眼前节照相怎么照常见眼前段疾病一览

新闻资讯2026-04-21 20:13:50
眼前节照相怎么照常见眼前段疾病一览_https://www.jmylbn.com_新闻资讯_第1张



正常眼前节照片


眼前节包括眼睑、角膜、结膜、前房、虹膜、晶状体等,通过眼前节照相,通过采集眼前节图像,对临床各种眼部疾病的诊断、拟定治疗方案和评估治疗效果等方面,有着重要的现实意义。




    眼睑肿物


01


眼前节照相怎么照常见眼前段疾病一览_https://www.jmylbn.com_新闻资讯_第2张


眼睑主要由皮肤、肌肉、睑板、结膜等组织构成,当炎症反应发生时,内外组织发生肿胀,造成睑腺炎、睑板腺囊肿等疾病。



结膜炎

02



眼前节照相怎么照常见眼前段疾病一览_https://www.jmylbn.com_新闻资讯_第3张


结膜与外界环境相接触,当结膜抗感染能力下降或外界致病因素增强时,将引起结膜组织的炎症发生,表现为血管扩张、渗出和细胞浸润。



03

结膜下出血


眼前节照相怎么照常见眼前段疾病一览_https://www.jmylbn.com_新闻资讯_第4张

结膜下血管破裂或血管壁渗透性增强,导致组织疏松的球结膜下血液积聚,多呈片状,边界清楚,一般可以自愈。




角膜炎

04


眼前节照相怎么照常见眼前段疾病一览_https://www.jmylbn.com_新闻资讯_第5张


由于外源或内源致病因素引起的炎症反应,典型特征为睫状充血、角膜浸润及角膜溃疡形成。溃疡面愈合后,根据溃疡深浅程度不同,会遗留厚薄不等的瘢痕。



 05    角膜变性与营养不良



眼前节照相怎么照常见眼前段疾病一览_https://www.jmylbn.com_新闻资讯_第6张


眼前节照相怎么照常见眼前段疾病一览_https://www.jmylbn.com_新闻资讯_第7张


角膜变性(左)大多数是由于眼部炎症性疾病或某些先期疾病引起的角膜组织退化变质并使功能减退。营养不良(右)是角膜组织受某种异常基因的决定,结构或功能进行性损害并发生具有病理组织学特征的组织改变。


前葡萄膜炎                     06


眼前节照相怎么照常见眼前段疾病一览_https://www.jmylbn.com_新闻资讯_第8张

前部葡萄膜发生炎症后,积聚在虹膜与晶状体表面的炎性产物,可形成粘连和机化,阻碍房水循环。




07                     前房积血


眼前节照相怎么照常见眼前段疾病一览_https://www.jmylbn.com_新闻资讯_第9张

多由眼球钝挫伤、眼部手术伤、炎症、肿瘤或药物引起的虹膜血管破裂,导致血液积聚在前房中,少量积血可自行吸收,但若出血量较大,或将引起继发性青光眼。

翼状胬肉                       08


眼前节照相怎么照常见眼前段疾病一览_https://www.jmylbn.com_新闻资讯_第10张


翼状胬肉是一种较为常见的眼表疾病,是一种向角膜侵入生长的结膜纤维血管样组织,初期睑裂部球结膜充血肥厚,逐渐向角膜延伸,呈三角形。侵犯角膜后可日渐增大,最后或将覆盖瞳孔。


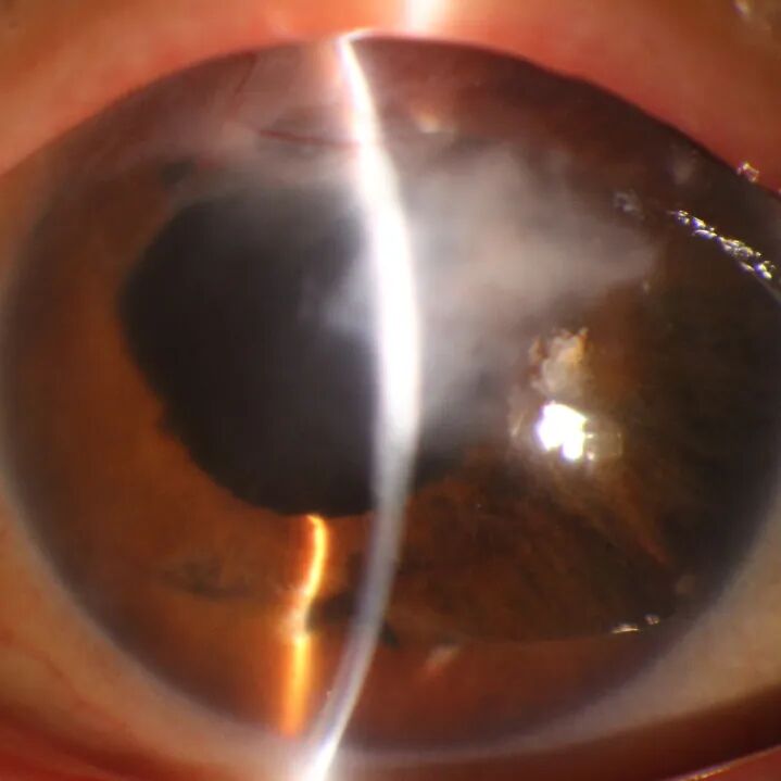
09            白内障


眼前节照相怎么照常见眼前段疾病一览_https://www.jmylbn.com_新闻资讯_第11张
眼前节照相怎么照常见眼前段疾病一览_https://www.jmylbn.com_新闻资讯_第12张


由于先天性因素、衰老、外伤、炎症、药物中毒等因素,破坏晶状体的组织结构,干扰其正常代谢而使晶状体浑浊形成白内障(左)。若白内障术后残留的晶状体上皮细胞发生增殖、迁移、纤维化,还将会形成后发障(右)。

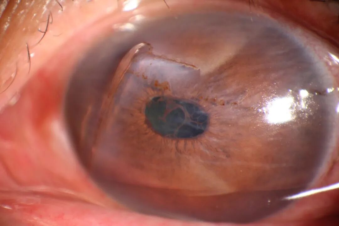
眼外伤                        10


眼前节照相怎么照常见眼前段疾病一览_https://www.jmylbn.com_新闻资讯_第13张
眼前节照相怎么照常见眼前段疾病一览_https://www.jmylbn.com_新闻资讯_第14张


眼前节照相怎么照常见眼前段疾病一览_https://www.jmylbn.com_新闻资讯_第15张
眼前节照相怎么照常见眼前段疾病一览_https://www.jmylbn.com_新闻资讯_第16张


任何机械性、物理性或化学性的外来因素作用于眼部,造成视觉器官结构和功能的损害统称为眼外伤,包括眼球钝挫伤、眼球穿通伤、眼内异物等。


END