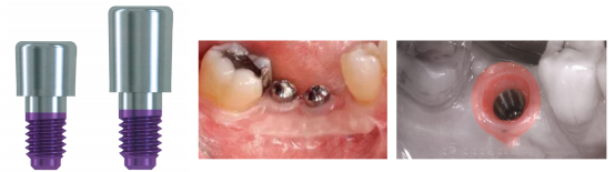
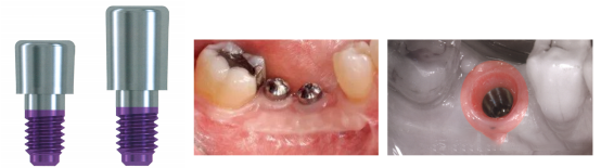
1、基台,也称之为愈合帽、愈合螺丝,在非潜入式种植,或潜入式种植二期手术暴露种植体后旋入种植体,形成种植体的穿黏膜过渡带,在戴入修复体之前引导种植体周围软组织愈合。愈合帽上方穿出黏膜进入口腔内,防止食物残渣和异物碎片等进入基台连接区,有利于软组织愈合和形成种植体颈部周围软组织封闭。因此愈合帽也被称为穿黏膜延伸或穿黏膜基台。根据种植体平台直径不同,愈合帽的直径也有差别。愈合帽有引导上皮组织生长、形成沟内上皮的作用,有的种植体系统也将其称为牙龈成形器。

2,分类
①根据种植体的平台不同愈合基台的形状也有差别,根据其形状可分为锥状愈合基台、柱状愈合基台和复合型愈合基台;

②根据其材质可分为钛金属愈合基台和Peek-聚醚醚酮愈合基台;
A:钛金属合金愈合基台具有固定的规格,厂家制作,属于成品的,不便调磨;
B:Peek愈合基台:颜色与牙齿更接近,减少取下时疼痛感,可以调磨做软组织塑性;

③根据愈合基台的加工方式:分为成品愈合基台与个性化愈合基台;
A:成品愈合基台是有厂家制作具有一定形状的大多数是金属的,具有方便快捷、可反复使用等特点;但是不便于调磨,且不是完全模拟天然牙颈部轮廓,有时会压迫唇侧牙龈而致退缩;
B:方便调磨,可进行个性化的软组织塑形,基本模拟天然牙颈部轮廓,且可以根据软组织形态进行调磨和增加;且可以诱导软组织形成良好的形态;

B使用防水胶带(特氟龙)缠绕于基台种植线下的颈部龈下区域,保护该区域,以免在后期粗化损伤;
C使用金刚砂车针对终止线上冠方临时基台粗糙面打磨几道沟槽,涂布粘结剂,然后光固化;
D环绕位于游离龈缘水平的临时修复基台注射光固化直接复合树脂修复材料,然后光固化;
E从患者口中取出可调改临时基台,然后重新上成品愈合基台之种植体平台上。评估复合树脂,为附在临时基台上的龈上环形结构;
F在临时基台上的基台终止线于环形复合树脂间添加额外的光固化树脂;
G调整解剖式颈部轮廓,并在口内试戴,验证于拔除牙根相类似的颈部轮廓,并抛光复合树脂;
H确保临时基台可以充分支撑龈乳头和轮廓线下的颈部外形,以减少颊侧游离龈的压力及游离龈退缩的风险;
J固定临时基台的颈部轮廓,截除可调改钛制基台的多余冠部分;
K确保个性化解剖式愈合基台安装在种植体上,并使用特氟龙填塞螺丝孔,使用光固化复合树脂封闭;

①上宽下窄,软组织在愈合基台的不同高度成形,所形成的牙龈袖口直径也不同。
②最大直径应尽可能与天然牙颈部直径相接近;与天然牙之间应有1.5mm的距离,相邻两颗愈合基台之间应有3mm的安全距离;

①圆柱形愈合基台 端部直径一致,呈柱状,且不同型号愈合基台穿龈高度一致,因此可根据穿龈深度选择合适高度的愈合基台。
②应用圆柱形愈合基台的种植系统中,二期手术时应充分去除妨碍愈合基台就位的骨组织阻力,以免造成愈合基台未完全就位的情况,影响最终修复体的戴入。

②愈合基台的端部用于牙龈袖口的成形,可选择端部高度合适的愈合基台,进一步成形牙龈。

①愈合基台的直径决定穿龈袖口的直径,同时也决定着修复基台穿龈的直径。愈合基台直径太小,则穿龈袖口较小,修复基台穿龈的直径相对减小,如果牙冠较大,则可能形成悬突,容易引起黑三角及承受咬合力时而发生折断;而如果穿龈较大,则可能致外冠瓷层变薄,致强度不够,而断裂;所以选择合适的愈合直径也至关重要。

②合适的愈合基台的直径应近似于天然牙颈部的直径,而在美学区或咬合力较小的区域,则可小于天然牙颈部直径。
③在美学区应尽量使用个性化愈合基台(个人观点),或使用直径小一些的成品愈合基台。前牙美学天然颈部的轮廓类似于三角形而成品愈合基台称圆形,因此直径过大有压迫唇侧软组织风险,而造成牙龈退缩的可能;

④大多数成品愈合基台上都有标注直径和高度,如下图某品牌种植系统的愈合基台,直径是5mm,高度(H)是5mm。
(2)高度的选择
①应根据愈合基台的形状和使用的方式来选择合适高度的愈合基台;
②锥状的愈合基台诱导牙龈外型的位置是顶端及直径最大处,所以愈合基台选择时应选择最高端平齐牙龈或高于牙龈1mm;
③而柱状的愈合基台与复合型的愈合基台,牙龈成型的位置是在较低的位置,所以选择时柱状愈合基台最低平面平行牙龈即可;