索诺星超声怎么样骶尾部藏毛窦广东(广州)索诺星无线掌超现场试机活动,无线掌超,值得拥有

新闻资讯2026-04-21 21:26:50

索诺星超声怎么样骶尾部藏毛窦广东(广州)索诺星无线掌超现场试机活动,无线掌超,值得拥有_https://www.jmylbn.com_新闻资讯_第1张

骶尾部藏毛窦

.概述

藏毛窦(Pilonidal sinus)是一种少见病,常发生于骶尾部臀间裂,表现为骶尾部的一种慢性窦道或囊肿,临床表现为骶尾部急性脓肿、慢性窦道,可反复破溃。本病多在青春期后发病,男性多于女性,多见于多毛、皮脂过度活动、臀间裂过深和臀部常受伤的患者。发生于骶尾部的藏毛窦称为骶尾部藏毛窦,此外,发生于腋下、腹股沟区、指间、鼻梁的藏毛窦病例也偶有报道。

.定义

藏毛窦(pilonidal sinus 或藏毛囊肿(pilonidal cyst)是骶尾部臀间裂软组织内一种慢性窦道或囊肿,内含毛发,可表现为骶尾部急性脓肿。

.病因

.先天

骶管残留或骶尾缝发育畸形导致皮肤包涵物

.后天

外部进入的毛发。臀间裂负吸引作用,脱落的毛发穿入皮肤形成短道,加深成窦。

.病理

表现包括原发管道、窦腔、次发管道以及毛发。

.临床表现

藏毛囊肿如无继发感染常无症状,只是骶尾部突起,有的感觉骶尾部疼痛和肿胀。通常主要和首发症状是在骶尾部发生急性脓肿,局部有红、肿、热、痛等急性炎症特点。多自动突破流出脓汁或经外科手术引流后炎症消退,少数引流口可以完全闭合,但多数表现为反复发作或经常流水而形成窦道或瘘管。

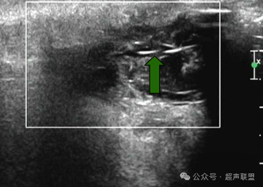
.超声表现

1.紧邻皮下软组织的异常回声,部分可见窦道,窦道开口于皮肤,但是在临床工作中很少能看到窦道;

2.骶尾部中线囊性或囊实性包块

3.与肛管无关

4.壁厚,与椎管不通或通

5.臀部毛发较多

6.混合回声病灶,炎症的不同时期病灶声像图表现多样。多为以无回声为主的混合回声包块,该病是一种慢性炎症性疾病,在炎症的进展过程中部分病例可以出现以实性成份为主的混合回声包块;

7.毛发样强回声是该病的重要特征性表现。该病例声像图内可见线样强回声,为毛发,故诊断为藏毛窦。

.鉴别诊断

藏毛窦在超声诊断过程中需要与肛周脓肿、肛瘘及骶尾部皮脂腺囊肿等鉴别。

1.肛周脓肿是肛管、直肠周围软组织内或其周围间隙内发生急性化脓性感染,并形成脓肿,部分病例可见窦道与肛管、直肠相通,而藏毛窦形成窦道时只与皮肤相通。

2.肛瘘是由瘘管、内外瘘口组成,内瘘向肛门延伸,到达肛管直肠腔内,而藏毛窦病灶只有外瘘,纵向深度较浅,部分病例可向肛门延伸,但与肛门直肠不相通。

3.骶尾部皮脂腺囊肿及表皮样囊肿多位于皮下,紧邻皮肤,囊壁清晰,形态规整,内部无血流信号,无皮肤破溃形成的窦道,这样就很难与无窦道及无毛发的藏毛窦进行鉴别。

4.皮脂腺囊肿与皮脂腺关系密切,发出于皮脂,皮脂腺回声较均匀,未见毛发,发病部位,与肛管有关系的是肛周脓肿

.超声检查价值

目前研究表明,超声检查对诊断藏毛窦有一定的价值,可以术前评估藏毛窦的长度、宽度、高度及有无窦道的存在,与周围组织的关系。藏毛窦的治疗方案主要为手术切除,要想彻底切除,就需要我们超声医师术前仔细探查病灶的范围、深度、有无窦道、与肛管直肠是否相通、与周围组织分界是否清晰及其血流信号的情况。

索诺星超声怎么样骶尾部藏毛窦广东(广州)索诺星无线掌超现场试机活动,无线掌超,值得拥有_https://www.jmylbn.com_新闻资讯_第2张

索诺星超声怎么样骶尾部藏毛窦广东(广州)索诺星无线掌超现场试机活动,无线掌超,值得拥有_https://www.jmylbn.com_新闻资讯_第3张

藏毛窦

索诺星超声怎么样骶尾部藏毛窦广东(广州)索诺星无线掌超现场试机活动,无线掌超,值得拥有_https://www.jmylbn.com_新闻资讯_第4张

索诺星超声怎么样骶尾部藏毛窦广东(广州)索诺星无线掌超现场试机活动,无线掌超,值得拥有_https://www.jmylbn.com_新闻资讯_第5张

索诺星超声怎么样骶尾部藏毛窦广东(广州)索诺星无线掌超现场试机活动,无线掌超,值得拥有_https://www.jmylbn.com_新闻资讯_第6张

广东(广州)索诺星无线掌超现场试机活动

地址:广州市黄埔区崖鹰石路27号自编三栋五楼504房
时间:每周一到周六,9点-18点


联系人:曹雁

手机微信18672513152


索诺星超声怎么样骶尾部藏毛窦广东(广州)索诺星无线掌超现场试机活动,无线掌超,值得拥有_https://www.jmylbn.com_新闻资讯_第7张

索诺星超声怎么样骶尾部藏毛窦广东(广州)索诺星无线掌超现场试机活动,无线掌超,值得拥有_https://www.jmylbn.com_新闻资讯_第8张

索诺星超声怎么样骶尾部藏毛窦广东(广州)索诺星无线掌超现场试机活动,无线掌超,值得拥有_https://www.jmylbn.com_新闻资讯_第9张

索诺星超声怎么样骶尾部藏毛窦广东(广州)索诺星无线掌超现场试机活动,无线掌超,值得拥有_https://www.jmylbn.com_新闻资讯_第10张

索诺星超声怎么样骶尾部藏毛窦广东(广州)索诺星无线掌超现场试机活动,无线掌超,值得拥有_https://www.jmylbn.com_新闻资讯_第11张

索诺星超声怎么样骶尾部藏毛窦广东(广州)索诺星无线掌超现场试机活动,无线掌超,值得拥有_https://www.jmylbn.com_新闻资讯_第12张


索诺星超声怎么样骶尾部藏毛窦广东(广州)索诺星无线掌超现场试机活动,无线掌超,值得拥有_https://www.jmylbn.com_新闻资讯_第13张

索诺星超声怎么样骶尾部藏毛窦广东(广州)索诺星无线掌超现场试机活动,无线掌超,值得拥有_https://www.jmylbn.com_新闻资讯_第14张

索诺星超声怎么样骶尾部藏毛窦广东(广州)索诺星无线掌超现场试机活动,无线掌超,值得拥有_https://www.jmylbn.com_新闻资讯_第15张

索诺星超声怎么样骶尾部藏毛窦广东(广州)索诺星无线掌超现场试机活动,无线掌超,值得拥有_https://www.jmylbn.com_新闻资讯_第16张

索诺星超声怎么样骶尾部藏毛窦广东(广州)索诺星无线掌超现场试机活动,无线掌超,值得拥有_https://www.jmylbn.com_新闻资讯_第17张

索诺星超声怎么样骶尾部藏毛窦广东(广州)索诺星无线掌超现场试机活动,无线掌超,值得拥有_https://www.jmylbn.com_新闻资讯_第18张

无线掌超,双头三合一彩超,凸阵+线阵双头,附加相控心脏功能

索诺星超声怎么样骶尾部藏毛窦广东(广州)索诺星无线掌超现场试机活动,无线掌超,值得拥有_https://www.jmylbn.com_新闻资讯_第19张


索诺星SonoStar隆重推出15/20MHz高频线阵掌上彩超,高分辨率高清晰图像,且高性价比,医美、外科、肌骨可视化的利器