fh染色是什么意思遗传性平滑肌瘤病和肾细胞癌综合征(一)

新闻资讯2026-04-23 14:39:23

fh染色是什么意思遗传性平滑肌瘤病和肾细胞癌综合征(一)_https://www.jmylbn.com_新闻资讯_第1张

引言

遗传性平滑肌瘤病和肾细胞癌综合征相关的肾癌常表现为孤立性单侧肿块,但可能具有高度侵袭性;加之这是一种常染色体显性遗传疾病,因此加强对相关病例的形态学识别意义重大。

 

荐阅读

普外科医师、泌尿外科医师、妇科医师、皮肤科医师、肿瘤科医师、病理医师、规培学员、在校医学生、患者、健康人群。

  


  

遗传性平滑肌瘤病和肾细胞癌(hereditary leiomyomatosis and renal cell carcinoma,HLRCC)综合征又称为Reed综合征,是由于延胡索酸水解酶(fumarate hydratase,FH)基因胚系突变所致的罕见病变。密歇根大学医学院Skala等就HLRCC综合征相关肾细胞癌的问题,在《Archives of Pathology & Laboratory Medicine》撰写了专门文章。为帮助大家更好的了解该病,并尽量准确识别出这组患者、进而实施有针对性的治疗及管理,我们将该文编译介绍如下。

 


概述


约20%至35%的FH基因胚系突变患者会发生肾细胞癌,与其他常见的遗传性肾细胞肿瘤相比,HLRCC综合征相关的肾细胞癌多为单侧、孤立性病变;但这部分患者即使分期较低,也有很大几率出现转移。鉴于其高度侵袭的生物学行为,目前建议HLRCC综合征患者应从10岁开始即每年进行检查,争取在肿瘤较小时就手术切除。


HLRCC综合征的肾外表现相比非该综合征患者而言,临床上多见于相对较年轻患者,具体如皮肤及子宫的平滑肌瘤等。皮肤出现多发平滑肌瘤即应进行FH突变的相关检测。皮肤平滑肌瘤病本身也应随访,因为有可能转化为平滑肌肉瘤。

 

fh染色是什么意思遗传性平滑肌瘤病和肾细胞癌综合征(一)_https://www.jmylbn.com_新闻资讯_第2张

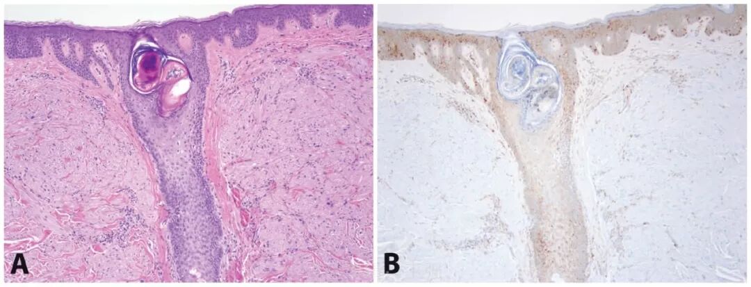
1. HLRCC综合征患者的皮肤平滑肌瘤病,形态特征上并无特殊,但免疫组化FH表达缺失,表皮及皮肤附属器可作为内对照。

 

子宫平滑肌瘤病一般人群也相对常见,但HLRCC综合征患者相对而言因出现相关症状而切除子宫者年龄要轻10岁左右(一般为30岁左右)。这类平滑肌瘤病细胞学上与HLRCC相关肾细胞癌类似,如细胞密度增加、细胞核出现多形性、胞质内存在嗜酸性颗粒状包涵体。也有HLRCC综合征患者年龄较低即发生子宫平滑肌肉瘤的报道。

 

fh染色是什么意思遗传性平滑肌瘤病和肾细胞癌综合征(一)_https://www.jmylbn.com_新闻资讯_第3张

2. HLRCC综合征患者的子宫平滑肌瘤病,细胞形态可出现非典型,且常见与HLRCC综合征相关肾细胞癌近似的细胞核特征。免疫组化瘤细胞不表达FH

 

这类患者也会出现多种肾上腺病变,如肾上腺皮质增生、嗜铬细胞瘤,极罕见的情况下出现肾上腺皮质癌。

 

如临床出现活检证实的皮肤多发性毛发平滑肌瘤(piloleiomyomas),或出现下述特征中至少2条,则可考虑为HLRCC综合征:(1)40岁之前因平滑肌瘤症状显著而手术治疗;(2)40岁之前确诊为2型乳头状肾细胞癌;(3)一级亲属符合上述标准之一。可疑家系或先证者应进行FH基因胚系突变检测以确诊。

 


HLRCC综合征相关肾细胞癌的形态学特征


HLRCC综合征相关肾细胞癌最初归为乳头状肾细胞癌,少见情况下归为集合管癌。最初报道的HLRCC家族中4例高级别肾脏肿瘤局灶可见乳头状结构、瘤细胞胞质丰富、细胞核大、伴包涵体样嗜酸性核仁。其中一例为混合性管状乳头状结构,另一例则为实性、囊性、肉瘤样区域混合。后来提出该肿瘤中最显著的形态学特征为细胞核大、伴显著包涵体样核仁。不过,这些特征可能仅存在于个别细胞中。

 

fh染色是什么意思遗传性平滑肌瘤病和肾细胞癌综合征(一)_https://www.jmylbn.com_新闻资讯_第4张

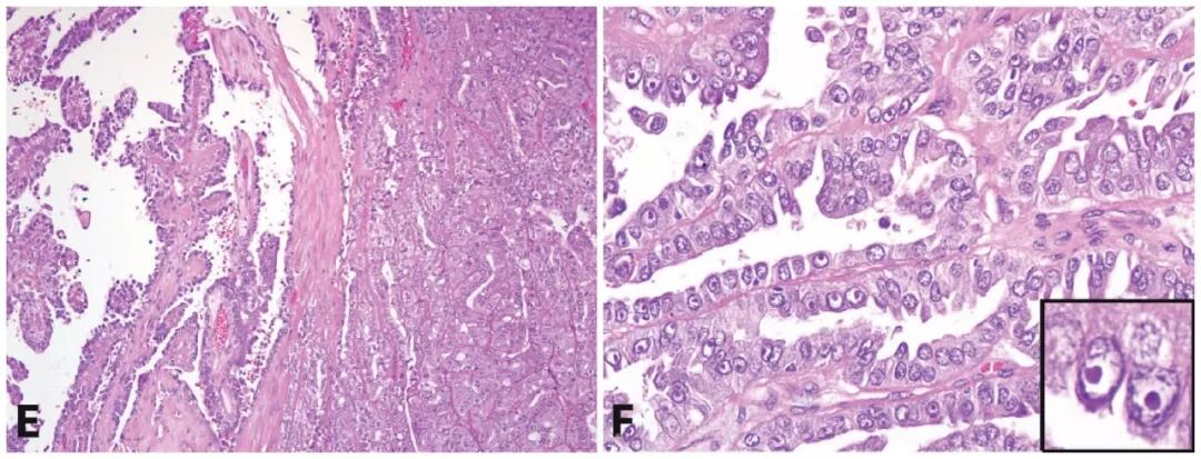
3. HLRCC综合征相关肾细胞癌常呈乳头状及管状生长;典型情况下,这一肿瘤局灶伴显著包涵体样核仁及染色质边集。


fh染色是什么意思遗传性平滑肌瘤病和肾细胞癌综合征(一)_https://www.jmylbn.com_新闻资讯_第5张

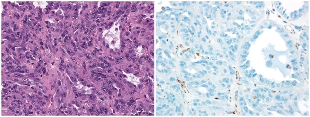
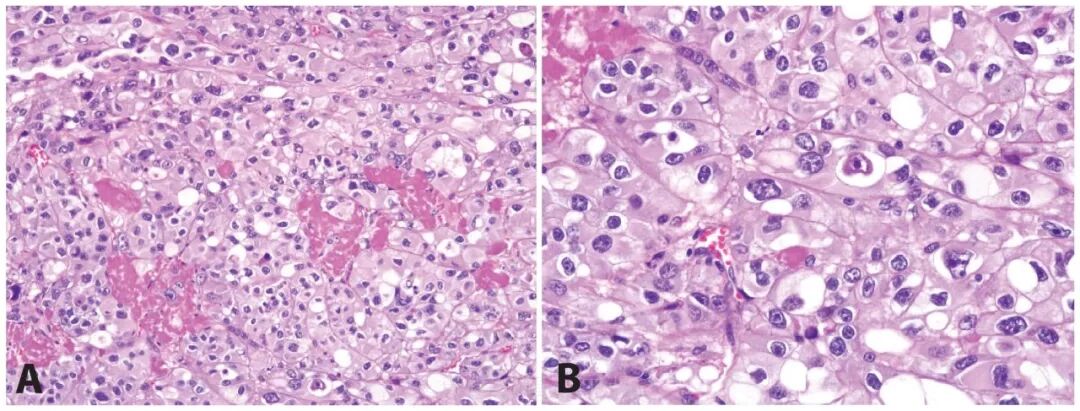
 4. HLRCC综合征相关肾细胞癌中,部分病例的细胞核特征并不显著。

 

最近一项对9例FH胚系突变患者肾肿瘤的分析中,仅1/3具有乳头状结构。这类肿瘤中的纤维脉管轴心常水肿或玻璃样变,常见微乳头状结构。所有肿瘤均为多种结构混合,如管状乳头状、实性、囊性(常伴囊内乳头状或管状乳头状结构)。常见与集合管癌的形态学重叠,且促纤维结缔组织增生的间质中伴浸润性癌及炎症。HLRCC相关肾细胞癌的管状囊性区有时可见显著核仁。

 

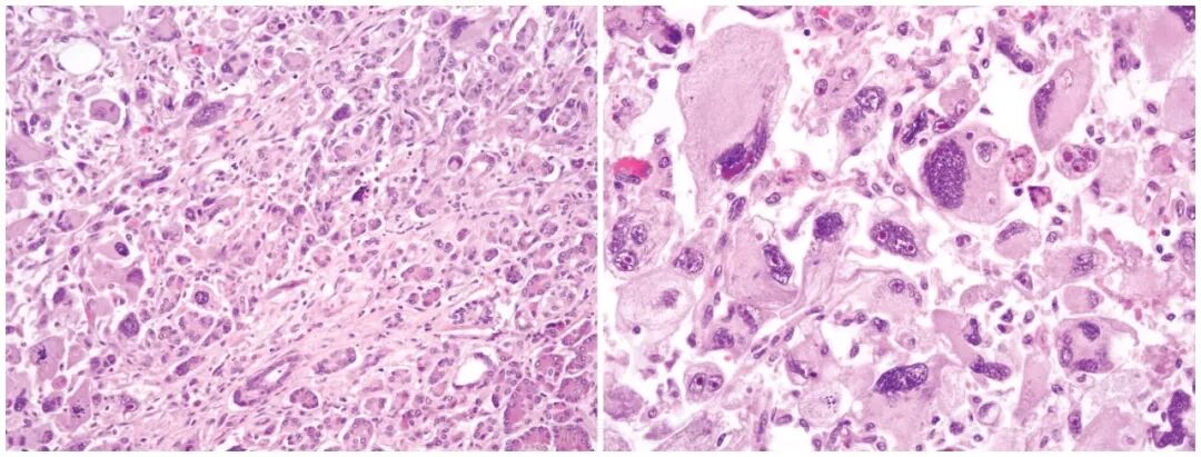
fh染色是什么意思遗传性平滑肌瘤病和肾细胞癌综合征(一)_https://www.jmylbn.com_新闻资讯_第6张

5. HLRCC综合征相关肾细胞癌中,部分病例表现为乳头状及实性生长,形似实性乳头状肾细胞癌;但细胞学上具有显著包涵体样核仁、伴显著染色质边集。


fh染色是什么意思遗传性平滑肌瘤病和肾细胞癌综合征(一)_https://www.jmylbn.com_新闻资讯_第7张

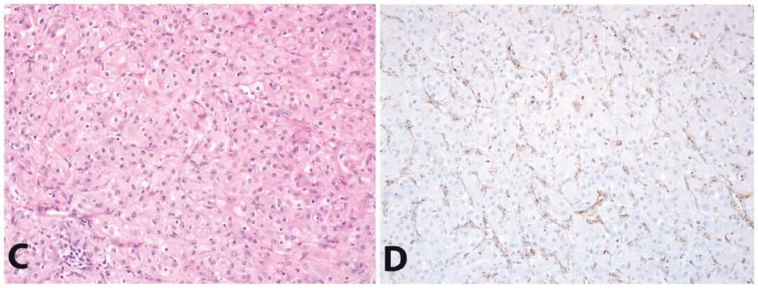
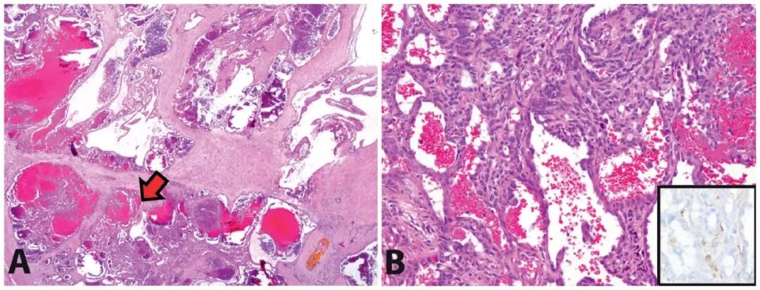
 6. 部分HLRCC综合征相关肾细胞癌可能会类似集合管癌,肿瘤性小管呈浸润性生长;但FH表达缺失、正常肾脏组织FH表达阳性(插图),证实为HLRCC综合征相关肾细胞癌。

 

至少有2例HLRCC相关肾细胞中描述有肉瘤样生长。曾有一例尸检病例中报道HLRCC相关肾细胞癌的广泛转移,即使在肉瘤样区域及横纹肌样成分中也可见典型的核特征。还有一组管状囊性生长、且伴去分化集合管癌样区域(伴低分化灶的管状囊性癌,类似图9所示)的肾细胞癌具有体细胞性FH缺陷,且部分病例证实与HLRCC综合征有关。最近描述了一种HLRCC相关肾细胞癌的低级别嗜酸细胞亚型,形似琥珀酸脱氢酶(SDH)缺陷型肾细胞癌(类似图10所示)。罕见情况下,HLRCC相关肾细胞癌可完全为囊性(图11)。

 

fh染色是什么意思遗传性平滑肌瘤病和肾细胞癌综合征(一)_https://www.jmylbn.com_新闻资讯_第8张

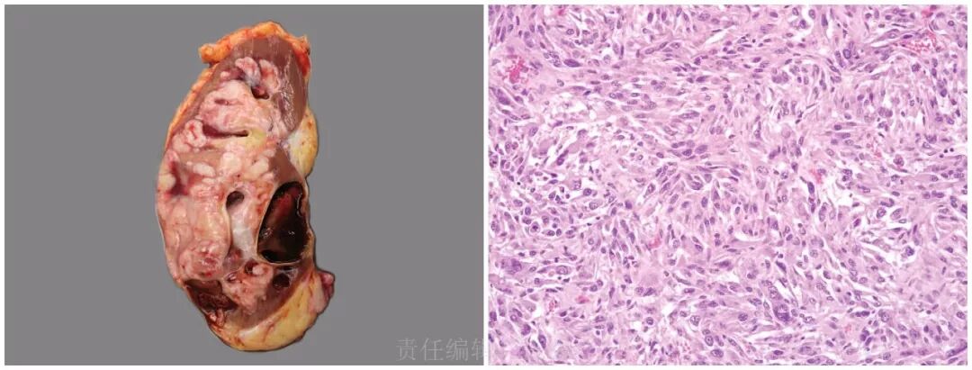
7. 一例HLRCC综合征尸检病例,左侧肾脏可见一12.5cm灰白色多结节状肿物,累及大部分肾脏,并侵犯肾脏周围及肾门处脂肪组织;组织学上表现为肉瘤样区域,细胞呈胖梭形,可见显著核仁及染色质边集。


fh染色是什么意思遗传性平滑肌瘤病和肾细胞癌综合征(一)_https://www.jmylbn.com_新闻资讯_第9张

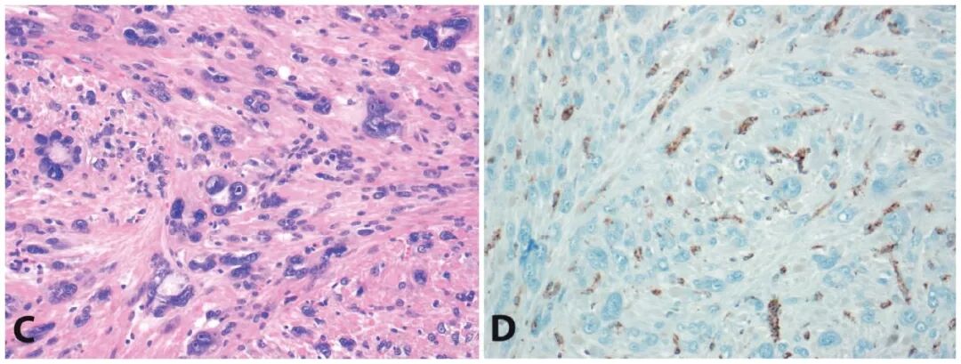
 8. 7中病例,胰腺转移灶(箭头示胰腺腺泡),可见横纹肌样细胞及多核瘤巨细胞,细胞具有显著核仁及染色质边集。


fh染色是什么意思遗传性平滑肌瘤病和肾细胞癌综合征(一)_https://www.jmylbn.com_新闻资讯_第10张

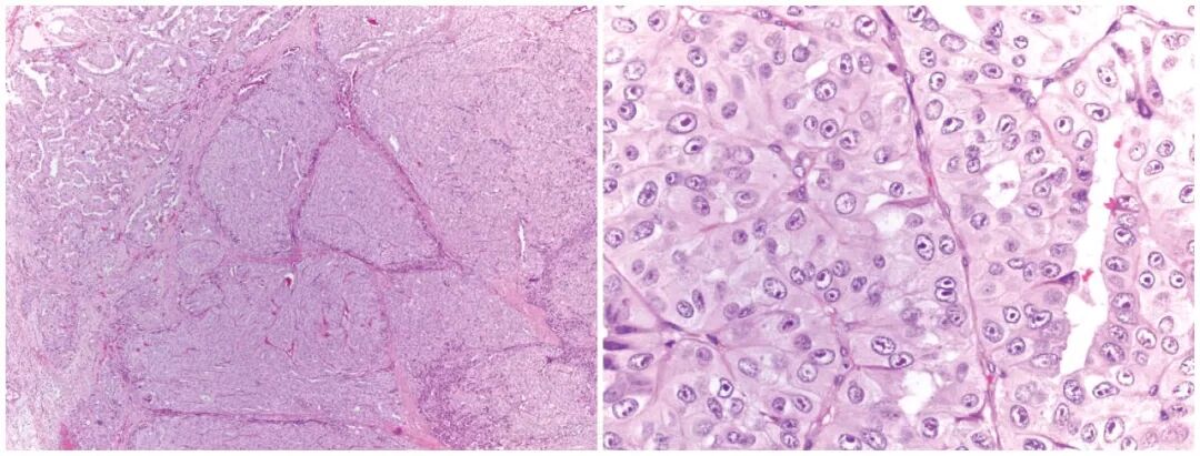
 9. HLRCC综合征相关肾细胞癌的形态学谱系:显著管状囊性及微囊性区域,局灶伴低分化(箭头及右侧高倍所示),免疫组化FH阴性。


fh染色是什么意思遗传性平滑肌瘤病和肾细胞癌综合征(一)_https://www.jmylbn.com_新闻资讯_第11张

 10. 罕见情况下,HLRCC综合征相关肾细胞癌可以出现低级别嗜酸细胞形态,类似SDH缺陷型肾细胞癌;但免疫组化FH表达缺失。


fh染色是什么意思遗传性平滑肌瘤病和肾细胞癌综合征(一)_https://www.jmylbn.com_新闻资讯_第12张

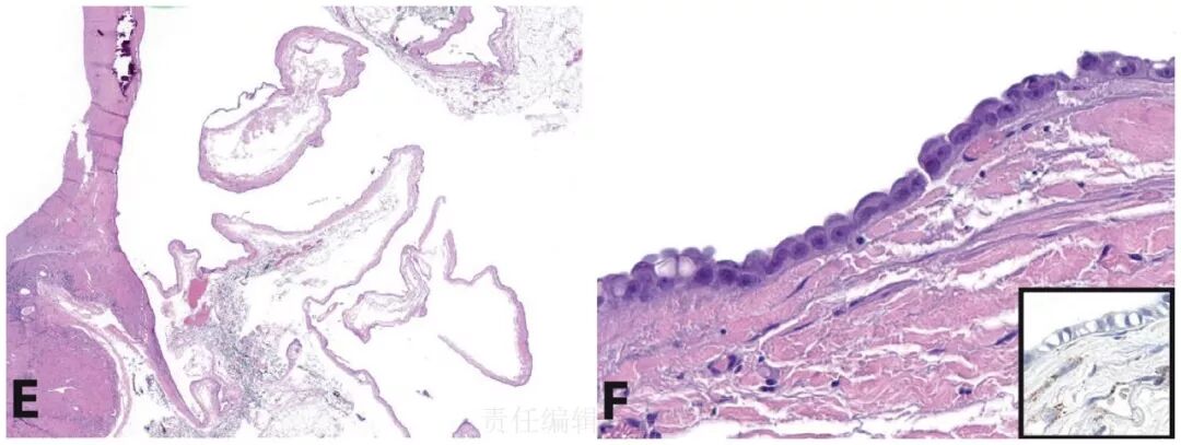
 11. HLRCC综合征相关肾细胞癌可以完全呈囊性结构,但内衬细胞仍可见显著核仁,免疫组化FH不表达。

 

最近有研究对24例已知FH突变携带者的肾脏肿瘤与12例FH野生型2型乳头状肾细胞癌进行了对比,结果表明同一肿瘤中出现多种结构的混合(包括乳头状、管状乳头状、管状囊性、肉瘤样、横纹肌样)相比显著核仁伴染色质边集而言,对HLRCC综合征相关肾癌的特异性要更好。HLRCC综合征患者即使肾脏无肿瘤,也可表现为内衬嗜酸性至透明上皮、细胞核具有前述类似特征的囊性区。


总之,HLRCC综合征相关肾癌的肿瘤细胞相对丰富,形态学表现为同一肿瘤内多种结构的混合,如管状乳头状、囊性、实性等,也可出现肉瘤样和/或低分化成分。实际工作中遇到这类肿瘤,应进一步从临床、免疫组化及分子水平证实、或排除HLRCC综合征相关的可能。

 


HLRCC综合征相关肾细胞癌的免疫组化


前述FH及S-(2-琥珀酸)-半胱氨酸(2SC)与HLRCC综合征相关肾细胞癌诊断的相关性较好。FH基因失活性突变使得免疫组化中瘤细胞不表达FH;其阳性表达为胞质颗粒状着色,血管、炎症细胞及其他非肿瘤细胞可作为内对照。瘤细胞中表达2SC的阳性结果为胞质及胞核强阳性,背景中正常的肾实质阴性。因此,形态学符合、加之免疫组化FH-/2SC+,则可进一步询问临床信息并进行胚系突变检测。CK7及荆豆凝集素-1一般为阴性,但可能并无特异性。


尽管FH-/2SC+的肾脏肿瘤强烈提示FH种系突变,但FH突变类型则决定了免疫组化是否可以检出FH蛋白的缺失。有少数HLRCC综合征相关肾细胞癌患者的免疫组化结果含糊不定,文献中认为FH错义突变时可以出现结果含糊不定、或FH阳性。皮肤或子宫平滑肌瘤中进行FH及2SC免疫组化,也可有助于检出需进一步进行HLRCC综合征相关检查的患者。

 

参考文献

Skala SL,Dhanasekaran SM.Hereditary Leiomyomatosis and Renal Cell Carcinoma Syndrome (HLRCC): A Contemporary Review and Practical Discussion of the Differential Diagnosis for HLRCC-Associated Renal Cell Carcinoma[J].Archives of pathology & laboratory medicine,2018,142(10):1202-1215.

DOI:10.5858/arpa.2018-0216-RA


【版权声明】本文不允许转载,欢迎转发朋友圈。


全文结束fh染色是什么意思遗传性平滑肌瘤病和肾细胞癌综合征(一)_https://www.jmylbn.com_新闻资讯_第13张


临床病理联盟----纯学术·纯原创·临床&病理分享平台

Welcomt to CPU DataSet


责任编辑:王强

排版:庄晓宜

审核:魏建华