手术拉钩怎么拉手术视频丨植入性囊袋拉钩固定晶状体囊袋的技术要点

新闻资讯2026-04-21 14:00:26
手术拉钩怎么拉手术视频丨植入性囊袋拉钩固定晶状体囊袋的技术要点_https://www.jmylbn.com_新闻资讯_第1张
手术拉钩怎么拉手术视频丨植入性囊袋拉钩固定晶状体囊袋的技术要点_https://www.jmylbn.com_新闻资讯_第2张

植入性囊袋拉钩固定晶状体囊袋的技术要点

DOI: 10.12419/j.issn.1000-4432.2023.02.09

金海鹰1,赵培泉2,娄炜1

(1.同济大学附属上海东方医院,上海 200120;2.上海交通大学医学院附属新华医院,上海 200092)


手术拉钩怎么拉手术视频丨植入性囊袋拉钩固定晶状体囊袋的技术要点_https://www.jmylbn.com_新闻资讯_第3张

手术视频

摘 要

    晶状体脱位是临床上常见的疾病,也是晶状体手术中的难点。笔者从既往研究中得到启发,在充分论证了可行性与安全性后原创性地提出了植入性囊袋拉钩技术。经过临床应用与随访,发现该技术的临床效果较为理想,可以最大可能地保留完整的晶状体囊袋,实现人工晶状体的囊内植入,同时笔者也对其设计与操作方法进行了改良。该文就植入性囊袋拉钩的设计、原理、可行性、适应症以及操作细节等进行详细介绍。





研究背景


    植入性囊袋拉钩是笔者原创技术,临床观察显示其具有较好的安全与有效性,笔者在实践过程中也对其设计与操作方法进行了不断改良,目前尚有一些改良与设计正在进行。该文就植入性囊袋拉钩的设计、原理、可行性以及操作细节进行介绍,供临床同道参考。


1

植入性囊袋拉钩的发明

手术拉钩怎么拉手术视频丨植入性囊袋拉钩固定晶状体囊袋的技术要点_https://www.jmylbn.com_新闻资讯_第4张

    晶状体半脱位是眼科医生经常遇到的临床问题,2006年日本Nishimura等[1]发明了临时T型囊袋稳定装置(T-shaped capsular stabilization device),该装置由5-0尼龙线制作,总长度为10mm,拉钩头端长1.25mm,尼龙缝线直径为150μm(原文15μm有误),尾端分叉形成T型的足板用于支撑赤道部的囊袋,拉钩柄装有硅胶袖套,该装置用于晶状体半脱位手术过程中稳定囊袋。2011年同一团队的Yaguchi等[2]报道了T型植入性囊袋拉钩,用5-0聚丙烯缝线制作,拉钩的设计与前面相同,足板总长度为3.75mm,另外一端带有一弯针,该装置由HANDAYA Co.,Ltd生产。操作时通过弯针穿过巩膜壁将拉钩引入前房,用拉钩足板固定囊袋。拉钩柄用10-0尼龙缝线固定一针,然后用眼外电凝将拉钩眼外部分热塑型为膨大末端,将其用板层巩膜瓣遮盖。Yaguchi等用该技术处理了4例晶状体半脱位病例。笔者从该技术获得启发,综合既往文献发现一些商品化的软性虹膜拉钩由聚丙烯缝线或尼龙缝线制作而成。笔者在工作中发现应用热成型技术可以将不同型号聚丙烯缝线制作成拉钩[3]。结合聚丙烯缝线使用说明的适用范围“适用于一般组织缝合和/或结扎,包括心血管、眼科、神经外科”,将该技术用于晶状体囊袋的固定。在充分论证该技术的可行性与安全性后发明了该项技术,现将该项技术分析如下。


    1.1 材料角度

    聚丙烯是较为安全的植入性材料,早期被作为三片式人工晶状体襻材料,在心脏外科、骨科、眼科等外科手术中被作为缝线广泛使用,虽然在体内有降解现象,但是降解的发生较尼龙材料缓慢[4]


    1.2 伦理角度

    国内有两个品牌的聚丙烯缝线:强生普理灵TM(Prolene)与柯惠TM(Covidien)。两个品牌的聚丙烯缝线的适用范围均明确标明适用于眼科手术。


    1.3 技术角度

    聚丙烯是一种塑料,塑料的热成型在眼科被证明是安全有效的,2011年Yaguchi等[5]应用热成型对T型拉钩的柄进行塑形,形成膨大末端,后来Yamane应用热成型在三片式人工晶状体襻上制作膨大末端(flange)进行层间固定。从材料学上分析,对塑料的热成型不改变其理化性质。早期的人工晶状体襻曾采用聚丙烯材料制作,而三片式人工晶状体的层间固定自2007年由德国的Gabor使用至今[6]。充分证明了层间固定的安全与有效性,笔者采用的囊袋拉钩(5-0、6-0与7-0)的直径范围分别为100~149μm,70~99μm,50~69μm,其中5-0与6-0拉钩与人工晶状体襻横断面直径接近,其在巩膜内固定的长度较人工晶状体襻的巩膜层间固定长,其产生的固定力量足够维持囊袋的长期稳定。


    1.4 物理和力学特点

    扫描电镜发现聚丙烯缝线制作的拉钩上存在纵向纹理,是缝线在生产过程所形成,热成型的反折处较为光滑(图1)。5-0拉钩可以承受7g拉力,足够牵拉固定囊袋[7]

手术拉钩怎么拉手术视频丨植入性囊袋拉钩固定晶状体囊袋的技术要点_https://www.jmylbn.com_新闻资讯_第5张

图 1 扫描电子显微镜下显示聚丙烯缝线经过热成型制作称为囊袋拉钩的细节

Figure 1 Scanning electron micrograph of the implantable capsular hook made of polypropylene thread by thermoplasticity


2

植入性囊袋拉钩的原理

手术拉钩怎么拉手术视频丨植入性囊袋拉钩固定晶状体囊袋的技术要点_https://www.jmylbn.com_新闻资讯_第6张

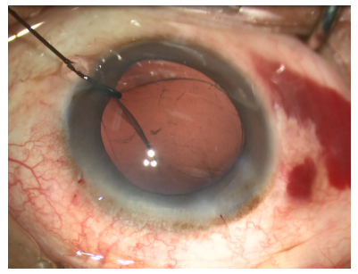
    基本原理为:通过常规的囊袋张力环维持囊袋形状,然后通过植入性囊袋拉钩固定囊袋,拉钩着力点在前囊开口,通过前囊开口的纤维化进一步加强了固定效果。笔者曾对白内障手术后前囊纤维化过程存在错误认知,认为晶状体上皮细胞纤维化发生在囊袋内。实际上白内障手术后晶状体上皮细胞增殖、移行并化生,部分细胞可“越狱”至囊膜开口的前表面,这是从姜春晖教授团队[8]的研究中得到的启发。一些植入囊袋拉钩病例术后眼前节照片可以观察到这一现象,纤维化组织可以包裹囊袋拉钩与前囊开口固定处(图2)。这一现象尚需要动物标本的组织学进一步证实。前囊开口的纤维化对于植入性囊袋拉钩的稳定性非常重要,纤维化同时使前囊开口轻度缩小,进一步加强了拉钩的固定效果。笔者认为白内障手术后囊袋内残留的晶状体上皮细胞的轻度增殖与纤维化对于维持囊袋的强度和悬韧带的稳定性具有积极的作用,囊袋与前囊的轻度纤维化对于囊袋拉钩远期稳定性非常重要,前囊开口的轻度收缩从理论上增加了拉钩的作用力。对于人工晶状体-囊袋复合体脱位的病例由于在拉钩植入前已经发生了囊膜纤维化,不存在这种加强作用。

手术拉钩怎么拉手术视频丨植入性囊袋拉钩固定晶状体囊袋的技术要点_https://www.jmylbn.com_新闻资讯_第7张

图 2 箭头处可见囊膜开口处纤维化越过拉钩在前囊开口的固定位点

Figure 2 The arrow shows the capsular hook fixated at the anterior capsule by capsular fibrosis


3

植入性囊袋拉钩的手术适应证

手术拉钩怎么拉手术视频丨植入性囊袋拉钩固定晶状体囊袋的技术要点_https://www.jmylbn.com_新闻资讯_第4张

    3.1 晶状体悬韧带异常范围

    国外文献认为,对于晶状体悬韧带异常小于90°者,可以通过植入常规囊袋张力环重建稳定性,这是一个非常重要的理念,大于90°的悬韧带异常建议采用其他辅助固定措施。笔者应用植入性囊袋拉钩复位一些大范围悬韧带断裂病例,甚至全脱位的病例。对于初学者最好选择悬韧带断裂、脱位范围较小的晶状体或人工晶状体-囊袋复合体病例,最佳适应证是晶状体半脱位病例。


    3.2 人工晶状体-囊袋复合体脱位的病例选择

对于人工晶状体-囊袋复合体脱位的病例应慎重选择,笔者的病例中有使用拉钩固定再次脱位的病例。分析原因主要与前囊膜纤维化的状态,纤维化的前囊边缘可以为囊袋拉钩提供足够的张力与支撑。对于前囊开口边缘未纤维化的病例不建议采用囊袋拉钩固定。笔者在临床上遇到数例前囊撕囊口边缘未纤维化再次脱位的病例,其囊袋也几乎未见纤维化,后查阅文献符合“死亡囊袋”(the dead bag syndrome)的特点[9]。对于这类病例拉钩植入术后存在撕囊口撕裂的可能。


    3.3 在儿童患者中的应用

    对于儿童患者应谨慎选择,理论上只要保留了完整囊袋即可采用该技术进行囊袋固定与复位,但是由于儿童眼解剖结构与成人存在差别,其眼科显微手术难度显著高于成人,不可以将儿童内眼手术作为缩小版成人看待。儿童晶状体直径较小,术后囊膜纤维化明显、后囊浑浊发生率高,且对于新技术在儿童应用可能存在伦理学争议,应抱有谨慎态度。对于初学者不建议使用。晶状体脱位与半脱位手术可能涉及到眼前后节手术技巧,囊袋拉钩植入手术具有一定的操作难度,建议充分评估术者本身的显微操作技巧,充分考虑术中与术后可能发生的并发症与患者条件,在准备好植入失败的备选方案后选择。


    3.4 其他特殊病例

    其他特殊病例不建议初学者使用[10]


4

植入性囊袋拉钩的手术操作与注意事项

手术拉钩怎么拉手术视频丨植入性囊袋拉钩固定晶状体囊袋的技术要点_https://www.jmylbn.com_新闻资讯_第4张

    4.1 聚丙烯缝线选择

    笔者早期采用5-0聚丙缝线制作拉钩,后发现6-0与7-0聚丙烯拉钩牵拉囊袋的角度更为理想。建议采用6-0聚丙烯缝线制作拉钩,其更加柔软且所带针较细,可操作性较好。


    4.2 植入性囊袋拉钩的制作

    选择一段聚丙烯缝线,用左手的拇指和食指反折,在显微镜下用一次性眼外电凝笔打开开关,自远逐渐接近缝线的反折处,可以看到反折处在热量作用下变形,颜色稍加深,最佳状态为反折处稍有熔化,形成180°反折,停止电凝即可,笔者在与一些医生交流时发现关键问题是热成型不足,导致后期拉钩植入后变形松脱,因此建议热成型的过程中稍微过量,在反折处形成轻度热熔化定型。用角膜剪将拉钩修剪后保留约1~2mm头端,头端不需要热成型呈水滴形(图3-1,图3-2)。应用持针器调整拉钩附带弯针的弧度至合适状态。


    4.3 手术麻醉

    成人采用球后麻醉,注射麻药后充分间歇性按压眼球,降低眶压与后房压以避免手术过程中晶状体隔前移和玻璃体脱出。


    4.4 角膜切口

    制作透明角膜切口或角巩膜切口,对于没有把握完成超声乳化晶状体吸出的病例,需要改为囊外摘除手术,可以考虑制作巩膜隧道切口,巩膜隧道不宜过长,否则器械进出主切口不方便且易发生角膜皱褶,而内切口不宜靠后,以避免术中虹膜脱出。在无法继续超声乳化吸出晶状体核时可以考虑扩大巩膜隧道切口,用术者最熟悉的方式取出晶状体核。


    4.5 撕囊

    对于失去部分或大部分悬韧带牵张的囊膜,撕囊难度增加,必要时可以通过双手操作完成。最好为居中连续环形撕囊,建议撕囊口直径5.0~5.5mm,撕囊口应避免接近晶状体赤道,否则植入囊袋张力环后可能弹出囊袋。如有囊口放射状撕裂也不适合植入囊袋张力环,需要更改为其他术式。


手术拉钩怎么拉手术视频丨植入性囊袋拉钩固定晶状体囊袋的技术要点_https://www.jmylbn.com_新闻资讯_第10张

图 3-1 采用一次性眼外电凝器对 6-0 聚丙烯缝线进行热塑型制作植入性囊袋拉钩

Figure 3-1 A disposable cautery device is used to shape the 6-0 polypropylene suture into the capsular hook by thermoplasticity

手术拉钩怎么拉手术视频丨植入性囊袋拉钩固定晶状体囊袋的技术要点_https://www.jmylbn.com_新闻资讯_第11张

图 3-2 拉钩转折处稍熔化形成 180°反折

Figure 3-2 The turn of the capsular hook is melted to form a 180-degree reverse bend


    4.6 水分离、核处理与皮质清除

    手术成功的关键是保留完整的晶状体囊袋。对于晶状体悬韧带异常范围较大的病例,考虑使用临时囊袋拉钩辅助完成(图3-3,3-4)。术中发现囊袋塌陷或活动度增加应暂停超声乳化吸出,补充粘弹剂或植入常规囊袋张力环(图3-5)。对玻璃体脱入前房的病例建议应用稀释的曲安奈德进行玻璃体染色进行充分清除后再进行前房内操作。
    在清除晶状体皮质后,前房内注入粘弹剂,取出临时固定的囊袋拉钩,在预固定位置的虹膜与囊袋之间进一步补充粘弹剂,形成空间进行下一步操作。


手术拉钩怎么拉手术视频丨植入性囊袋拉钩固定晶状体囊袋的技术要点_https://www.jmylbn.com_新闻资讯_第12张

图 3-3 术中采用临时囊袋拉钩固定晶状体

Figure 3-3 Intraoperative fixation of the lens with a temporary capsular hook

手术拉钩怎么拉手术视频丨植入性囊袋拉钩固定晶状体囊袋的技术要点_https://www.jmylbn.com_新闻资讯_第13张

图 3-4 晶状体核与晶状体皮质清除后可见脱位的晶状体囊袋

Figure 3-4 The dislocated capsule is visible after removing the lens nucleus and cortex

手术拉钩怎么拉手术视频丨植入性囊袋拉钩固定晶状体囊袋的技术要点_https://www.jmylbn.com_新闻资讯_第14张

图 3-5 植入囊袋张力环

Figure 3-5 Implant the capsular tension ring


    4.7 拉钩数量与固定位点的设计

    原则上配合常规囊袋张力环,一个拉钩以修复约180°悬韧带异常,拉钩在前囊开口的固定位点可以设计在悬韧带断裂范围的中心处。
    拉钩引入前房的过程可以采用从内向外或从外向内的穿刺眼球壁的技术,初学者建议采用从外向内穿刺联合接针(docking)的技术[11]。采用从外向内穿刺技术时选用1mL注射器所带的空针头(约为27G)自角膜缘后固定位点穿刺进入后房,另一手以持针器持弯针在对侧进入前房,双针对接后将弯针自固定位点导出眼外,27G空心针内口刚好可以与植入性拉钩的弯针头形成良好对接(图3-6)。自外向内穿刺的位点应在角膜缘后2mm(根据眼轴长度进行适当调整),避开3点与9点位的睫状后长动脉。穿刺时27G空针刃与角膜缘垂直,穿刺过程应避免眼内压力过低和穿刺点靠近角膜缘,可能引起睫状体脱离与眼内出血。在弯针穿过前房过程中应注意其行径,避免损伤眼内组织。
    在弯针穿出眼外后以持针器持弯针以平行角膜缘方向自穿刺口进行巩膜层间穿行,深度在1/2~2/3巩膜厚度为佳,长度大于4mm(图3-7)。初学者可以小范围剪开穿刺口的结膜暴露巩膜以方便操作。弯针在巩膜层间穿出后用持针器继续牵引弯针将聚丙烯缝线引入巩膜层间。采用双手配合的技术,以玻璃体视网膜镊夹住拉钩送入前房,另一手以持针器缓慢牵拉眼外端以调整眼内端拉钩的长度与拉力,在拉钩到达前囊开口后调整拉钩角度并将其固定在前囊开口后松开夹持的镊子,过早松开拉钩可导致拉钩弹入睫状沟(图3-8)。植入拉钩后其头端不必苛求处于正下方,只要拉钩固定在前囊开口上不发生前囊膜扭转缠绕即可。避免先将拉钩植入囊袋再做层间穿行的错误步骤,后者可因拉钩扭转缠绕囊膜导致操作失败。笔者早期采用5-0拉钩,由于其硬度较大,牵拉的角度不够理想,后改为6-0或7-0拉钩基本解决该问题,植入后拉钩呈接近垂直于前囊开口切线方向牵拉固定。


手术拉钩怎么拉手术视频丨植入性囊袋拉钩固定晶状体囊袋的技术要点_https://www.jmylbn.com_新闻资讯_第15张

图 3-6 采用接针 (Docking) 技术将 6-0 聚丙烯拉钩带的弯针由内向外引出眼球

Figure 3-6 The curved needle of the 6-0 polypropylene capsular hook is guided out of the eye using the Docking technique

手术拉钩怎么拉手术视频丨植入性囊袋拉钩固定晶状体囊袋的技术要点_https://www.jmylbn.com_新闻资讯_第16张

图 3-7 应用聚丙烯囊袋拉钩所带的弯针进行巩膜层间穿行,巩膜层间深度为 1/2 到 2/3 巩膜厚度

Figure 3-7 The intrascleral passage is accomplished utilizing a curved needle carried by the polypropylene capsular hook, with the intrascleral depth ranging from 1/2 to 2/3 of the scleral thickness.

手术拉钩怎么拉手术视频丨植入性囊袋拉钩固定晶状体囊袋的技术要点_https://www.jmylbn.com_新闻资讯_第17张

3-8 采用双手配合技术用眼内镊将拉钩递送到前囊开口的固定位置

Figure 3-8 Using the bimanual technique, the capsular hook is delivered to the fixated location at the anterior capsule opening with intraocular forceps

    4.8 拉钩固定位置与数量的设计

    理论上常规囊袋张力环配合一个拉钩可修复180°悬韧带损伤,但是由于拉钩固定位置在前囊开口处,大范围悬韧带离断可能需要多个拉钩固定,建议初学者选择小于180度悬韧带离断病例,采用单个拉钩可以成功完成手术。在积累经验后选择复杂病例。
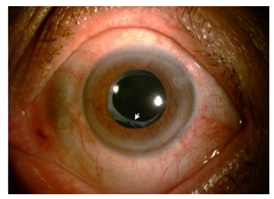
    在复位固定晶状体囊袋后将人工晶状体植入囊袋。采用囊袋拉钩植入后前囊开口呈水滴形,术后随前囊纤维化逐渐接近圆形(图3-9)。
    根据人工晶状体位置可以轻度调整拉钩的拉力,然后紧贴巩膜表面剪除拉钩带针端,轻轻按压巩膜表面将拉钩柄部末端埋入巩膜隧道内。
    水密切口前应再次检查前房内是否存在玻璃体残留,避免前房内玻璃体嵌顿。

手术拉钩怎么拉手术视频丨植入性囊袋拉钩固定晶状体囊袋的技术要点_https://www.jmylbn.com_新闻资讯_第18张

图 3-9 植入人工晶状体后见人工晶状体 - 囊袋隔稳定,人工晶状体位置良好

手术视频链接:http://journal.gzzoc.com/Ykxb/Stage/ArticleShow.aspx?AID=1135

Figure 3-9 Following IOL implantation, the IOL -capsular bag complex was stable, with the IOL appropriately positioned

The link for surgical video is : http://journal.gzzoc.com/Ykxb/Stage/ArticleShow.aspx?AID=1135


5

植入性囊袋拉钩的效果

手术拉钩怎么拉手术视频丨植入性囊袋拉钩固定晶状体囊袋的技术要点_https://www.jmylbn.com_新闻资讯_第4张

    笔者对部分晶状体脱位病例进行了随访研究,采用Kolmogorov-Smirnov检验判断数据是否符合正态分布,若符合正太分布,则采用配对t检验比较术前和术后指标的差异,若不符合,则采用Wilcoxon检验。统计分析采用Prism8.0(Graphpad Software)。将有统计学意义定义为P<0.05。
    共19眼,平均随访(9.21±6.49)月,最长随访时间22个月。结果表明该技术可以较好地复位晶状体囊袋,实现人工晶状体的囊袋内植入且人工晶状体位置较好。术前未矫正视力(LogMAR)由术前1.30(1.00,2.00)提高到0.40(0.30,0.82)(P<0.001)。最佳矫正视力(LogMAR)由术前0.70(0.40,2.00)提高至术后0.15(0.00,0.40)(P<0.001)。术后人工晶状体位置参数,垂直倾斜2.00±1.16°(0.39~3.95)°;垂直偏心(0.23±0.17)mm(0.02~0.60)mm;水平倾斜(1.52±1.27)°(0.12~4.52)°;水平偏心(0.26±0.15)mm(0.03~0.53)mm,术后未见眼内明显炎症反应与巩膜层间固定部分的暴露。  


6

入性囊袋拉钩的并发症与可能发生问题

手术拉钩怎么拉手术视频丨植入性囊袋拉钩固定晶状体囊袋的技术要点_https://www.jmylbn.com_新闻资讯_第4张

    包括:
     1) 晶状体清除过程中保留囊袋失败,或前囊开口撕裂,需要更改为备选方案。
     2) 穿刺巩膜过程中睫状体离断,一般由于穿刺点靠近角膜缘和术中眼内压低引起。
     3) 穿刺巩膜过程中眼内出血,可通过短暂提升眼内压处理。
     4) 植入过程中拉钩弹至睫状沟,可通过前述操作要点避免,发生时可通过顶压眼球壁在睫状沟处找到拉钩,或者从眼外端牵拉出拉钩后重新植入。
     5) 拉钩扭转缠绕囊膜,可通过前述的手术技巧避免。
     6) 拉钩在巩膜层间固定的位置过浅或过深,浅层固定术后有暴露风险,深层固定可损伤睫状体。
     7) 缝线末端暴露:多由未紧贴巩膜表面剪除缝线末端引起,可用角膜剪将暴露末端剪除。
     8) 术后拉钩脱落,主要原因是早期的5-0拉钩牵拉角度不理想和制作拉钩时热成型不足,通过改为6-0拉钩与充分热成型可避免。
     9) 术后炎症反应,笔者的病例中均为正常的术后反应,尚未见因拉钩生物相容性引起的持续性眼内炎症。
     10) 囊袋皱缩、后发性白内障,张力环植入可在一定程度上预防囊袋皱缩,笔者的病例中尚未见囊袋皱缩与引起临床症状的后囊混浊,理论上囊袋拉钩植入不影响后发性白内障的YAG激光治疗。对于可能发生的因囊袋皱缩引起的人工晶状体偏位可能需要手术干预。
     11) 玻璃体与视网膜并发症:经过严格的随访,笔者的病例中尚未见视网膜脱离与黄斑水肿等并发症。预防的关键是术前、术后详细眼底检查与对脱入前房玻璃体的合理处理。
     12) 对人工晶状体屈光力计算准确性的影响,理论上囊袋拉钩的植入对囊袋轴向位置的影响较小,尚未见发生显著的屈光意外。这些病例人工晶状体屈光力计算的准确性尚有待积累病例进行深入分析评价。


7

结语

手术拉钩怎么拉手术视频丨植入性囊袋拉钩固定晶状体囊袋的技术要点_https://www.jmylbn.com_新闻资讯_第6张

    总结:植入性囊袋拉钩在充分的伦理与技术论证后发明并应用,经过初步随访观察临床效果较为理想,特别是国内无法使用改良囊袋张力环后该技术最大可能地保留完整晶状体囊袋,实现人工晶状体囊袋内植入。笔者通过交流获悉国内有已部分医生采用该技术进行囊袋固定,为此总结一些医生在手术操作过程中遇到的问题,分享经验。也特别强调对于任何新技术均应抱有谨慎甚至怀疑的态度,其远期安全性与有效性尚需要大样本与长期随访进行证明。受到笔者认知与本文篇幅所限,可能有部分观点欠妥或有细节未能详实阐述,还请读者批评指正。


引用本文:金海鹰,赵培泉,娄炜.植入性囊袋拉钩固定晶状体囊袋的技术要点(视频)[J].眼科学报,2023,38(2):132-139.DOI: 10.12419/j.issn. 1000-4432.2023.02.09

Cite this article as:JIN Haiying ,ZHAO Peiquan ,Lou Wei .Key points of implantable capsular hooks[J].Eye Science,2023,38(2):132-139.DOI: 10.12419/j.issn.1000-4432.2023.02.09


《眼科学报》创刊于1985年,月刊,由教育部主管、中山大学主办、中山大学中山眼科中心承办的一本国家级医学期刊(刊号:ISSN:1000-4432;CN:44-1119/R)。中山大学中山眼科中心前院长葛坚,中山大学中山眼科中心主任、医院院长刘奕志担任主编,中山大学中山眼科中心副主任林浩添担任执行主编。主要报道国内外眼科领域新进展,新动态,着重报道眼科学基础研究,临床经验,以及流行病等相关的理论知识与技术操作,以广大从事眼科相关领域的科研、教学与临床工作者为主要读者对象。

目前已被Chemical Abstract(CA)、中国期刊全文数据库(知网)、中国核心期刊(遴选)数据库(万方)、中文科技期刊数据库(维普)、超星域出版平台等国内外重要数据库收录。


投稿网站:https://journal.gzzoc.com

邮箱:ykxb@gzzoc.com

编辑部电话:020-87333099

本刊实行双盲审稿,对录用文章免费发表,不收取作者任何费用

往期推荐

01

《眼科学报》2022年1月 第37卷第1期 目录及摘要

► 点击阅读

02

《眼科学报》2022年2月 第37卷第2期 目录及摘要

► 点击阅读

03

● 医学交叉人才培养专刊 |《眼科学报》2022年3月 第37卷第3期 目录及摘要

► 点击阅读

04

《眼科学报》2022年4月 第37卷第4期 目录及摘要

► 点击阅读

05

眼科学报》2022年5月 第37卷第5期 目录及摘要

► 点击阅读

06

教学教育专刊 |《眼科学报》2022年6月 第37卷第6期 目录及摘要

► 点击阅读

07

《眼科学报》2022年7月 第37卷第7期 目录及摘要

► 点击阅读

08

《眼科学报》2022年8月 第37卷第8期 目录及摘要

► 点击阅读

09

麻醉与手术专刊 |《眼科学报》2022年9月 第37卷第9期 目录及摘要

► 点击阅读

10

小儿眼病专题 |《眼科学报》2022年10月 第37卷第10期 目录及摘要

► 点击阅读

11

眼鼻相关专刊 |《眼科学报》2022年11月 第37卷第11期 目录及摘要

► 点击阅读

12

《眼科学报》2022年12月 第37卷第12期 目录及摘要

► 点击阅读

手术拉钩怎么拉手术视频丨植入性囊袋拉钩固定晶状体囊袋的技术要点_https://www.jmylbn.com_新闻资讯_第22张
手术拉钩怎么拉手术视频丨植入性囊袋拉钩固定晶状体囊袋的技术要点_https://www.jmylbn.com_新闻资讯_第23张