穿刺枪怎么升级乳腺穿刺术(三)

新闻资讯2026-04-21 21:10:37

穿刺枪怎么升级乳腺穿刺术(三)_https://www.jmylbn.com_新闻资讯_第1张

左手拿探头,右手拿“穿刺枪”, 范照青做穿刺时的劲儿与他的微信头像一样,颇有李连杰的范儿,只不过他穿着手术服戴着口罩。范照青是北肿乳腺预防治疗中心的副主任,科里都叫他大范。

按照乳腺中心的诊疗规范,当超声发现乳房有与肿瘤相关的结构异常时,就需要通过病理检查来判断这是什么,这时医生会安排穿刺来取组织送病理检查,而检查结果是指导后续治疗的最重要根据。

穿刺活检是目前乳腺病变确诊的标准方法,在欧美国家大的乳腺癌治疗中心,90%以上的乳腺癌通过这种方法确诊。

北肿乳腺中心的手术分级,手术医生根据年资对应不同级别的手术。范照青是副主任医师,对应是第三级,可做到保乳手术、假体植入手术,但他也会排班做穿刺和门诊手术。

周三上午,轮着他的班做穿刺,下午是门诊手术。

穿刺枪怎么升级乳腺穿刺术(三)_https://www.jmylbn.com_新闻资讯_第2张

穿刺——医生左手探头右手“枪”

范照青手里的 “枪”带有一支空心针,他要在超声探头的引导下,在乳房上准确找到目标,把长针刺进去,扣动扳机,“咔”的一声后抽出针管,护士张(吉吉)用镊子从针管里取出一条1厘米左右的条状组织,泡在福尔马林的标本瓶。如此取三条,送去病理科做检查。

每一次需要接触患者身体,范大夫都会低声轻轻告知:要消毒了……要打一针麻药会疼一下……你会听到一声响……

尽管如此,一位60来岁的患者还是紧张得一塌糊涂,从躺上病床就一直不敢睁眼,每一声枪响都会反射性地咬紧牙关。直到范大夫说“好了”,她才眉开眼笑,说:“就完了?都没咋疼,白紧张了。”

左手探头右手枪,是欧阳涛培养的医生做穿刺时的基本行头,也是科里所有主治医师都必须掌握的技能。

中心主任欧阳涛如此行事的原因,依然是为了效率。一般情况下,这项工作是由超声科大夫和外科大夫一起配合完成,而在这里,任何一位经过培训的主治医师都可以在护士的协助下独立完成这项操作。2004年至今,已经完成了16000多例,近几年来,他们乳腺中心每年做的超声影像引导穿刺比医院超声科完成的还多。

在没有穿刺方法之前,医生是通过开放性手术来取样活检的。对于病理检测后确定不需要手术的患者来说,穿刺相对于开放性手术,损伤小得多。欧阳涛主任提供了一份2004年至2008年穿刺活检与手术活检的数据对比,与国际上的研究结果一样,穿刺活检对乳腺癌患者的生存没有不良影响。

穿刺枪怎么升级乳腺穿刺术(三)_https://www.jmylbn.com_新闻资讯_第3张

门诊手术——半小时结束战斗

每例门诊手术整个过程只需要大约半小时,局麻,不需要住院。依然是范照青医生的班儿。

当天因为人手紧张,两间手术室三位医生,一间一位医生,另一位两头跑辅助他们。因此,几乎是一位大夫得完成全部工作,包括接病人、病灶定位、消毒、切除、缝合、包扎等。基本每一个病人在手术前还需要超声定位,医生就要随时拉过边上的的超声设备现场做。所以,在这里的医生是多能选手

与大手术室里乳腺癌手术以中老年女性患者为主不同的是,门诊手术里年轻人很多。门诊手术是局麻,开一个小切口把肿块切除,缝几针,再把胸部紧紧绑上绷带, 30分钟结束战斗,乳房的外形一般不受影响。

在我观察的的半天门诊手术里,大部分是35岁以下的年轻人,最年轻的21岁,很漂亮,瘦削的身体,披肩长发下一直眉头紧锁,说不出的紧张。因为手术不复杂,手术室里气氛相对较轻松,电刀切割冒出轻烟,发出吱吱的响声。

什么样的乳腺疾病要做门诊手术,欧阳涛主任总结了三类,一是穿刺后病理检测结果确诊是良性病变但需要手术治疗的,二是穿刺不能做最终诊断需要依靠手术切除全部病变送病理的,三是尽管不需要手术但患者自己想切了以求心安的。

穿刺枪怎么升级乳腺穿刺术(三)_https://www.jmylbn.com_新闻资讯_第4张

在临床上,乳腺专科医师通过病史询问、自己触诊,并结合影像诊断结果。

为那些乳房有肿块、结节或者钙化灶,并且高度怀疑恶性病变的女性开具粗针穿刺活检的检查。

希望通过穿刺的方式,直接获取高度怀疑的病灶组织,明确良恶性诊断,指导下一步的治疗。

乳腺粗针穿刺活检,也称空芯针穿刺活检。借助空芯针对乳腺病灶进行穿刺,取出组织进行检查。

穿刺枪怎么升级乳腺穿刺术(三)_https://www.jmylbn.com_新闻资讯_第5张

和粗针穿刺相对的是细针穿刺,同为穿刺,是不是它们的差别仅仅是因为“针”的粗细不同呢?

其实不然,粗针穿刺可以取到一条圆柱形的组织标本,可以进行组织学的检查,细针穿刺只适合做细胞学检查。


1 影像引导下粗针活检的优点


1. 可以取到较多组织,可以区分原位癌和浸润癌。

2. 获取足够的标本组织,提供更多预后指标的检测,如ER、PR含量,HER-2的表达等,有利于术前全面评估,制定合理的治疗方案。

3. 减少不必要的手术活检。

4. 有利于手术类型的选择及手术切口设计。

5. 粗针穿刺后还可以在肿块位置植入标记物,方便以后随访。


3影像引导下粗针活检的缺点


1. 粗针穿刺属于有创检查,穿刺过程中可能会有轻微的疼痛、出血甚至造成气胸等,穿刺后可能形成血肿、皮下淤血、局部感染等。当然一般都可以控制。

2. 可能未取到病变部位的组织,有时需要多次穿刺以取得病变组织。

3. 穿刺针道粗,可能造成穿刺乳腺癌组织的针道种植和皮肤种植。

有研究表明,粗针穿刺种植率最高达到36%,因此去过确诊乳腺癌,对于粗针穿刺形成的针道,需要一并手术切除。

穿刺枪怎么升级乳腺穿刺术(三)_https://www.jmylbn.com_新闻资讯_第6张


3影像引导下粗针活检适应症


1. 影像学检查发现的可疑病灶。

2. 钼靶片可见的局灶或可疑微小簇状钙化。

3. 对于重度增生性病变,可以达到诊断目的。

4. 钼靶片乳腺结构扭曲,超声可见,鉴别病变性质。

5.乳腺恶性肿瘤的术前诊断。

6. 新辅助化疗或内分泌治疗前(局部晚期乳腺癌)的诊断和治疗后的疗效判定。

7. 了解乳腺癌保乳术术前乳腺其他部位多发病灶的性质。

8. 了解乳腺癌保乳术术后切口周围和其他象限新生病灶的性质。


4影像引导下粗针活检的相对和绝对禁忌症


1. 有出血倾向、凝血机制障碍等造血系统疾病者。

2. 月经期、妊娠期、哺乳期等情况时。

3. 有感染性疾病者。

4. 心脑血管、肝脏、肾脏等严重原发性疾病者。

5. 精神病患者。

6. 疑为乳房血管瘤时。

7. 乳房太小,且病灶太靠近乳头、腋窝或胸壁者,易发生副损伤。

8. 乳腺内有假体者。


穿刺枪怎么升级乳腺穿刺术(三)_https://www.jmylbn.com_新闻资讯_第7张

    这一问题是每个乳腺有肿瘤的女性都非常纠结的问题,也是乳腺外科医生被提问最多的问题之一。关于乳腺肿瘤(结节)是否需要及何时需要医疗介入我将在另外一篇文章中阐述,本文讨论的乳腺肿瘤(结节)均是需要外科医疗介入的。本文所述乳腺肿瘤可等同于乳腺低回声结节、乳腺肿物、乳腺肿块等描述。

乳腺肿瘤分为良性肿瘤和恶性肿瘤两类,良性肿瘤对人体危害小,以纤维腺瘤为最多约占75%,手术切除即完成所有治疗。恶性肿瘤对人体危害大,其中乳腺癌占98%,初诊时可能已伴有血液或淋巴转移,手术只是规范治疗的一个方面,单做手术不做其他治疗是远远不够的,还需要辅助以化疗、放疗、内分泌治疗、靶向治疗、生物治疗等等。

初诊时考虑为良性病变,恶性病变的可能性很小,不建议先穿刺活检。因为穿刺活检病理结果为良性还是需要做手术切除的,所以直接做环乳晕的弧形美容切口直接切除肿瘤(几乎乳腺上所有部位的病变均可经此美容切口切除),切除后送病理检查更为合理。这样在诊断的同时也去除了肿瘤,没有必要先进行穿刺活检给患者增加心理和经济负担。

初诊时考虑有恶性病变的可能,分两类加以对待:一类是如为恶性需要在做根治手术之前进行新辅助治疗的(就是先化疗再手术),这类患者需要先穿刺活检;二类是如为恶性也不需要在做根治手术之前进行任何其他治疗的,这类患者可直接进行肿瘤切除活检,根据活检结果选择进一步手术方式及治疗。随着对乳腺癌认识的深入,大多数初发乳腺癌患者会归到第一类,就是先化疗之后再做根治手术,其中的道理将另撰文阐述。那么能不能再具体一点来区分这两种情况呢?其实,基于经验的临床判断误差很大,一般把肿物较大、患侧可触及肿大的腋窝淋巴结的尽量先进行穿刺活检(第一类)。而对肿物较小甚至小到没有把握准确穿刺到肿物的患者尽量选择手术切除活检,这类患者往往也不需要新辅助治疗(第二类)。

实际工作中还有许多其他特殊的情况,不管选择何种活检方式,选择了活检就是正确的决定,活检病理检查是乳腺恶性疾病诊断的金标准。活检病理结果良性我们就不再为其担忧、焦虑;活检病理结果恶性我们就早期发现了乳腺癌从而能够尽快进行规范治疗。患者本着相信医生,医生本着患者医疗获益第一位的原则,坦诚沟通,必将能选出一个最适合的个体化的医疗处理方式。

穿刺枪怎么升级乳腺穿刺术(三)_https://www.jmylbn.com_新闻资讯_第1张

乳腺癌手术前必须要进行穿刺活检吗?


穿刺枪怎么升级乳腺穿刺术(三)_https://www.jmylbn.com_新闻资讯_第9张



答案是肯定的。


虽说现在肿瘤的治疗方案越来越完善,但是个体差异性对治疗方案有着巨大的影响。因此,肿瘤的治疗越来越规范化和个体化。乳腺癌也不例外。


对于不同病情的乳腺癌患者,应当制订不同的个体化治疗方案,而制订个体化的治疗方案的重要依据一直就是乳腺癌的病理学诊断。


因此,乳腺癌患者在治疗前应该进行穿刺活检,进而获得组织学或细胞学的病理结果,为进一步综合性治疗提供依据。

很多乳腺癌患者和家属担心:乳腺癌穿刺会造成或促进肿瘤细胞入血,从而导致乳腺癌发生转移,因此,在治疗前不愿意做穿刺活检。


穿刺枪怎么升级乳腺穿刺术(三)_https://www.jmylbn.com_新闻资讯_第10张



这种担心完全是多余的。


人体的血液循环中本身就有一些肿瘤细胞,即使身体健康的正常人也是这样的,只不过肿瘤细胞会被人体的“清道夫”--免疫系统清除掉,而不表现出肿瘤。


肿瘤患者在穿刺活检过程中带出来的肿瘤细胞非常少,远远达不到人体血液循环中的数量,所以,穿刺造成肿瘤转移扩散的可能性微乎其微。


而且,近年来穿刺活检所用的器械也随着科技进步有了长足的改进。医疗器械的研发人员在穿刺针的外层做了一个保护装置,穿刺针吸取标本后,会自动回缩进保护装置中,保证穿刺的进出过程中穿刺针都不会直接接触人体的任何部位,避免了肿瘤细胞的外漏,对人体做到了最大程度的保护。


因此,患者和家属应该放下思想包袱,及时地做穿刺活检,进而准确的病理学诊断依据,给医生制订更合理的个体化治疗方案铺平道路。

乳腺肿瘤血管丰富,穿刺活检后需要进行局部加压处理,以免出现渗血、淤血等情况。不同的穿刺方式,护理方式也略微不同。


穿刺枪怎么升级乳腺穿刺术(三)_https://www.jmylbn.com_新闻资讯_第11张



加压包扎

细针穿刺活检:穿刺后局部加压20-30分钟即可;

空芯针穿刺活检:穿刺后需要用无菌敷料加压包扎至少24小时。


穿刺当日硬避免剧烈运动;

穿刺后两日内避免洗澡,以免造成伤口感染。

 温馨提示 

患者和家属应该经常检查无菌敷料有无渗血,少量渗血,及时告知医护人员更换敷料;渗血较多时,请立即去医院进行处理。另外,穿刺后,患者的穿刺部位有任何不适,及时随诊。


我们在上面的内容中全面了解了乳腺穿刺活检的详细内容,那么,医生和患者根据什么来判断预后和指导辅助治疗呢?接下来,小编介绍一个新的名词:前哨淋巴结活检手术。


首先,我们来认识一下,什么是“前哨淋巴结”?


穿刺枪怎么升级乳腺穿刺术(三)_https://www.jmylbn.com_新闻资讯_第12张



如上图所示:乳腺内有丰富的淋巴管网,淋巴结就是这个管网中的一个个节点,对肿瘤细胞有一定的暂时性的阻隔作用。乳房组织内形成的淋巴液中,约有75%淋巴液依次经过一站站的淋巴结流向同侧腋窝方向,在这个过程中,接受乳房淋巴液的第一站淋巴结(一个或多个)就是前哨淋巴结,同时也是原发肿瘤发生淋巴转移必经的第一站淋巴结。


经淋巴道转移是乳腺癌最常见的转移方式,最常见的淋巴结转移部位是同侧腋窝淋巴结。在前哨淋巴结活检技术发明之前,腋窝淋巴结清扫术一直是浸润性乳腺癌手术治疗的重要组成部分。但是,腋窝淋巴清扫术会带来很多近、远期的并发症,比如:上肢淋巴水肿、疼痛、肩关节活动障碍、麻木等,严重影响患者术后的生活质量。


然而,随着前哨淋巴结活检技术的应用,医生可以根据活检的病理结果来判断是否需要进行腋窝淋巴结清扫术,不但避免了腋窝清扫术带来的各种损伤和并发症,而且也减轻了患者和家属的经济负担,对患者术后的恢复也是有益无害的。因此,前哨淋巴结的活检结果对于指导乳腺癌治疗的重要作用不言而喻。


穿刺枪怎么升级乳腺穿刺术(三)_https://www.jmylbn.com_新闻资讯_第13张



第一步:手术前在乳晕或肿瘤周围注射示踪剂,放射性核素标记的大分子胶体和有色染料是常用的两种示踪剂。


第二步:手术时在腋下做一个1-2cm的切口,寻找吞噬了示踪剂的第一站淋巴结,即前哨淋巴结,将其切除进行病理学化验。


第三步:若病理检查发现前哨淋巴结内有肿瘤细胞转移(阳性),则需要做腋窝淋巴结清扫术;如果病理结果为阴性,则无需做腋窝淋巴结清扫术。


乳腺癌中前哨淋巴结活检,可以帮助医生了解腋窝淋巴结转移的状况,以便指导早期乳腺癌的外科治疗中能否不施行腋淋巴结清扫,达到缩小手术范围、减少并发症、提高生存质量的目的。


穿刺枪怎么升级乳腺穿刺术(三)_https://www.jmylbn.com_新闻资讯_第14张



肿瘤患者以老年人居多,这一类人群常常伴有多种慢性疾病,例如:高血压、糖尿病等。患有基础疾病的患者,在医生制定手术方案的时候一定要具实告知自己的主治医生,以便医生综合考虑患者各方面的身体指征,术前及时调整用药方案,保证手术过程的顺利进行。


高血压患者:为了避免手术进程中血压波动,患者可以在手术当天早些时候用一小口水服药,这样可以避免手术中出现断药造成的血压波动,减少心血管并发症。


糖尿病患者:口服降糖药可以改为皮下注射短效胰岛素来控制血糖。


长期抗凝药服用者:术前在医生指导下至少停药一周,避免术中、术后出现渗血情况。术后经医生评估没有出血风险后,就可以恢复抗凝药的使用了。

 结语 

一旦发生疑似乳腺癌或乳腺癌确诊需要手术,不要急于“一切了之”。积极地与医生沟通,认真听取专业的建议,视情况应用穿刺活检和前哨淋巴结活检手术,不仅可以帮助医患双方更清楚的了解疾病分期,而且对于接下来的治疗和预后都有重要的指导作用。

穿刺枪怎么升级乳腺穿刺术(三)_https://www.jmylbn.com_新闻资讯_第15张


穿刺枪怎么升级乳腺穿刺术(三)_https://www.jmylbn.com_新闻资讯_第16张


乳腺癌患者穿刺影响预后?听知名乳腺专家怎么说

被确诊为乳腺癌的患者或者有待确认乳腺癌的患者,一般在等待手术前,需要通过穿刺活检来明确癌症的病理诊断,以便帮助医生判断癌症的良性恶性程度或者是哪一类乳腺癌。


穿刺即细胞学穿刺检查,和每月自查、医生触诊、B超检查、钼靶X光检查一样,能够使大多数乳腺癌早期患者得到及早诊断。另外,穿刺不影响预后,很多乳腺外科医生都喜欢穿刺,在临床上也是一种常规且标准的乳腺癌治疗方法之一。


提及穿刺,就有乳腺癌患者产生惧怕的心理,担心穿刺后肿瘤细胞扩散,其实这都是患者多虑了。中山大学附属肿瘤医院乳腺癌首席专家、广东省乳腺癌专业委员会前主任委员杨名添教授表示,乳腺癌患者穿刺不但不影响预后,还有很多好处呢。


近日,祈福医院邀请了杨教授到我院进行了一场《乳腺癌防治的进展》沙龙讲座。


穿刺枪怎么升级乳腺穿刺术(三)_https://www.jmylbn.com_新闻资讯_第17张


讲座上,杨教授分享了乳腺癌患者穿刺后为什么不影响预后,为什么乳腺癌外科医生都喜欢穿刺?


一、对于可疑乳腺病灶,国际指南和共识表示,不论大小首选穿刺活检;


二、大部分病灶为良性,穿刺避免了手术;


三、对于恶性病灶,穿刺与开放性手术诊断准确性相同,并有利于做好手术计划;


四、有助于术前分期,制定治疗计划。


杨教授还从完善保乳的基本检查、选择好进路、尽量避免血肿、病灶标记、腋淋巴结清扫的并发症、典型案例等方面为大家一一讲解,讲座主题明确,视野开阔,到场的医护人员均表示收获颇丰。


最后杨教授以一句“桃李不言,下自成蹊”做为结束语,他表示,医务人员除了要用自己的专业治病救人,还要拥有高尚的人文情怀去关爱每一位患者,帮助患者们早日康复,回归社会,正所谓是医生们真正该做的医病愈心。

穿刺枪怎么升级乳腺穿刺术(三)_https://www.jmylbn.com_新闻资讯_第18张

不少女士到医院就诊后,医生在做完体检及有关检查如钼靶、B超后会建议病人接受乳房穿刺活检,很多人不了解穿刺是怎么做的,更有人以为要做穿刺一定是患了乳腺癌,因此十分担心与害怕,一方面担心穿刺出现疼痛难以忍受,另一方面担心万一是乳腺癌,穿刺会导致癌细胞扩散与转移。其实这样的担心是没有必要的。


那些情况下专科医生会建议患者接受乳房穿刺活检呢?一般来说,当医生结合体检与辅助检查分析,怀疑乳房肿瘤为可疑乳腺癌时会建议病人接受穿刺活检,有时患者体检时乳房肿瘤不明显,但在B超或钼靶下发现可疑病变,DOBI提示该区域出现高代谢或高血流信号,医生可能也会建议穿刺活检或希望能密切随访,如果你是高危人群,医生建议活检的可能更大。


穿刺枪怎么升级乳腺穿刺术(三)_https://www.jmylbn.com_新闻资讯_第19张


乳房穿刺活检是一种诊断手段,常用的方法有:细针穿刺活检、粗针穿刺活检、空心针穿刺活检、麦默通肿瘤切除或活检。不同医院可能采用不同的穿刺活检方法,但目的是一致的。


目前推荐的方法是空心针或麦默通活检,穿刺活检多在B超或钼靶下进行,这样准确可靠,活检组织多,有利于病理学诊断及免疫组织化学分析。手术切除活检一般是最后的活检方式。


必需提醒每位患者,肿瘤的初次治疗是十分重要的,因此,手术前明确病理性质及肿瘤的特征也十分重要,这样有利于帮助医生制定科学合理的治疗方案,保证治疗的成功实施。

穿刺枪怎么升级乳腺穿刺术(三)_https://www.jmylbn.com_新闻资讯_第20张


很多人担心穿刺会导致肿瘤转移,这是没有科学依据的,现有的诊疗指南都推荐在乳腺癌治疗前最好能明确病理诊断,此外,有经验的医生在选择穿刺点时,也会考虑到手术范围,尽可能在手术时切除穿刺点及针道,不必担心。


专科医生会按照病人的具体情况,在诊疗指南的指导下选择合理的个体化治疗方案,这一点很关键,不同的病人有不同的情况,只有个体化才能合理化,医学科学是发展的,患者的年龄、身体状况、经济状况、治疗需求等都是医生要考虑的内容。

穿刺枪怎么升级乳腺穿刺术(三)_https://www.jmylbn.com_新闻资讯_第21张

詹维伟 朱樱 中华医学超声杂志电子版 5月10日

穿刺枪怎么升级乳腺穿刺术(三)_https://www.jmylbn.com_新闻资讯_第22张

穿刺枪怎么升级乳腺穿刺术(三)_https://www.jmylbn.com_新闻资讯_第23张

穿刺枪怎么升级乳腺穿刺术(三)_https://www.jmylbn.com_新闻资讯_第24张

穿刺枪怎么升级乳腺穿刺术(三)_https://www.jmylbn.com_新闻资讯_第25张

穿刺枪怎么升级乳腺穿刺术(三)_https://www.jmylbn.com_新闻资讯_第24张

穿刺枪怎么升级乳腺穿刺术(三)_https://www.jmylbn.com_新闻资讯_第27张

穿刺枪怎么升级乳腺穿刺术(三)_https://www.jmylbn.com_新闻资讯_第28张

穿刺枪怎么升级乳腺穿刺术(三)_https://www.jmylbn.com_新闻资讯_第29张

穿刺枪怎么升级乳腺穿刺术(三)_https://www.jmylbn.com_新闻资讯_第30张


【引用本文】詹维伟, 朱樱. 超声联合穿刺活检评估乳腺癌腋窝淋巴结研究现状与进展[J/CD].中华医学超声杂志( 电子版), 2017,14(12): 881-886.

穿刺枪怎么升级乳腺穿刺术(三)_https://www.jmylbn.com_新闻资讯_第31张

穿刺枪怎么升级乳腺穿刺术(三)_https://www.jmylbn.com_新闻资讯_第32张
导读:还记得《乳腺科门诊日志(二)——乳腺检查的BI-RADS分类常识 一文中的C女士吗?今天让我们跟随她认识一下乳腺肿块空芯针穿刺活检,究竟是个啥?它的作用是什么?有何风险及并发症?
穿刺枪怎么升级乳腺穿刺术(三)_https://www.jmylbn.com_新闻资讯_第33张

第二天,她拿着血常规及凝血功能的检查结果到了门诊穿刺室,血常规及凝血四项结果正常,没有凝血功能障碍,可以行穿刺。

C女士:L医生,什么是空芯针穿刺活检?
穿刺枪怎么升级乳腺穿刺术(三)_https://www.jmylbn.com_新闻资讯_第34张           
穿刺枪怎么升级乳腺穿刺术(三)_https://www.jmylbn.com_新闻资讯_第35张
L医生:说白了,就是在你的肿块周围打点麻药,在超声的引导下,用大概中性笔头粗细特殊穿刺针,在你的肿块上各个方向上随机的取一些“肉丝儿”下来,然后送到病理科,让病理医生在显微镜底下看看,它到底是好是坏。
空芯针穿刺活检就是用特殊器械,在超声或钼靶的引导下,对乳腺的可疑病灶穿刺取出部分腺体组织的检查。空心针活检取出的标本形状为条状,长度一般为2厘米。该技术采用专用穿刺粗针(国际号14-16G,针头外径2-4mm)。我们用14G的。
           

穿刺枪怎么升级乳腺穿刺术(三)_https://www.jmylbn.com_新闻资讯_第36张

C女士:我能看看那个针长什么样吗?
穿刺枪怎么升级乳腺穿刺术(三)_https://www.jmylbn.com_新闻资讯_第34张           

穿刺枪怎么升级乳腺穿刺术(三)_https://www.jmylbn.com_新闻资讯_第38张

C女士:妈呀穿刺枪怎么升级乳腺穿刺术(三)_https://www.jmylbn.com_新闻资讯_第39张,这么长,十多厘米长啊。
穿刺枪怎么升级乳腺穿刺术(三)_https://www.jmylbn.com_新闻资讯_第34张           
穿刺枪怎么升级乳腺穿刺术(三)_https://www.jmylbn.com_新闻资讯_第35张
L医生:晕死穿刺枪怎么升级乳腺穿刺术(三)_https://www.jmylbn.com_新闻资讯_第42张,我又不会都插进去,说句玩笑话,你的一个乳房的直径也没这么长吧,全插进去不就穿了糖葫芦了吗。我选择穿刺的点是根据你肿块的位置,按照你未来可能做手术的切口范围去设计的,再说距离肿块近点要好穿些吧,我不会必舍近求远。
C女士:哦,吓死我了,那就好,疼不疼啊穿刺枪怎么升级乳腺穿刺术(三)_https://www.jmylbn.com_新闻资讯_第43张
穿刺枪怎么升级乳腺穿刺术(三)_https://www.jmylbn.com_新闻资讯_第34张           
穿刺枪怎么升级乳腺穿刺术(三)_https://www.jmylbn.com_新闻资讯_第35张
L医生:要给你局部打麻药的,至于说疼不疼,这还真不知道,因为尽是我穿刺别人,还没别别人穿过穿刺枪怎么升级乳腺穿刺术(三)_https://www.jmylbn.com_新闻资讯_第46张。不过,穿了那么多病人,还没有那个病人惨叫的,所以是可以耐受。穿刺枪怎么升级乳腺穿刺术(三)_https://www.jmylbn.com_新闻资讯_第47张
C女士:穿刺会有什么风险吗?
穿刺枪怎么升级乳腺穿刺术(三)_https://www.jmylbn.com_新闻资讯_第34张           
穿刺枪怎么升级乳腺穿刺术(三)_https://www.jmylbn.com_新闻资讯_第35张
L医生:有,任何事情都是有风险的,就像我天天走在马路上,随时都有被车撞的风险,但是没办法,还是要走的嘛。

首先,穿刺的风险是出血,因为是直接从你的肿块上取”肉丝“,穿刺完靠弹力绷带加压包扎止血,穿刺过程中看不到哪里有血管,好在乳房是个浅表器官,绝大多数的出血,通过压迫就止住了,就像切菜不小切到手指,一般都可以通过压迫止血。

其次,就是穿刺结果有3%—5%假阴性和病理低估。啥叫假阴性,就是穿刺结果说是良性的,最后我们把整个包块切下来后发现它是恶性的,这叫假阴性。啥叫病理低估,就是穿刺结果说是个原位癌,最后我们把整个包块切下来后发现它是浸润癌,这叫病理低估。

最后,还有一些什么麻药过敏危及生命啦、心脑血管意外危及生命啦等等,任何手术或操作同意书上都会写的,但极少发生的不良后果。俗话说,常在河边走,哪有不湿鞋,但你的工作就是河边走,你有啥办法。出现问题,我们有相应的抢救流程,有充分的预案。没有哪个医生担心自己手里的病人出事,上了手术台,最希望你能平安下来的,不一定是你的家人朋友,但一定是医生。(段子,请勿喷)

C女士:就想你说的,谁都不希望有啥不好的意外,这我理解。我只是还不太理解,啥叫假阴性和病理低估?
穿刺枪怎么升级乳腺穿刺术(三)_https://www.jmylbn.com_新闻资讯_第34张           
穿刺枪怎么升级乳腺穿刺术(三)_https://www.jmylbn.com_新闻资讯_第35张
L医生:这么说吧,因为穿刺是随机取材,所以好比盲人摸象,穿刺医生是盲人(虽然有超声引导,但具体这个肿块哪个位置的组织具有代表性,是不知的),肿块是大象,病理医生是正常人。如果盲人把象牙拿给正常人,谁都认得是大象;但如果盲人只把大象背上的一小块皮给正常人,他就不知道是什么鬼了(假阴性);如果盲人把一头小象的尾巴给了正常人,那么他有可能认为是个牛尾巴或者猪尾巴(病理低估)。

穿刺枪怎么升级乳腺穿刺术(三)_https://www.jmylbn.com_新闻资讯_第52张

C女士:我懂了,你的解释很形象,那我们开始吧。
穿刺枪怎么升级乳腺穿刺术(三)_https://www.jmylbn.com_新闻资讯_第34张           
穿刺枪怎么升级乳腺穿刺术(三)_https://www.jmylbn.com_新闻资讯_第54张

具体穿刺过程不再赘述,经过两天的等待,病理科报告穿刺结果:浸润性癌

穿刺枪怎么升级乳腺穿刺术(三)_https://www.jmylbn.com_新闻资讯_第4张

很多患者害怕空芯针穿刺会引起肿瘤扩散而拒绝行穿刺活检。这种担心是有道理还是多余的呢?


空心针穿刺的操作过程是每穿刺一次获得一小块组织,医生一般会反复进出肿块穿刺4~6次来取得足够量的标本,从而达到病理结果的准确全面客观。空芯针穿刺后是否会存在癌细胞的针道残留,是否会影响局部复发等安全性问题就备受患者和医生的关注。


国外有专家对1990~2008年共5369例行空芯针穿刺的乳腺癌患者进行汇总分析,发现针道肿瘤细胞的检出率为22%,但这并没有增加术后的局部复发率,随访结果证实空芯针穿刺和手术切除活检两组的局部复发率无明显差异。因为大多数患者空芯针穿刺不久就行全乳腺切除,就不存在针道肿瘤残留发生后遗症的问题。而对于有保乳意愿的患者,有经验的医生也会在行空芯针穿刺时,选择好合适的进针部位,以利于保乳手术时能将穿刺点和针道都包含在肿瘤局部广泛切除的范围之内,予以完整切除干净。


穿刺枪怎么升级乳腺穿刺术(三)_https://www.jmylbn.com_新闻资讯_第56张


另外,空芯针穿刺会不会引起血道扩散呢?


目前国外的多项大型前瞻性研究均不支持空芯针穿刺增加血道、增加远处转移的机会。

由此可见,害怕空芯针穿刺会引起肿瘤扩散的担心是有道理的,但研究证明这种担心也是多余的。经实践证明空芯针穿刺是安全有效、简便快速进行乳腺肿块病理诊断的方法,在国外多年来一直是作为明确乳腺肿块的常规手段。


所以,患者尽管放心接受空芯针穿刺。一旦活检后确诊乳腺癌,医生通常都会在2周之内尽快手术治疗或进行放化疗。

穿刺枪怎么升级乳腺穿刺术(三)_https://www.jmylbn.com_新闻资讯_第57张

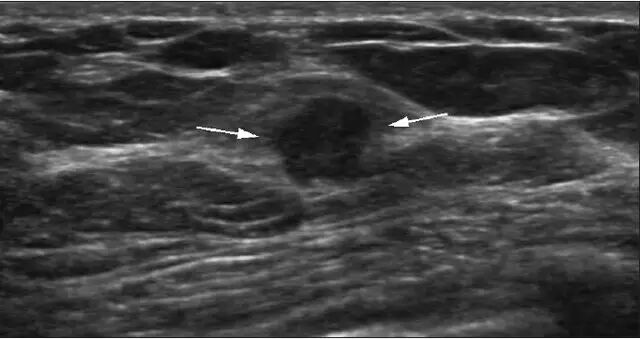
超声是乳腺检查的重要手段,有时可发现临床上无法触及且钼靶也未能显示的结节,即隐匿性乳腺结节。在这些乳腺结节中,有些结节虽然超声上存在可疑恶性征象,但穿刺病理结果却显示为良性。由于存在穿刺结果的假阴性可能,临床上对这类结节如何处置仍存在争议。来自韩国的 Moon 等人对这类隐匿性乳腺结节进行研究,其结果发表在 2016 年第 11 期的 J Ultrasound Med 杂志上。 


作者回顾性分析了近 5 年间超声检查 BI-RADS 4 类以上、经穿刺病理证实为良性而临床上触摸不到以及钼靶检查阴性的 73 个病例共 78 个乳腺隐匿性结节。临床上触摸不到的结节定义为乳腺触诊在相应部位无明显的结节感或乳头无明显改变。钼靶检查阴性定义为从下诊断起 6 个月内钼靶检查未见异常。


 78 个结节中,69 个经穿刺病理证实为乳腺良性乳头状瘤(平均大小 9 mm), 9 个为不典型乳头状瘤(平均大小 10 mm)。有 73 个结节的穿刺结果与 BI-RADS 分类一致,即分类为 4a 级而穿刺结果为良性,其余 5 个结节与 BI-RADS 分类不一致,即分类为 4a 级以上但穿刺结果为良性 。


 在随后的临床治疗中,53 个结节行传统外科手术切除,12 个结节行真空辅助下旋转切除术,13 个结节行 2 年以上超声随访未发现异常变化,最终视为良性病变(图 1 和图 2)。

穿刺枪怎么升级乳腺穿刺术(三)_https://www.jmylbn.com_新闻资讯_第58张图 1 一 40 岁女性无症状性乳腺良性结节:超声检查示左乳结节大小 0.7 cm,边缘略成角,呈等回声(箭头);BI-RADS 分级为 4a 类,经穿刺病理证实为良性病变;钼靶检查提示为致密型乳腺,未见异常


穿刺枪怎么升级乳腺穿刺术(三)_https://www.jmylbn.com_新闻资讯_第59张图 2 一 45 岁女性因右乳疼痛就诊,超声发现左乳一 0.7 cm 结节,边界清晰,呈复杂囊性病灶,BI-RADS 分级为 4a 类;钼靶检查提示致密型乳腺;超声随访 27 个月后病灶增大至 1.3 cm(箭头所示),遂行外科手术切除,术后病理证实为不典型乳头状瘤

根据最终术后病理及随访结果,共发现有 6 个良性乳头状瘤升级为不典型乳头状瘤,2 个不典型乳头状瘤升级为导管内原位癌,这其中有 7 个术前超声 BI-RADS 分类与穿刺病理结果一致,1 个 BI-RADS 分类与穿刺病理结果不一致。统计学分析后,患者年龄、结节大小、结节与乳头距离、病灶是否多发等指标在结节分级升级组与稳定组间无统计学差异。 


作者指出,该研究发现只有 2 例不典型乳腺结节升级为恶性结节,表明这类结节的恶性率较低(2/78)。因此,对于穿刺病理证实良性的乳腺隐匿性结节,可选择进行影像学随访或进行真空辅助下旋切术,而不一定要进行外科手术切除。

穿刺枪怎么升级乳腺穿刺术(三)_https://www.jmylbn.com_新闻资讯_第60张

随着治疗方案的不断完善,乳腺癌的治疗越来越强调规范化与个体化,不同病情的乳腺癌患者,应当制订各不相同的个体化治疗方案,对不同患者也可采取不同的手术方案,而制订个体化治疗方案的重要依据之一是乳腺癌的病理诊断。因此,乳腺癌患者在治疗前均应获得组织学或细胞学确诊(少数特殊表现无法术前取活检者除外)。

穿刺枪怎么升级乳腺穿刺术(三)_https://www.jmylbn.com_新闻资讯_第61张

与传统的手术切除活检术中冰冻诊断相比,术前穿刺组织学或细胞学活检已成为乳腺癌治疗前病理学诊断的金标准,穿刺活检不但具备创伤小、并发症少的优点,而且其诊断效率明显优于术中冰冻病理检查,有利于手术方案的选择与实施。根据活检工具的不同分为空芯针活检和真空辅助微创活检。随着影像学检查被越来越多的用于无症状妇女的乳腺检查,发现了大量临床摸不到乳房病灶,对这类病灶的活检可以采取在影像学定位下进行活检。

穿刺枪怎么升级乳腺穿刺术(三)_https://www.jmylbn.com_新闻资讯_第62张

很多患者有一种错误的观点,即乳腺癌穿刺会造成或促进肿瘤入血,从而导致乳腺癌发生转移,因此在治疗前不愿做穿刺活检。其实这是一种错误的认识!

因为乳腺癌本身就是一种血管丰富的恶性肿瘤,不但肿瘤内血运丰富,癌细胞本身缺乏黏附性,极易脱落入血,而且恶性肿瘤天生具备侵犯血管进行迁移的能力。所以人体血液循环中,尤其是恶性肿瘤患者血液循环中每天都有一定量的肿瘤细胞,即使正常人也会有部分癌变的细胞进入血液循环。肿瘤患者通过穿刺针带出来的肿瘤细胞非常少,远远不及肿瘤自行脱落入血液循环中的数量,因此肿瘤穿刺并不增加恶性肿瘤入血的风险。

穿刺枪怎么升级乳腺穿刺术(三)_https://www.jmylbn.com_新闻资讯_第63张

另一方面,恶性肿瘤的转移是一个非常复杂的过程。首先,人体对恶性肿瘤有一定的免疫力,人体免疫系统会在一定程度上不断识别并清除肿瘤细胞;其次,恶性肿瘤细胞在远隔器官发生转移也需要黏附、定植、增殖等过程,在这一过程中也可能会被免疫系统清除或无法生长,因而恶性肿瘤细胞入血并不必然引发肿瘤转移。

总之,乳腺肿瘤穿刺活检是安全的,在美欧已成为乳腺癌治疗前标准活检方式,至今尚无穿刺促进乳腺癌转移的报道。

穿刺枪怎么升级乳腺穿刺术(三)_https://www.jmylbn.com_新闻资讯_第64张

穿刺枪怎么升级乳腺穿刺术(三)_https://www.jmylbn.com_新闻资讯_第15张

穿刺枪怎么升级乳腺穿刺术(三)_https://www.jmylbn.com_新闻资讯_第66张


苏黎世联邦理工学院的科研人员开发出一种可有助于辨别良性乳腺肿瘤和恶性乳腺肿瘤的超声波技术。医生如果将这款更精准优化的诊断工具应用于常规检查中,病患便能避免不必要的穿刺活检。


超声波探测器会发射出能够穿透人体的声波。由于人体器官和组织具有迥然有异的物理特性,因此,它们会以截然不同的方式反射声波。这一被称为“回声测探记录仪”-更通俗的名称为超声波的装置,继而对这些“回声”进行汇总分析,并重建人体内部三维影像。


通常情况下,此类超声波装置会测量反射声波的强度。不过,瑞士苏黎世联邦理工学院(ETH Zürich)的一支研究团队通过对反射声波的持续时长进行分析,进而生成对于癌症确诊颇有助益的增强造影效果图像。据此,科研人员便能够检测到病患体内是否存在肿瘤,并对良性肿瘤和恶性肿瘤加以精准区分。


穿刺枪怎么升级乳腺穿刺术(三)_https://www.jmylbn.com_新闻资讯_第67张


全新的超声波技术用黄色清晰显示出乳房肿瘤(见右图)。左图为传统超声波图像,医生很难判断患者所患为良性肿瘤还是恶性肿瘤。



声波的反射速度,取决于不同人体组织的密度和硬度。而肿瘤要比周围其他组织更硬,尤其是恶性肿瘤-也就是癌变肿瘤。因此,恶性肿瘤组织反射的声波传播速度,要比健康组织快3%,比良性肿瘤也要快1.5%。



原文链接:

https://www.swissinfo.ch/chi/swiss/44512380

穿刺枪怎么升级乳腺穿刺术(三)_https://www.jmylbn.com_新闻资讯_第7张

“穿刺活检我能不做吗?”


2016年4月23日一早,36岁的王晶(化名)在老公和他们6岁儿子的陪伴下,特意赶来中国医学科学院肿瘤医院。参加由国家癌症中心、中国医学科学院肿瘤医院、中国癌症基金会共同举办的百名专家现场义诊活动。


上周参加单位体检,王晶被告知在钼靶下看到了可疑的钙化。通常来说,乳腺的良性钙化在钼靶下看起来一般是像爆米花和散在星状的样子。而她的钙化之所以可疑,是因为在钼靶下看,是沿乳腺导管分布的簇状钙化。当时医院认为她的情况不是太好,建议她做个穿刺活检确诊一下是不是乳腺癌。但王晶心中却顾虑重重,她认为穿刺活检会“添乱”,万一真是乳腺癌,担心这样一穿刺反而会导致癌细胞的扩散与转移。


王昕医生说,他在门诊几乎每天都能碰到纠结这个问题的患者。穿刺活检会导致肿瘤转移的说法是没有科学依据的!通过国内外多年大量的临床研究和观察已经有了结论:做过乳腺癌穿刺检查的患者,生存率和局部复发率和未作穿刺的相比较,没有统计学差异。所以不存在乳腺穿刺活检导致肿瘤全身转移的说法。


穿刺活检是确诊乳腺癌的金标准


因为肿瘤的初次治疗十分重要,所以在手术前明确肿瘤的性质和特征也十分重要。


之所以大家有这样的顾虑,还是因为大家对这项检查非常不了解。穿刺活检是国际诊治指南的首选推荐,对于较大的肿物触诊明确,可以直接穿刺,对于触诊不明确的肿物可以在超声、钼靶甚至核磁共振引导下进行穿刺,准确性高,创伤极小,几乎不需要麻醉或仅需要少量局部麻醉。穿刺几条肿瘤组织甚至是几个肿瘤细胞进行病理学或细胞学检测。而穿刺部位也仅仅是一个针眼大小的小孔,可以说接近于无创。


“乳腺癌术后康复,很多患者偏激了”


周女士两年前因为乳腺癌做了左乳切除手术,这两天刚拿到复查报告。别的检查结果都还挺好,唯独转氨酶一项指标很高。她说自己乳腺癌术后这两年,几乎次次复查转氨酶都很高。因为没有什么不舒服的症状所以也没太在意。马飞主任告诉她,这个情况需要引起重视。通常来说,转氨酶升高就预示着肝功能已经受到了损害。


通过详细的问诊,马飞主任为周女士一项项排除了可疑因素,最后把“嫌犯”锁定在了中药上。原来,在术后这两年的时间为了快点好,周女士一直坚持吃中药。马飞教授建议她把中药停一段时间后再查查转氨酶,看是否还高。而且转氨酶高,是不能继续再吃中药的。


周女士说,乳腺癌术后她一口肉都没吃过,因为听说吃红肉容易致癌,担心乳腺癌会复发。马飞主任告诉她,乳腺癌术后应该像正常人一样饮食,不论素或肉都应该适当吃,不然营养跟不上也会对身体恢复不利。对于乳腺癌术后的患者来说,应该多出去走走,找点事情做,保持一个好的心情也对疾病康复有好处。

穿刺枪怎么升级乳腺穿刺术(三)_https://www.jmylbn.com_新闻资讯_第18张


肿瘤一穿刺,癌细胞不就跑到身体其他部位造成扩散转移了吗?


这个问题,相信你也一样的困惑。很多患者担心针吸穿刺会使癌细胞扩散到身体其他部位而拒绝行穿刺活检,或者行穿刺后因此担心不已。


大家的担心到底有没有道理?


针吸穿刺是医生使用穿刺针在超声引导下通过反复进出肿瘤穿刺,取得一小块组织作为病理标本,再做进一步的检查以确定病例分型的方法。


理论上讲,任何对癌、瘤的刺激,包括针刺、切除、取活组织和其他检查都可能造成癌细胞的脱落和扩散。穿刺时反复穿刺肿瘤,可能会使针道中沾染少量癌细胞。


针对这个问题,国外曾有专家学者将1990~2008年进行过穿刺的5369名乳腺癌患者的数据进行分析,发现针道肿瘤细胞的检出率有22%,但局部复发率并没有因此增加。这又是为什么呢?


穿刺枪怎么升级乳腺穿刺术(三)_https://www.jmylbn.com_新闻资讯_第70张


首先,穿刺活检是为了检验是否真的是肿瘤,如果确诊为肿瘤,一般穿刺后不久患者就行乳房切除术,该侧乳房再次复发的可能性并不存在。


其次,医生进行穿刺时,选择合适的进针部位,使得进行手术时能够将穿刺部位完整切除。


即使存在癌细胞,也不一定意味着发生转移,因为机体的免疫系统会很快地将它们杀灭。


另外,目前国内外研究并未证实针吸穿刺会通过血道扩散到身体其他部位。


因此,穿刺并不会引起癌细胞的扩散、远处转移。


穿刺枪怎么升级乳腺穿刺术(三)_https://www.jmylbn.com_新闻资讯_第71张


可我明明穿刺后发生了远处转移,难道不是因为穿刺引起的吗?


当然不是,其实大家忽略了一个最重要的事实,即肿瘤自身的发展。癌细胞是一种全身疾病,无论穿刺与否,随着病情的进展,癌细胞都可能会扩散、转移到身体其他部位,与穿刺没有直接关系。


这个黑锅,穿刺可不背。

穿刺枪怎么升级乳腺穿刺术(三)_https://www.jmylbn.com_新闻资讯_第72张


肿瘤患者进行活检穿刺是目前的常规检验手段,病理检查才是疾病确诊的金标准,其他检查如血液生化、影像学检查只是辅助手段,只能得到“疑似”“大概的结果”,穿刺检查具有其他检查无法替代的检查价值。


通过病理检查确诊后,医生才能根据分型结果更好地指导用药治疗,找到最适合患者的治疗方法。


所以大家不要担心,也不需要有这种顾虑,积极地配合医生进行穿刺吧。

穿刺枪怎么升级乳腺穿刺术(三)_https://www.jmylbn.com_新闻资讯_第21张

             很多时候患者在听到医生要给自己做穿刺时,总是会有很多的疑问:为什么要做穿刺?   穿刺到底怎么做呢?

          从最新的中国抗癌协会CSCO乳腺癌诊治指南和规范可以告诉我们答案:

一、穿刺目的

1. 鉴别乳腺病变的良恶性。2. 确定恶性病变病理组织分型。

因为没有病理学为依据的乳腺疾病的诊断如乳腺纤维腺瘤、乳腺增生症等都是不科学的!

二、手术的适应症:

 (1) 乳腺超声发现未扪及的可疑乳腺占位性病变,BI-RADS≥4类,若有必要时部分3类病灶也可考虑活检。

 (2) 可触及乳腺肿块,且超声提示相应部位有乳腺内占位性病变,需要行微创活检以明确诊断。

三、穿刺技术

      无需住院、只需门诊治疗。


穿刺枪怎么升级乳腺穿刺术(三)_https://www.jmylbn.com_新闻资讯_第74张

操作全程在彩超引导下,确保安全、准确!

穿刺活检对正常组织破坏小,只有针眼大小的伤口,患者只需要局部麻醉,且费用较低。明确诊断后,手术时可以减少术中的麻醉时间,减少不必要的手术次数,在临床上,欧美医生术前常规使用空心针穿刺活检,此方法医生操作更简便,对患者的创伤也最小,能够快速制定治疗方案。

四、穿刺后护理



1

患者穿刺处予以无菌敷料覆盖包扎固定,注意观察局部有无渗血情况。

2

术后1周内患侧上肢避免大幅度负重活动。

3

穿刺后2天内不洗澡。

4

穿刺部位如有不适,及时随诊。


穿刺枪怎么升级乳腺穿刺术(三)_https://www.jmylbn.com_新闻资讯_第75张

穿刺枪怎么升级乳腺穿刺术(三)_https://www.jmylbn.com_新闻资讯_第15张

甲状腺疾病在人群中的发病率一直呈现上升趋势,很多人谈甲状腺色变。但是,通过一般的触诊以及高分辨率的彩超检查很容易出现诊断不明的情况,会有恶性的漏诊或者良性的诊断为恶性情况的出现。出现该手术的没有手术,可以不手术的进行了手术的情况。


穿刺枪怎么升级乳腺穿刺术(三)_https://www.jmylbn.com_新闻资讯_第77张


“目前,甲状腺细针穿刺检查技术已经能够极大避免出现上述漏诊和误诊的情况。”市中心医院乳腺甲状腺科主任、主任医师冀峰告诉记者,甲状腺细针穿刺技术全称为甲状腺细针穿刺细胞学检查(FNA),是通过很细的空芯针头对甲状腺组织穿刺,吸取病灶部位部分细胞后进行病理检查的检查手法。


穿刺枪怎么升级乳腺穿刺术(三)_https://www.jmylbn.com_新闻资讯_第78张


冀峰指出,甲状腺的特殊解剖位置要求操作者不仅要熟悉彩超检查以及熟悉颈部解剖位置,更要求穿刺手法高超和病理科精准的细胞诊断。所以,彩超引导下的甲状腺细针穿刺技术堪称“针尖上的艺术”,目前我市只有少数医院开展。


穿刺枪怎么升级乳腺穿刺术(三)_https://www.jmylbn.com_新闻资讯_第79张


市民刘女士,自从患上甲状腺结节之后,没有睡过一个好觉,她咨询了好多医生,有人建议手术,有人建议观察。她又找到冀主任后,冀主任建议她行彩超引导下甲状腺细针穿刺。杞县的赵女士也和刘女士遇到相同的情况。


穿刺枪怎么升级乳腺穿刺术(三)_https://www.jmylbn.com_新闻资讯_第80张



听从冀主任的建议,刘女士和和赵女士接受了甲状腺细针穿刺技术检查。检查结果很快出来了,刘女士排除了恶性肿瘤的可能。赵女士确诊为恶性,及时接受了手术治疗。


穿刺枪怎么升级乳腺穿刺术(三)_https://www.jmylbn.com_新闻资讯_第81张


冀峰说,在术前评估甲状腺结节良恶性时.FNA是敏感度和特异度非常高的方法。术前FNA检查有助于减少不必要的甲状腺结节手术。在中国甲状腺结节和分化型甲状腺癌诊治指南推荐级别为强力推荐。


那么,哪些情况需要甲状腺细针穿刺活检呢? 冀主任给我们列出了以下条件:


1、超声检查直径大于10mm的实性低回声结节。

2、伴颈部淋巴结超声异常的甲状腺结节。

3、儿童或青春期有颈部放射线接触的患者;甲状腺乳头状癌(PTC)、甲状腺髓样癌(MTC)或多发性内分泌腺瘤2型(MEN2)患者的一级亲属;有甲状腺癌手术者;在无任何干扰因素的情况下所测降钙素水平升高者。

4、直径虽小于10mm,但超声检查发现有与恶性病相关征象(低回声或边界不清、结节纵径大于横径、有微小钙化或结节内血流信号紊乱)。

穿刺枪怎么升级乳腺穿刺术(三)_https://www.jmylbn.com_新闻资讯_第21张

对于乳腺肿块的诊断,超声引导下穿刺活检术是一种实用有效的方法。临床上,关于活检针的选择较多,最常用的是切割式活检针,如 Tru-cut 针,其管径大小不等,常用的有 14 G、16 G和 18 G 等。穿刺医生通常会选用大管径的活检针,认为管径越大,其诊断准确性可能越高。但是,既往文献报道的数据并不充足。为了比较自动活检装置分别配备 14 G、16 G和 18 G 活检针行超声引导下乳腺肿块活检术的诊断准确性,美国 Monica 等学者进行了一项回顾性研究,文章发表在 2017 年第 7 期 European Radiology 上。

作者收集了 2007 年 1 月至 2012 年 4 月在其机构行超声引导下穿刺活检的 1112 名患者,其纳入数据分析标准包括:(1)乳腺病灶为肿块或结节,即其在图像在两个正交切面显示结节清楚。若病人有多个病灶进行穿刺活检,则首个活检病灶纳入分析;(2)有手术病理相关资料或者至少两年的图像随访。

研究最终纳入了 703 例病例,其中使用 14 G、16 G 和 18 G 活检针的患者数量分别为 203 例、205 例和 265 例。所有的穿刺病理结果分为恶性,高风险以及良性。作者用穿刺活检样本量不足的比率、穿刺与手术病理不一致率、穿刺与图像随访不一致率以及术中病理升级率(手术标本作为参考,将导管原位癌升级为浸润性导管癌或者将高风险病灶升级为恶性)作为指标,用以来判断不同型号穿刺针的诊断准确性。

作者发现分析,使用 14 G,16 G,18 G 型号的穿刺针进行超声引导下乳腺肿块穿刺活检,其穿刺针数的中位数是 5,4,4;取样组织长度的中位数分别是 1.3 cm,1.4 cm,1.2 cm,在穿刺活检样本量不足的比率(0%,0.8%,1.9%),穿刺与手术病理不一致率(2.6%,2.9%,3.8%),穿刺与图像随访不一致率(0%,0%,2%)以及术中病理升级率(43%,43%,36%)的四个方面均无统计学差异。

作者指出,既往研究认为,超声引导下乳腺肿块活检准确性的主要影响因素是操作者水平和取样效能。本研究发现,在保证一定穿刺取样数的情况下,使用自动活检装置分别配备 14 G、16 G、18 G 活检针行超声引导下乳腺肿块活检术在取样和诊断效能方面并无明显差异。在临床实践中,操作者可根据自己的经验和偏好,尽量选择小管径的活检针,比如 16 G 和 18 G,更小程度的减少患者损害。

原始文献链接:http://www.ncbi.nlm.nih.gov/pubmed/27844099

穿刺枪怎么升级乳腺穿刺术(三)_https://www.jmylbn.com_新闻资讯_第57张

乳腺癌是危害女性生理健康的主要恶性肿瘤。近年来,女性对于社会的参与度越来越高,随之伴随着生理和心理的压力也日渐增大,乳腺癌的发病率逐年上升。从上个世纪90年代,乳腺癌就成为危害我国女性健康的第一杀手。


穿刺枪怎么升级乳腺穿刺术(三)_https://www.jmylbn.com_新闻资讯_第84张



那么,乳腺癌应该如何确诊或分期呢?B超?或者肿瘤标志物?抑或PET/CT?

专家的回答:以上都不是。


一句话可以概括:虽然目前检查方法很多,但是,只有乳房活检(活体组织检查)做得到的病理结果才能作为唯一肯定诊断的依据。


接下来我们小编介绍一下什么是乳房活检。乳腺活检是“乳房活组织病理检查”的简称,分为手术切除活检和穿刺活检。


这是获得乳腺疾病组织学诊断最经典且常用的方法。触诊时发现肿块并高度怀疑为恶性肿块时,直接手术切除肿块及周围一定范围内的组织(一般要求从肿块边缘至少1cm左右尽可能完整切除)。简而言之--直接挖取病灶组织做切片进行病理分析。


穿刺枪怎么升级乳腺穿刺术(三)_https://www.jmylbn.com_新闻资讯_第85张



切除下来的冰冻切片可以进行石蜡切片检查(常规病理检查)和快速冰冻切片检查(术中快速病理检查)。


备注:石蜡切片需要3-7天出结果;冰冻切片需要30分钟到1小时出结果。


优点:方法成熟,组织充分,结果准确。

缺点:如果病理结果为不需要手术的良性疾病,患者白挨一刀,损失巨大(乳房对于女性的重要意义,无需多言);


即使病理结果为恶性,石蜡切片需要3-7天才能出结果,届时需要再次进行麻醉和手术;冰冻切片具有一定的假阴性率,有相关报道发生率为0-19%,同样需要再次手术。


同时,由于手术切除活检的切口相对较大,一旦确诊为乳腺癌进行保乳手术后,二次手术率高。并且影响前哨淋巴结活检,无法进行术后的新辅助治疗。


综上所述,虽然手术切除活检方法成熟且结果准确,但是,在肿瘤确诊时,患者和家属已经承受了恶性肿瘤的沉重打击,二次手术势必会加重患者和家属生理和心理的痛苦程度以及经济方面的损失。


本着对患者和家属赋予更多的人文关怀和现代医学水平的进步,穿刺活检在乳腺肿瘤的确诊中发挥着越来越重要的作用。穿刺活检包括:细针抽吸(FNAC)、空芯针穿刺(CNB)、真空辅助(VAB)。

细针抽吸细胞学活检(FNAC)


穿刺枪怎么升级乳腺穿刺术(三)_https://www.jmylbn.com_新闻资讯_第86张



利用细针(外径<0.9mm的细针头)穿刺吸取病灶部位中的细胞等成分做涂片,观察肿瘤与非肿瘤细胞形态改变和间质变化的一种细胞诊断学。


在实施过程中,根据肿瘤质地及其性质,可以分别采用10cm左右规格的一次性注射器进行穿刺术。通过患者体表,吸取可以触及的肿块病变,或者在X射线、B超、CT及核磁扫描等辅助导向对深部脏器的病变进行针吸,吸取出微小组织成分(包括细胞、间质或其他伴随物)进行细胞形态学的诊断。


优点:细针穿刺细胞学的方法简便、安全、快速,敏感性好,确诊率高,可信度强,且对病人近乎无创伤性,现已成为临床疾病的重要诊断学方法之一。


局限性:大量资料表明,尽管FNAC有许多优点,但仍有少数病例可能出现误诊,通常假阴性大于假阳性。主要原因是细针穿刺的组织量及其细胞成分较少,标本中的组织形态和细胞间质结构大部分或完全丧失,因而不能反映病变类型的全貌;对癌瘤生长组织的特异性诊断和分析,判断转移灶的组织来源有的病例尚存局限性。


穿刺枪怎么升级乳腺穿刺术(三)_https://www.jmylbn.com_新闻资讯_第87张



用空芯针对乳腺的可疑病灶(肿块、增厚区域、钙化灶等)进行穿刺,取出部分腺体组织的检查。


优点:乳腺空芯针穿刺病理组织学检查是一种安全、便捷的病理诊断方法。空芯针穿刺活检取出的标本为条状,粗细取决于空芯针的内径,长度一般为2厘米。空芯针穿刺和细针穿刺相比,取出的腺体组织比较多,能进行病理学检查,准确性相对较高。


局限性:空芯针穿刺组织学检查属于有创检查,穿刺过程中可能会出现疼痛、出血,严重者可能会出现气胸等。穿刺后可能形成血肿、皮下淤血、局部感染等。因此,进行穿刺之前,患者和家属需要与主治医生详细沟通既往病史等可能影响穿刺的情况。

真空辅助微创活检一般在影像学引导下进行,有真空泵和旋切刀组成。真空装置在电脑的控制下保持负压抽吸乳腺病灶部位,旋切刀进行旋转切割,通过标本运送系统将切取的标本运出体外。


优点:超声引导下的VAB多数在局部麻醉下进行,是一种微创手术,皮肤切口仅3~5mm,整个穿刺过程在超声影像下进行,不仅能收集多个连续样本,而且定位准确,操作便利。VAB已经成为乳腺外科常用的操作技术。


局限性:价格昂贵。


上面我们综合了解了不同的乳腺活检方法的相关知识,并且基于医疗水平和经济水平的综合考量,穿刺活检已经成为目前乳腺疾病方面病理学诊断的主要手段。

穿刺枪怎么升级乳腺穿刺术(三)_https://www.jmylbn.com_新闻资讯_第7张

活组织检查(简称活检)是获得术前病理诊断最常用的手段,它包括穿刺针活检和手术切除活检两种方法。

手术切除活检需要切开皮肤组织,表面会有疤痕形成,时间约需要半小时至1小时,患者心理压力较大。

因此目前临床上经常采用穿刺活检。穿刺活检操作时间短,一般十分钟内能完成,还有损伤少、瘢痕小的优点。

穿刺枪怎么升级乳腺穿刺术(三)_https://www.jmylbn.com_新闻资讯_第89张

做个简单的比喻:一个月饼单看外而并不知它是什么馅。

如果用牙签刺入月饼中,拔出后见牙签上没有蛋黄就能判断此月饼不是蛋黄馅的,至于是莲蓉还是五仁月饼还不清楚。

于是用前段带凹槽的筷子插入月饼内并拔出,凹槽内会带出少量的月饼,就可以知道这月饼有无蛋黄,并能知道是莲蓉还是五仁。

如果将这筷子放进一个吸管内,吸管连接负压,使得到的少量月饼通过吸管一次次被吸出。

这样可以插一根吸管多次吸出月饼馅,得到更多的月饼以证实这月饼是什么陷。

乳腺的穿刺活检中,细针穿刺就如牙签,只能穿出肿物的细胞,根据细胞判断肿物的良恶性。

空芯针穿刺就如带凹槽的筷子,能得到极少量的肿瘤组织,往往需要多次穿刺获得足够的标本。

而真空铺助旋切活检系统就像带了吸管的筷子,一次进入可获得足够量的肿瘤组织以做病理检查。

穿刺活检会造成肿瘤的扩散吗?

答案是不会!首先无论“是牙签还是筷子”,对月饼来说损伤都很小,穿刺过程出血也很少,肿瘤组织能进入血液的机会微乎其微。

其次是部分穿刺使用的是“带吸管筷子”这样的工具,所以进出“月饼”所取组织都在“吸管”内,根本不会跑到“吸管”外。

再次是单个肿瘤细胞要存活必须要适应新的环境,更需要打败新环境内的自身免疫细胞才能存活。

长途跋涉的肿瘤细胞残兵很容易被自体免疫大军围截剿灭。

穿刺枪怎么升级乳腺穿刺术(三)_https://www.jmylbn.com_新闻资讯_第90张

穿刺后3~7天就能知道病理检查结果,即刻进行肿瘤针对性治疗,肿瘤还来不及发生转移或者种植就已经被杀死了。

综上所说,穿刺活检导致的肿瘤细胞“逃逸”或者“种植”是很难的,目前医学证据表明穿刺活检术不会导致乳腺癌扩散。

穿刺枪怎么升级乳腺穿刺术(三)_https://www.jmylbn.com_新闻资讯_第21张