粪沉渣怎么取最新资料整理的尿检图谱:36张图片手把手教你辨认尿液中的鸟粪石结晶

新闻资讯2026-04-21 21:24:52
粪沉渣怎么取最新资料整理的尿检图谱:36张图片手把手教你辨认尿液中的鸟粪石结晶_https://www.jmylbn.com_新闻资讯_第1张

宠医客-助力宠物医生终身成长

Dennis J. Chew

DVM Diplomate ACVIM (Internal Medicine)

Professor Emeritus

Veterinary Medical Center

The Ohio State University, Columbus, OH, USA


Patricia A. Schenck

DVM, PhD

Veterinary Consulting

DeWitt, MI, USA宠医客编译,如需转载请与宠医客联系

粪沉渣怎么取最新资料整理的尿检图谱:36张图片手把手教你辨认尿液中的鸟粪石结晶_https://www.jmylbn.com_新闻资讯_第2张

引言

粪沉渣怎么取最新资料整理的尿检图谱:36张图片手把手教你辨认尿液中的鸟粪石结晶_https://www.jmylbn.com_新闻资讯_第3张

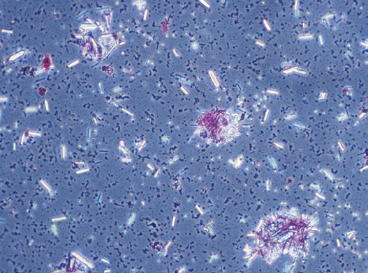
图1 染色尿沉渣中的鸟粪石晶体。该区域偶见红细胞。这是特发性膀胱炎的猫尿沉渣。

粪沉渣怎么取最新资料整理的尿检图谱:36张图片手把手教你辨认尿液中的鸟粪石结晶_https://www.jmylbn.com_新闻资讯_第4张
粪沉渣怎么取最新资料整理的尿检图谱:36张图片手把手教你辨认尿液中的鸟粪石结晶_https://www.jmylbn.com_新闻资讯_第5张
粪沉渣怎么取最新资料整理的尿检图谱:36张图片手把手教你辨认尿液中的鸟粪石结晶_https://www.jmylbn.com_新闻资讯_第6张

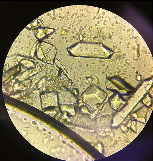
图2  (a)鸟粪石(未染色尿沉渣)。成簇的鸟粪石和两个X形的大晶体。(b)鸟粪石晶体。高倍图显示该晶体的边缘和三维性质。(c)鸟粪石晶体。两个晶体相互垂直生长。图片来自Dr. Michael Horton, Fairborn, OH


粪沉渣怎么取最新资料整理的尿检图谱:36张图片手把手教你辨认尿液中的鸟粪石结晶_https://www.jmylbn.com_新闻资讯_第7张

图3 鸟粪石晶体,高倍镜。图片来自Dr. Richard Scott, Animal Medical Center, New York, NY


粪沉渣怎么取最新资料整理的尿检图谱:36张图片手把手教你辨认尿液中的鸟粪石结晶_https://www.jmylbn.com_新闻资讯_第8张

图4 鸟粪石晶体,高倍放大。可看到该晶体的三维结构。

粪沉渣怎么取最新资料整理的尿检图谱:36张图片手把手教你辨认尿液中的鸟粪石结晶_https://www.jmylbn.com_新闻资讯_第9张

图5 鸟粪石晶体

粪沉渣怎么取最新资料整理的尿检图谱:36张图片手把手教你辨认尿液中的鸟粪石结晶_https://www.jmylbn.com_新闻资讯_第10张

图6 鸟粪石晶体。大部分晶体呈簇状堆积。

粪沉渣怎么取最新资料整理的尿检图谱:36张图片手把手教你辨认尿液中的鸟粪石结晶_https://www.jmylbn.com_新闻资讯_第11张

图7 鸟粪石晶体(染色尿沉渣)。非常明显的边缘显示出这种晶体的三维结构。

粪沉渣怎么取最新资料整理的尿检图谱:36张图片手把手教你辨认尿液中的鸟粪石结晶_https://www.jmylbn.com_新闻资讯_第12张

图8 鸟粪石晶体和大量RBC。

粪沉渣怎么取最新资料整理的尿检图谱:36张图片手把手教你辨认尿液中的鸟粪石结晶_https://www.jmylbn.com_新闻资讯_第13张

图9 鸟粪石晶体(染色尿沉渣)。背景中有许多锯齿状RBC 和少数WBC。

粪沉渣怎么取最新资料整理的尿检图谱:36张图片手把手教你辨认尿液中的鸟粪石结晶_https://www.jmylbn.com_新闻资讯_第14张

图10 鸟粪石晶体-染色尿沉渣。许多红细胞和一个大鳞状上皮细胞。


粪沉渣怎么取最新资料整理的尿检图谱:36张图片手把手教你辨认尿液中的鸟粪石结晶_https://www.jmylbn.com_新闻资讯_第15张

图11 鸟粪石晶体、大量红细胞和罕见白细胞(染色尿沉渣)。红细胞呈淡染。这是患有特发性膀胱炎的猫的尿液。图片来源Dr. Michael Horton, Fairborn, OH


粪沉渣怎么取最新资料整理的尿检图谱:36张图片手把手教你辨认尿液中的鸟粪石结晶_https://www.jmylbn.com_新闻资讯_第16张
粪沉渣怎么取最新资料整理的尿检图谱:36张图片手把手教你辨认尿液中的鸟粪石结晶_https://www.jmylbn.com_新闻资讯_第17张

图12  (a)鸟粪石晶体。图像左下方是一个气泡的边缘。使用数码相机通过显微镜目镜拍摄。(b)鸟粪石晶体。可以看到一个鸟粪石大晶体,以及其他无法识别的结晶。数码相机通过显微镜目镜拍摄的图像。图片来自Dr.Felipe Galvao, Downers Grove, IL。

粪沉渣怎么取最新资料整理的尿检图谱:36张图片手把手教你辨认尿液中的鸟粪石结晶_https://www.jmylbn.com_新闻资讯_第18张

图13 鸟粪石晶体。小群鸟粪石晶体可见典型的棺材板外观。图像最左侧有两个鳞状上皮细胞。

粪沉渣怎么取最新资料整理的尿检图谱:36张图片手把手教你辨认尿液中的鸟粪石结晶_https://www.jmylbn.com_新闻资讯_第19张

图14 鸟粪石晶体。

粪沉渣怎么取最新资料整理的尿检图谱:36张图片手把手教你辨认尿液中的鸟粪石结晶_https://www.jmylbn.com_新闻资讯_第20张

图15  鸟粪石晶体。背景为中等数量的红细胞。

粪沉渣怎么取最新资料整理的尿检图谱:36张图片手把手教你辨认尿液中的鸟粪石结晶_https://www.jmylbn.com_新闻资讯_第21张

图16 鸟粪石晶体集团。晶体沿黏液线性物质排列。

粪沉渣怎么取最新资料整理的尿检图谱:36张图片手把手教你辨认尿液中的鸟粪石结晶_https://www.jmylbn.com_新闻资讯_第22张

图17  鸟粪石晶体。背景为大量红细胞和罕见白细胞。这是特发性膀胱炎的猫的尿液。来源:美国俄亥俄州经俄亥俄州费尔伯恩 Michael Horton 博士许可转载。

粪沉渣怎么取最新资料整理的尿检图谱:36张图片手把手教你辨认尿液中的鸟粪石结晶_https://www.jmylbn.com_新闻资讯_第23张

图18  鸟粪石。

粪沉渣怎么取最新资料整理的尿检图谱:36张图片手把手教你辨认尿液中的鸟粪石结晶_https://www.jmylbn.com_新闻资讯_第24张

图19 左侧的单个晶体显示了这种晶体的三维结构。

粪沉渣怎么取最新资料整理的尿检图谱:36张图片手把手教你辨认尿液中的鸟粪石结晶_https://www.jmylbn.com_新闻资讯_第25张

图20 犬的鸟粪石晶体。大多数晶体呈簇状。图像最左侧是一个非鳞状上皮细胞。

粪沉渣怎么取最新资料整理的尿检图谱:36张图片手把手教你辨认尿液中的鸟粪石结晶_https://www.jmylbn.com_新闻资讯_第26张

图21 鸟粪石晶体。最右侧和最左侧的大晶体看起来像蝴蝶。

粪沉渣怎么取最新资料整理的尿检图谱:36张图片手把手教你辨认尿液中的鸟粪石结晶_https://www.jmylbn.com_新闻资讯_第27张

图22 鸟粪石晶体(暗视野显微镜)。图片来自Dr. Michael Horton, Fairborn, OH。

粪沉渣怎么取最新资料整理的尿检图谱:36张图片手把手教你辨认尿液中的鸟粪石结晶_https://www.jmylbn.com_新闻资讯_第28张

图23 鸟粪石晶体(暗场显微镜高倍镜)。图片来自Dr. Michael Horton, Fairborn, OH.

粪沉渣怎么取最新资料整理的尿检图谱:36张图片手把手教你辨认尿液中的鸟粪石结晶_https://www.jmylbn.com_新闻资讯_第29张

图24 鸟粪石晶体(相差显微镜)。鸟粪石晶体成簇存在,也有游离的。背景中的多个点状结构似乎是球菌。图片来自Dr. Michael Horton, Fairborn, OH

粪沉渣怎么取最新资料整理的尿检图谱:36张图片手把手教你辨认尿液中的鸟粪石结晶_https://www.jmylbn.com_新闻资讯_第30张

图25 鸟粪石晶体。注意在某些晶体中观察到的折射光线,其边缘垂直于显微镜头。资料来源经博士许可转载。图片来自Dr.Heather L. Wamsley, Bradenton, FL。

粪沉渣怎么取最新资料整理的尿检图谱:36张图片手把手教你辨认尿液中的鸟粪石结晶_https://www.jmylbn.com_新闻资讯_第31张

图26 磷酸盐晶体。 

粪沉渣怎么取最新资料整理的尿检图谱:36张图片手把手教你辨认尿液中的鸟粪石结晶_https://www.jmylbn.com_新闻资讯_第32张

图27 无定形的磷酸盐晶体。图片来自Dr. Heather L. Wamsley,Bradenton, FL

粪沉渣怎么取最新资料整理的尿检图谱:36张图片手把手教你辨认尿液中的鸟粪石结晶_https://www.jmylbn.com_新闻资讯_第33张

图28 鸟粪石晶体(未染色尿沉渣)。可以看到几个具有三维结构的鸟粪石晶体。还有些晶体呈针状,其他许多晶体无固定形状。背景中的小圆细胞未对焦,很可能是红细胞。用数码相机通过显微镜目镜拍摄的图像。图片来自Dr. Felipe Galvao, Downers Grove, IL。

粪沉渣怎么取最新资料整理的尿检图谱:36张图片手把手教你辨认尿液中的鸟粪石结晶_https://www.jmylbn.com_新闻资讯_第34张
粪沉渣怎么取最新资料整理的尿检图谱:36张图片手把手教你辨认尿液中的鸟粪石结晶_https://www.jmylbn.com_新闻资讯_第35张
粪沉渣怎么取最新资料整理的尿检图谱:36张图片手把手教你辨认尿液中的鸟粪石结晶_https://www.jmylbn.com_新闻资讯_第36张

图29 (a)鸟粪石晶体。背景为许多无定形的磷酸盐晶体。较大晶体具有典型的鸟粪石三维结构。USG 1.056,pH值8.5。瑞氏染色细胞学检查发现球菌。(b)鸟粪石晶体。背景中有许多无定形的磷酸盐晶体和球菌。(c)注意该图右侧有两个星星状的晶体团块。图片来自Dr. Heather L. Wamsley, Bradenton, FL。

粪沉渣怎么取最新资料整理的尿检图谱:36张图片手把手教你辨认尿液中的鸟粪石结晶_https://www.jmylbn.com_新闻资讯_第37张

图30  四岁家养长毛猫尿沉渣中磷酸铵镁结晶的扫描电子显微镜照片(原始放大倍率×4400)。来自Osborne et al 

粪沉渣怎么取最新资料整理的尿检图谱:36张图片手把手教你辨认尿液中的鸟粪石结晶_https://www.jmylbn.com_新闻资讯_第38张

图31 尿沉渣的显微照片,其中含有鸟粪石晶体的聚集物。注意形成聚集物的单个晶体的有序排列。(未染色;偏光显微镜;原始放大倍率×64)。来自Osborne et al

粪沉渣怎么取最新资料整理的尿检图谱:36张图片手把手教你辨认尿液中的鸟粪石结晶_https://www.jmylbn.com_新闻资讯_第39张
粪沉渣怎么取最新资料整理的尿检图谱:36张图片手把手教你辨认尿液中的鸟粪石结晶_https://www.jmylbn.com_新闻资讯_第40张

商务合作

粪沉渣怎么取最新资料整理的尿检图谱:36张图片手把手教你辨认尿液中的鸟粪石结晶_https://www.jmylbn.com_新闻资讯_第41张

联系方式

汤经理   18305182737


更多干货文章/直播/视频学习请进入宠医客APP⇩

粪沉渣怎么取最新资料整理的尿检图谱:36张图片手把手教你辨认尿液中的鸟粪石结晶_https://www.jmylbn.com_新闻资讯_第42张