数字牙片机怎么用【推广】数字化技术让口腔种植更精准

新闻资讯2026-04-21 14:56:46

数字化技术让口腔种植更精准

●  口腔种植修复目前已成为牙列缺损、缺失的首选修复方法。在临床上遇到上、下门牙因各种原因无法保留而需要拔除的情况,患者的言语功能和口腔美观将受到很大影响。

●  现在拔牙后即刻种植和即刻修复给这部分患者带来了很好的解决方案,但这类种植手术对种植体的三维位置精度要求很高。

数字牙片机怎么用【推广】数字化技术让口腔种植更精准_https://www.jmylbn.com_新闻资讯_第1张

●  目前我院口腔科运用数字化技术,可以让上述问题迎刃而解。

Digital Technology

案例分享

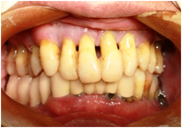
患者葛先生是位大学教师,上颌四颗门牙长期的牙周病一直困扰着他,门牙越来越长,还有松动,反复发炎,他想拔又不敢拔,因为没有门牙将直接影响他工作。

数字牙片机怎么用【推广】数字化技术让口腔种植更精准_https://www.jmylbn.com_新闻资讯_第2张

我院口腔科医生经过仔细检查,为葛老师量身定制了美学区即刻种植同期修复的手术方案。

通过术前CBCT、口扫等检查,再通过数字化模拟拔牙、种植和义齿修复等过程,利用3D打印技术在术前制作完成了手术导板和临时义齿。

数字牙片机怎么用【推广】数字化技术让口腔种植更精准_https://www.jmylbn.com_新闻资讯_第3张

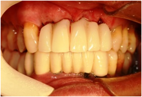
← 治疗前 

 ↓  治疗后

数字牙片机怎么用【推广】数字化技术让口腔种植更精准_https://www.jmylbn.com_新闻资讯_第4张

手术当天,医师为患者一并完成了拔牙、导板引导下的种植和临时义齿修复。由于数字化技术的运用,使种植体的三维位置更加精准,避开了神经血管等重要解剖结构,最终避免患者因缺牙而给工作和生活带来的影响。

数字牙片机怎么用【推广】数字化技术让口腔种植更精准_https://www.jmylbn.com_新闻资讯_第5张

● 数字化和CAD-CAM技术可以精准确定牙种植体在颌骨组织内最优化的三维位置,提高了种植义齿的成功率,保证长期的修复效果,更好地维护患者口腔健康。

口腔科

科室介绍

数字牙片机怎么用【推广】数字化技术让口腔种植更精准_https://www.jmylbn.com_新闻资讯_第6张


口腔科历史悠久,目前拥有高端牙科综合治疗椅11台,配备有口腔CBCT机、数字化牙片机、进口口腔种植机等专科设备。拥有瑞典Nobel、瑞士straumann和韩国osstem等牙科种植系统,能满足不同患者的种植牙修复需求。

现有主任医师1名,副主任医师2名,中级职称医师5名,初级职称医师3名,医师中硕士研究生占70%以上。

目前口腔科开展口腔医学相关的各种临床诊疗项目,包括各类牙的拔除;牙体缺损的各种修复;牙列缺损的可摘局部义齿修复、固定义齿修复和种植义齿修复;前牙美学修复;齿槽外科手术;牙列不齐的正畸治疗。同时根据所开展的项目组建了种植、正畸和修复等专科团队,为患者提供优质、便捷、安心的口腔医疗保健服务。

近几年科室在学科建设、人才培养、科研教学等方面快速发展,医疗服务水平显著提高。完成市级科研课题1项、区级科研课题3项,在核心期刊上发表论文10余篇,并完成了对巴楚县人民医院口腔科进修医师的带教工作。



科室诊疗特色

1、各类牙列缺损、缺失的种植治疗

2、各类儿童、青少年、成年牙列不齐的正畸治疗

3、各类牙体缺损的微创美学修复



新开展诊疗项目

1、全口重度牙周病患者拔牙后数字化即刻种植、即刻修复

2、前牙微创美学贴面

3、瓷嵌体和全瓷冠修复



专家介绍

数字牙片机怎么用【推广】数字化技术让口腔种植更精准_https://www.jmylbn.com_新闻资讯_第7张

李韶伟

口腔科主任

副主任医师

擅长:牙列缺损、缺失的口腔种植修复治疗。

专家门诊时间:周二全天

特需门诊时间:周四下午

数字牙片机怎么用【推广】数字化技术让口腔种植更精准_https://www.jmylbn.com_新闻资讯_第8张

王国世

主任医师

擅长:各类牙列缺损、缺失的修复以及前牙的美容修复。

专家门诊时间:周一下午,周三上午

数字牙片机怎么用【推广】数字化技术让口腔种植更精准_https://www.jmylbn.com_新闻资讯_第9张

魏明贵

口腔科副主任

副主任医师

擅长:各类牙列缺损、缺失的口腔种植治疗、各类牙列不齐的正畸治疗。

专家门诊时间:周一上午,周三上午

特需门诊时间:周五上午

供稿:口腔科  冯莉

编辑:庞学丰、严逸騄

校对:李韶伟

审核:顾而立


数字牙片机怎么用【推广】数字化技术让口腔种植更精准_https://www.jmylbn.com_新闻资讯_第10张