穿刺活检枪怎么用超声界的“狙击枪”:介入超声——不开刀也能精准治肿瘤​

新闻资讯2026-04-21 21:11:53
穿刺活检枪怎么用超声界的“狙击枪”:介入超声——不开刀也能精准治肿瘤​_https://www.jmylbn.com_新闻资讯_第1张

穿刺活检枪怎么用超声界的“狙击枪”:介入超声——不开刀也能精准治肿瘤​_https://www.jmylbn.com_新闻资讯_第2张
穿刺活检枪怎么用超声界的“狙击枪”:介入超声——不开刀也能精准治肿瘤​_https://www.jmylbn.com_新闻资讯_第3张
穿刺活检枪怎么用超声界的“狙击枪”:介入超声——不开刀也能精准治肿瘤​_https://www.jmylbn.com_新闻资讯_第4张


查出肝脏小结节

一定要开刀吗?

体检发现甲状腺肿瘤

只能手术留疤吗?


随着技术发展

超声已从“诊断眼睛”进化成“治疗之手”

介入超声正如一把“百步穿杨的狙击枪”

在超声实时引导下

隔皮穿刺,直达病灶

实现“针到病除”


01

什么是介入超声?从“看”到“治”的跨越



诊断超声是“侦察兵”,发现敌人(病灶);介入超声则是“特种兵”,在“侦察兵”的实时指引下,用一根细针(导弹)执行精准打击任务。

穿刺活检枪怎么用超声界的“狙击枪”:介入超声——不开刀也能精准治肿瘤​_https://www.jmylbn.com_新闻资讯_第5张

02

两大核心应用



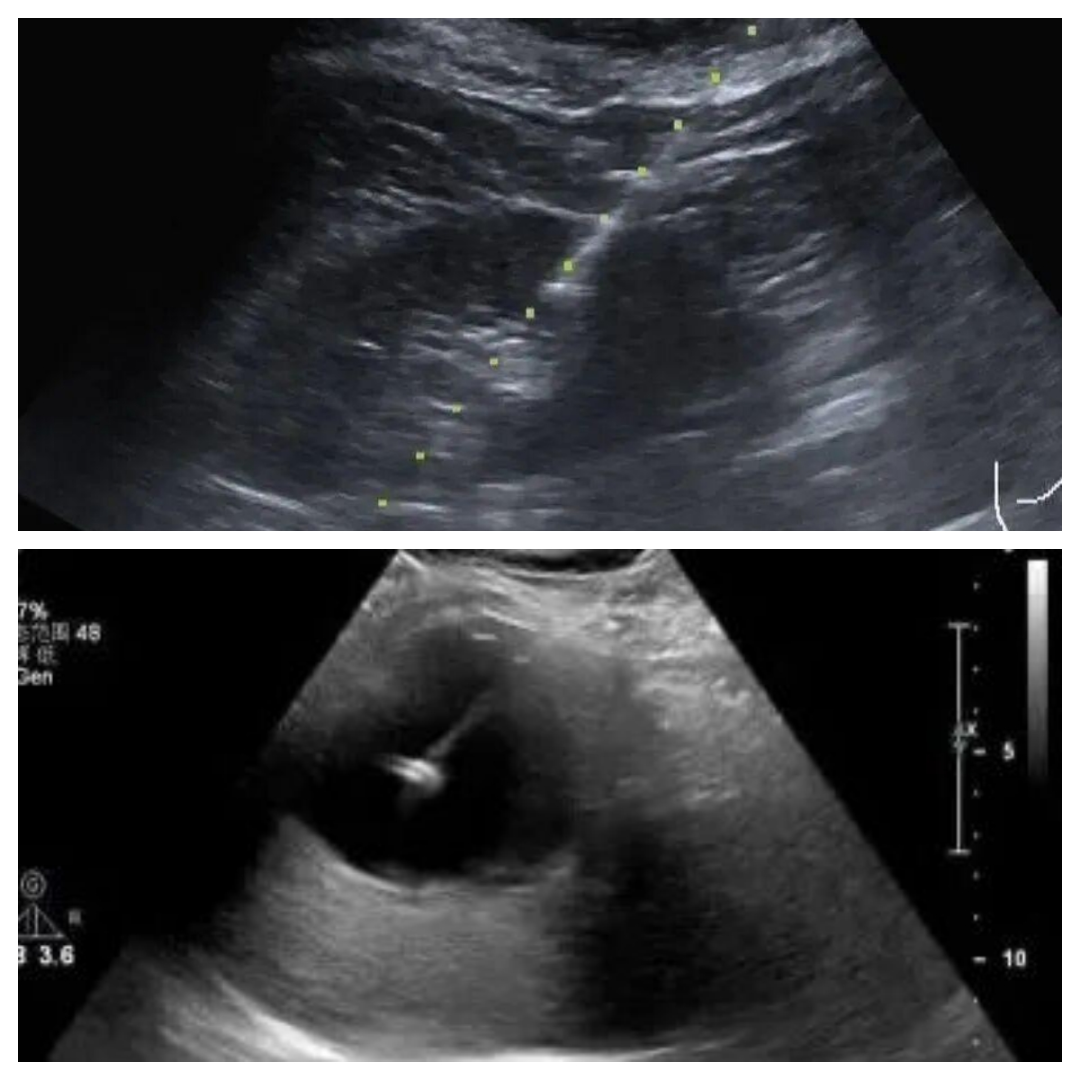
精准活检:“一针明辨”良恶性

场景:肝脏、甲状腺、乳腺、前列腺等部位发现不明性质结节。

过程:超声实时引导下,将活检针精确刺入结节,取出几条“小米粒”大小的组织送病理检查,是诊断的“金标准”。

消融治疗:“烧死”肿瘤

场景:早期肝癌、甲状腺良性结节、甲状腺微小癌、子宫肌瘤等。

原理:将消融针(微波或射频)刺入肿瘤中心,发出能量产生高温,像“微波炉加热食物”一样使肿瘤细胞凝固坏死,之后逐渐被人体吸收。

优势:微创(仅一个针眼)、保器官、恢复快、重复性强。

03

超声如何实现“指哪打哪”?



屏幕上实时显示针尖的完整进针路径,确保绝对精准,避开大血管和重要脏器,安全高效。

穿刺活检枪怎么用超声界的“狙击枪”:介入超声——不开刀也能精准治肿瘤​_https://www.jmylbn.com_新闻资讯_第6张

04

哪些人适合?



1.体检发现实质性脏器结节,需要明确诊断者。

2.因高龄、心肺功能差等原因无法耐受手术的肿瘤患者。

3.希望进行微创、保器官治疗的患者。

穿刺活检枪怎么用超声界的“狙击枪”:介入超声——不开刀也能精准治肿瘤​_https://www.jmylbn.com_新闻资讯_第7张

穿刺活检枪怎么用超声界的“狙击枪”:介入超声——不开刀也能精准治肿瘤​_https://www.jmylbn.com_新闻资讯_第8张

别让“蚯蚓”爬上腿!超声精准锁定下肢静脉曲张的“泄漏点”

【那些你不了解的超声知识·第十期】运动受伤别慌,肌骨超声来帮忙

无创盆底超声检查开始啦!齐鲁医院驻庆医疗队超声专家常年在院守护您的盆底健康

【那些你不了解的超声知识·第九期】子宫里的“小石头”会癌变吗?医生揭秘子宫肌瘤的真相

穿刺活检枪怎么用超声界的“狙击枪”:介入超声——不开刀也能精准治肿瘤​_https://www.jmylbn.com_新闻资讯_第9张
超声科简介
一、科室介绍
庆云县人民医院超声科成立已40余年,是集临床诊断、介入治疗、健康普查于一体的综合性科室。科室下设腹部组、妇产组、血管心脏组,全面承担门诊、住院、急诊及健康体检的超声诊疗工作,并实行无假日门诊+24小时急诊超声服务,保障患者随到随查。
穿刺活检枪怎么用超声界的“狙击枪”:介入超声——不开刀也能精准治肿瘤​_https://www.jmylbn.com_新闻资讯_第10张
二、人员与设备配置

1.技术团队
(1)现有专业医护人员15名,均具备本科及以上学历;
(2)高级职称专家3人、中级职称4人、初级职称8人,形成梯队化人才结构;
(3)定期邀请省级三甲医院专家坐诊指导,提升疑难病例诊疗水平。
2.高端设备
(1)配备进口高端彩超仪5台、便携式B超1台,支持动态/静态图像采集及全数字化管理;
(2)设备涵盖四维成像、弹性成像、超声造影、宽景扫描等先进功能。
三、诊疗服务范围

类别

核心项目

腹部超声

消化系统(肝/胆/胰/脾)、泌尿系统(肾/膀胱/输尿管)、生殖系统(前列腺/精囊)

妇产超声

妇科疾病、胎儿畸形筛查(四维彩超)、输卵管声学造影、盆底评估

浅表器官

甲状腺、乳腺、涎腺、睾丸、体表包块的良恶性鉴别

心血管

心脏结构/功能评估、颈部/四肢血管斑块及血流动力学分析

特色技术

介入超声:穿刺活检、术中导航
体外冲击波碎石:年完成近千例,结石清除率高
新生儿专项:颅脑、肺脏、髋关节发育评估

四、特色技术亮点
1.无创结石治疗:针对0.6-2cm泌尿系结石,采用体外冲击波碎石技术(ESWL),兼具安全性高、费用低、恢复快优势,术后辅以排石方案指导。
2.精准介入诊疗:超声引导下穿刺诊断(如甲状腺细针活检)及治疗(如肝肾囊肿引流),显著提升病变定位精度。
3.产前诊断能力:常规开展胎儿心脏专项筛查及四维畸形排查,省级专家提供会诊支持。
五、服务承诺与理念
1.服务模式
(1)急诊绿色通道24小时响应,床旁超声覆盖ICU/手术室;
(2)图文一体化报告(含静态图像+动态视频),助力临床精准决策。
2.核心宗旨:明辨是非,谨查良恶,扫描生命,关爱健康。

咨询电话:0534-6101157

地址:门诊楼二楼超声科

穿刺活检枪怎么用超声界的“狙击枪”:介入超声——不开刀也能精准治肿瘤​_https://www.jmylbn.com_新闻资讯_第11张

供稿 | 李   栋

编辑 | 高雨悦

审核 | 王延广 高强 徐慧 武婕

穿刺活检枪怎么用超声界的“狙击枪”:介入超声——不开刀也能精准治肿瘤​_https://www.jmylbn.com_新闻资讯_第12张

▼点击下方图片快速获取信息

穿刺活检枪怎么用超声界的“狙击枪”:介入超声——不开刀也能精准治肿瘤​_https://www.jmylbn.com_新闻资讯_第13张
穿刺活检枪怎么用超声界的“狙击枪”:介入超声——不开刀也能精准治肿瘤​_https://www.jmylbn.com_新闻资讯_第14张
穿刺活检枪怎么用超声界的“狙击枪”:介入超声——不开刀也能精准治肿瘤​_https://www.jmylbn.com_新闻资讯_第15张
穿刺活检枪怎么用超声界的“狙击枪”:介入超声——不开刀也能精准治肿瘤​_https://www.jmylbn.com_新闻资讯_第16张
穿刺活检枪怎么用超声界的“狙击枪”:介入超声——不开刀也能精准治肿瘤​_https://www.jmylbn.com_新闻资讯_第17张
穿刺活检枪怎么用超声界的“狙击枪”:介入超声——不开刀也能精准治肿瘤​_https://www.jmylbn.com_新闻资讯_第18张
穿刺活检枪怎么用超声界的“狙击枪”:介入超声——不开刀也能精准治肿瘤​_https://www.jmylbn.com_新闻资讯_第19张
穿刺活检枪怎么用超声界的“狙击枪”:介入超声——不开刀也能精准治肿瘤​_https://www.jmylbn.com_新闻资讯_第20张
穿刺活检枪怎么用超声界的“狙击枪”:介入超声——不开刀也能精准治肿瘤​_https://www.jmylbn.com_新闻资讯_第21张
庆云县人民医院科室分布


穿刺活检枪怎么用超声界的“狙击枪”:介入超声——不开刀也能精准治肿瘤​_https://www.jmylbn.com_新闻资讯_第22张
穿刺活检枪怎么用超声界的“狙击枪”:介入超声——不开刀也能精准治肿瘤​_https://www.jmylbn.com_新闻资讯_第23张
庆云县人民医院微信公众平台
穿刺活检枪怎么用超声界的“狙击枪”:介入超声——不开刀也能精准治肿瘤​_https://www.jmylbn.com_新闻资讯_第24张

投稿邮箱:qyrmyyxuanchuan@163.com


医院精神:

厚德载物 · 精医为民

医院院训:

医之道,诚爱大慈,

勤精不倦,情系健康。

生命至重,重于泰山。

砺操行以修德业,精医术惠泽众生。

努力铸塑百姓放心医院。



穿刺活检枪怎么用超声界的“狙击枪”:介入超声——不开刀也能精准治肿瘤​_https://www.jmylbn.com_新闻资讯_第25张