手术拉链怎么拆前沿突破 | 中山医院内镜团队再闯禁区,巧用小肠镜切除巨大息肉,解除“拉链腹”患者肠套叠之苦

新闻资讯2026-04-21 14:00:59

以下文章来源于复旦大学附属中山医院,作者复旦大学附属中山医院

手术拉链怎么拆前沿突破 | 中山医院内镜团队再闯禁区,巧用小肠镜切除巨大息肉,解除“拉链腹”患者肠套叠之苦_https://www.jmylbn.com_新闻资讯_第1张


中山医院内镜团队再闯禁区

巧用小肠镜切除巨大息肉

解除“拉链腹”患者肠套叠之苦

54岁的周女士已被多发性肠道息肉折磨了30多年。从20岁起,她先后接受了4次外科开腹手术切除因为息肉造成套叠的肠段,导致腹部形成了拉链样的瘢痕,俗称“拉链腹”。“拉链腹”虽不美观,但无大碍,最要命的是患者由于多次手术造成的肠粘连,为她的下一次手术带来了巨大风险。就在不久前,周女士再次发病,因巨大息肉造成肠套叠引发肠梗阻从而肚子疼痛、无法进食和消化,在当地只能保守治疗或者再开一刀。抱着最后一丝希望,周女士从黑龙江慕名来到复旦大学附属中山医院内镜中心就诊。

手术拉链怎么拆前沿突破 | 中山医院内镜团队再闯禁区,巧用小肠镜切除巨大息肉,解除“拉链腹”患者肠套叠之苦_https://www.jmylbn.com_新闻资讯_第2张

图为患者“拉链腹”


经诊断,周女士患的是黑斑-息肉综合症,这是一种以胃肠道多发性息肉、皮肤黏膜色素沉着、患癌倾向为特征的常染色体显性遗传病。息肉生长若超过3cm,可以引起反复发作的肠梗阻和肠套叠,甚至癌变,患者需多次接受外科手术治疗。但是反复开腹手术不仅会对患者造成较大创伤,而且易引起术后肠粘连、短肠综合征等严重并发症,也给患者造成巨大心理压力。

手术拉链怎么拆前沿突破 | 中山医院内镜团队再闯禁区,巧用小肠镜切除巨大息肉,解除“拉链腹”患者肠套叠之苦_https://www.jmylbn.com_新闻资讯_第3张

画圈处为患者手部色素沉着


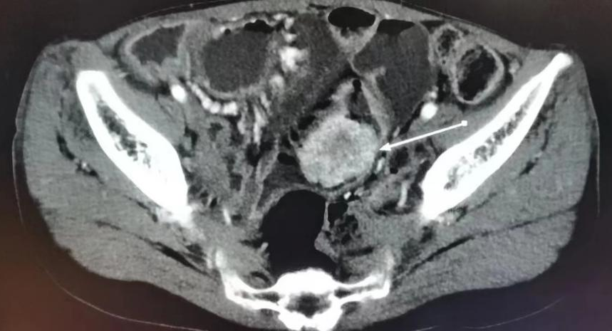
而根据周女士情况,CT影像显示小肠末端有巨大占位,息肉直径约8*5cm,由于多次手术已经造成肠粘连,同时伴随肠套叠症状,常规切除方法都不能安全有效地解决问题。根据中国小肠镜诊治Peutz⁃Jeghers综合征的专家共识意见(2022年),对于直径>5 cm的小肠巨大息肉,尤其伴有小肠套叠时,内镜下治疗发生出血及穿孔等严重并发症的风险相应增高,需在充分权衡利弊后慎重选择治疗方式。内镜中心主任周平红教授带领团队一起讨论周女士的治疗方案,虽然手术难度极高,目前国内外相关手术经验较少,但在多年积累的丰富经验和内镜下切除先进技术的支持下,内镜团队在做足了充分准备的前提下,决定再闯禁区,为周女士行小肠镜下巨大息肉切除术。

手术拉链怎么拆前沿突破 | 中山医院内镜团队再闯禁区,巧用小肠镜切除巨大息肉,解除“拉链腹”患者肠套叠之苦_https://www.jmylbn.com_新闻资讯_第4张


10月20日,下午3点手术开始。由于息肉的体积巨大,一路把半米长的小肠拽到了结肠里,像一个被层层包裹的鹅蛋,嵌顿其中,进退两难。分块切除缩小瘤体是唯一的选择,却不料在切除了1/3瘤体之后仍然无法观察到息肉的全貌。手术团队轮番上阵、精细操作,随着瘤体慢慢变小,病灶终于解除套叠一路回缩。由于多次手术造成的肠粘连,小肠镜每跟进一步都需要助手翻身、压肚子。经历了整整6个多小时的“拉锯战”,手术终于取得成功!


据内镜中心马丽黎副主任医师介绍,小肠是普通胃镜和结肠镜难以到达的区域,曾被认为是消化道检查的“盲区”。对于医生来说,通常做一例胃镜需要5~15分钟,而小肠镜则需要2~4个小时甚至更多。另外小肠壁非常薄并且血供丰富,内镜下的治疗对医生的体力和技术都是一个考验。术后病理提示癌变前期。这场“战役”虽然打得艰难,但不仅为病人解决了燃眉之急,更是避免了癌变后患。此次手术的成功也标志着中山内镜的微创切除又一次突破新领域,达到新高度。

手术拉链怎么拆前沿突破 | 中山医院内镜团队再闯禁区,巧用小肠镜切除巨大息肉,解除“拉链腹”患者肠套叠之苦_https://www.jmylbn.com_新闻资讯_第5张


近年开展双气囊小肠镜诊疗工作以来,中山医院内镜中心已完成小肠镜下各类微创手术百余例,其中小肠镜下切除翻转憩室是中山内镜的又一创新术式,代表着内镜微创真正扫除了内镜下切除的盲区。2022年,中山医院内镜中心风风雨雨走过了整整30年;在几代主任的带领下,中山内镜坚持在练好内功、扎实底子的同时,将开拓视为责任,让创新成为快乐。结合技术与群众的实际需求,不断探索进取,“只要是内镜能触及的范围,就是内镜治疗的阵地。”周平红教授团队将内镜手术的禁区之门,一扇扇打开。在运用内镜技术治疗各类消化道疑难杂症方面不断取得突破,从内镜黏膜下剥离术到全层切除技术、内镜黏膜下隧道技术,直至内镜经消化道腔外手术,手术的难度不断刷新着世界高度;引领了内镜下阑尾切除、内镜下保胆取石等超级微创手术,让新方法和新理念真正造福于患者。“超级微创”将为患者带来更好的经济效益、更好的术后生活质量、更长的术后生存期。

手术拉链怎么拆前沿突破 | 中山医院内镜团队再闯禁区,巧用小肠镜切除巨大息肉,解除“拉链腹”患者肠套叠之苦_https://www.jmylbn.com_新闻资讯_第6张


本内容旨在学术交流,仅限医学专业人士观

内容仅代表专家个人的医疗临床和学术观点

不(得)用于对任何医疗服务或医疗产品的推广或推荐




手术拉链怎么拆前沿突破 | 中山医院内镜团队再闯禁区,巧用小肠镜切除巨大息肉,解除“拉链腹”患者肠套叠之苦_https://www.jmylbn.com_新闻资讯_第7张
手术拉链怎么拆前沿突破 | 中山医院内镜团队再闯禁区,巧用小肠镜切除巨大息肉,解除“拉链腹”患者肠套叠之苦_https://www.jmylbn.com_新闻资讯_第8张
手术拉链怎么拆前沿突破 | 中山医院内镜团队再闯禁区,巧用小肠镜切除巨大息肉,解除“拉链腹”患者肠套叠之苦_https://www.jmylbn.com_新闻资讯_第9张