30多年经历4次开腹手术,“拉链腹”反而造成肠粘连,为患者留下巨大风险。近日,上海医生用小肠镜为一名多发性肠道息肉患者切除巨大息肉,避免癌变风险。
10月26日,澎湃新闻(www.thepaper.cn)记者从复旦大学附属中山医院获悉,54岁的周女士被多发性肠道息肉折磨了30多年。从20岁起,她先后接受了4次外科开腹手术切除因为息肉造成套叠的肠段,导致腹部形成了拉链样的瘢痕,俗称“拉链腹”。“拉链腹”虽不美观,但无大碍,最要命的是患者由于多次手术造成的肠粘连,为她的下一次手术带来了巨大风险。

患者的“拉链腹”。本文图片均由 中山医院 供图不久前,周女士再次发病,因巨大息肉造成肠套叠引发肠梗阻从而肚子疼痛、无法进食和消化,在当地只能保守治疗或者再开一刀。抱着最后一丝希望,周女士从黑龙江来到复旦大学附属中山医院内镜中心就诊。
经诊断,周女士患的是黑斑-息肉综合症,这是一种以胃肠道多发性息肉、皮肤黏膜色素沉着、患癌倾向为特征的常染色体显性遗传病。息肉生长若超过3cm,可以引起反复发作的肠梗阻和肠套叠,甚至癌变,患者需多次接受外科手术治疗。但是反复开腹手术不仅会对患者造成较大创伤,而且易引起术后肠粘连、短肠综合征等严重并发症,也给患者造成巨大心理压力。
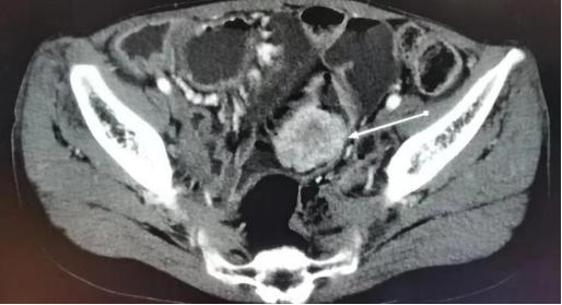
根据周女士情况,医生分析,CT影像显示小肠末端有巨大占位,息肉直径约8*5cm,由于多次手术已经造成肠粘连,同时伴随肠套叠症状,常规切除方法都不能安全有效地解决问题。

患者检查影像。中山医院内镜中心主任周平红教授带领团队讨论周女士的治疗方案,虽然手术难度极高,目前国内外相关手术经验较少,但在多年积累的丰富经验和内镜下切除先进技术的支持下,内镜团队在做足了充分准备的前提下,决定再闯禁区,为周女士行小肠镜下巨大息肉切除术。
10月20日下午3点,手术开始。由于息肉的体积巨大,一路把半米长的小肠拽到了结肠里,像一个被层层包裹的鹅蛋,嵌顿其中,进退两难。分块切除缩小瘤体是唯一的选择,却不料在切除了1/3瘤体之后仍然无法观察到息肉的全貌。
手术团队轮番上阵、精细操作,随着瘤体慢慢变小,病灶终于解除套叠一路回缩。由于多次手术造成的肠粘连,小肠镜每更进一步都需要助手翻身、压肚子。经历了整整6个多小时的“拉锯战”,手术终于取得成功。
治疗团队表示,患者术后病理提示癌变前期。这场手术虽然艰难,但不仅为病人解决了燃眉之急,更避免了癌变后患。