眼科ab超检查单怎么看常见眼底疾病检查结果的秒懂解读

新闻资讯2026-04-21 20:18:51

眼科ab超检查单怎么看常见眼底疾病检查结果的秒懂解读_https://www.jmylbn.com_新闻资讯_第1张

眼科ab超检查单怎么看常见眼底疾病检查结果的秒懂解读_https://www.jmylbn.com_新闻资讯_第2张

一提到“眼底”这个眼科常用词汇,许多非医疗行业人士认为在眼球下方,其实不然,那眼底在哪呢?眼底其实是眼球内后部的组织,即眼球的内膜——视网膜、视乳头、黄斑和视网膜中央动静脉。随着大众医疗专业知识的提升,眼底疾病已经越来越被大家熟悉,其中眼底彩照、光相干断层扫描(OCT),眼科B超都是眼底疾病检查的常用手段。

下面以百姓口中的高频眼底病词汇及语句作为切入点,用通俗易懂的语言,给一些常见眼底疾病的检查结果做秒懂解读。


在介绍异常眼底之前,我们先来看看正常的眼底检查结果。


正常后极部眼底彩照及黄斑区OCT图


眼科ab超检查单怎么看常见眼底疾病检查结果的秒懂解读_https://www.jmylbn.com_新闻资讯_第3张

  图片来源:天津市眼科医院


眼底彩照:眼底后极部各个组织结构

眼科ab超检查单怎么看常见眼底疾病检查结果的秒懂解读_https://www.jmylbn.com_新闻资讯_第4张

OCT:黄斑区视网膜的断面图,凹陷处为黄斑中心凹

  图片来源:天津市眼科医院


下面开始逐一介绍眼底疾病:


中心性浆液性脉络膜视网膜病变


这个病简称中浆,就是老百姓说的“眼底水肿”,其实就是黄斑区浆液性水肿。

眼科ab超检查单怎么看常见眼底疾病检查结果的秒懂解读_https://www.jmylbn.com_新闻资讯_第5张

眼底彩照:黄斑区颜色变暗,像中心凹色红周边有光晕

  图片来源:天津市眼科医院


眼科ab超检查单怎么看常见眼底疾病检查结果的秒懂解读_https://www.jmylbn.com_新闻资讯_第6张

OCT:黄斑水肿区是呈色三角型

  图片来源:天津市眼科医院


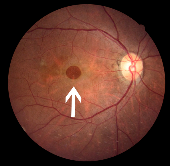
黄斑裂孔(全层)


眼科ab超检查单怎么看常见眼底疾病检查结果的秒懂解读_https://www.jmylbn.com_新闻资讯_第7张这个病就是老百姓说的“眼底有个眼儿”或“视网膜膜裂了”,其实就是指黄斑部视网膜的前9层发生的组织缺损,形成个小孔。


眼科ab超检查单怎么看常见眼底疾病检查结果的秒懂解读_https://www.jmylbn.com_新闻资讯_第8张

眼底彩照:黄斑区裂孔,呈红色圆形

  图片来源:天津市眼科医院


眼科ab超检查单怎么看常见眼底疾病检查结果的秒懂解读_https://www.jmylbn.com_新闻资讯_第9张

OCT:裂孔处无组织无光反射,呈黑色

  图片来源:天津市眼科医院


视网膜中央静脉阻塞


眼科ab超检查单怎么看常见眼底疾病检查结果的秒懂解读_https://www.jmylbn.com_新闻资讯_第7张顾名思义,视网膜大血管(静脉)堵了。

眼科ab超检查单怎么看常见眼底疾病检查结果的秒懂解读_https://www.jmylbn.com_新闻资讯_第11张

眼底彩照:视网膜火焰状出血

  图片来源:天津市眼科医院


眼科ab超检查单怎么看常见眼底疾病检查结果的秒懂解读_https://www.jmylbn.com_新闻资讯_第12张

OCT:黄斑区囊样水肿,水肿区呈黑色三角型

  图片来源:天津市眼科医院


视网膜中央动脉阻塞


老百姓常说的“眼中风”或“眼梗”,表现为突发视力急剧下降,甚至丧失,但眼部无其他不适症状,外观上也正常。

眼科ab超检查单怎么看常见眼底疾病检查结果的秒懂解读_https://www.jmylbn.com_新闻资讯_第13张

眼底彩照:眼底色呈灰黄,黄斑区呈樱桃红色

  图片来源:天津市眼科医院


眼科ab超检查单怎么看常见眼底疾病检查结果的秒懂解读_https://www.jmylbn.com_新闻资讯_第14张

OCT:视网膜神经纤维层呈红色、黄色高反射(中箭头),其下方水肿,呈遮蔽暗区(短箭头)

  图片来源:天津市眼科医院


糖尿病视网膜病变-非增殖期


眼科ab超检查单怎么看常见眼底疾病检查结果的秒懂解读_https://www.jmylbn.com_新闻资讯_第15张

眼底彩照:眼底黄斑区黄白色渗出,视网膜诸多出血

  图片来源:天津市眼科医院


眼科ab超检查单怎么看常见眼底疾病检查结果的秒懂解读_https://www.jmylbn.com_新闻资讯_第16张

OCT:黄斑区囊样水肿,水肿区呈黑色椭圆形

  图片来源:天津市眼科医院


玻璃体内积血


这就是玻璃体内积血,你看不见医生,医生也看不见你的眼底。

眼科ab超检查单怎么看常见眼底疾病检查结果的秒懂解读_https://www.jmylbn.com_新闻资讯_第17张

眼底彩照:混浊不清

  图片来源:天津市眼科医院


眼科ab超检查单怎么看常见眼底疾病检查结果的秒懂解读_https://www.jmylbn.com_新闻资讯_第18张

B超:玻璃体内的积血呈弥漫浓密中等回声点

  图片来源:天津市眼科医院


糖尿病视网膜病变-增殖期


眼科ab超检查单怎么看常见眼底疾病检查结果的秒懂解读_https://www.jmylbn.com_新闻资讯_第19张

眼底彩照:玻璃体内可见出血及白色半透明纤维增殖膜

  图片来源:天津市眼科医院


眼科ab超检查单怎么看常见眼底疾病检查结果的秒懂解读_https://www.jmylbn.com_新闻资讯_第20张

B超:玻璃体内积血,伴局部牵拉性视网膜脱离,呈“梯形板凳状”

  图片来源:天津市眼科医院


年龄相关性黄斑变性(干性)


此病出自于百姓口中的“大夫说我有黄斑”。此病分干性与湿性。

眼科ab超检查单怎么看常见眼底疾病检查结果的秒懂解读_https://www.jmylbn.com_新闻资讯_第21张

眼底彩照:眼底大量玻璃疣,呈金黄色小点

  图片来源:天津市眼科医院


眼科ab超检查单怎么看常见眼底疾病检查结果的秒懂解读_https://www.jmylbn.com_新闻资讯_第22张

OCT:玻璃疣呈一个一个小的拱形隆起,红色小拱形

  图片来源:天津市眼科医院


年龄相关性黄斑变性(湿性)


眼科ab超检查单怎么看常见眼底疾病检查结果的秒懂解读_https://www.jmylbn.com_新闻资讯_第23张眼科ab超检查单怎么看常见眼底疾病检查结果的秒懂解读_https://www.jmylbn.com_新闻资讯_第7张眼底彩照:黄斑区出血,出血周边呈黄白色

  图片来源:天津市眼科医院


眼科ab超检查单怎么看常见眼底疾病检查结果的秒懂解读_https://www.jmylbn.com_新闻资讯_第25张

OCT:黄斑区神经上皮层轻度隆起,下方有黄色高反射的出血及新生血管,呈纺锤状

  图片来源:天津市眼科医院


视网膜脱离


此病俗称“网脱”,较为严重,不及时诊治,有失明可能。表现为视物有云雾状阴影,视物变形,视野变小,视物遮挡,黄斑区视网膜脱离时,中心视力急剧下降。

眼科ab超检查单怎么看常见眼底疾病检查结果的秒懂解读_https://www.jmylbn.com_新闻资讯_第26张

眼底彩照:上方网脱,眼底颜色较下方变浅,存在褶皱

  图片来源:天津市眼科医院


眼科ab超检查单怎么看常见眼底疾病检查结果的秒懂解读_https://www.jmylbn.com_新闻资讯_第27张

B超:脱离的视网膜与视神经相连,呈“漏斗状V字形”

  图片来源:天津市眼科医院


高度近视眼底病变合并脉络膜新生血管


眼科ab超检查单怎么看常见眼底疾病检查结果的秒懂解读_https://www.jmylbn.com_新闻资讯_第7张此疾病出自高频语句,“眼底新长血管了,得往眼珠子里打针”。

眼科ab超检查单怎么看常见眼底疾病检查结果的秒懂解读_https://www.jmylbn.com_新闻资讯_第29张

眼底彩照:豹纹状眼底,黄斑区出血,出血周边呈黄白色

  图片来源:天津市眼科医院


眼科ab超检查单怎么看常见眼底疾病检查结果的秒懂解读_https://www.jmylbn.com_新闻资讯_第30张

OCT:黄斑区脉络膜新生血管表现为一个隆起的小鼓包

  图片来源:天津市眼科医院


以上就是一些很常见的眼底疾病针对性检查的图像资料,其特异性表现,对诊断这些眼底疾病有重要意义,希望通过以上通俗易懂的描述,能让您自己对检查结果进行迅速判断,心中有谱。

图文来源:天津市眼科医院    作者: 韩颖 解士勇 武斌

版权归原作者所有,如有侵权请及时联系,我们将立刻删除,谢谢眼科ab超检查单怎么看常见眼底疾病检查结果的秒懂解读_https://www.jmylbn.com_新闻资讯_第31张

眼科ab超检查单怎么看常见眼底疾病检查结果的秒懂解读_https://www.jmylbn.com_新闻资讯_第32张