穿刺枪怎么升级乳腺穿刺术(二)

新闻资讯2026-04-21 21:10:39

穿刺枪怎么升级乳腺穿刺术(二)_https://www.jmylbn.com_新闻资讯_第1张

        大家好,首先非常感谢大家的关注,在我们第二期内容“乳腺穿刺活检容易导致转移是真的吗?”发布后,陆续接到用户留言,询问为什么没有看到公布答案。其实,大家可以仔细看下上次内容的底部,只要点击左下角的“阅读原文”就能看到作者的看法了。

        但是,为了方便大家查看,特将上期内容的谜底部分重发一次,请大家查阅。


关于乳腺穿刺活检是否会导致转移,我们先弄清一个问题:


乳腺癌患者都去哪儿了?


1、手术

  • 乳腺癌改良根治术

  • 乳腺癌保乳手术

2、乳腺癌新辅助化疗

关于乳腺癌改良根治术

穿刺枪怎么升级乳腺穿刺术(二)_https://www.jmylbn.com_新闻资讯_第2张

乳腺癌改良根治手术是乳腺癌最常用的手术方案:

1、穿刺进针点和针道都在切除范围

2、不会发生针道转移

关于乳腺癌保乳手术

穿刺枪怎么升级乳腺穿刺术(二)_https://www.jmylbn.com_新闻资讯_第3张

1、乳腺癌保乳切除术切口较小

2、如果穿刺进针点和针道没有在切除范围,外科医师会这样处理:

请看黄色箭头指向的小圆圈,上图是医生标记的穿刺进针点,下图是医生已经切除这个进针点,深面的组织已经切除。进针点和针道乳腺外科医生都已切除,不发生转移。

关于乳腺癌新辅助化疗

乳腺癌需要新辅助化疗时,必须获得病理结果和免疫组化指标,所以:

穿刺活检必须做!


治疗后的去路:

  1. 手术

  2. 无法手术,拯救治疗

穿刺枪怎么升级乳腺穿刺术(二)_https://www.jmylbn.com_新闻资讯_第4张

“枪刺征”,枪刺征实际上是一种声速失真伪像。

超声在不同组织中的传播速度不同,就会造成后方的结构的轮廓出现变形扭曲。

穿刺针在穿过不同组织和病变时,由于不同组织和病变的的的声速差别,会造成穿刺针扭曲的现象,呈现所谓的“枪刺”征。

穿刺枪怎么升级乳腺穿刺术(二)_https://www.jmylbn.com_新闻资讯_第5张

图 乳腺低回声肿物穿刺,由于肿物内的声速高于周围组织中的声速,因此,穿刺针显示为向前移位,类似“枪刺”,是为枪刺征。

穿刺枪怎么升级乳腺穿刺术(二)_https://www.jmylbn.com_新闻资讯_第6张


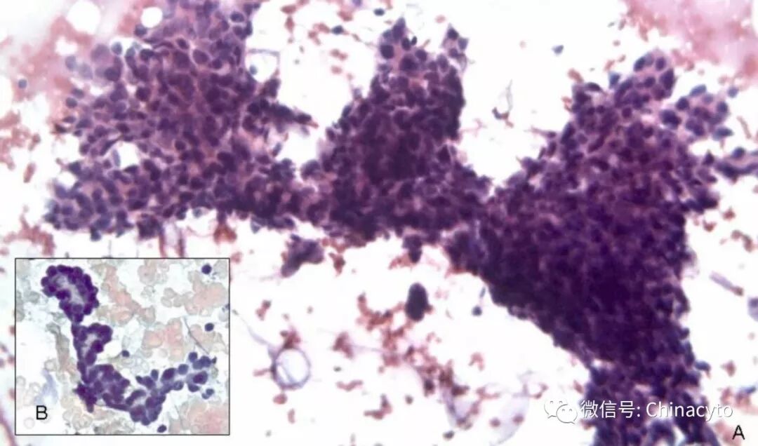
乳腺穿刺涂片──乳腺良性增生病变3

“山峰状”细胞碎片结构:不规则形或三角形的腺细胞簇分散或组合成“山峰”状细胞碎片,这实质是导管细胞的局部增生扩张而形成的导管碎片,其外周不具备栅栏样的整齐排列的细胞,它反映了增生所形成的实体结构,既有腺病增生时的病变(图9-59、60),也有发生在浸润性导管癌时的可能(图9-61),前提是细胞的异型性达到癌细胞的诊断标准。

图9-59“山峰”状三角形细胞碎片

无论分散的肌上皮细胞(A,箭头)或相互连接(B,箭头)的“山峰状”腺细胞碎片,可以轻而易举地被发现,甚至在浸润性导管癌的情况下也是如此(图9-61),只是细胞体积增大、密度增加和异型性明显而已。Pap×400、200

穿刺枪怎么升级乳腺穿刺术(二)_https://www.jmylbn.com_新闻资讯_第7张


图9-60成片状细胞碎片的周围的“山峰状”排列

单层细胞片外周勾边样形成不规则“山峰”状或条索状分支细胞团,这些山峰状团往往是连接在一起的分支导管实质为扩张的畸形导管,由单层平铺或蜂窝状排列的上皮细胞的核间距均等和核密度加大,核大小一致,核染色质均细等显示良性增生形态。Pap×200、400

穿刺枪怎么升级乳腺穿刺术(二)_https://www.jmylbn.com_新闻资讯_第8张


图9-61 “山峰”样浸润性导管癌细胞碎片

浸润性导管癌由山峰状三角形细胞碎片(A)构成,这与良性的小管形似山峰(B)相似或相关,可能由扩张的小管增生而成,浸润性导管癌中缺乏肌上皮细胞,细胞体积增大、排列上密集重叠。Pap×200、400

穿刺枪怎么升级乳腺穿刺术(二)_https://www.jmylbn.com_新闻资讯_第9张

穿刺枪怎么升级乳腺穿刺术(二)_https://www.jmylbn.com_新闻资讯_第10张

一、什么是乳腺穿刺活检?

    乳腺活检通常指乳腺肿块穿刺活检,常常在影像医学的引导下进行,以提高穿刺准确性。最常见的是在超声引导下进行。超声图像分辨率高,可以清楚看见活检针的位置和方向,在超声引导下进行的活检准确性高。

穿刺枪怎么升级乳腺穿刺术(二)_https://www.jmylbn.com_新闻资讯_第11张

二、为什么要进行活检?

    性质不明确的肿块,通过活检明确是良性还是恶性。

穿刺枪怎么升级乳腺穿刺术(二)_https://www.jmylbn.com_新闻资讯_第12张

 

三、活检?怎么做?

    以肿块为中心,消毒,通常使用利多卡因局部麻醉,患者在清醒状态下进行。活检针常用14号或16号,将活检针从皮丘处进针,无明显疼痛感。通常需要穿刺抽取2-5针,退针后压迫止血,纱布敷盖穿刺点,患者需继续压迫穿刺点30分钟。

穿刺枪怎么升级乳腺穿刺术(二)_https://www.jmylbn.com_新闻资讯_第13张


四、发现肿瘤切了不就行了,反正都要手术,为什么还要活检呢?

    肿瘤的初次治疗是十分重要的,因此,手术前明确病理性质及肿瘤的特征也十分重要,这样有利于帮助医生制定科学合理的治疗方案,保证治疗的成功实施。

 

穿刺枪怎么升级乳腺穿刺术(二)_https://www.jmylbn.com_新闻资讯_第14张

五、乳腺穿刺都需要注意什么?

1. 有明确麻药过敏史凝血功能障碍等病史的患者,穿刺前需提前告知穿刺医生;

2. 穿刺过程需放松心情,避免过度紧张;

3. 穿刺结束后,手掌大鱼际按压肿物上方30分钟—1小时,避免出血;

4. 保持穿刺点敷料干燥;

5. 48小时后,可将穿刺点纱布摘除;

6. 穿刺病理结果将电话通知,保持电话通畅。

穿刺枪怎么升级乳腺穿刺术(二)_https://www.jmylbn.com_新闻资讯_第15张


左手拿探头,右手拿“穿刺枪”, 范照青做穿刺时的劲儿与他的微信头像一样,颇有李连杰的范儿,只不过他穿着手术服戴着口罩。范照青是北肿乳腺预防治疗中心的副主任,科里都叫他大范。

按照乳腺中心的诊疗规范,当超声发现乳房有与肿瘤相关的结构异常时,就需要通过病理检查来判断这是什么,这时医生会安排穿刺来取组织送病理检查,而检查结果是指导后续治疗的最重要根据。

穿刺活检是目前乳腺病变确诊的标准方法,在欧美国家大的乳腺癌治疗中心,90%以上的乳腺癌通过这种方法确诊。

北肿乳腺中心的手术分级,手术医生根据年资对应不同级别的手术。范照青是副主任医师,对应是第三级,可做到保乳手术、假体植入手术,但他也会排班做穿刺和门诊手术。

周三上午,轮着他的班做穿刺,下午是门诊手术。


穿刺枪怎么升级乳腺穿刺术(二)_https://www.jmylbn.com_新闻资讯_第16张


穿刺——医生左手探头右手“枪”

范照青手里的 “枪”带有一支空心针,他要在超声探头的引导下,在乳房上准确找到目标,把长针刺进去,扣动扳机,“咔”的一声后抽出针管,护士张(吉吉)用镊子从针管里取出一条1厘米左右的条状组织,泡在福尔马林的标本瓶。如此取三条,送去病理科做检查。

每一次需要接触患者身体,范大夫都会低声轻轻告知:要消毒了……要打一针麻药会疼一下……你会听到一声响……

尽管如此,一位60来岁的患者还是紧张得一塌糊涂,从躺上病床就一直不敢睁眼,每一声枪响都会反射性地咬紧牙关。直到范大夫说“好了”,她才眉开眼笑,说:“就完了?都没咋疼,白紧张了。”

左手探头右手枪,是欧阳涛培养的医生做穿刺时的基本行头,也是科里所有主治医师都必须掌握的技能。

中心主任欧阳涛如此行事的原因,依然是为了效率。一般情况下,这项工作是由超声科大夫和外科大夫一起配合完成,而在这里,任何一位经过培训的主治医师都可以在护士的协助下独立完成这项操作。2004年至今,已经完成了16000多例,近几年来,他们乳腺中心每年做的超声影像引导穿刺比医院超声科完成的还多。

在没有穿刺方法之前,医生是通过开放性手术来取样活检的。对于病理检测后确定不需要手术的患者来说,穿刺相对于开放性手术,损伤小得多。欧阳涛主任提供了一份2004年至2008年穿刺活检与手术活检的数据对比,与国际上的研究结果一样,穿刺活检对乳腺癌患者的生存没有不良影响。


穿刺枪怎么升级乳腺穿刺术(二)_https://www.jmylbn.com_新闻资讯_第17张


门诊手术——半小时结束战斗

每例门诊手术整个过程只需要大约半小时,局麻,不需要住院。依然是范照青医生的班儿。

当天因为人手紧张,两间手术室三位医生,一间一位医生,另一位两头跑辅助他们。因此,几乎是一位大夫得完成全部工作,包括接病人、病灶定位、消毒、切除、缝合、包扎等。基本每一个病人在手术前还需要超声定位,医生就要随时拉过边上的的超声设备现场做。所以,在这里的医生是多能选手

与大手术室里乳腺癌手术以中老年女性患者为主不同的是,门诊手术里年轻人很多。门诊手术是局麻,开一个小切口把肿块切除,缝几针,再把胸部紧紧绑上绷带, 30分钟结束战斗,乳房的外形一般不受影响。

在我观察的的半天门诊手术里,大部分是35岁以下的年轻人,最年轻的21岁,很漂亮,瘦削的身体,披肩长发下一直眉头紧锁,说不出的紧张。因为手术不复杂,手术室里气氛相对较轻松,电刀切割冒出轻烟,发出吱吱的响声。

什么样的乳腺疾病要做门诊手术,欧阳涛主任总结了三类,一是穿刺后病理检测结果确诊是良性病变但需要手术治疗的,二是穿刺不能做最终诊断需要依靠手术切除全部病变送病理的,三是尽管不需要手术但患者自己想切了以求心安的。

穿刺枪怎么升级乳腺穿刺术(二)_https://www.jmylbn.com_新闻资讯_第18张


乳腺癌的根治性手术对病人的生理和心理都是一个沉重的打击,因此术前明确诊断非常有必要。确诊乳腺癌很重要的方法是组织病理学诊断(简称活检)。活检包括穿刺活检和手术活检两种方法。与手术活检相比,穿刺针活检对正常组织的破坏少,无疤痕,病人只需要局部麻醉,且费用也相对低廉。


那么,问题来了,如下:


哪些情况下专科医生会建议患者接受乳房穿刺活检?


一般来说,当医生结合体检与辅助检查分析,怀疑乳房肿瘤为可疑乳腺癌时会建议病人接受穿刺活检,有时患者体检时乳房肿瘤不明显,但在B超或钼靶下发现可疑病变,DOBI提示该区域出现高代谢或高血流信号,医生可能也会建议穿刺活检或希望能密切随访,如果你是高危人群,医生建议活检的可能更大。


乳房穿刺活检的常用方法


细针穿刺活检、粗针穿刺活检、空心针穿刺活检、麦默通肿瘤切除或活检。不同医院可能采用不同的穿刺活检方法,但目的是一致的。


目前推荐的方法是空心针或麦默通活检,穿刺活检多在B超或钼靶下进行,这样准确可靠,活检组织多,有利于病理学诊断及免疫组织化学分析。手术切除活检一般是最后的活检方式。


必需提醒每位患者,肿瘤的初次治疗是十分重要的,因此,手术前明确病理性质及肿瘤的特征也十分重要,这样有利于帮助医生制定科学合理的治疗方案,保证治疗的成功实施。


穿刺会导致肿瘤转移吗?


这是没有科学依据的,现有的诊疗指南都推荐在乳腺癌治疗前最好能明确病理诊断,此外,有经验的医生在选择穿刺点时,也会考虑到手术范围,尽可能在手术时切除穿刺点及针道,不必担心。


专科医生会按照病人的具体情况,在诊疗指南的指导下选择合理的个体化治疗方案,这一点很关键,不同的病人有不同的情况,只有个体化才能合理化,医学科学是发展的,患者的年龄、身体状况、经济状况、治疗需求等都是医生要考虑的内容。

穿刺枪怎么升级乳腺穿刺术(二)_https://www.jmylbn.com_新闻资讯_第19张

超声引导下乳房穿刺活检


  乳房疾病日益增多,而乳房实质病变的良恶性、恶性肿瘤的分化及转移程度等直接关系到治疗方式的选择,因此,术前明确诊断尤为重要。超声引导下的乳房粗针及真空辅助旋切穿刺组织学活检因其定位准确、操作安全等优势得到广泛应用。


【目的】


1. 鉴别乳腺病变的良恶性,为临床确定治疗方案提供依据。

2. 确定恶性病变病理组织分型,获取免疫组化结果,为内科治疗提供依据(例如内分泌治疗、新辅助化疗等)。

3. 为不可触及的乳房病变(nonpalpable breast lesion,NPBL)做术前定位。


【适应证】


1. 超声发现未扪及的可疑乳腺占位性病变。

2. 乳房触及的较大实质性肿块,临床怀疑恶性需明确诊断者。

3. 对成分混杂的病变(可能含有坏死组织)及含钙化等质地硬韧的病变。

4. 超声提示乳腺BI-RADS 4类及以上或部分3类病变,需要明确诊断者。 

5. 核磁或钼靶提示的乳房可疑病灶者。 

6. 超声提示乳腺良性肿瘤,旋切或消融治疗前需明确诊断者。

7. 不适宜接触X线的患者。


【禁忌证】


1. 绝对禁忌证  

(1)有明显出血倾向及凝血功能障碍的患者。 

(2)有严重高血压、糖尿病的患者。 

(3)意识障碍不能配合诊疗的患者。 

(4)体质极度虚弱不耐受穿刺者。 

(5)疑为乳房血管瘤的患者。 

2. 相对禁忌证  

(1)乳房内置有假体。 

(2)女性月经期间。 

(3)女性妊娠期间。

(4)局部皮肤感染。


【术前准备】


1. 术前查凝血功能、血常规、传染病指标[乙肝病毒表面抗原(HBsAg)、丙肝病毒抗体(抗-HCV)、人类免疫缺陷病毒HIV1+2 型抗体(抗-HIV)、梅毒螺旋体抗体(抗-TP)]等,测量血压。

2. 术前1d清洁身体,停用抗凝血药物及活血功能保健品5~10d。

3. 术前与患者及家属交代病情,详细告知术中、术后可能出现的并发症和处理方法,签署知情同意书。

4. 备齐急救药品及用物。

5. 穿刺用品包括无菌穿刺包、无菌手套、2%利多卡因、标本固定液、穿刺针(如:14G、16G、18G或真空辅助旋切针)等。


【操作方法】


1. 根据乳腺肿块显示的最佳切面,调整患者体位,通常为仰卧位或侧卧位,以肿块位置相对较为固定为宜,充分暴露患侧乳房。

2. 仔细扫查肿块及周围组织,测量病灶大小,明确距皮肤及胸腔距离,检查病灶及周围组织血流信号丰富程度及血管分布情况,存储图像,选择穿刺入路(尽量避开较大血管及重要脏器组织结构)并确定穿刺角度及射程(切忌刺破胸壁伤及肺脏)。

3. 常规消毒、铺巾,无菌隔离套包裹探头后再次扫查病灶确认穿刺入路。

4. 用2%利多卡因行局部麻醉(注意勿将麻药注射入血管)。

5. 根据病灶大小及进针路径调整针槽长度备用;操作者清楚显示靶目标后固定探头,穿刺针沿声束平面进针至病灶前缘,确定避开血管及重要组织结构后,击发穿刺枪、迅速退针,用纱布按压止血,此过程应实时超声观察并记录。

6. 推出针槽内组织,放置到滤纸条,并浸入甲醛固定液,视组织完整情况取材1~3条组织,送病理检查。

7. 穿刺结束后,穿刺点消毒、按压穿刺部位15~20min止血,观察患者有无不适;如为真空辅助旋切术后,须将旋切区针道内积血挤出,然后加压包扎。


【注意事项和并发症】


1. 术中注意事项

(1)严格无菌操作,穿刺部位遵循就近及美观原则。

(2)穿刺时活检针尽量与胸壁平行,避免穿刺针进入胸腔;尽量使用同一个进针通道来进行肿块的多方位穿刺,以避免针道播散, 必要时可于穿刺点皮肤先切开2~5mm小口,便于穿刺。

(3)取样可包括病变组织及周围的乳腺组织。

(4)多个肿块或者双侧乳房活检,先穿刺恶性风险小的病灶;如性质难以确定时,可更换穿刺针,避免癌细胞随针种植转移。

(5)术中随时注意压迫止血。

(6)如果病灶靠近皮下、贴近胸壁或病灶周围血流信号丰富时,穿刺点局麻后可在病灶周围注射肾上腺生理盐水混合液(1:10000),以分离肿块与周围组织,收缩周围血管,减少术中出血。 

(7)真空辅助旋切术后,可在病灶手术区植入钛夹进行定位标记,以备后续随访或手术定位。

(8)前哨淋巴结(SNB)的穿刺: SNB是指肿瘤淋巴引流区域的第一站淋巴结,是区域淋巴结中最容易被肿瘤侵犯的淋巴结,通过对SNB的病理检查,可以预测整个淋巴引流区域是否收到肿瘤侵犯。适应症包括:临床腋窝淋巴结阴性,可手术的乳腺癌和多中心肿瘤患者,和/或将进行乳房切除术的 DCIS患者,和/或之前进行乳腺和/或腋窝手术,和/或有术前/新辅助全身治疗的女性患者,可进行SNB活检。但是计划行保乳手术的大型或局部晚期浸润性乳腺癌(肿瘤大小 T3/T4),和/或炎性乳腺癌,和/或导管内原位癌( DCSI) 等女性患者,和/或孕期女性,不应该接受SNB。穿刺前注射示踪剂(蓝染料如亚甲蓝等、异磺蓝,美蓝等;放射性胶体:99mTc-葡萄糖,99mTc-硫化锑胶体,99mTc-硫胶体等;脂质体显像等)进行淋巴显像,根据显像结果于术中对阳性淋巴结进行穿刺,取组织做病理检查,根据病理结果决定是否需要进一步行腋窝淋巴结清扫。

(9)弹性成像和超声造影的引导穿刺:可于术前对病灶进行超声造影检查,明确病灶整体血供情况,异常血供显示范围及内部是否含有非活性区域(造影无灌注区),帮助术者选择合适穿刺针型及确定有效穿刺路径。弹性成像可判断病灶整体硬度及分布情况,通过术前预测病灶质地,选择合适型号穿刺针,对质地不均病变,靶向穿刺质硬区域,均有助于提高穿刺准确性。


2. 术后注意事项

(1)压迫止血:穿刺后穿刺点消毒后,用无菌纱布加压10~20min, 注意观察伤口有无血性渗出,如有渗出,在无菌条件下及时更换纱布,并加压。

(2)预防感染:由于创伤小,穿刺过程中严格执行无菌操作,一般无须服用抗生素,穿刺后当天穿刺部位保持干燥,避免穿刺点感染。

(3)一般护理:术后观察患者生命体征60min,无异常方可离开,向患者及家属交代上述术后注意事项。术后患者穿刺部位轻微疼痛,不需要特殊的处理,对痛觉敏感的患者可适当给予止痛药。


3. 早期并发症

(1)疼痛、感染、发热、出血等,尤以出血最常见。

(2)气胸、胸膜反应、呼吸急速、呼吸困难、迷走反射、休克等麻醉意外。

(3)血压波动明显、心率变化、心律失常、心搏骤停。

(4)血管、神经及邻近组织器官损伤。

(5)其他。


4. 晚期并发症

(1)伤口愈合延迟或不愈合。

(2)肿瘤针道转移。

(3)肿瘤破裂、内出血等须转外科行急诊手术。

(4)乳腺导管损伤,引起乳汁分泌不畅。

(5)其他。


【术后记录内容和要求】


1. 基本信息 患者的姓名、性别、年龄、门诊号/住院号和床号、超声检查号、申请科室、检查部位、申请目的、仪器和探头型号和术前诊断。

2. 图像部分 采集的图像最好4张以上,包括显示左右侧体表标志的穿刺肿物切面的灰阶声像图、CDFI声像图、穿刺针及其针道声像图、术后复查的图像。

3. 文字描述

(1)施行手术名称:超声引导下乳腺粗针或真空辅助肿块(病变)穿刺活检术。

(2)一般情况:穿刺体位,穿刺前的准备程序,如常规消毒、铺巾,局部麻醉。包括穿刺哪侧乳房、肿物的时钟位置和与乳头的距离、深度、大小、形态、边界、内部回声、血供情况。

(3)穿刺过程:包括引导方法、穿刺针规格、进针次数、取出组织长度、数量及大体病理表现、标本的保存和处理方式,压迫穿刺点方法和时间等。

(4)术后复查:15~20min 后超声检查术区有无出血。

(5)结果评估:手术过程和结果的总体评价,记录生命体征是否平稳,术后有无不适及并发症,描写患者离开诊室时的一般情况。

(6)术后注意事项:真空辅助旋切活检或治疗后需绷带压迫止血24h,术后卧床休息12~24h、普通进食、保持伤口干燥3d,禁止剧烈运动和体力劳动1周。告知可能的并发症,如有异常,电话咨询或及时随诊。

4. 署名 包括医师签名、操作日期、记录者姓名。

穿刺枪怎么升级乳腺穿刺术(二)_https://www.jmylbn.com_新闻资讯_第20张

细针穿刺抽吸活检术(FNAB)是第一种用于乳腺癌疾病诊断和筛查的病理学技术,因其具有快捷、损伤少、经济及准确率高的优点,所以临床应用非常广泛。但是,FNAB本身的安全性和局限性也一直是临床关注的热点问题。

探讨FNAB安全性方面的研究始于1950年代,Smith等对63108例FNAB记录进行了Meta分析,结果显示,仅3例出现针道肿瘤复发,复发率仅为0.005%。研究表明,细针穿刺后针道肿瘤细胞的种植无临床意义,证实了FNSB的安全性。但FNAB仍有其局限性,主要包括:(1)由于组织量少,其免疫组化评分结果的准确性仍需谨慎;(2)对FNAB结果判读,目前缺乏统一标准。大多数专家认为,在三联评估(临床/影像/病理)一致的情况下,尽管缺少空心针活检或传统活检手术的组织病理学依据,FNAB可以作为乳腺癌的诊断依据。

空心针活检(CNB)就是借助空心针这一器械,对乳腺的可疑病灶(肿块、增厚区域、钙化灶等)穿刺取出部分腺体组织的检查。与FNAB相比,空心针穿刺取出的腺体组织较多,能行病理学检查,准确性相对更高,因此其临床应用越来越广泛。CNB适应证包括:FNAB提示怀疑恶性或不确定;FNAB阴性,但是超声和/或钼靶怀疑阳性;微钙化灶;组织量不足以分析;用于研究目的的组织库。CNB活检的临床应用中同样存在很多争议性的问题,如 CNB针道较大,是否易导致癌细胞针道种植而影响局部复发和预后?CNB活检所需要注意的问题?如何选择FNAB和CNB?上述问题均值得认真探讨。

穿刺枪怎么升级乳腺穿刺术(二)_https://www.jmylbn.com_新闻资讯_第21张

  乳腺肿物的术前穿刺分为三种,他们各有利弊,及其中的技巧,分析如下:
  1、Fine Needle Aspiration Biopsy(FNAB),细针穿刺活检
  优点:针道复发的几率为0.005%,无统计学依据;
  缺点:组织量不足,无法进行免疫组化检查
  在国外,B超+钼耙+FNAB见到癌细胞,可确诊,但是在国内却不合适;
  2、Core Needle Biopsy (CNB)空针穿刺活检
  优点:组织量足已进行免疫组化检查;ER、PR吻合率大于90%
  缺点:针道种植22%,但是,穿刺术后保乳+放疗,CNB不影响局部复发;
  假阴性为3-4%
  技巧:
  (1)针道尽量垂直;
  (2)组织取4-6条;4条组织,14Gauge(1.6284mm),95%确诊,2-3%穿不到阳性细胞
  (3)检查所穿标本:沉者为腺体,浮起为脂肪
  (4)若穿刺为钙化灶,必须拍片,并标记原病灶部位,坚决随访,避免造成组织学低估(穿刺结果为DCIS中有52%为浸润性癌);
  (5)不能穿到后间隙,否则容易产生血肿。
  3、Mamotone
  优点:肿瘤上皮种植可能性小,因为其套针不反复进出;
  其负压可将肿物吸近并避免空气进入残腔导致穿刺视野不清;
  缺点:针粗,切大量切割会导致肿瘤细胞与血液接触机会增加。
  综上所述,各种穿刺各有利弊,从选择上可优先考虑CNB。

穿刺枪怎么升级乳腺穿刺术(二)_https://www.jmylbn.com_新闻资讯_第1张