猪输尿管怎么吃【典型案例】怀孕7月腹痛不止,医生巧用“猪尾巴管”安全解决!

新闻资讯2026-04-21 18:11:33
猪输尿管怎么吃【典型案例】怀孕7月腹痛不止,医生巧用“猪尾巴管”安全解决!_https://www.jmylbn.com_新闻资讯_第1张




孕期腹痛

是胎儿求救信号吗?

猪输尿管怎么吃【典型案例】怀孕7月腹痛不止,医生巧用“猪尾巴管”安全解决!_https://www.jmylbn.com_新闻资讯_第2张

不一定!

也可能是孕妇本身疾病所致


近日孕妇林女士就因

临床常见的『妊娠期肾积水』

导致下腹持续疼痛


市中心人民医院泌尿外科医生

巧用一根“猪尾巴管”

安全解决该孕妈的疼痛



案例

回顾


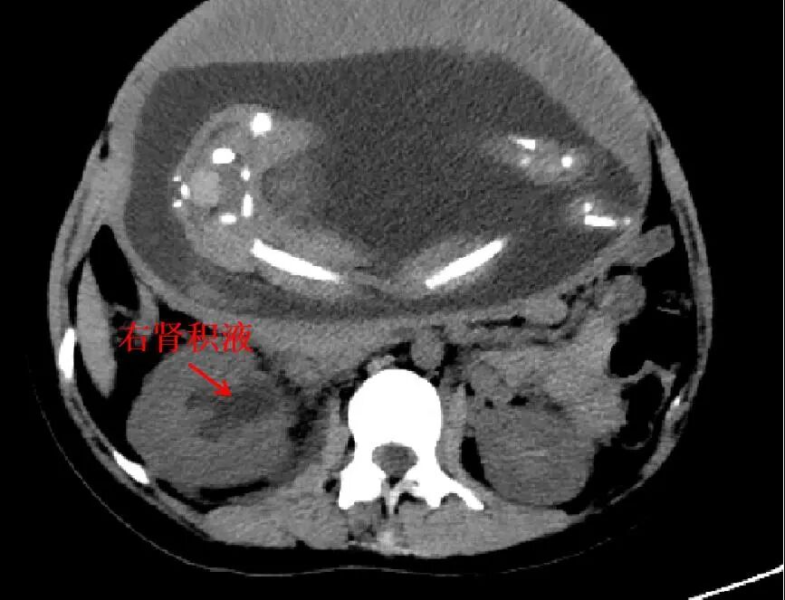
近日,孕7个月的准妈妈林女士出现了不明原因且持续性的下腹疼痛,改变体位无缓解,在当地治疗效果不佳,于是转入市中心人民医院,急诊考虑其为“妊娠合并右肾结石并积液、先兆早产”,收治到产科一区。


入院经详细检查后发现,林女士的右输尿管中上段、右肾积水,肾周及输尿管周围积液,未见明显阳性结石。考虑到患者是位孕妈,医生开始建议先采用保守治疗,但止痛效果欠佳,于是产科邀请泌尿外科前来会诊。


猪输尿管怎么吃【典型案例】怀孕7月腹痛不止,医生巧用“猪尾巴管”安全解决!_https://www.jmylbn.com_新闻资讯_第3张


泌尿外科白广炜医师会诊后表示,持续的剧烈疼痛可能导致流产,既然保守治疗效果不佳,建议行右侧输尿管支架置入术,用一条双J管(又称“猪尾巴管”)扩张输尿管管腔,有效缓解当前症状,等分娩完成后再择期做进一步处理。

猪输尿管怎么吃【典型案例】怀孕7月腹痛不止,医生巧用“猪尾巴管”安全解决!_https://www.jmylbn.com_新闻资讯_第4张


征得林女士同意后,右侧输尿管支架置入术顺利完成,林女士的下腹部疼痛得到了明显的缓解,复查宫内超声胎儿未见明显异常。

 

猪输尿管怎么吃【典型案例】怀孕7月腹痛不止,医生巧用“猪尾巴管”安全解决!_https://www.jmylbn.com_新闻资讯_第5张



科普

知多D

为什么妊娠期

容易发生肾积水?


市中心人民医院泌尿外科白广炜医师介绍,肾积水是指尿液从肾盂排出受阻,蓄积后使肾内压力升高、肾盖肾盂扩张、肾实质萎缩,造成尿液积聚在肾内。


妊娠期间更易出现肾积水,尤其是右侧生理性肾积水,因为逐渐增大的子宫会使得肾脏和中上段输尿管无症状扩张。症状一般表现为:背部、腹部或侧腹区域急性疼痛,恶心和呕吐,持续尿路感染与尿痛、尿中带血、尿频,胸痛,下肢肿胀,发烧等。

 

妊娠期肾积水怎么治疗?


(1)妊娠期肾积水如果无症状,可保守观察,定期随访泌尿系彩超即可。


(2)对于严重肾积水合并有严重腰痛、感染甚至肾绞痛的孕妇,会诱发子宫收缩引起早产、流产,威胁孕妇及胎儿的健康。在保守治疗无效的情况,可行输尿管镜下“双J管”置入术,能够起到引流尿液、防止输尿管狭窄和粘连堵塞的重要作用。


划重点:

双J管对组织无刺激、不堵塞、安全,手术时间短、创伤小、无需全麻,能够尽量把对胎儿的影响降到最低。产妇分娩后取出操作简单、风险较小,让准妈妈们无后顾之忧。

 

“双J管

小科普


是什么?

双“J”管是泌尿系统手术后根据需要留置的一种引流管道,因其两端弯曲,形状似字母“J”,故名双“J”管、猪尾巴管,也叫“输尿管内支架”。


放哪里?

双“J”管有两端,头端位于肾脏(多位于肾盂),尾端位于膀胱,中间的管体位于整个输尿管管腔内。


有啥用?

放置双“J”管的作用主要有以下几个:

1、引流肾积水

肾结石或输尿管结石以及肾盂输尿管连接部狭窄等疾病,往往会造成肾积水,术后放置双“J”管可将肾积水引流至膀胱,再经尿道排出体外,从而保护肾功能;


2、支撑输尿管管腔

输尿管手术后,常会出现输尿管管壁粘膜水肿,充血,甚至出现血块形成,以及术后的碎小结石堵塞输尿管,导致急性肾绞痛发作,此时,放置双“J”管可以支撑输尿管管腔,防止血块或碎小结石堵塞输尿管导致肾绞痛。


3、预防或治疗输尿管狭窄

输尿管手术后,可以通过留置双“J”管,让原先已有的输尿管狭窄得到治疗,使狭窄段扩张,也可以通过留置双“J”管,来预防因结石嵌顿时间太长导致的输尿管炎性狭窄。

 

医生提醒

肾脏疾病通常没有症状。如果不定期做身体检查,它可能无法被发现。早发现和早治疗可以减缓或预防肾病的进展。定期的尿液测试和血液测试可以帮助发现妊娠期间的肾脏问题。因此怀孕期间应定期产检并咨询医生。

猪输尿管怎么吃【典型案例】怀孕7月腹痛不止,医生巧用“猪尾巴管”安全解决!_https://www.jmylbn.com_新闻资讯_第6张


祝各位孕妈产检一路绿灯!



猪输尿管怎么吃【典型案例】怀孕7月腹痛不止,医生巧用“猪尾巴管”安全解决!_https://www.jmylbn.com_新闻资讯_第7张


(本文部分图片来源网络)

供稿:泌尿外科一区 黄家琼

供图:泌尿外科一区 白广炜

责编:社会工作部 林 斐


审核:曾怡婷

编辑:钟一夫

校对:梁   乐


推荐阅读:


【疾病防治】阳后身体仍未康?试试高压氧治疗!市中心人民医院高压氧医学门诊开诊啦


【健康警钟】37岁的他因黑色素瘤去世,惠州市中心人民医院专家提醒有“痣”之士……