DR胶片为什么分尺寸【影像科普】教你识别影像胶片的四角信息

新闻资讯2026-04-17 12:24:31

DR胶片为什么分尺寸【影像科普】教你识别影像胶片的四角信息_https://www.jmylbn.com_新闻资讯_第1张


影像胶片四角都有中文、英文、数字构成的信息,接下来与大家共享一下如何看片子上的基础信息。


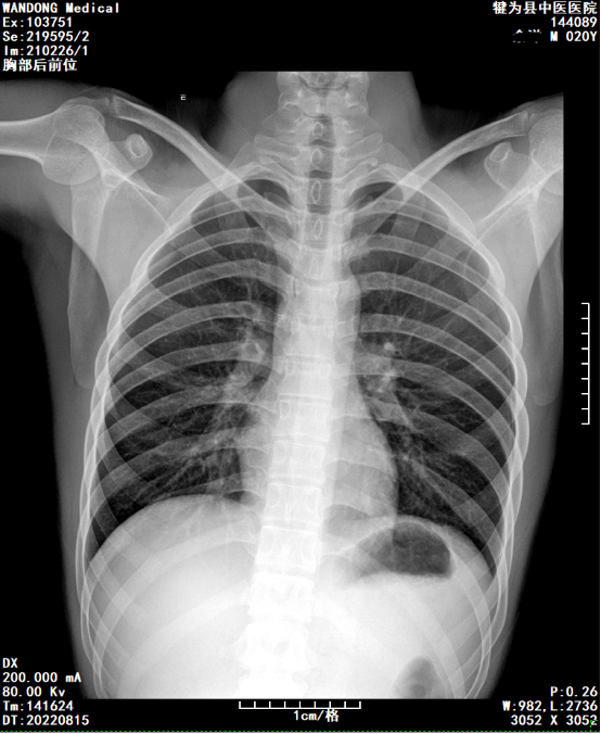
X线片

 这是一张胸部正位片,图像一般分为几个区,右上为机器及图片信息,左上为患者及检查信息,下方为显示视野。


DR胶片为什么分尺寸【影像科普】教你识别影像胶片的四角信息_https://www.jmylbn.com_新闻资讯_第2张


图中标记的A、P、R、L为方位,分别为前后右左;刻度尺比例,1分隔为1CM,可自行对比量病变大小。


左上角放大可见:

DR胶片为什么分尺寸【影像科普】教你识别影像胶片的四角信息_https://www.jmylbn.com_新闻资讯_第3张

最上方为医院名称,一般带有XX Hosptial或XX医院;

下面这个号码是病人编号,每个就诊者有且只有一个病人编号;

第三项为患者姓名,一般为汉语拼音,有的是汉字标示;

患者年龄、性别,其中M为男性,F为女性。


右上角区可见:

DR胶片为什么分尺寸【影像科普】教你识别影像胶片的四角信息_https://www.jmylbn.com_新闻资讯_第4张 


从上到下依次为设备型号信息;

影像登记流水号,告诉患者登记的顺序;

该图像所在序列号;

所在序列号中的第几幅图;

图像体位信息。


右下角区可见:

DR胶片为什么分尺寸【影像科普】教你识别影像胶片的四角信息_https://www.jmylbn.com_新闻资讯_第5张 

DX代表X线数字摄影;

下面是扫描参数,200mA是电流,根据时间可知道做检查所受的剂量;80KV是电压,临床中技术老师会根据病人的具体情况调节电压大小;DT为检查时间。


左下角区可见:

DR胶片为什么分尺寸【影像科普】教你识别影像胶片的四角信息_https://www.jmylbn.com_新闻资讯_第6张 

WL代表窗宽、窗位,可简单理解为图像明暗及对比度;3052X3052代表该幅图像的像素,乘积数越高代表图像的清晰度越高,由平板探测器的性能决定。



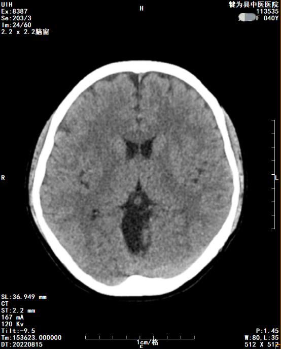
接下来看看CT图像


DR胶片为什么分尺寸【影像科普】教你识别影像胶片的四角信息_https://www.jmylbn.com_新闻资讯_第7张


基本信息同DR图像相同,需要特别指出的是右下角的ST代表CT图像层厚,数值越小密度分辨率越高,空间分辨率会降低。

如果需要分辨左右的关节,比如膝关节、踝关节等等,都会通过L(左)或R(右)来标注。

不同厂商的标识会有一些差异,我们需要认识一些常用的即可,有一些特殊的序列和扫描方案会出现在。以下是一些可能会遇到的缩写,供大家查询:

TA(acquisition time)采集时间

BW(带宽)

MF(Magnification factor)放大率

TI反转时间

W(Window Width)窗宽

C(Window Center)窗位

TP 检查床位置

EX:*** 往往是机器自动生成的检查序号

FL:Filp图像翻转

ROT:Rotation图像旋转

Mag:Magnification放大率

+LPH:Coordinatestem坐标系统,受检者坐标:左-后-头



放射影像科简介








DR胶片为什么分尺寸【影像科普】教你识别影像胶片的四角信息_https://www.jmylbn.com_新闻资讯_第8张

放射影像科是医院集放射影像诊疗、教学、科研为一体的优势科室。承担着全院的放射影像检查及诊疗工作。拥有先进设备:引进美国GE公司 64排螺旋CT机-GE Optima680、数字化X线摄影系统—万东DR机、锐珂DR机、GE公司Hispeed Dual双排螺旋CT机、全景牙片机等;可开展儿科及成人胸部、骨关节等各系统疾病X线及CT诊断,开展骨关节三维重建、三维成像等项目;可满足针灸科、骨伤科、内科、外科、妇科、儿科、五官科及口腔科等各种疾病的检查需求。

科室注重人才的培养和人才梯队的建设,拥有一批高素质的影像诊疗队伍。形成了科学管理模式的“数字化放射影像科”。

我们的服务理念:“透视健康 片片真情”

      址:门诊大楼一楼放射影像科

咨询电话:0833-4237432



DR胶片为什么分尺寸【影像科普】教你识别影像胶片的四角信息_https://www.jmylbn.com_新闻资讯_第9张

DR胶片为什么分尺寸【影像科普】教你识别影像胶片的四角信息_https://www.jmylbn.com_新闻资讯_第10张

来 源 | 放射影像科  杨杰

策 划 | 张吉维

监 制 | 张孝祥

审 稿 | 邹   波

编 辑 | 王若芊

发 布 | 刘世帆

联系邮箱:263695656@qq.com

DR胶片为什么分尺寸【影像科普】教你识别影像胶片的四角信息_https://www.jmylbn.com_新闻资讯_第11张
DR胶片为什么分尺寸【影像科普】教你识别影像胶片的四角信息_https://www.jmylbn.com_新闻资讯_第12张

喜欢,就点个“在看”

DR胶片为什么分尺寸【影像科普】教你识别影像胶片的四角信息_https://www.jmylbn.com_新闻资讯_第13张