怎么选洁牙器械假牙又不会蛀牙,洗个牙怎么那么贵

新闻资讯2026-04-21 13:07:37

怎么选洁牙器械假牙又不会蛀牙,洗个牙怎么那么贵_https://www.jmylbn.com_新闻资讯_第1张


看到这个标题,大家反应是哪个:

「种植牙能洗吗?会不会洗松动了啊😨」

「还需要洗吗,好像种牙前已经洗过了😑」

「早洗过了,就跟平常洗牙一样,没啥差别,医生都没看出来我有假牙,得意😏」

怎么选洁牙器械假牙又不会蛀牙,洗个牙怎么那么贵_https://www.jmylbn.com_新闻资讯_第2张



一、先 说 该 不 该 洗

嘴里没种植牙需要定期洗牙大家知道,安了其实也是一样的。

种植牙也会长牙结石和牙菌斑,刷牙和洗牙也是不能省略的步骤。

怎么选洁牙器械假牙又不会蛀牙,洗个牙怎么那么贵_https://www.jmylbn.com_新闻资讯_第3张


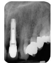
种植牙本身是不会「蛀的,但种植体周围容易引发炎症,炎症可能会让种植牙松动。

怎么选洁牙器械假牙又不会蛀牙,洗个牙怎么那么贵_https://www.jmylbn.com_新闻资讯_第4张
怎么选洁牙器械假牙又不会蛀牙,洗个牙怎么那么贵_https://www.jmylbn.com_新闻资讯_第5张


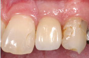
而且也要用牙线,虽然种的牙不会龋坏但它旁边的牙是可能龋坏的,像这样↓

怎么选洁牙器械假牙又不会蛀牙,洗个牙怎么那么贵_https://www.jmylbn.com_新闻资讯_第6张
怎么选洁牙器械假牙又不会蛀牙,洗个牙怎么那么贵_https://www.jmylbn.com_新闻资讯_第7张



二、再 说 咋 洗 合 适

我们洗牙一般比较常用的是工作尖是不锈钢材质。

怎么选洁牙器械假牙又不会蛀牙,洗个牙怎么那么贵_https://www.jmylbn.com_新闻资讯_第8张


它看着尖,其实是圆钝的↑能看出来吗?天然牙那个硬度,用不锈钢正确操作是没问题的。


但平常种植牙根大多是纯钛的,颈部的基台一般为纯钛或者是钛合金。

怎么选洁牙器械假牙又不会蛀牙,洗个牙怎么那么贵_https://www.jmylbn.com_新闻资讯_第9张


钛的优势与传统的牙科金属材料相比,相容性更好。除了种植牙,钛制的人工骨、人工关节等广泛应用于临床。

怎么选洁牙器械假牙又不会蛀牙,洗个牙怎么那么贵_https://www.jmylbn.com_新闻资讯_第10张


纯钛能够和人体骨质密切结合,这样安装以后会比较牢。

导热率低,吃了过冷或过烫的食物时不会不适。

稳定性好,没啥金属味道。

不容易发生腐蚀这点也很适合我们的口腔环境,不耐腐蚀的材料每天在嘴里待着会降低修复体的强度,不仅影响美观,还影响进食。


但是硬度相对于不锈钢材质的洁牙器械而言是比较软的。


怎么选洁牙器械假牙又不会蛀牙,洗个牙怎么那么贵_https://www.jmylbn.com_新闻资讯_第11张


这一软(相对的),洗起来就得格外注意了。


虽然这个洗牙的工作尖是比较圆钝但是如果用比种植体要硬的工作尖去洗牙,倒不是说"咔"就给洗裂了,但可能造成种植体颈部表面损伤,说通俗点就是把表面给洗粗糙了。


一粗糙起来,可就为细菌提供黏附与寄生的位置。

我们洗牙的抛光过程是医生用专门的器械和抛光膏,磨光牙面。

抛光膏可以使牙面光滑,除去残留的色素颗粒,减少菌斑、软垢和色素再附着的机会。


不光滑的部分我们还想办法抛光让它光滑,如果因为用了比种植体更硬的工作尖洗牙后让牙不那么光滑,产生菌斑堆积,容易导致种植体周围发炎

怎么选洁牙器械假牙又不会蛀牙,洗个牙怎么那么贵_https://www.jmylbn.com_新闻资讯_第12张


除了粗糙,种植体表面划伤还影响它的生物相容性,「不耐腐蚀了」缩短种植体的寿命。


我们如果去洗牙时记得提前告诉医生哪颗牙是种植牙,同时选择碳纤维工作尖洗牙(或其他硬度低于种植体的材料),减少对种植牙的损伤,气压喷磨砂功率设置等也要有意识调整到适合种植牙使用。

怎么选洁牙器械假牙又不会蛀牙,洗个牙怎么那么贵_https://www.jmylbn.com_新闻资讯_第13张

怎么选洁牙器械假牙又不会蛀牙,洗个牙怎么那么贵_https://www.jmylbn.com_新闻资讯_第14张


有时候医生也无法第一时间肉眼判断出来,而且现在假牙有的又做得那么逼真,可别忘了说~


种植牙除了前期找到专业医生来种,日常的维护和保养也是至关重要,这样才可以尽可能地延长第三副牙齿的使用寿命。

怎么选洁牙器械假牙又不会蛀牙,洗个牙怎么那么贵_https://www.jmylbn.com_新闻资讯_第15张


📚相关阅读:有多少牙裂纹是洗牙洗出来的



南先森致力于牙齿保健、正颌整形知识的普及与传播,也不定期分享杂七杂八,希望大家牙齿健康、颜值在线、忠于内心、疏于表演。如果凑巧你也是个有趣的人,那就关注我吧


⭐ 如何将南先森【设为星标】进入南先森公众号主页,再点击右上角设为星标即可,这样就不必在信息流里大海捞针了,第一时间查看南先森是否更新。部分图片视频源自网络,版权归原作者所有

怎么选洁牙器械假牙又不会蛀牙,洗个牙怎么那么贵_https://www.jmylbn.com_新闻资讯_第16张