上皮细胞用什么染色尿液发现大量空泡,到底是什么?

新闻资讯2026-04-23 16:05:31

上皮细胞用什么染色尿液发现大量空泡,到底是什么?_https://www.jmylbn.com_新闻资讯_第1张


上皮细胞用什么染色尿液发现大量空泡,到底是什么?_https://www.jmylbn.com_新闻资讯_第2张


前几天,同事在尿液镜检时,发现了大量空泡样物质,圆圆的,无色透明;类似的形态以前也见过很多次,那么这些圆圆的东西到底是什么?

   

未染色:


上皮细胞用什么染色尿液发现大量空泡,到底是什么?_https://www.jmylbn.com_新闻资讯_第3张


患者,女,65岁。


尿干化学:pH7.0,比重1.002,PRO2+,LEU3+,BLD1+,NIT2+。


沉渣镜检:可见大量白细胞及细菌,可见少量尿路上皮,鳞状上皮细胞少量。


上皮细胞用什么染色尿液发现大量空泡,到底是什么?_https://www.jmylbn.com_新闻资讯_第4张


未染色时不易鉴别,这些物质体积大小不等,隐约可见细胞核,初步考虑可能是一些细胞成分。


染色法:


推荐染色方法:活体染色(尿沉渣SM染色或S染色)


活体染色法优点染色快速;细胞等有形成分保持原有形态;可以判断细胞的死活。


本次使用S染色法:


上皮细胞用什么染色尿液发现大量空泡,到底是什么?_https://www.jmylbn.com_新闻资讯_第5张


S染色法,染色1分钟,可以观察到空泡样物质开始着色,隐约可见细胞核,胞质未着色,初步考虑为细胞成分。


上皮细胞用什么染色尿液发现大量空泡,到底是什么?_https://www.jmylbn.com_新闻资讯_第6张


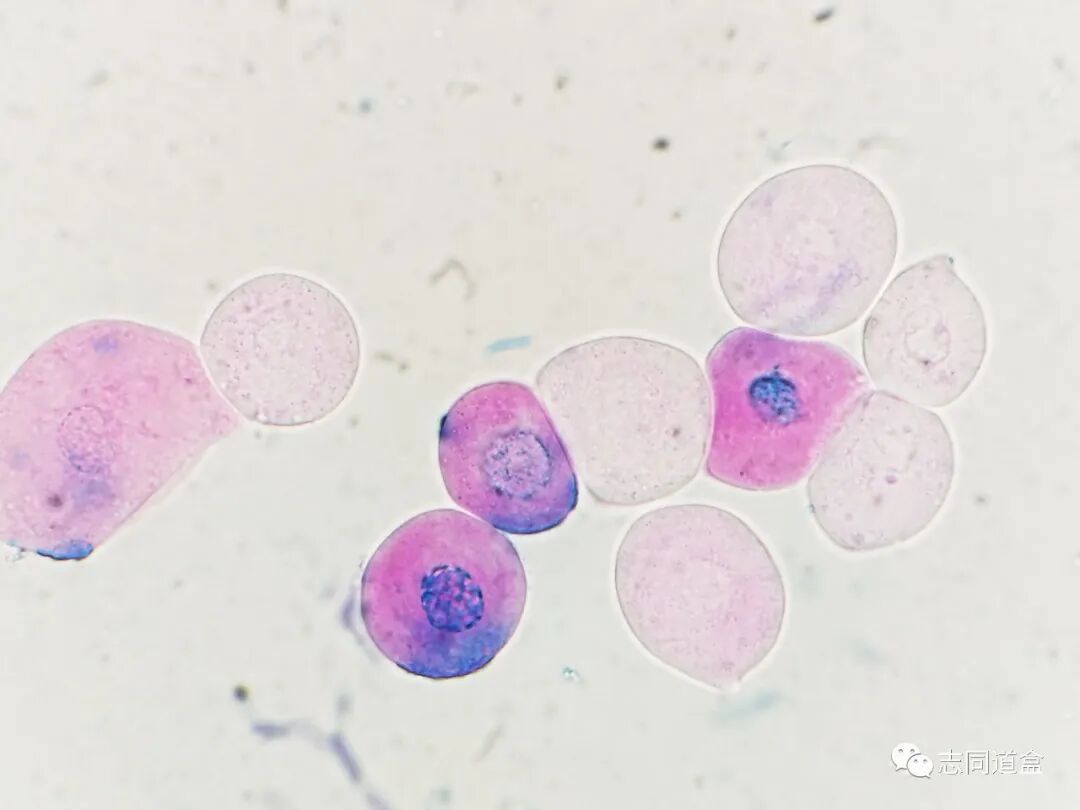
S染色法,染色5分钟,胞质略带粉色,胞核紫红色,从细胞形态角度分析,考虑为扁平上皮细胞。


上皮细胞用什么染色尿液发现大量空泡,到底是什么?_https://www.jmylbn.com_新闻资讯_第7张


S染色法,染色5分钟,可见完整细胞结构,胞体圆形,胞核如白细胞大小,胞质仅有少量颗粒,为典型的扁平上皮细胞(未角化)。


上皮细胞用什么染色尿液发现大量空泡,到底是什么?_https://www.jmylbn.com_新闻资讯_第8张


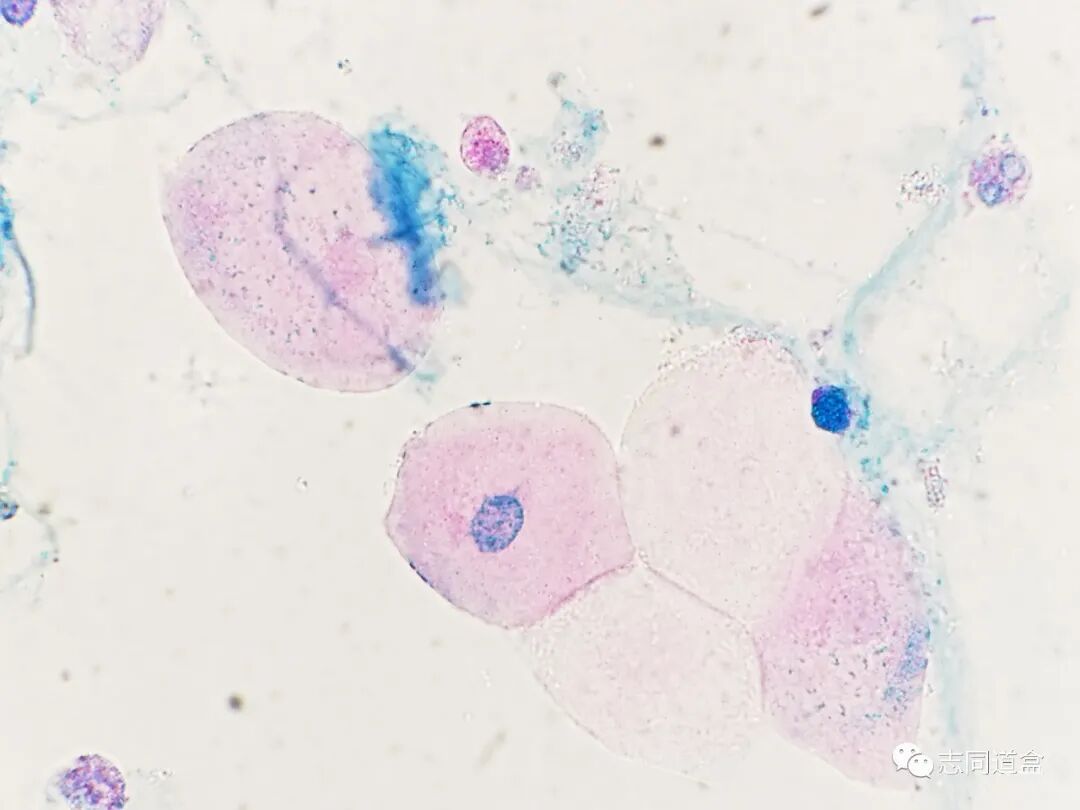
S染色法,未角化扁平上皮细胞,细胞粘附少量细菌。


上皮细胞用什么染色尿液发现大量空泡,到底是什么?_https://www.jmylbn.com_新闻资讯_第9张


S染色法,未角化扁平上皮细胞(右上),完全角化的扁平上皮细胞(左下),细胞粘附少量细菌;背景可见少量白细胞(着色深蓝)。


上皮细胞用什么染色尿液发现大量空泡,到底是什么?_https://www.jmylbn.com_新闻资讯_第10张


扁平上皮细胞成片脱落。


S染色后,可见鉴别细胞的死活,死的细胞胞核呈蓝色或深蓝色,胞质呈紫红色;活的细胞胞核紫红色,胞质呈淡粉色。


上皮细胞用什么染色尿液发现大量空泡,到底是什么?_https://www.jmylbn.com_新闻资讯_第11张


移行上皮与扁平上皮细胞有时不易区分,细胞大小和形态相似,扁平上皮胞质颗粒少或无,染色后更容易鉴别。


扁平上皮分为表层、中层和底层,中底层细胞形态相似,最容易识别的为表层,又称鳞状上皮细胞,细胞胞体体积最大,胞核较小或消失,越靠近底层细胞,胞核逐渐增大,细胞体积减小,核质比增高,当表层细胞脱落时,中底层细胞作为补充。


移行上皮与扁平上皮临床意义不大,少量可以不用区分。


 小结


上皮细胞用什么染色尿液发现大量空泡,到底是什么?_https://www.jmylbn.com_新闻资讯_第12张
上皮细胞用什么染色尿液发现大量空泡,到底是什么?_https://www.jmylbn.com_新闻资讯_第13张


在工作中,经常遇见不易鉴别的形态,可以通过各种染色法或相关实验进行鉴别。


那么为什么可见大量空泡样的细胞呢?可能因素有以下几方面:


1、尿液环境因素:尿液Ph值、比重、渗透压是影响细胞形态主要因素;如在低渗条件下,细胞外液进入细胞内,可使细胞肿胀;


2、在泌尿系统炎症时,细胞受炎症刺激细胞水肿,常伴有白细胞增高;


3、细胞退化或退变,形态发生变化,也可以形成空泡样结构;


4、女性受激素水平影响,上皮细胞可大量脱落,可污染至尿液中;


5、其它因素。


此篇文章属于转载文章,来源:基层检验网、志同道盒。订阅号若有侵权或转载限制请联系我们(或在公众号下方留言),我们将第一时间联系您并进行删除。

上皮细胞用什么染色尿液发现大量空泡,到底是什么?_https://www.jmylbn.com_新闻资讯_第14张