(25mg qd);戈舍瑞林(3.6mg/次,皮下注射,每28天1次)。

复诊辅助检查

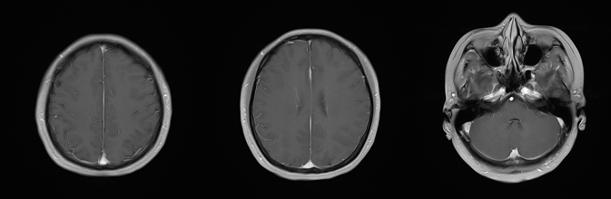
  • 头颅MR(2025年3月27日):颅内病灶较前明显减少,余左侧小脑半球结节状异常信号,余显示不清,请结合临床。

乳腺cr是什么双优标杆!从PD到18 个月达颅内CR,瑞波西利改写32岁HR+/HER2-晚期乳腺癌患者命运_https://www.jmylbn.com_新闻资讯_第7张
图 2025年3月27日头颅MR
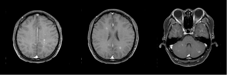
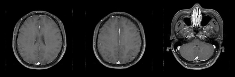
  • 头颅MR(2025年10月18日):脑实质平扫增强未见明显异常。

乳腺cr是什么双优标杆!从PD到18 个月达颅内CR,瑞波西利改写32岁HR+/HER2-晚期乳腺癌患者命运_https://www.jmylbn.com_新闻资讯_第8张
图 2025年10月18日 头颅MR

综合疗效评价:
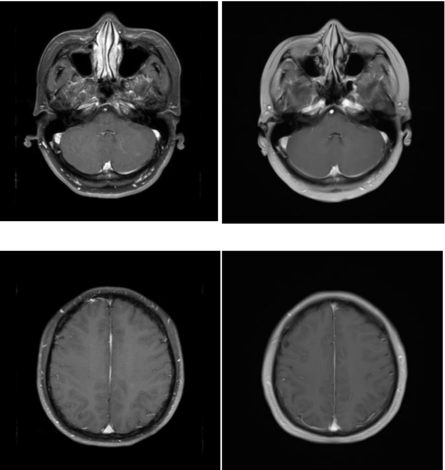
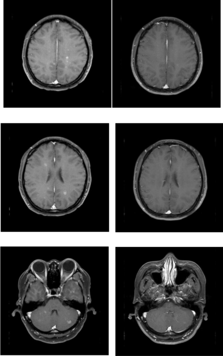
①治疗11个月后,2025年3月27日颅脑MR对比2024年4月14日颅脑MR,患者脑部转移灶减少,左侧小脑半球处病灶明显减小,达到部分缓解(PR),患者眩晕症状消失。

乳腺cr是什么双优标杆!从PD到18 个月达颅内CR,瑞波西利改写32岁HR+/HER2-晚期乳腺癌患者命运_https://www.jmylbn.com_新闻资讯_第9张
图 治疗11个月前(左列)后(右列)影像学疗效对比

②治疗18个月后,2025年10月18日颅脑MR对比2025年3月27日颅脑MR,患者脑转移灶消失,未见明显异常信号,达到CR,患者生活质量良好,药物耐受性好。

乳腺cr是什么双优标杆!从PD到18 个月达颅内CR,瑞波西利改写32岁HR+/HER2-晚期乳腺癌患者命运_https://www.jmylbn.com_新闻资讯_第10张
图 治疗18个月前(左列)后(右列)影像学疗效对比

治疗期间不良反应及管理情况:主要不良反应为2级白细胞及中性粒细胞减少,2024年5月骨髓抑制现象严重,瑞波西利用量减至400mg每天,予以地榆升白片升白细胞处理,2024年6月患者血象恢复,瑞波西利用量恢复至600mg每天。患者出现疲劳症状,予以休息,补充营养及微量元素后缓解。

病例点评

该病例为32岁女性乳腺癌患者,初诊为右乳浸润性癌,伴右侧腋窝淋巴结转移(cT3N1M0,即IIIA期),病理分子分型为 Luminal B 型(HER2-)。患者接受EC-T方案新辅助化疗虽获PR,但仍在短期内出现疾病进展(PD)并发生脑转移。值得关注的是,《HR阳性HER2阴性晚期乳腺癌内脏转移及内脏危象诊治专家共识(2025版)》(以下简称《2025版共识》)首次明确将脑转移纳入HR+/HER2-晚期乳腺癌内脏转移范畴。这一更新不仅统一了临床诊疗认知,还为此类患者的治疗策略提供了清晰依据。这意味着,对于HR+/HER2-晚期乳腺癌伴脑转移患者,应打破“脑转移仅为局部病变”的传统理念,将其视为全身性疾病的一部分,治疗需同时兼顾颅内病灶控制与全身疾病管理。该病例治疗过程中主要参考了《中国临床肿瘤学会乳腺癌(CSCO BC)诊疗指南(2024版)》2等国内主流指南推荐,一线治疗选择了CDK4/6抑制剂联合内分泌治疗(瑞波西利+依西美坦+戈舍瑞林)方案。现在来看,这一方案与《2025版共识》中提出的“针对HR+/HER2-晚期乳腺癌内脏转移患者的初始治疗,推荐首选内分泌治疗联合CDK4/6抑制剂1的最新治疗理念高度契合。令人欣喜的是,患者治疗后肿瘤快速退缩,11个月实现PR,18个月实现颅内CR,治疗期间未出现严重不良反应,显示出良好的药物耐受性和理想的疗效。

中国乳腺癌患者中,绝经前及围绝经期比例较高4,且由于雌激素水平较高,绝经前患者中HR+/HER2-亚型更为常见,这类肿瘤侵袭性较强、预后较差5。CDK4/6抑制剂已成为这类晚期乳腺癌的一线标准治疗2,3,6,7。然而,在临床实践中,如何从众多治疗药物中做出精准选择,直接决定了患者的最终治疗获益。MONALEESA-7研究结果显示,瑞波西利联合内分泌治疗可显著延长绝经前/围绝经期HR+/HER2-乳腺癌患者的无进展生存期PFS(27.2 vs 13.0个月)、总生存期OS(58.7 vs 48.0个月),降低疾病进展或死亡风险23.7%,且有效提高患者的健康相关生活质量(HRQoL)8。在众多CDK4/6抑制剂中,瑞波西利成为截至目前唯一一款在HR+/HER2-晚期乳腺癌(涵盖绝经前及绝经后人群)一线治疗背景中同步证实PFS与OS双重获益的药物9,10凭借显著的生存获益与生活质量优势,瑞波西利已成为目前问鼎欧洲肿瘤内科学会临床获益量表(ESMO-MCBS)最高评分的CDK4/6抑制剂11-13

此外,乳腺癌脑转移的发生率因分子亚型而异,其中约15%的HR+/HER2-乳腺癌患者会发生脑转移14,该类患者死亡风险显著增加1。据《2025版共识》,脑转移已被明确纳入内脏转移范畴。对于晚期并合并内脏转移或内脏危象的HR+/HER2-乳腺癌患者,其治疗选择将面临严峻挑战。需要特别指出的是,临床还存在“内脏危象前驱期”这一重要概念,即患者虽未达到内脏危象的诊断标准,但若不及时干预,极有可能进展为内脏危象。《2025版共识》建议,内脏危象前驱期患者可参考内脏转移患者的治疗方案,首选内分泌治疗联合CDK4/6抑制剂作为初始治疗1。该观点进一步强调了当时启动瑞波西利联合内分泌治疗以实现强效且迅速的系统性控制的重要性,其核心目标在于防止病情向不可逆内脏危象发展。患者后续在18个月内达到了颅内完全缓解,临床结果证实了其病程处于积极干预下可逆转的“前驱期”窗口。
 
在临床实践中,CDK4/6抑制剂的治疗选择需综合考量其适应证、关键临床试验尤其是OS获益、生活质量影响、不良反应特性及患者个体差异。目前,瑞波西利是唯一在三项Ⅲ期临床研究均显示显著OS获益的CDK4/6抑制剂。MONALEESA系列研究汇总分析结果表明,与单纯内分泌治疗相比,瑞波西利联合内分泌治疗在一线内脏转移人群中可显著延长中位PFS(29.6个月 vs 14.7个月)及中位OS(63.4个月 vs 51.8个月)。此外,RIGHT Choice 研究评估了瑞波西利联合内分泌治疗对比化疗在绝经前/围绝经期侵袭性 HR+HER2- 晚期乳腺癌患者中的一线疗效,其中 67.6% 的受试者存在有症状的内脏转移。结果表明,瑞波西利联合内分泌治疗相比化疗,中位PFS延长近 9 个月(21.8 个月 vs 12.8 个月),特别是在包括脑转移在内的内脏病灶控制方面显示出明显优势。值得关注的是,本案例患者在出现脑转移后改用瑞波西利联合方案,经过 18 个月治疗,实现了颅内CR。这一显著疗效不仅体现了瑞波西利在控制 HR+/HER2- 乳腺癌脑转移方面的重要作用,也提示该药物可能具备良好的血脑屏障穿透能力。本案例为 CDK4/6 抑制剂在乳腺癌脑转移治疗中的应用带来了新的希望,彰显了靶向药物应对临床难题的巨大潜力。
 
在安全性方面,本病例中成功的剂量调整经验表明,瑞波西利的剂量可根据患者耐受性个体化调整,同时保证疗效并提升安全16
 
总体而言,本病例印证了以瑞波西利为基础的联合方案在年轻HR+/HER2-晚期乳腺癌治疗中的卓越价值,实现了颅内转移灶的完全缓解,为患者提供了可靠的个体化治疗策略的参考。未来还需更多研究以验证该策略在不同人群中的普适性,期待本次病例分享为临床提供启示与借鉴。

*目前唯一:截至2025年12月13日
声明:瑞波西利的注册研究结果未涉及侵袭性疾病患者的有效性和安全性数据。

特邀嘉宾



病例点评专家


葛菲
副主任医师

昆明医科大学第一附属医院乳腺外科
外科学博士,博士生导师
美国德克萨斯大学访问学者
”兴滇英才支持计划“青年人才
中国医师协会外科医师分会乳腺外科专家组专家委员
云南省医院协会乳腺外科专业委员会副主任委员
云南省抗癌协会乳腺癌专业委员会青年委员
云南省医师协会乳腺癌专业委员会委员
云南省预防医学会乳腺癌专业委员会委员



病例分享专家


王鑫
主治医师

外科学博士

昆明医科大学第一附属医院

云南省医学会乳腺疾病分会委员
云南省医院协会乳腺外科专业委员会委员
以第一作者发表乳腺癌相关论文3篇,专利1项
主持省级课题1项、博士科研基金1项
参与CSCO肿瘤青年项目1项、省级课题2项

参考文献(向上滑动查看更多)

1. 健康中国研究中心癌症防治专家委员会. HR阳性HER2阴性晚期乳腺癌内脏转移及内脏危象诊治专家共识(2025版)[J]. 中华医学杂志, 2025, 105(36): 3175-3187. 
2. CSCO BC诊疗指南(2024年版).
3. 《中国抗癌协会乳腺癌诊治指南与规范(2025版)》.
4. Global burden and trends in premenopausal and postmenopausal breast cancer: a population-based study. Lancet Glob Health. 2020 Aug;8(8):e1027-e1037.
5. Huppert LA, Gumusay O, Idossa D, Rugo HS. Systemic therapy for hormone receptor-positive/human epidermal growth factor receptor 2-negative early stage and metastatic breast cancer. CA Cancer J Clin. 2023;73(5):480-515. 
6. Updated Overall Survival of Ribociclib plus Endocrine Therapy versus Endocrine Therapy Alone in Pre- and Perimenopausal Patients with HR+/HER2- Advanced Breast Cancer in MONALEESA-7: A Phase III Randomized Clinical Trial. Clin Cancer Res. 2022 Mar 1;28(5):851-859.
7. Primary results from the randomized Phase II RIGHT Choice trial of premenopausal patients with aggressive HR+/HER2−advanced breast cancer treated with Ribociclib+endocrine therapy vs physician’s choice combination chemotherapy.Presented at:San Antonio Breast Cancer Symposium 2022;December 6–10,2022.
8. Harbeck N, et al. Health-related quality of life in premenopausal women with hormone-receptor-positive, HER2-negative advanced breast cancer treated with ribociclib plus endocrine therapy: results from a phase III randomized clinical trial (MONALEESA-7). Ther Adv Med Oncol. 2020 Jul 26;12:1758835920943065.
9. Dickler, Maura N et al. Journal of clinical oncology : official journal of the American Society of Clinical Oncology vol. 34,22 (2016): 2602-9.
10. Finn Rs, et al.ASCO 2022.LBA1003.
11. https://www.esmo.org/guidelines/esmo-mcbs/esmo-mcbs-for-solid-tumours/esmo-mcbs-scorecards?scorecard=9.[MONALEESA-2]
12. https://www.esmo.org/guidelines/esmo-mcbs/esmo-mcbs-for-solid-tumours/esmo-mcbs-scorecards?scorecard=159.[monarch 3]
13. https://www.esmo.org/guidelines/esmo-mcbs/esmo-mcbs-for-solid-tumours/esmo-mcbs-scorecards?scorecard=7.[PALOMA-2]
14. Wang T, Chen J, Yang J, et al. CSCO expert consensus on the diagnosis and treatment of breast cancer brain metastasis. Transl Breast Cancer Res. 2022;3:22. Published 2022 Jul 30. doi:10.21037/tbcr-22-30
15. Lu YS, et al. Final Results of RIGHT Choice: Ribociclib Plus Endocrine Therapy Versus Combination Chemotherapy in Premenopausal Women With Clinically Aggressive Hormone Receptor-Positive/Human Epidermal Growth Factor Receptor 2-Negative Advanced Breast Cancer. J Clin Oncol. 2024;42(23):2812-2821. 
16. Cardoso F, Jacot W, Kuemmel S, et al. 600- vs 400-mg First-Line Ribociclib in Hormone Receptor–Positive/ERBB2-Negative Advanced Breast Cancer: The AMALEE Randomized Clinical Trial[J]. JAMA Oncol. Published online September 25, 2025. 

责任编辑:肿瘤资讯-Annie
 排版编辑:肿瘤资讯-黄洋洋
版权声明
版权归肿瘤资讯所有。欢迎个人转发分享,其他任何媒体、网站如需转载或引用本网版权所有内容,须获得授权,且在醒目位置处注明“转自:良医汇-肿瘤医生APP”。

乳腺cr是什么双优标杆!从PD到18 个月达颅内CR,瑞波西利改写32岁HR+/HER2-晚期乳腺癌患者命运_https://www.jmylbn.com_新闻资讯_第11张