曲面断层片怎么看【健康资讯】看牙为什么要拍片?

新闻资讯2026-04-21 15:48:21

曲面断层片怎么看【健康资讯】看牙为什么要拍片?_https://www.jmylbn.com_新闻资讯_第1张

曲面断层片怎么看【健康资讯】看牙为什么要拍片?_https://www.jmylbn.com_新闻资讯_第2张

      为什么看牙需要拍片?看牙时,你是不是老有这样那样的疑问:只是想拔个牙,为什么还得拍片?嘴巴张那么大,难道医生看不清楚牙齿吗?

      其实,牙齿的内部结构,医生是无法用肉眼观察到的。拍片是牙齿治疗进程中必不可少的重要检查方式,对口腔医生诊断牙病,设计治疗方案,采取治疗措施,判断预后都有重要意义。

曲面断层片怎么看【健康资讯】看牙为什么要拍片?_https://www.jmylbn.com_新闻资讯_第3张

在医学上,口腔拍片即X线检查,是口腔科最为常用的辅助检查手段,可用于龋齿、牙髓病、根尖周病、牙周病、牙外伤、牙齿发育异常等疾病的辅助诊断及治疗方案拟定、效果判定等。

口腔X线片分为很多种,有根尖片、咬合片、口腔曲面体层片、头颅侧位片、锥形束CT等等。下面我们来了解一下最常使用的口腔X线片。

01

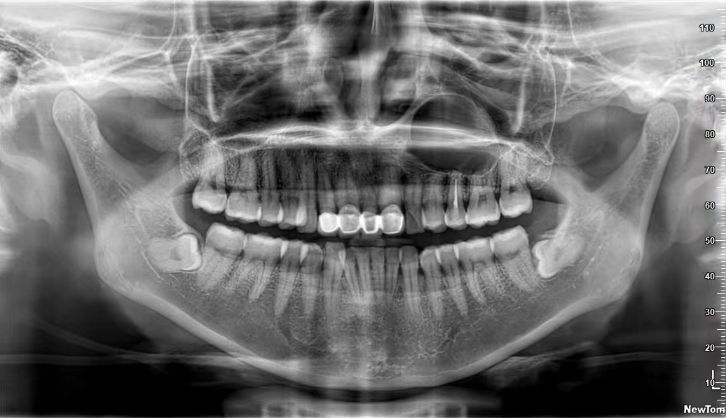
口腔曲面断层篇(全景片)

通过X线球管与胶片匣相对弧形运动,将上下颌骨的结构展示为连续的平面影像。常用于观察恒牙、乳牙龋坏情况;下颌神经管、上颌窦、上下颌骨囊肿,外伤,炎症等情况及其与周围组织的关系。

曲面断层片怎么看【健康资讯】看牙为什么要拍片?_https://www.jmylbn.com_新闻资讯_第4张

恒牙期曲面断层片

曲面断层片怎么看【健康资讯】看牙为什么要拍片?_https://www.jmylbn.com_新闻资讯_第5张

曲面断层片可以看到上颌骨囊肿

曲面断层片怎么看【健康资讯】看牙为什么要拍片?_https://www.jmylbn.com_新闻资讯_第6张

乳牙期曲面断层片,了解乳牙龋坏情况,恒牙的数目和位置,也可看到多生牙。

02

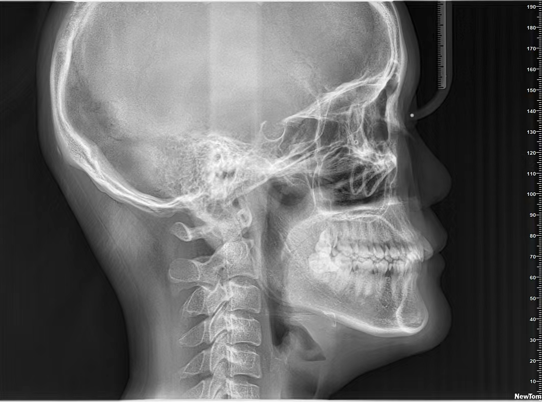
头颅侧位片

头颅侧位片主要用来观察颅骨和上下颌骨的相对位置关系。在口腔正畸方面应用广泛,通过测量特定点组成的角度及长度,为牙齿矫正提供重要的参考指标。头颅侧位片也可观察到颈椎情况,了解小孩处于何种生长发育期。 

曲面断层片怎么看【健康资讯】看牙为什么要拍片?_https://www.jmylbn.com_新闻资讯_第7张

在正畸治疗中,医生可对矫正前后头颅侧位片进行描记,将前后数据对比,来观察矫正效果,也可找出患者的问题,为后续矫正提供参考。

03

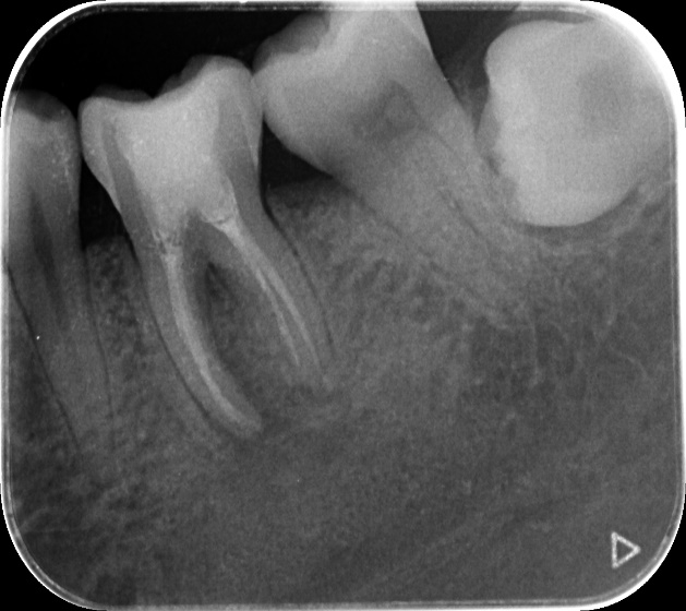
根尖片(小牙片)

根尖片用于检查单个牙齿的牙体、牙周及根尖周病变。根尖片投照技术有两种:分角线技术及平行技术。根管治疗过程中通常拍摄小牙片看牙胶尖放置是否到位,根管治疗后拍摄小牙片可观察牙胶尖是否充填到位。


曲面断层片怎么看【健康资讯】看牙为什么要拍片?_https://www.jmylbn.com_新闻资讯_第8张
曲面断层片怎么看【健康资讯】看牙为什么要拍片?_https://www.jmylbn.com_新闻资讯_第9张


根管充填完成后观察根管充填是否到位

04

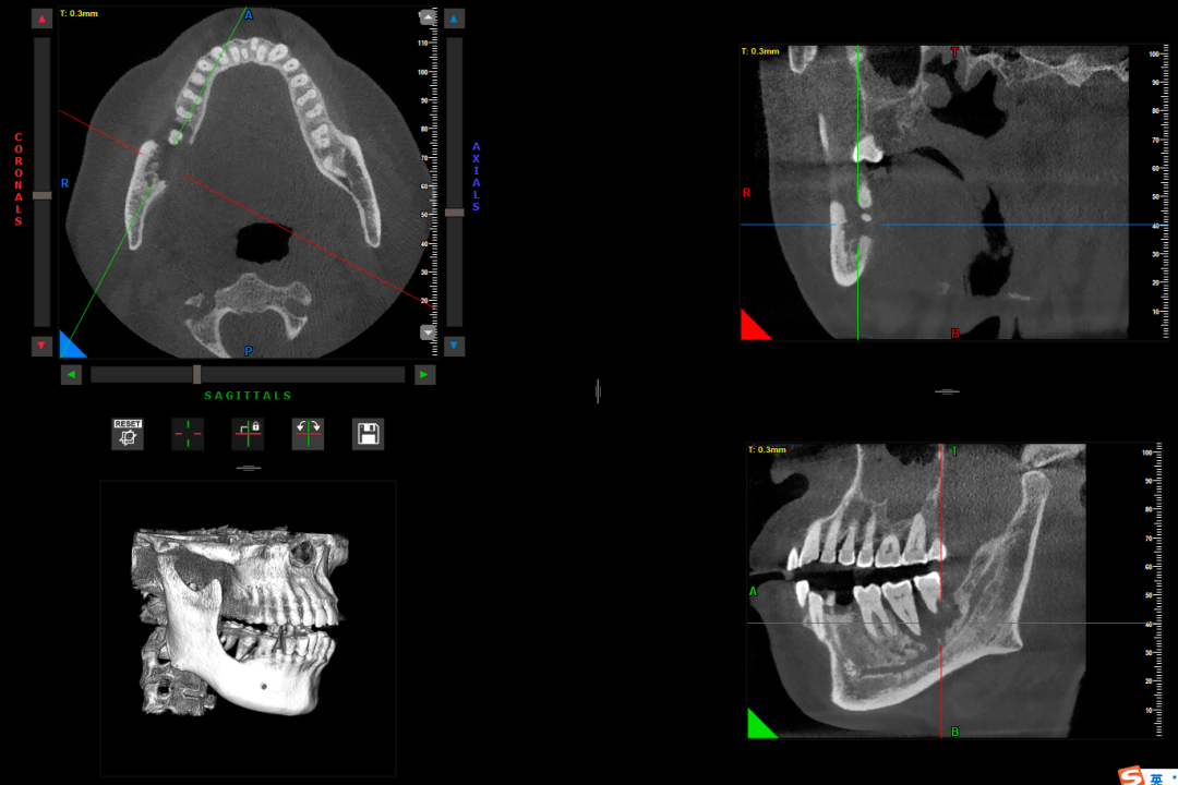
锥形束CT(CBCT)

锥形束CT是指放射线束呈锥形发出,围绕患者头部旋转获得扫描视野内的原始图像,从而进行三维观察及三维重建的数字容积体层摄影。

它可以从三维角度观察到每一颗牙齿、上下颌骨、血管神经、颞下颌关节的情况;可以清晰的观察到牙根折裂情况,囊肿的大小、位置及与牙齿牙根、神经的关系;可以显示多生牙、埋伏牙的位置关系;也能为口腔种植技术提供精准的颌骨测量指标。

曲面断层片怎么看【健康资讯】看牙为什么要拍片?_https://www.jmylbn.com_新闻资讯_第10张

CBCT可以从三维角度了解下颌骨病变

曲面断层片怎么看【健康资讯】看牙为什么要拍片?_https://www.jmylbn.com_新闻资讯_第11张

CBCT可以了解多生牙的位置关系

通过拍摄口腔X线片可以了解到患牙的牙体、牙根、根尖周以及上下颌骨情况。在拔除牙齿、补牙、根管治疗、牙周治疗、种植牙、牙齿矫正等方面都需要进行X线片检查,以制定更精准的治疗方案。

曲面断层片怎么看【健康资讯】看牙为什么要拍片?_https://www.jmylbn.com_新闻资讯_第12张

编   辑丨石丹婷       审   核丨薛   喆

监   制丨刘龙选       总监制丨焦可艳

曲面断层片怎么看【健康资讯】看牙为什么要拍片?_https://www.jmylbn.com_新闻资讯_第13张
河南伊洛律师事务所常战峰律师(13015585840)
温馨提示:
 版权归偃师区融媒体中心所有
 转载请注明出处

曲面断层片怎么看【健康资讯】看牙为什么要拍片?_https://www.jmylbn.com_新闻资讯_第14张

曲面断层片怎么看【健康资讯】看牙为什么要拍片?_https://www.jmylbn.com_新闻资讯_第15张

点它,浏览发布便民信息