粪便常规仪器怎么用形态学142:粪便-真菌(白色念珠菌)(仪器辅助判断)

新闻资讯2026-04-21 21:24:00




粪便常规仪器怎么用形态学142:粪便-真菌(白色念珠菌)(仪器辅助判断)_https://www.jmylbn.com_新闻资讯_第1张

粪便常规仪器怎么用形态学142:粪便-真菌(白色念珠菌)(仪器辅助判断)_https://www.jmylbn.com_新闻资讯_第1张

写在前面:

    继续说仪器辅助诊断,今天看到一个镜下真菌较多的一个病例,就来看看该患者粪便镜下的结果如何。


粪便常规仪器怎么用形态学142:粪便-真菌(白色念珠菌)(仪器辅助判断)_https://www.jmylbn.com_新闻资讯_第3张

PART01:患者:男,35岁,以腹泻治疗(包括口服益生菌),其便常规结果如下:

★看其结果,其中回报红细胞1-3个/HP,真菌4-8/HP,这里需要注意的问题,第一个是真菌的问题,看右侧的真菌数量,应该高于4-8个/HP,并且仔细看真菌是没有芽生孢子和菌丝的(至少这个照片上没有),第二个问题就是红细胞的数量,本案例中潜血是阳性的,如果是阴性的话就会出现一个问题识别的红细胞是不是真菌干扰引起的。

粪便常规仪器怎么用形态学142:粪便-真菌(白色念珠菌)(仪器辅助判断)_https://www.jmylbn.com_新闻资讯_第4张

★查看仪器拍摄的照片:

粪便常规仪器怎么用形态学142:粪便-真菌(白色念珠菌)(仪器辅助判断)_https://www.jmylbn.com_新闻资讯_第5张

★这些看着像”瓜子仁“一样的真菌,每一个照片中拍摄的比较清晰,仔细看是没有看到明显的芽生孢子和菌丝的,显微镜在观察。

粪便常规仪器怎么用形态学142:粪便-真菌(白色念珠菌)(仪器辅助判断)_https://www.jmylbn.com_新闻资讯_第6张

★看显微镜下,会更加清晰,可见折光性较强的”瓜子仁“一样的真菌结构。放大到40×:

粪便常规仪器怎么用形态学142:粪便-真菌(白色念珠菌)(仪器辅助判断)_https://www.jmylbn.com_新闻资讯_第7张

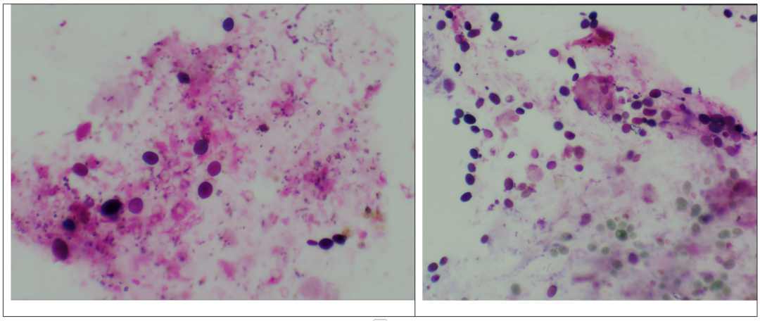
★革兰氏染色(为什么不选择瑞吉染色呢?):

粪便常规仪器怎么用形态学142:粪便-真菌(白色念珠菌)(仪器辅助判断)_https://www.jmylbn.com_新闻资讯_第8张

★仔细看,还是可以看见有芽生孢子存在的,科马嘉鉴定培养基结果及染色后的结果如下:

粪便常规仪器怎么用形态学142:粪便-真菌(白色念珠菌)(仪器辅助判断)_https://www.jmylbn.com_新闻资讯_第9张

★提示该患者便中的真菌为白色念珠菌。


粪便常规仪器怎么用形态学142:粪便-真菌(白色念珠菌)(仪器辅助判断)_https://www.jmylbn.com_新闻资讯_第3张

司南说:其实写这个短文目的是什么呢?首先是临检仪器端的结果也是需要审核的,不是仪器做出来是多少就是多少,搞形态学都知道形态上有很多相似的结构的物质在仪器识别的时候会出现混淆,特别是粪便这样杂质十分多的标本,其采集识别的是有一定的误差的,这个需要认真的去识别,其实是实验室的项目是有联系的,比如粪便中真菌的和微生物室粪便的培养是有一定相关性的,......,最后还是那一句:对于临检工作是细节决定成败,检以求真,验以正德!

说明:由于笔者知识储备有限、经验有限,本文主要是整理以往的资料与实际应用中的经验,仅供交流、学习与分享使用,内容不作为临床诊疗依据,如有错误请私信笔者,非商业用途,仅供专业人士参考与交流,如有侵权请与笔者联系进行删除操作,谢谢!

参考资料:

1. 临床体液与排泄物形态学检查图谱,王前、郑磊、孙德华主编

2.全国检验操作规程(第四版)

粪便常规仪器怎么用形态学142:粪便-真菌(白色念珠菌)(仪器辅助判断)_https://www.jmylbn.com_新闻资讯_第11张


粪便常规仪器怎么用形态学142:粪便-真菌(白色念珠菌)(仪器辅助判断)_https://www.jmylbn.com_新闻资讯_第12张

粪便常规仪器怎么用形态学142:粪便-真菌(白色念珠菌)(仪器辅助判断)_https://www.jmylbn.com_新闻资讯_第12张