牙科材料硅胶怎么用牙体预备步骤详解,手把手教你制作硅橡胶导板!

新闻资讯2026-04-21 18:02:33

牙科材料硅胶怎么用牙体预备步骤详解,手把手教你制作硅橡胶导板!_https://www.jmylbn.com_新闻资讯_第1张

硅橡胶导板应用于前牙复合树脂修复当中对于牙医来讲是个巨大的改变之一。硅橡胶腭侧导板是在治疗过程中将诊断蜡型的信息转移到口内的一种印模方法。其使得医生完全专注于复合树脂的分层堆塑,因为牙齿矢状位的外形尺寸都已经确定,包括牙齿的长度和切缘的最终位置,近远中切角和切端的厚度,都可以在导板的指引下完成。


使用以蜡型为基础的硅橡胶导板,可以保证医生修复的最终咬合和美学调整是最小的,切端三分之一的特征也可以被恢复出来。但是如何制作出一个好用的导板呢?本文将逐步介绍。


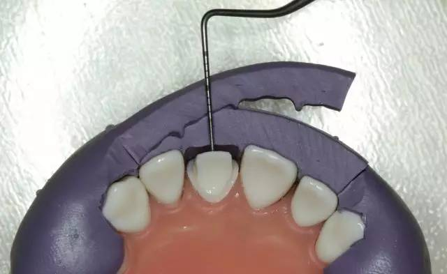
一、前牙硅胶导板制作

牙科材料硅胶怎么用牙体预备步骤详解,手把手教你制作硅橡胶导板!_https://www.jmylbn.com_新闻资讯_第2张
牙科材料硅胶怎么用牙体预备步骤详解,手把手教你制作硅橡胶导板!_https://www.jmylbn.com_新闻资讯_第3张
牙科材料硅胶怎么用牙体预备步骤详解,手把手教你制作硅橡胶导板!_https://www.jmylbn.com_新闻资讯_第4张
牙科材料硅胶怎么用牙体预备步骤详解,手把手教你制作硅橡胶导板!_https://www.jmylbn.com_新闻资讯_第5张

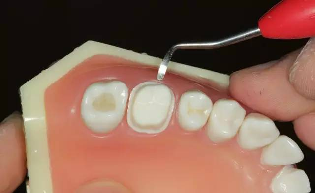
二、硅胶导板标识线切割

牙科材料硅胶怎么用牙体预备步骤详解,手把手教你制作硅橡胶导板!_https://www.jmylbn.com_新闻资讯_第6张
牙科材料硅胶怎么用牙体预备步骤详解,手把手教你制作硅橡胶导板!_https://www.jmylbn.com_新闻资讯_第7张
牙科材料硅胶怎么用牙体预备步骤详解,手把手教你制作硅橡胶导板!_https://www.jmylbn.com_新闻资讯_第8张
牙科材料硅胶怎么用牙体预备步骤详解,手把手教你制作硅橡胶导板!_https://www.jmylbn.com_新闻资讯_第9张
牙科材料硅胶怎么用牙体预备步骤详解,手把手教你制作硅橡胶导板!_https://www.jmylbn.com_新闻资讯_第10张
牙科材料硅胶怎么用牙体预备步骤详解,手把手教你制作硅橡胶导板!_https://www.jmylbn.com_新闻资讯_第11张
牙科材料硅胶怎么用牙体预备步骤详解,手把手教你制作硅橡胶导板!_https://www.jmylbn.com_新闻资讯_第12张
牙科材料硅胶怎么用牙体预备步骤详解,手把手教你制作硅橡胶导板!_https://www.jmylbn.com_新闻资讯_第13张

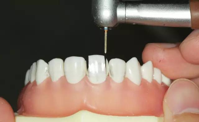
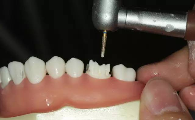
三、前牙牙体制备

牙科材料硅胶怎么用牙体预备步骤详解,手把手教你制作硅橡胶导板!_https://www.jmylbn.com_新闻资讯_第14张
牙科材料硅胶怎么用牙体预备步骤详解,手把手教你制作硅橡胶导板!_https://www.jmylbn.com_新闻资讯_第15张
牙科材料硅胶怎么用牙体预备步骤详解,手把手教你制作硅橡胶导板!_https://www.jmylbn.com_新闻资讯_第16张
牙科材料硅胶怎么用牙体预备步骤详解,手把手教你制作硅橡胶导板!_https://www.jmylbn.com_新闻资讯_第17张
牙科材料硅胶怎么用牙体预备步骤详解,手把手教你制作硅橡胶导板!_https://www.jmylbn.com_新闻资讯_第18张
牙科材料硅胶怎么用牙体预备步骤详解,手把手教你制作硅橡胶导板!_https://www.jmylbn.com_新闻资讯_第19张

四、牙制备量检查

牙科材料硅胶怎么用牙体预备步骤详解,手把手教你制作硅橡胶导板!_https://www.jmylbn.com_新闻资讯_第20张
牙科材料硅胶怎么用牙体预备步骤详解,手把手教你制作硅橡胶导板!_https://www.jmylbn.com_新闻资讯_第21张
牙科材料硅胶怎么用牙体预备步骤详解,手把手教你制作硅橡胶导板!_https://www.jmylbn.com_新闻资讯_第22张
牙科材料硅胶怎么用牙体预备步骤详解,手把手教你制作硅橡胶导板!_https://www.jmylbn.com_新闻资讯_第23张

五、后牙硅胶导板制作

牙科材料硅胶怎么用牙体预备步骤详解,手把手教你制作硅橡胶导板!_https://www.jmylbn.com_新闻资讯_第24张
牙科材料硅胶怎么用牙体预备步骤详解,手把手教你制作硅橡胶导板!_https://www.jmylbn.com_新闻资讯_第25张
牙科材料硅胶怎么用牙体预备步骤详解,手把手教你制作硅橡胶导板!_https://www.jmylbn.com_新闻资讯_第26张
牙科材料硅胶怎么用牙体预备步骤详解,手把手教你制作硅橡胶导板!_https://www.jmylbn.com_新闻资讯_第27张
牙科材料硅胶怎么用牙体预备步骤详解,手把手教你制作硅橡胶导板!_https://www.jmylbn.com_新闻资讯_第28张

六、后牙牙体制备及制备量检查

牙科材料硅胶怎么用牙体预备步骤详解,手把手教你制作硅橡胶导板!_https://www.jmylbn.com_新闻资讯_第29张
牙科材料硅胶怎么用牙体预备步骤详解,手把手教你制作硅橡胶导板!_https://www.jmylbn.com_新闻资讯_第30张
牙科材料硅胶怎么用牙体预备步骤详解,手把手教你制作硅橡胶导板!_https://www.jmylbn.com_新闻资讯_第31张
牙科材料硅胶怎么用牙体预备步骤详解,手把手教你制作硅橡胶导板!_https://www.jmylbn.com_新闻资讯_第32张
牙科材料硅胶怎么用牙体预备步骤详解,手把手教你制作硅橡胶导板!_https://www.jmylbn.com_新闻资讯_第33张
牙科材料硅胶怎么用牙体预备步骤详解,手把手教你制作硅橡胶导板!_https://www.jmylbn.com_新闻资讯_第34张
牙科材料硅胶怎么用牙体预备步骤详解,手把手教你制作硅橡胶导板!_https://www.jmylbn.com_新闻资讯_第35张

推荐阅读:

事发广东!患者麻醉后拔牙死亡,能给我们多少警示?

基于颅颌系统平衡的隐形矫正掌控(杭州站)樊成涛

“发现即矫正”12岁前必须处理的20种儿童牙颌畸形

口腔正畸临床常用操作程序

牙齿都烂了一半,为什么不能直接补牙?

种植牙会和真牙一样坚固耐用吗?关于种植牙的十问十答

长期自然咬颊的病因分析与修复治疗

种植义齿的结构、分类种类及适应证和禁忌证

乳牙掉了,恒牙迟迟长不出来怎么办?

苦不堪言,牙齿一纸诉状怒告八宗罪

临床上食物嵌塞问题解决方案,高效、实用

贴面预备的特殊方法

牙科材料硅胶怎么用牙体预备步骤详解,手把手教你制作硅橡胶导板!_https://www.jmylbn.com_新闻资讯_第36张


关注我们

电话:18361831107

邮箱:chixuetang@163.com

官网:chixt.duanshu.com


注:本文来源网络,如有侵权,请联系删除。