曲面断层片怎么看科普知识:你会看牙片嘛?今天手把手教你看!

新闻资讯2026-04-21 15:48:45

牙齿中间出黑线?

食物残渣爱塞缝?

其实这是牙齿

有!问!题!

除了外层的牙釉质外

牙齿其他部分有问题

肉眼都是看不清!

这个时候就需要拍!牙!片!

曲面断层片怎么看科普知识:你会看牙片嘛?今天手把手教你看!_https://www.jmylbn.com_新闻资讯_第1张

然而常常牙片拍了

蛀牙、牙周炎、隔壁牙齿状况、智齿....

怎么看?怎么办?

今天就和大家聊聊牙片那些事儿!


牙片是什么?


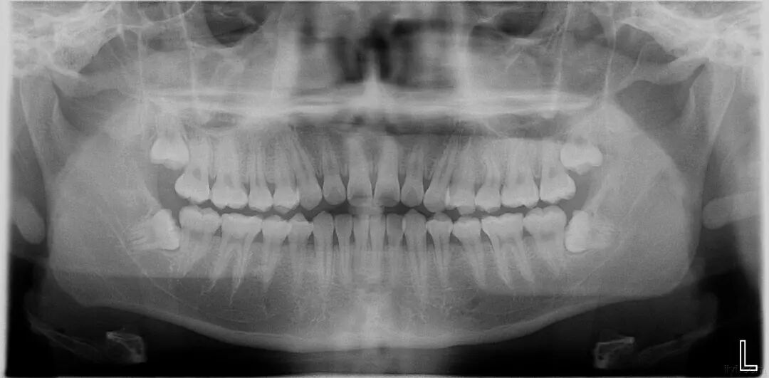
口腔全景片,顾名思义就是可以把全口牙齿都展现出来的一种牙片,这是牙科比较常见的片子,一般就是这样的:


曲面断层片怎么看科普知识:你会看牙片嘛?今天手把手教你看!_https://www.jmylbn.com_新闻资讯_第2张


牙片分为局部牙片和全口的曲面断层片。

局部牙片一般能拍到三颗牙齿,医生要观察单颗牙齿时会用到这种牙片,此时拍摄小牙片会比全景片来得清楚。


曲面断层片怎么看科普知识:你会看牙片嘛?今天手把手教你看!_https://www.jmylbn.com_新闻资讯_第3张

全口的曲面断层片可以拍摄全口的所有牙齿以及关节区。

拍摄这种牙片可看到有无智齿、多生牙、根尖周炎、多少颗蛀牙等。

特别是在做牙齿矫正、种植牙、拔智齿等的时候一般需要拍摄这种牙片。

曲面断层片怎么看科普知识:你会看牙片嘛?今天手把手教你看!_https://www.jmylbn.com_新闻资讯_第4张

牙片是诊断牙髓疾病,根尖周疾病,牙周疾病的重要的诊断依据,是口腔科常用的检查项目。

曲面断层片怎么看科普知识:你会看牙片嘛?今天手把手教你看!_https://www.jmylbn.com_新闻资讯_第5张

牙片它在牙的治疗前、治疗中和治疗后都有助于诊断和治疗。

治疗前有助于发现病变;

治疗中可用插针照相方法,了解扩根情况等;

治疗后观察疗效等。

牙片的作用?


牙齿由牙冠和牙根两部分组成,通过肉眼看到的部分是牙冠部分,牙冠又分为牙釉质、牙本质、牙髓。除了外层的一点牙釉质,而如果牙齿里面出了问题,肉眼是无法观察到的。


曲面断层片怎么看科普知识:你会看牙片嘛?今天手把手教你看!_https://www.jmylbn.com_新闻资讯_第6张

因此,为了对牙齿进行全面的了解,需要拍牙片来观察。



曲面断层片怎么看科普知识:你会看牙片嘛?今天手把手教你看!_https://www.jmylbn.com_新闻资讯_第7张

哪些情况需要拍片



像拔智齿、补牙,做根管治疗(牙痛)、牙周病、种植牙、牙齿矫正等都需要进行拍片。

曲面断层片怎么看科普知识:你会看牙片嘛?今天手把手教你看!_https://www.jmylbn.com_新闻资讯_第8张

Dental

牙科问题知多少?

X线全景片主要观察的是哪方面?


1、牙齿大小形态是否正常,排列需要整齐;

2、上下颌牙齿咬合的关系切面正常,牙齿尖窝相对,而且广泛接触、复合覆盖正常。

曲面断层片怎么看科普知识:你会看牙片嘛?今天手把手教你看!_https://www.jmylbn.com_新闻资讯_第9张

3、每个牙齿邻接关系正常,上下牙弓形态,长度,宽度合适,中线对齐;

4、上,下颌骨的大小、形态及相互位置关系;

5、面部及口周肌肉的发育和功能正常;

6、颞下颌关节结构及功能正常;


怎么看牙片?


牙医不长透视眼当然不能透过现象看到牙齿本质。

因此,为了对牙齿进行全面的了解,拍个牙片很有必要。

举个例子,下图这位大叔已经年过六旬了,大家可以注意到他的牙片。

曲面断层片怎么看科普知识:你会看牙片嘛?今天手把手教你看!_https://www.jmylbn.com_新闻资讯_第10张

在举个例子,下图这位年轻人的智齿已经生长出来了,但是借助牙片,你会发现,智齿只生长了一段,并且由于方向不对,智齿几乎歪了。

这类型的智齿,是需要拔掉的,可以看到它周边的牙齿由于智齿的生长都快被挤坏了!

曲面断层片怎么看科普知识:你会看牙片嘛?今天手把手教你看!_https://www.jmylbn.com_新闻资讯_第11张

口腔全景片怎么看有没有蛀牙?

一般来说,常见的蛀牙通常可以通过牙片发现,尤其是龋坏比较多(如下图),在牙片上会出现黑色阴影的缺损。

因此,正是因为牙片拍摄及时,医生给予了正确的判断,在蛀牙初期便提前治疗,避免了越发严重的后果。

曲面断层片怎么看科普知识:你会看牙片嘛?今天手把手教你看!_https://www.jmylbn.com_新闻资讯_第12张

但是如果是邻面龋以及龋坏程度等通常就需要到医院医生用探针、口镜等进行检查确定。

画圈圈的部分就说明牙齿已经在慢慢的龋齿化,慢慢的蛀坏!

曲面断层片怎么看科普知识:你会看牙片嘛?今天手把手教你看!_https://www.jmylbn.com_新闻资讯_第13张


暗的部位说明龋齿已经非常严重了!

下面这个是接近牙髓了。

曲面断层片怎么看科普知识:你会看牙片嘛?今天手把手教你看!_https://www.jmylbn.com_新闻资讯_第14张

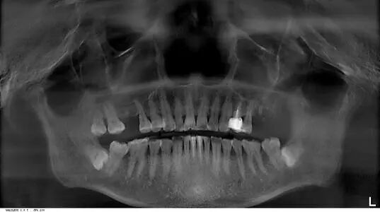
口腔全景片可以看到种植牙嘛?

答:可以的!种植牙等修复体在口腔全景片上展现的通常是白色的,可以很清晰的看出来,比如下图中就有1颗种植牙。

曲面断层片怎么看科普知识:你会看牙片嘛?今天手把手教你看!_https://www.jmylbn.com_新闻资讯_第15张

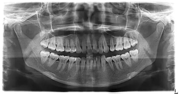
可以看到牙周情况吗?


答:一般是可以的,通常来说,牙齿周围是被牙龈包裹没有很大缝隙的,如果口腔全景片上显示如下面这样的。

牙齿之间缝隙大而且是黑色阴影,牙齿整体比较长,多半是有牙周炎,牙槽骨情况也不好。(如下图)

曲面断层片怎么看科普知识:你会看牙片嘛?今天手把手教你看!_https://www.jmylbn.com_新闻资讯_第16张
曲面断层片怎么看科普知识:你会看牙片嘛?今天手把手教你看!_https://www.jmylbn.com_新闻资讯_第17张

被吸收的牙槽骨


牙片上可以看出牙齿发生龋坏、牙髓炎或根尖周炎等疾病。

曲面断层片怎么看科普知识:你会看牙片嘛?今天手把手教你看!_https://www.jmylbn.com_新闻资讯_第18张

希望大家一定要认识到牙片的重要性,也学会看牙片!拍片没有很大的风险,大家不要担心!