DR胶片为什么分尺寸借DR成像原理详解胸部正位摄片技术参数

新闻资讯2026-04-17 12:24:36

DR胶片为什么分尺寸借DR成像原理详解胸部正位摄片技术参数_https://www.jmylbn.com_新闻资讯_第1张

来源:放射小涂

版权归原作者所有,如有违规、侵权请联系我们



【专业向】借DR成像原理详解胸部正位摄片技术参数

DR胶片为什么分尺寸借DR成像原理详解胸部正位摄片技术参数_https://www.jmylbn.com_新闻资讯_第2张











生活中我们最常见的医疗用放射线检查就是DR胸部正位了。本期将结合《医学影像成像原理》的内容来详细介绍胸部正位的摄影技术参数及各项参数的设计目的。



01

DR胸部正位的技术参数


胸部后前位(站立位):

①摄影体位:受检者面向摄片架(成像件),前胸紧贴摄片架,双足略分开使身体站稳。身体正中矢状面垂直并重合于成像件中线,头部稍后仰,颏部上抬置于颏托(一般成像件上缘中央会有一处凹陷,称颏托)上,成像件上缘需超过双肩锁骨上缘约6cm(一般取肩上2~3横指),下缘包括第12胸椎下。肘部弯曲,双腕部背侧置于两侧髂嵴处,使双肩内旋并紧贴成像件。两肩尽量放平不能高耸,使锁骨呈水平位。若受检者无法做到以上体位,则嘱咐其双手向前下方环抱成像件,双肩尽可能贴近。患者下半身应使用铅屏风进行防护。

在进行检查前,应注意患者着装是否有塑料珠片等以及有无佩戴金属或玉器等高密度饰品。女性受检者应询问有无怀孕或近期有无备孕,孕妇及无法确认妊娠者不应予以放射线检查,除非危及生命必须检查(因为放射线检查会导致胎儿出现随机性效应,这一效应的发生不受剂量影响)。

此外还应注意女性受检者的头发,应尽量盘在头上,无法盘起的应尽量置于脊柱同一平面。这一些系列的准备工作旨在尽可能避免出现伪影,影响诊断。


②中心线:对准第6胸椎(T6)垂直摄入。

此中心点对应的体表定位标志为肩胛下角(T7)向上1~2横指作为中心点。

③呼吸情况:深吸气末屏气曝光。

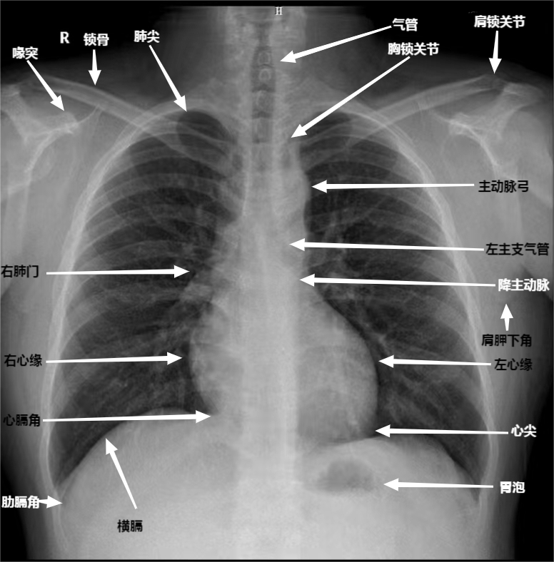
④标准影像显示部位:(1)肺尖充分显示;(2)两侧胸锁关节对称;(3)肩胛骨投影于肺野之外;(4)肺门阴影结构可辨;(5)锁骨、乳腺、左心影内可分辨出肺纹理;(6)心脏、纵膈边缘清晰锐利;(7)膈肌包括完全,且边缘锐利。如下:

DR胶片为什么分尺寸借DR成像原理详解胸部正位摄片技术参数_https://www.jmylbn.com_新闻资讯_第3张


⑤摄片条件:

(1)管电压:120KV;

(2)管电流:320mA;

(3)曝光时间:8ms(一般不超过20ms);

(4)焦-片距(SID):180cm(心脏摄片200cm);

(5)大焦点摄影,使用滤线栅。



02

各项参数解析


1.摄影体位的命名:根据解剖学的部位及方位,射线从受检者的何处射入穿过另一处入射成像件,我们根据此来为摄影体位命名,例如,胸部后前位,即,X射线从胸部的后方射入,从胸部前方射出垂直射入成像件。


2.胸部紧贴成像件的目的:国际放射学界公认的当照片上的半影模糊值﹤0.2mm时,人眼观察影像毫无模糊感;当半影模糊值=0.2时,人眼观察影像开始有模糊感,故0.2mm就是模糊阈值。根据模糊度公式:H=F(b/a),其中H为半影模糊值,F为焦点尺寸;b为被照体-成像件距离;a为焦点-被照体距离。由该公式可知b与H成正比,因此为使影像清晰,我们应尽可能使受检者的受检部位贴近成像件。


3.双手置于髂嵴曲肘并前旋的目的:为了使肩关节旋前并带动肩胛骨运动,使其向外向前移动,避免遮挡肺野。


4.深吸气末屏气曝光的目的:这样使肺内空气量增加,可增强病灶的对比度,且在深吸气后横膈下降,肺野显示更大,屏气能减少呼吸运动造成的运动模糊。但对略有小量气胸的受检者,在深吸气时摄影反而不易发现,而在深呼气时却易于显示,因此,对这类病例的摄影必须注意此点。


5.选用高千伏120KV的目的:胸部既有含气的低密度组织又有骨骼这类高密度组织也有肌肉等密度高于肺但低于骨的稍高密度组织,各种组织的密度层次较多,因此,我们选用高千伏摄影技术,提高X射线的硬度增加穿透力减少X射线穿过人体后发生的衰减。

随着管电压的升高,光电吸收的比例减少,康普顿-吴有训吸收的比例增加,其特征是按原子序数吸收的比例减少,按质量吸收的比例增加。因前者的吸收差大于后者,所以管电压较低时X线对比度高。管电压较高时影像有较多的过度层次,密度差别小对比度低,这就是管电压控制照片对比度的机制。

随着管电压的升高,骨与肌肉的对比度降低,骨影像变淡。在到达一定高电压后,与骨相重的软组织或骨本身的细小结构及含气管腔等均清晰可见,以此在损失对比度的同时来获得低对比、层次丰富的X线图像。

DR胶片为什么分尺寸借DR成像原理详解胸部正位摄片技术参数_https://www.jmylbn.com_新闻资讯_第4张

 不同管电压与影像照片对比度的关系


6.X线量的选择(即管电流与毫安秒的乘积):X线量虽然对照片对比度没有直接影响,但X线量与密度有密切关系。增加X线量可使照片上密度过低部位的对比度提高。同理,密度过高的部位由于线量的适当减少,也可提高对比度。

如下图,A为线量较小时几种物质的密度,B则代表代表线量较A增加一倍时几种物质的密度。X线量为横坐标A时,骨骼影像落在特性曲线的足部,而肌肉、脂肪及空气位于特性曲线的直线部。这种影像适宜观察软组织,而骨骼的细节则因密度过低,缺乏对比而无法显示。X线量为横坐标B时,由于线量较A增加一倍,使得整个照片密度右移,骨骼影像位于直线部,而软组织的密度落于肩部,导致影像对比度下降。这种影像适合观察骨骼的细节,软组织则因密度过高,缺乏对比而无法显示。

DR胶片为什么分尺寸借DR成像原理详解胸部正位摄片技术参数_https://www.jmylbn.com_新闻资讯_第5张

改变X线量的情况下影像密度的变化(胶片特性曲线图)

根据感光效应公式,当其他因素固定不变时,管电压V、管电流量Q与感光效应的关系如下:E=K·Vn·Q。由于管电流量Q(mAs)受X线管容量限制,在胸部摄影时选择高千伏(120Kv)确定后,再选择X线管允许的最大管电流和曝光时间。在电压质量允许的情况下优先满足曝光时间的需要。因为心脏的搏动可能传导于肺且避免呼吸运动伪影,我们应尽量选择极短的曝光时间8ms左右,但不超过20ms(与半影模糊有关)。当管电压与曝光时间固定时,为保证感光效应,我们应使用尽可能高的管电流获得足够的X光子量用以获取较好的信噪比,一般选用320mA。


7.摄影距离180cm的意义:摄影距离的选择是考虑到放大失真和变形失真对图像的影响。根据放大率(M)公式:

M=S/B=c/a=(a+b)/a=1+(b/a)=1+(b/c-b)

在实际应用中,可用M=1+(b/c-b)。其中S为影像,B为被照体,a为物-片距,b为肢-片距(物-片距),c为焦-片距。由此可知,当肢-片距固定时,图像的放大失真取决于焦-片距。由公式可知,当b固定时c越大,放大率M越小,因此长焦-片距能减少放大失真带来的形态学变化。

DR胶片为什么分尺寸借DR成像原理详解胸部正位摄片技术参数_https://www.jmylbn.com_新闻资讯_第6张

X线图像的放大

变形失真主要有:(1)受斜射线照射引起的失真;(2)解剖结构与胶片不平行引起的失真;(3)解剖结构重叠引起的失真。为减少变形失真,工作中还应注意使中心线直射被检部位,且需使被检部位与成像件平行,以及尽量缩小照射野,利用中心线投射。


8.使用大焦点与滤线栅的意义:总模糊度取决于各种模糊度之和,当各项成分值间相差较大时,总模糊度总是决定于大者,其余则影响甚微。当运动模糊度较小时,总模糊度主要取决于焦点尺寸;反之,运动模糊较大时,则几何模糊度成分退居其次。虽然缩短曝射时间可以减小总模糊度。但总模糊度不可能小于最大模糊成分。因此缩短曝射时间提高图像锐利度有其一定限度,无视成像过程中的其他模糊因素,片面追求高毫安瞬时曝射是不明智的。另外,运动模糊度大时,不必追求小焦点摄影,而应从缩短曝光时间着手,提高图像质量。

因此,虽然根据模糊度公式:H=F(b/a)我们可以得知焦点尺寸越小,几何模糊度就越小,并且因为我们选择了180cm较长的焦-片距(a),由于H(半影模糊值)存在阈值,所以焦点尺寸(F)应当变大。另外,胸部摄影考虑到心脏搏动传导于肺部引起运动模糊,此时运动模糊较大对总模糊度起决定性作用,因此我们选择大焦点、短时间摄影。


DR胶片为什么分尺寸借DR成像原理详解胸部正位摄片技术参数_https://www.jmylbn.com_新闻资讯_第7张

总模糊度的合成及各种模糊度间的关系

由于高千伏摄影使X线光子能量提高,这会导致X线光子发生康普顿效应的概率提高,而康普顿效应正是在X线摄影中产生有效散射线的“元凶”,在摄影时到达前方的散射线使胶片产生灰雾,到达侧面的散射线对放射防护带来困难。康普顿效应的发生概率与物质的原子序数成正比,与入射光子的能量成反比,即与入射光子的波长成正比。

在诊断X线能量范围内,X线光子与物质作用的两种主要形式为光电效应和康普顿效应。前者约占70%,后者约占25%(其余5%左右为相干散射)。随着管电压的升高,康普顿效应所占比例也升高,达到80~90Kv时康普顿效应所占份额趋于平稳。此外,被照体的厚度越大,散射线的份额也越大(因此规定肢体厚度大于15cm时应使用滤线栅)。有实验表明,体厚15cm的体模较5cm的体模散射线增加近50%。照射野越大,原发射线越多,散射线也会随之增加。

迄今为止,清除散射线最有效的方法正是使用滤线器,因此胸部后前位摄影作为高千伏摄影技术应当使用滤线器来消除散射线对图像质量的影响。滤线器最重要的参数是栅比r=h/D,其中h为铅箔高度,D为铅箔间隔,这决定了其消除散射线的能力,常用滤线栅的栅比为8:1~10:1,100Kv以上的高电压摄影则用10:1~12:1乃至16:1。

因此,我们在胸部后前位的摄影中不仅要选用大焦点,还要选用12:1的高栅比的滤线器。

此外,在工作中,遇到使肺部组织密度升高的渗出性、实质性病变时,应当适当提高管电压(3Kv左右)。反之,遇到使肺部组织密度减低的病变时,应降低管电压。


03

不合格胸片赏析


DR胶片为什么分尺寸借DR成像原理详解胸部正位摄片技术参数_https://www.jmylbn.com_新闻资讯_第8张

缺陷:两肩胛骨未拉开肺野之外,吸气不完全,且存在金属饰品遮挡。

解决:去除金属饰品及内衣后重新按标准体位摄片即可。


DR胶片为什么分尺寸借DR成像原理详解胸部正位摄片技术参数_https://www.jmylbn.com_新闻资讯_第9张

缺陷:双侧胸锁关节不对称,且有手机显影。

解决:去除手机后,使患者左侧紧贴成像件曝光。


DR胶片为什么分尺寸借DR成像原理详解胸部正位摄片技术参数_https://www.jmylbn.com_新闻资讯_第10张

缺陷:左肩胛骨部分与左肺野重叠。

解决:使患者左肩旋前紧贴成像件重新曝光。


DR胶片为什么分尺寸借DR成像原理详解胸部正位摄片技术参数_https://www.jmylbn.com_新闻资讯_第11张

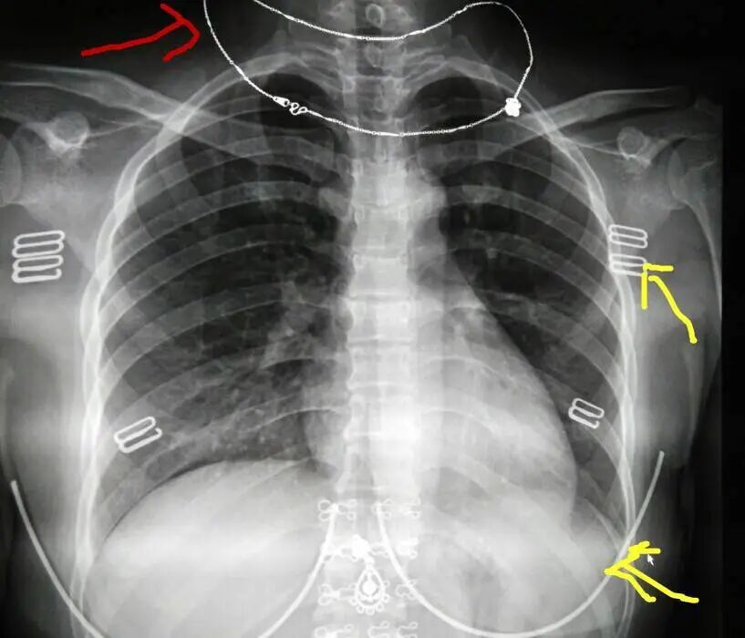
缺陷:肩胛骨未完全拉离肺野,吸气不完全,存在金属伪影遮挡,略有耸肩,且肺尖显示不好,图像颗粒感较强,管电流量不够,信噪比偏低。

解决:去除金属物品后,按标准体位,使患者双肩旋前与前胸一并紧贴成像件,适当调高mAs,然后深吸气后屏气曝光。


本文参考书籍:

1.曹厚德-《现代医学影像技术学》-上海科学技术出版社。

2.全国卫生专业技术资格考试用书编写专家委员会-《全国卫生专业技术资格考试指导-2020放射医学技术》-人民卫生出版社。




点击下方图片查看


DR胶片为什么分尺寸借DR成像原理详解胸部正位摄片技术参数_https://www.jmylbn.com_新闻资讯_第12张

【广告】






添加影像沙龙客服,备注“入群”

跟更多影像医师交流学习





DR胶片为什么分尺寸借DR成像原理详解胸部正位摄片技术参数_https://www.jmylbn.com_新闻资讯_第13张