猪输尿管怎么吃关于双“J”管,带你认识不一样的“猪尾巴”

新闻资讯2026-04-21 18:11:40

点击蓝字 关注我们


Q

猪输尿管怎么吃关于双“J”管,带你认识不一样的“猪尾巴”_https://www.jmylbn.com_新闻资讯_第1张

医生,你给我放了双J管怎么看

不到管子在哪呢?

Q

猪输尿管怎么吃关于双“J”管,带你认识不一样的“猪尾巴”_https://www.jmylbn.com_新闻资讯_第1张

我置管后排尿怎么还带血?

不严重?


……


想知道的患者朋友

往下看

或许能寻找您想要的答案


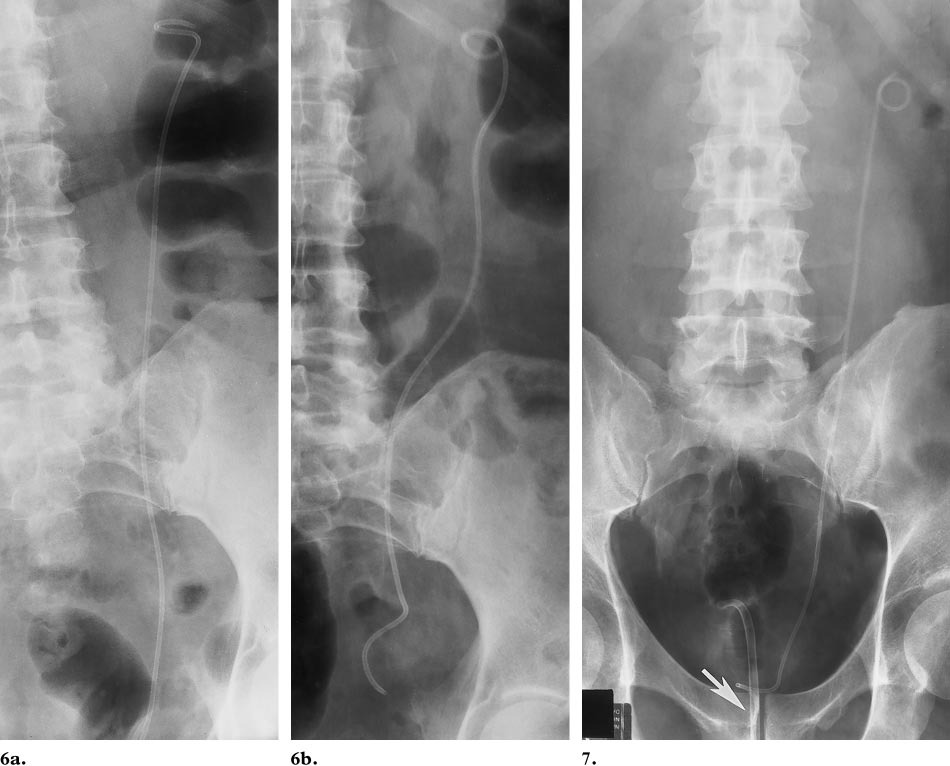
1. 双“J”管是什么




双“J”管是泌尿系统手术后根据需要留置的一种引流管道,因其两端弯曲,形状似字母“J”,故名双“J”管,又因双J管两端卷曲,每端形似猪尾而得名,故又称”猪尾巴管”也叫“输尿管内支架”。


猪输尿管怎么吃关于双“J”管,带你认识不一样的“猪尾巴”_https://www.jmylbn.com_新闻资讯_第3张


2. 双“J”管放在哪里?




双“J”管有两端,头端位于肾脏(多位于肾盂),尾端位于膀胱,中间的管体位于整个输尿管管腔内。


猪输尿管怎么吃关于双“J”管,带你认识不一样的“猪尾巴”_https://www.jmylbn.com_新闻资讯_第4张
猪输尿管怎么吃关于双“J”管,带你认识不一样的“猪尾巴”_https://www.jmylbn.com_新闻资讯_第5张



3. 做哪些手术需要放置双“J”管?




所有的上尿路结石手术,包括肾结石、输尿管结石手术(开放手术或微创手术),以及肾盂输尿管连接部狭窄手术,输尿管整形或内镜下输尿管狭窄扩张手术等,都需要放置双“J”管。


4. 双“J”管有什么作用?为什么要放置?




放置双“J”管的作用主要有以下几个:



(1) 引流肾积水

肾结石或输尿管结石以及肾盂输尿管连接部狭窄等疾病,往往造成肾积水,术后放置双“J”管可将肾积水引流至膀胱,再经尿道排出体外,从而保护肾功能


(2) 支撑输尿管管腔

输尿管手术后,常会出现输尿管管壁粘膜水肿,充血,甚至出现血块形成,以及术后的碎小结石堵塞输尿管,导致急性肾绞痛发作,此时,放置双“J”管可以支撑输尿管管腔,防止血块或碎小结石堵塞输尿管导致肾绞痛


(3) 预防或治疗输尿管狭

输尿管手术后,可以通过留置双“J”管,让原先已有的输尿管狭窄得到治疗,使狭窄段扩张,也可以通过留置双“J”管,来预防因结石嵌顿时间太长导致的输尿管炎性狭窄。


5. 留置双“J”管能正常工作吗?




留置双“J”管期间,可能出现一些轻微的腰痛,尿频尿急,轻微肉眼血尿等症状,但大多都是轻微的、可以耐受的。


这是因为弯腰或活动时,双“J”管的位置反向移动,导致肾盂、输尿管、膀胱等粘膜受到牵拉,和轻微擦伤所致,一般不影响正常工作,但应避免从事重体力劳动,不做突然下蹲、伸懒腰、过度弯腰以及避免剧烈运动,以减少腰部活动,不干重活、多休息、减轻肾脏负荷、避免性生活,减少双“J”管的移位带来的不适症状,勿憋尿,勤排尿。


6. 留置“猪尾巴”管期间的饮食指导




猪输尿管怎么吃关于双“J”管,带你认识不一样的“猪尾巴”_https://www.jmylbn.com_新闻资讯_第6张

(1)多饮水,每日饮水量为2500ml至3000ml。

猪输尿管怎么吃关于双“J”管,带你认识不一样的“猪尾巴”_https://www.jmylbn.com_新闻资讯_第6张

(2)勤排尿,多食新鲜蔬菜、水果,禁食辛辣刺激性食物。

猪输尿管怎么吃关于双“J”管,带你认识不一样的“猪尾巴”_https://www.jmylbn.com_新闻资讯_第6张

(3)不酗酒、不喝浓茶。

猪输尿管怎么吃关于双“J”管,带你认识不一样的“猪尾巴”_https://www.jmylbn.com_新闻资讯_第6张

(4) 根据结石成分分析结果进行饮食调节。


7. 出现留置双“J”管不适症状,该怎么处理?




 (1) 膀胱刺激征:最常见的表现为下腹和患侧腰部胀痛不适、尿频、尿急、尿痛,尿管周围渗尿,如果只是出现轻微症状,可多饮水,切勿捶打腰部。这些症状一般会置管一周内缓解,若症状明显者可给予解痉药物使用。


 (2) 血尿:一般钬激光手术后1~3天出现血尿属于正常现象,,请不用紧张,一般2~3天有所好转至自行消失。


 (3)如果腰痛较明显,或尿频尿急较严重,或尿色鲜红,则建议立即就医进一步治疗,一般需要药物治疗,或必要时需提前拔除双“J”管。


 (4) 感染:双J管的存在增加了膀胱输尿管内尿液的反流率容易导致肾脏的逆行感染。如果您在置管期间出现发热症状,请及时来医院就诊。


 (5) 移位、脱位:置管不到位,患者的剧烈活动,输尿管蠕动收缩导致双J管上移或者下移。若发现双J管脱落,请及时带管回院就诊。


猪输尿管怎么吃关于双“J”管,带你认识不一样的“猪尾巴”_https://www.jmylbn.com_新闻资讯_第10张


8. 双“J”管要放置多久?多久能拔除?




双“J”管留置的时间长短需要根据患者的手术方式来定,如果为肾结石或输尿管结石手术,一般为2-4周;如果为输尿管狭窄整形或扩张手术,一般为2-3个月。



猪输尿管怎么吃关于双“J”管,带你认识不一样的“猪尾巴”_https://www.jmylbn.com_新闻资讯_第11张

供稿 I 刘章莲

初审 I 王炜昌

审发 I 李恒志

来源 I 中山六院粤西医院/信宜市人民医院