fh染色是什么意思讲座| FH缺失型子宫平滑肌瘤

新闻资讯2026-04-23 14:39:20

fh染色是什么意思讲座| FH缺失型子宫平滑肌瘤_https://www.jmylbn.com_新闻资讯_第1张

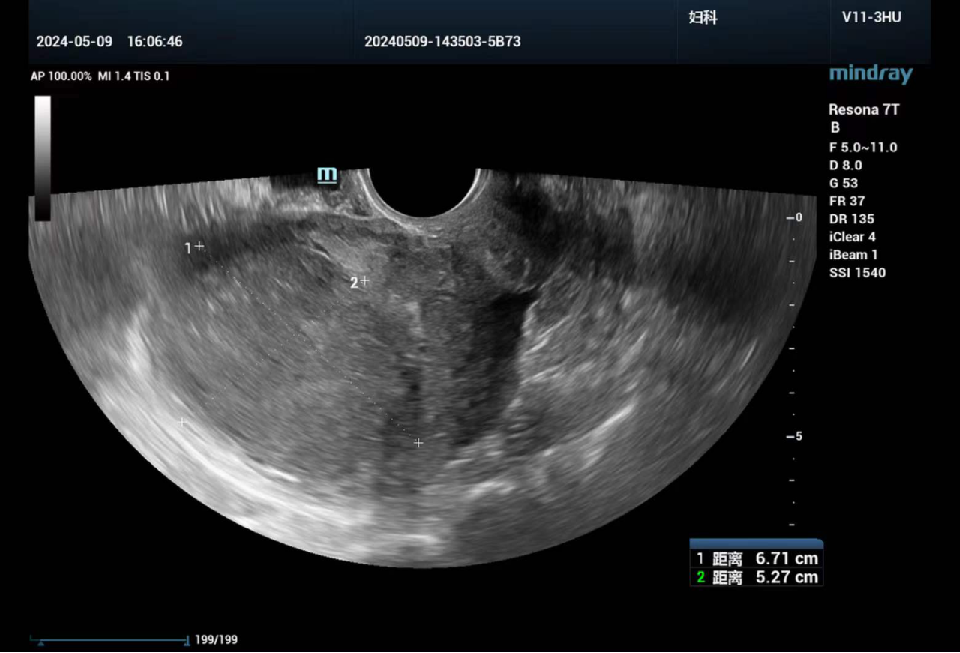
女性,51岁

发现子宫肌瘤2月余。现病史:平素月经规则,7/30天,量中,末次月经2024-4-17,近2年月经周期缩短为23天,月经量较前增多;

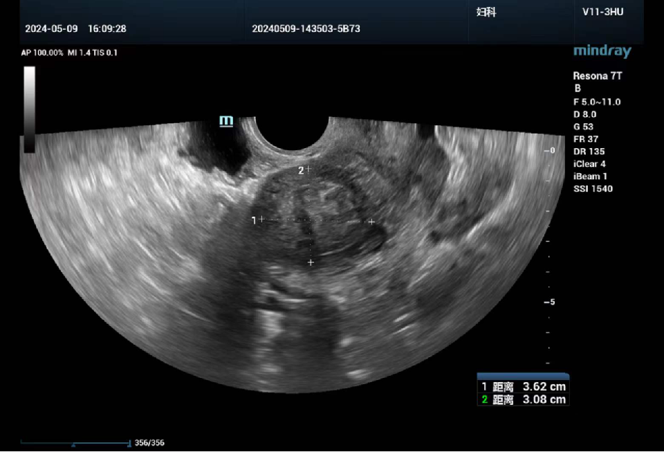
妇科超声提示子宫内膜厚0.8cm,子宫前壁探及两枚低回声团块,较大约6.6cm×5.6cm,与内膜相贴,内部回声不均。后突然出现阴道大量出血,急诊就诊霍邱县人民医院血红蛋白89g/L,急诊行分段诊刮术,术后病理:(宫颈管)黏膜慢性炎,(子宫内膜)增生期内膜腺体,部分腺体单纯性增生过长,间质较致密

fh染色是什么意思讲座| FH缺失型子宫平滑肌瘤_https://www.jmylbn.com_新闻资讯_第2张

fh染色是什么意思讲座| FH缺失型子宫平滑肌瘤_https://www.jmylbn.com_新闻资讯_第3张

fh染色是什么意思讲座| FH缺失型子宫平滑肌瘤_https://www.jmylbn.com_新闻资讯_第4张

fh染色是什么意思讲座| FH缺失型子宫平滑肌瘤_https://www.jmylbn.com_新闻资讯_第5张

fh染色是什么意思讲座| FH缺失型子宫平滑肌瘤_https://www.jmylbn.com_新闻资讯_第6张

fh染色是什么意思讲座| FH缺失型子宫平滑肌瘤_https://www.jmylbn.com_新闻资讯_第7张

fh染色是什么意思讲座| FH缺失型子宫平滑肌瘤_https://www.jmylbn.com_新闻资讯_第8张

fh染色是什么意思讲座| FH缺失型子宫平滑肌瘤_https://www.jmylbn.com_新闻资讯_第9张

fh染色是什么意思讲座| FH缺失型子宫平滑肌瘤_https://www.jmylbn.com_新闻资讯_第10张

fh染色是什么意思讲座| FH缺失型子宫平滑肌瘤_https://www.jmylbn.com_新闻资讯_第11张

fh染色是什么意思讲座| FH缺失型子宫平滑肌瘤_https://www.jmylbn.com_新闻资讯_第12张

fh染色是什么意思讲座| FH缺失型子宫平滑肌瘤_https://www.jmylbn.com_新闻资讯_第13张

fh染色是什么意思讲座| FH缺失型子宫平滑肌瘤_https://www.jmylbn.com_新闻资讯_第14张

fh染色是什么意思讲座| FH缺失型子宫平滑肌瘤_https://www.jmylbn.com_新闻资讯_第15张

fh染色是什么意思讲座| FH缺失型子宫平滑肌瘤_https://www.jmylbn.com_新闻资讯_第16张

fh染色是什么意思讲座| FH缺失型子宫平滑肌瘤_https://www.jmylbn.com_新闻资讯_第17张

fh染色是什么意思讲座| FH缺失型子宫平滑肌瘤_https://www.jmylbn.com_新闻资讯_第18张

fh染色是什么意思讲座| FH缺失型子宫平滑肌瘤_https://www.jmylbn.com_新闻资讯_第19张

fh染色是什么意思讲座| FH缺失型子宫平滑肌瘤_https://www.jmylbn.com_新闻资讯_第20张

fh染色是什么意思讲座| FH缺失型子宫平滑肌瘤_https://www.jmylbn.com_新闻资讯_第21张

fh染色是什么意思讲座| FH缺失型子宫平滑肌瘤_https://www.jmylbn.com_新闻资讯_第22张

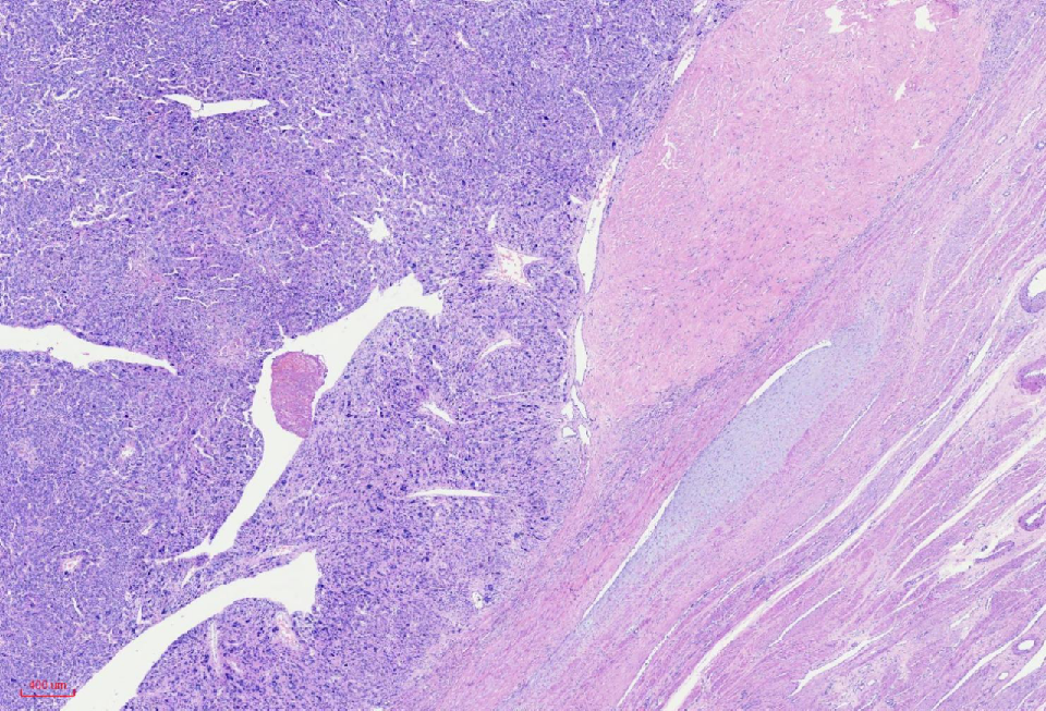
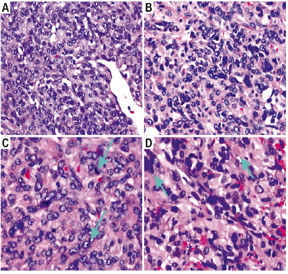
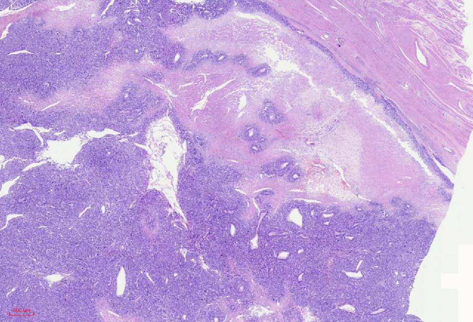
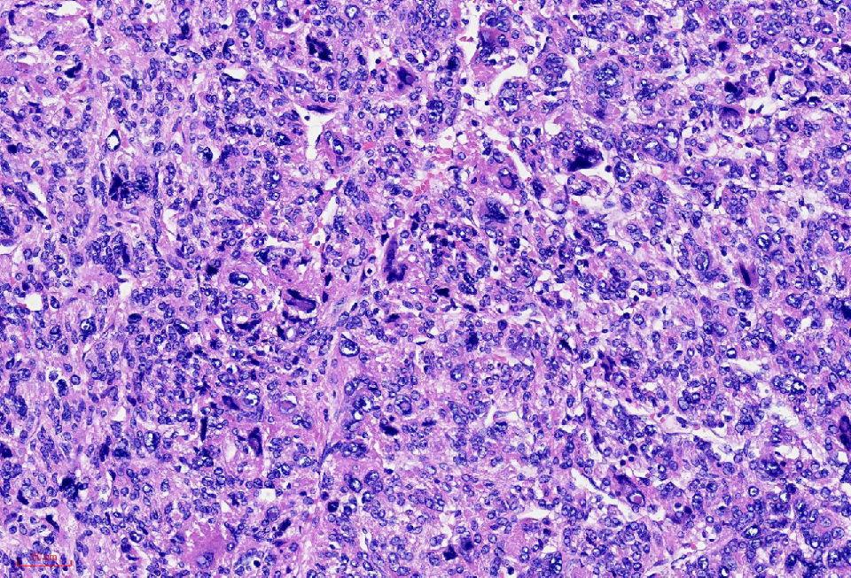
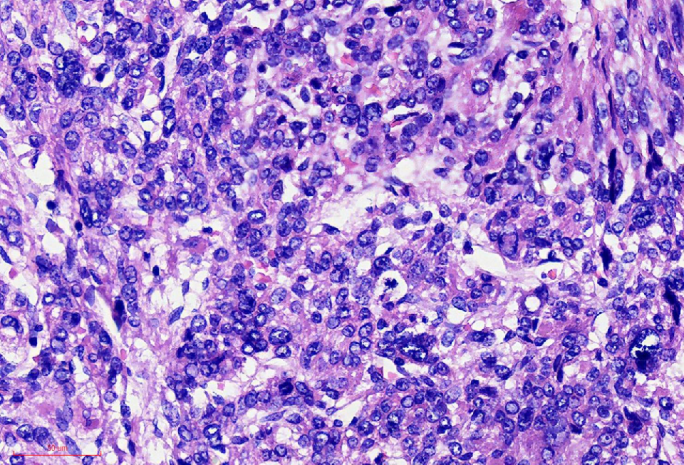
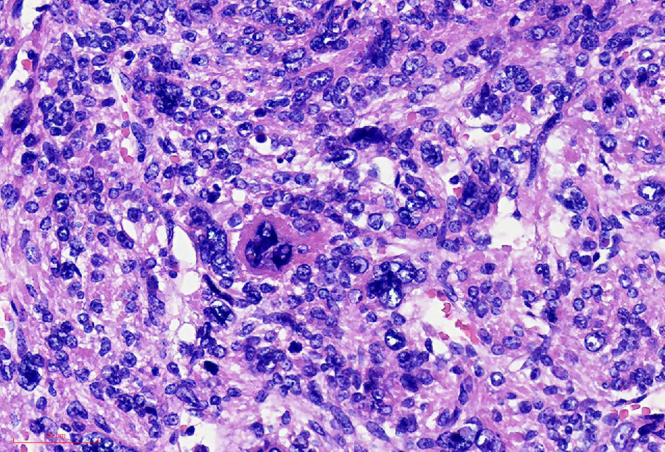
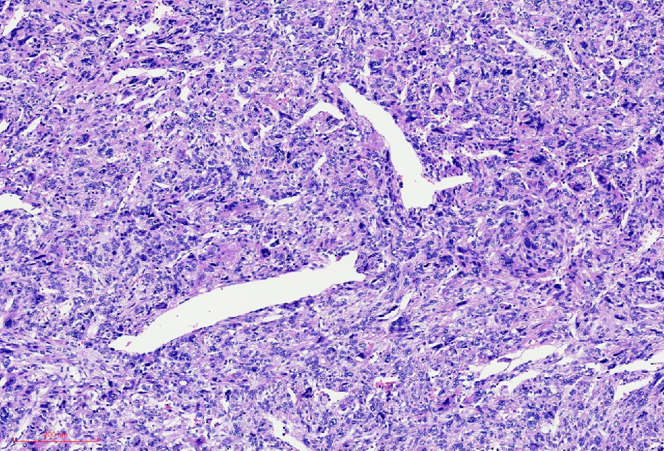
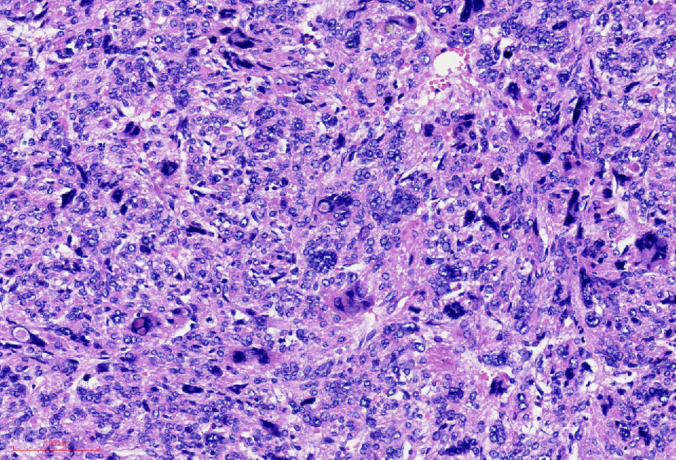
组织学改变

肿瘤与周围境界清楚

肿瘤细胞丰富

瘤细胞排列呈血管外皮瘤样

瘤细胞疏密相间

异型明显,可见核内包涵体,红核仁

未见凝固性坏死

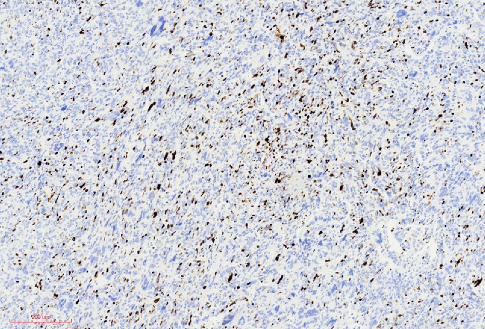
核分裂象数2个/10HPF

p53约95%强阳性,属于突变型

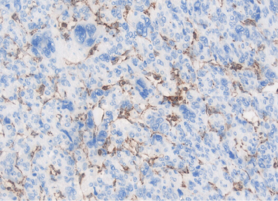
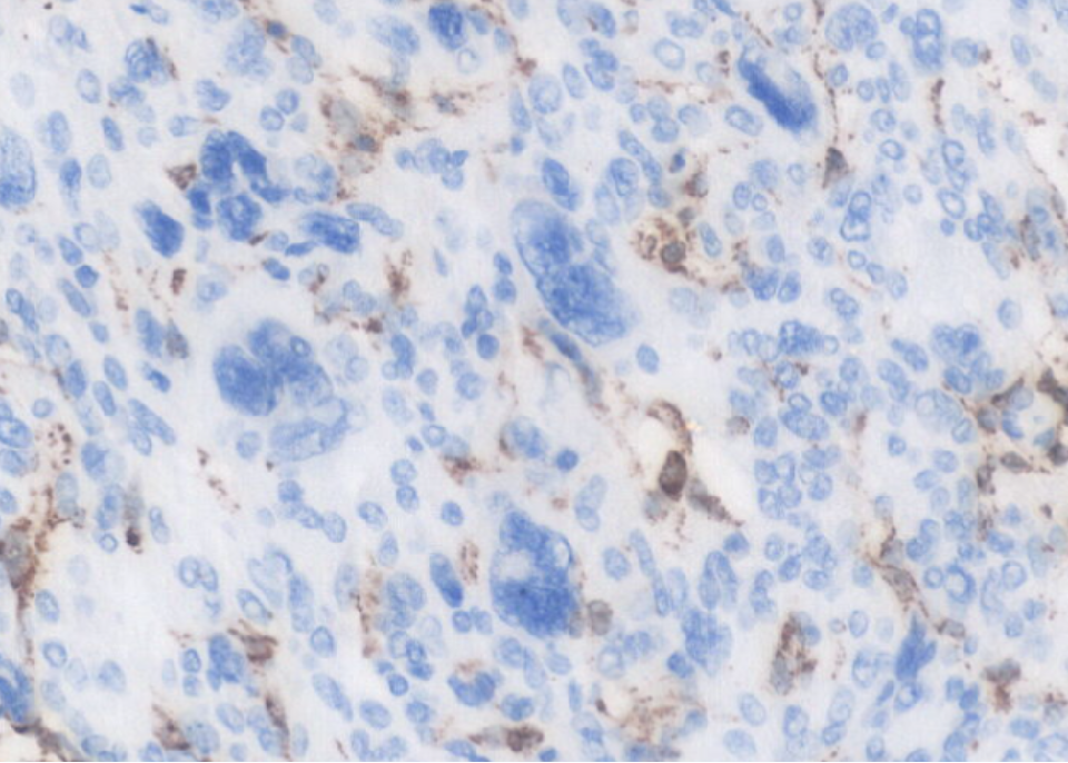
免疫组化标记结果

fh染色是什么意思讲座| FH缺失型子宫平滑肌瘤_https://www.jmylbn.com_新闻资讯_第23张

fh染色是什么意思讲座| FH缺失型子宫平滑肌瘤_https://www.jmylbn.com_新闻资讯_第24张

fh染色是什么意思讲座| FH缺失型子宫平滑肌瘤_https://www.jmylbn.com_新闻资讯_第25张

fh染色是什么意思讲座| FH缺失型子宫平滑肌瘤_https://www.jmylbn.com_新闻资讯_第26张

fh染色是什么意思讲座| FH缺失型子宫平滑肌瘤_https://www.jmylbn.com_新闻资讯_第27张

fh染色是什么意思讲座| FH缺失型子宫平滑肌瘤_https://www.jmylbn.com_新闻资讯_第28张

fh染色是什么意思讲座| FH缺失型子宫平滑肌瘤_https://www.jmylbn.com_新闻资讯_第29张

子宫平滑肌瘤是女性生殖系统最常见的妇科良性肿瘤,发病原因有众多学说,目前尚未确定普通型子宫肌瘤发生的候选基因

遗传性平滑肌瘤病和肾细胞癌(hereditary leiomyomatosis and renal cell carcinoma,HLRCC)综合征作为子宫平滑肌瘤的一种类型,已证实与编码线粒体延胡索酸水合酶(fumarate hydratase,FH)的基因突变相关,导致FH表达缺失

编码FH的基因位于常染色体1q42.3-43区域,大多数HLRCC综合征患者合并FH基因相关的错义、无义、移码、插入、剪接位点突变和完全缺失等FH缺陷,其中以错义突变最常见

HLRCC综合征又称Reed综合征,是常染色体显性遗传病,表现为皮肤多发性平滑肌瘤、早发性子宫平滑肌瘤和肾细胞癌

若未合并肾细胞癌,则称为多发性皮肤和子宫肌瘤病(multiple cutaneous and uterine leiomyomatosis,MCUL)

部分FH缺陷型子宫平滑肌瘤为 FH 基因的体系突变导致,疾病呈散发性

FH基因的体系突变较胚系突变更为常见

FH缺陷型子宫平滑肌瘤占全部子宫平滑肌瘤的0.4%-1.6%

延胡索酸水合酶缺陷型子宫平滑肌瘤诊治的中国专家共识(2023年版)病因学

FH在线粒体中催化延胡索酸和苹果酸盐之间的可逆水化和脱水反应,在三羧酸循环(tricarbox-ylic acid cycle,TCA)中发挥关键作用

(1)TCA循环失调

(2)假性缺氧

(3)琥珀酸脂化修饰

(4)铁稳定性破坏

(5)同源重组修复缺陷

临床表现

子宫平滑肌瘤

皮肤平滑肌瘤

肾细胞癌

(1)是患者死亡的主要原因

(2)HLRCC的终生肾癌风险约为15%,该肿瘤类型在2022年世界卫生组织(WHO)第五版肾肿瘤分类中被列为分子改变相关肾细胞肿瘤之一——FH缺陷型肾细胞癌

(3)组织学类型主要是Ⅱ型乳头状肾细胞癌

(4)平均发病年龄为36岁,就诊时多为晚期,预后极差

HLRCC的临床诊断标准

主要诊断标准

(1)多发性皮肤平滑肌瘤,特别是伴有特征性刺痛

(2)一个或多个毛发平滑肌瘤,伴随特征性刺痛

次要诊断标准

(1)孤立性皮肤平滑肌瘤和HLRCC家族史

(2)40 岁前出现Ⅱ型乳头状肾细胞癌

(3)女性在40岁前出现伴有严重症状的子宫肌瘤

(4)符合上述条件之一的一级亲属,二级父系家庭女性成员40岁前出现伴有严重症状的子宫肌瘤

        符合主要标准时,表明HLRCC综合征的可能性很大;若符合2条或以上次要标准,则可怀疑其为HLRCC,需进行进一步的检测以辅助诊断,如免疫组化分析、基因检测等

辅助检查

经腹超声和经阴道超声检查

MRI检查

宫腔镜检查:对病变部位进行取材活检或者直接切除

推荐等级:2A类

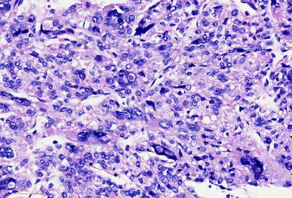
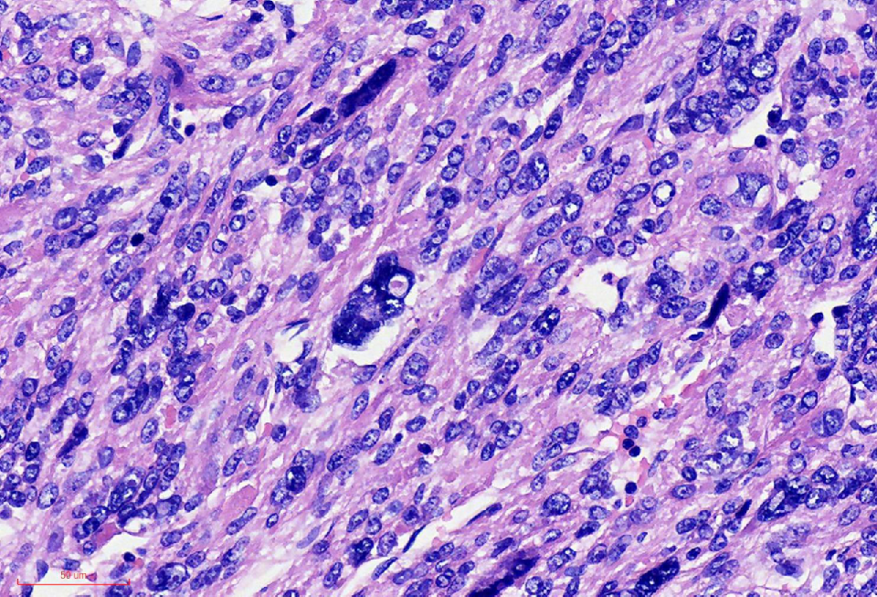
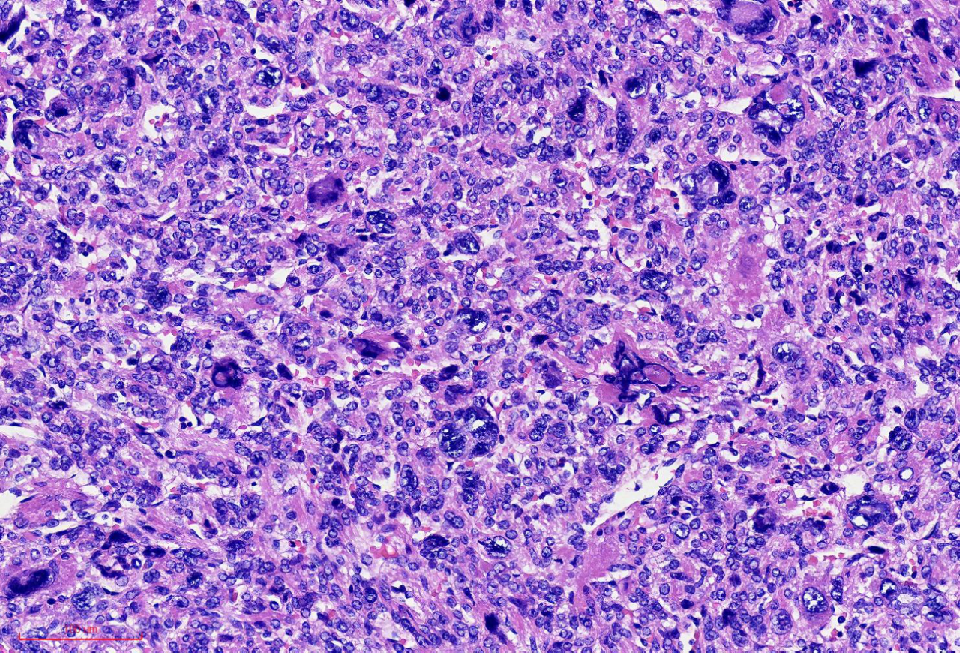
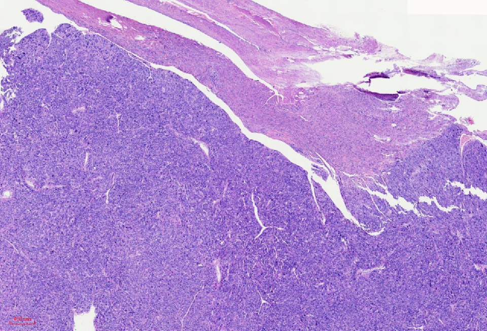
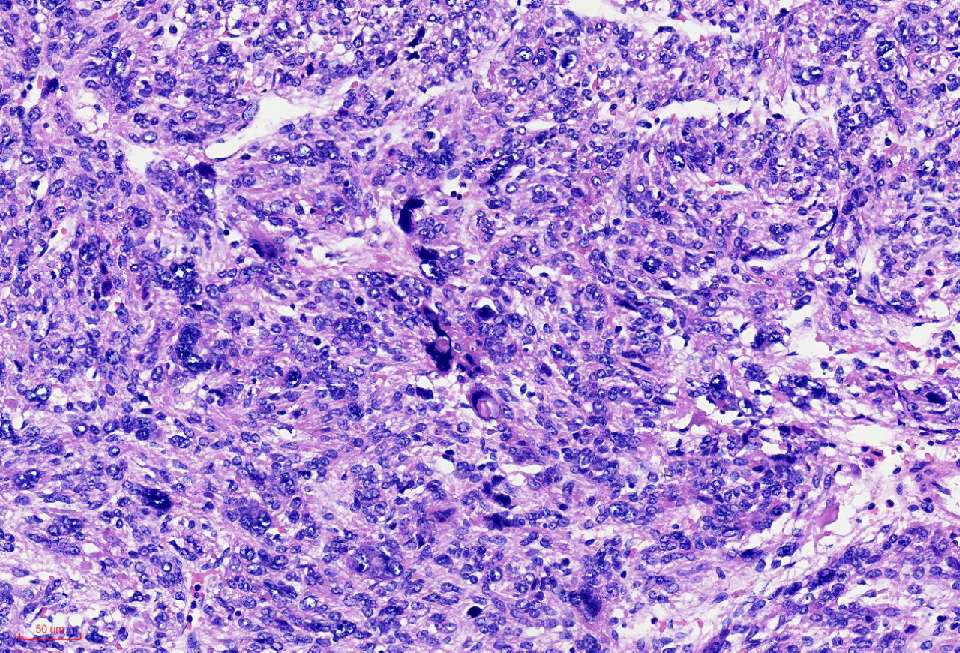
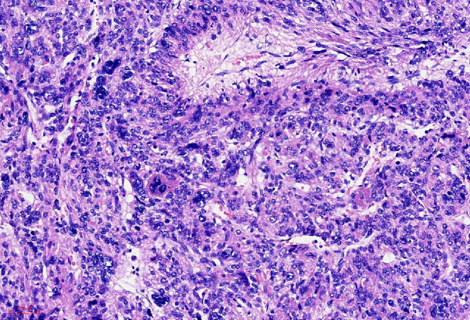
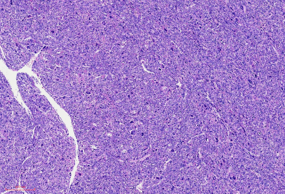
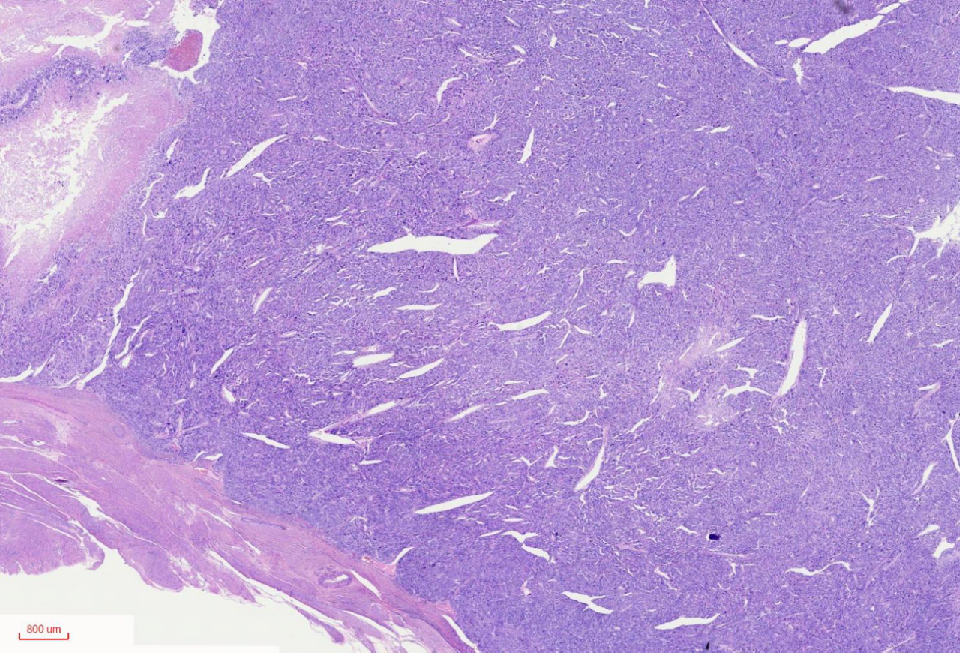
组织学改变

肿瘤境界清楚

细胞丰富

鹿角样/血管外皮瘤样血管

肺水肿样水肿/疏密相间

细胞核奇异,嗜酸性胞质,有显著的嗜酸性核仁,核仁周围可见空晕,部分细胞呈横纹肌样

核分裂象少见

无凝固性坏死

FH表达缺失

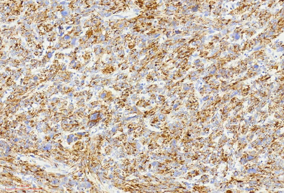
免疫组织化学特征

(1)FH免疫组化染色的缺失具有较高的特异性,与FH基因突变(体系或胚系突变)密切相关

(2)FH染色阳性不应排除 FH基因异常

(3)FH错义突变可产生非功能性FH蛋白,从而限制免疫组化染色的特异性。因此,FH染色的临床应用具有一定的局限性,建议结合其他免疫标记或分子检测

2SC(二琥珀酸半胱氨酸):2SC染色的敏感性和特异性更高,可用于弥补FH 染色的局限性

分子遗传学特征

仅依赖FH的免疫组化会造成一部分患者漏诊,基因检测是诊断FH缺陷型子宫平滑肌瘤的金标准

(1)双等位基因失活:1q43的杂合性缺失(loss of heterozygosity,LOH)很常见(80%),提示FH基因的双等位基因失活,其中一个等位基因因胚系突变失活,另一个基因LOH失活

(2)表观遗传沉默:在FH缺陷型子宫平滑肌瘤中,细胞内延胡索酸水平升高,可以抑制多种α-酮戊二酸(α-ketoglutarate,α-KG)依赖性双加氧酶活性,从而抑制组蛋白和DNA去甲基化

(3)拷贝数变异 (copy number variation,CNV)

推荐等级:2A类

治疗

子宫平滑肌瘤的治疗

(1) FH缺陷型子宫平滑肌瘤患者较为年轻,绝大部分有保留生育功能的需求,初次手术多选择子宫肌瘤剔除术,术后可补充促性腺激素释放激素类 似 物(gonadotropin- releasing hormone analogue,GnRHa)预防复发

(2)剔除术后复发率高

(3)无生育需求者建议子宫切除术,以减少多次手术带来的伤害

皮肤平滑肌瘤治疗:根据病情严重程度以及病变范围选择相应的方式,如药物治疗、手术治疗和物理疗法

肾细胞癌治疗:对于 FH 基因胚系突变携带者,建议每年进行肾脏检查。一旦检测到肾细胞癌病灶,应尽早进行广泛手术切除;对于转移性肾癌,可采取免疫治疗联合靶向治疗,包括帕博利珠单抗、纳武利尤单抗、阿昔替尼、厄洛替尼等

疑惑

富于细胞型平滑肌瘤、奇异型平滑肌瘤、恶性潜能未定型平滑肌瘤以及平滑肌肉瘤中也可出现与FH缺失型平滑肌瘤相似的形态学改变

两例病例中细胞均异型/奇异,是否预示以往的奇异型平滑肌瘤均属于FH缺失型平滑肌瘤?

两例p53均为突变型,TP53在FH缺失型平滑肌瘤的发生发展中有何意义?

第二例除了p53突变外,Ki-67也高表达,可否诊断为FH缺失型恶性潜能未定型平滑肌瘤?

p53突变型和高Ki-67表达,是否疑为着高复发率?

fh染色是什么意思讲座| FH缺失型子宫平滑肌瘤_https://www.jmylbn.com_新闻资讯_第30张

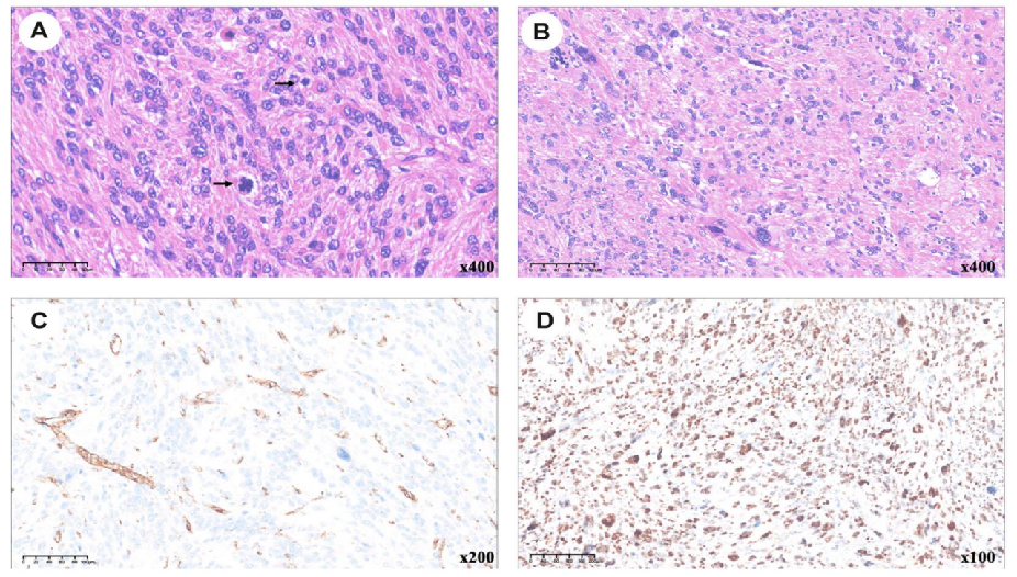
FH缺陷型平滑肌肿瘤

伴奇异核的平滑肌瘤

恶性潜能未定的平滑肌肿瘤

平滑肌肉瘤

fh染色是什么意思讲座| FH缺失型子宫平滑肌瘤_https://www.jmylbn.com_新闻资讯_第31张

FH缺陷型平滑肌肉瘤(中-重度异型性,核分裂象13个/10HPF)

fh染色是什么意思讲座| FH缺失型子宫平滑肌瘤_https://www.jmylbn.com_新闻资讯_第32张

fh染色是什么意思讲座| FH缺失型子宫平滑肌瘤_https://www.jmylbn.com_新闻资讯_第33张

fh染色是什么意思讲座| FH缺失型子宫平滑肌瘤_https://www.jmylbn.com_新闻资讯_第34张

全基因组测序:子宫原发性肿瘤与肺转移性肿瘤具有相似的拷贝数改变、1号染色体JAK1大片段重复和缺失、FH体细胞纯合性缺失。除了所有三种肿瘤共有的突变外,肺肿瘤还存在其他的改变(NRG1和MYOCD突变)。第二个肺平滑肌肉瘤有额外的改变,包括FGFR1的突变。

FH缺陷型平滑肌瘤是否较其他亚型的平滑肌瘤更具危险性(复发、转移),有待更多的研究证实。

fh染色是什么意思讲座| FH缺失型子宫平滑肌瘤_https://www.jmylbn.com_新闻资讯_第35张