怎么拔鼻腔引流管胃管术(二)

新闻资讯2026-04-21 11:56:03

怎么拔鼻腔引流管胃管术(二)_https://www.jmylbn.com_新闻资讯_第1张

怎么拔鼻腔引流管胃管术(二)_https://www.jmylbn.com_新闻资讯_第2张

怎么拔鼻腔引流管胃管术(二)_https://www.jmylbn.com_新闻资讯_第3张

怎么拔鼻腔引流管胃管术(二)_https://www.jmylbn.com_新闻资讯_第4张

怎么拔鼻腔引流管胃管术(二)_https://www.jmylbn.com_新闻资讯_第5张


An 89-year-old woman was treated in our intensive care unit with Escherichia coli urosepsis. The patient developed multiple organ failure and became intubated and mechanically ventilated. On the third intensive care day, a new 16Fr. type “Levin” nasogastric tube was inserted for enteral feeding. As no anatomical abnormalities were described, we followed a blind insertion technique, encountering no resistance while advancing the tube towards the stomach, and final position was confirmed by auscultation of a gurgling noise over the epigastrium. Enteral nutrition was started, according to ICU feeding protocol. However, 48 h later, acute hemodynamic instability was observed and invasive mechanical ventilation became difficult. A bed-side ultrasonography showed a pleural effusion on the right side, and a puncture for pleural-catheter placement revealed nutrition in the pleural space. 3D-reconstructed images of a chest computed tomography (Fig. 1a, arrow) demonstrated the endpoint of the nasogastric tube into the right pleura, confirming the perforation of the right lower lobe bronchus and massive lung parenchyma damage (Fig. 1b), despite the patient having an endotracheal tube in situ and giving no signal of cuff insufficiency. We suggest that radiological control remains the standard procedure to confirm the correct position of a nasogastric tube, even by invasive ventilated patients.

一名89岁女性患者因大肠杆菌泌尿系感染导致sepsis在ICU接受治疗。患者出现多器官功能衰竭,接受气管插管和机械通气。入住ICU的第三天,置入16 F的Levin型鼻胃管进行肠内营养。由于未发现任何解剖学异常,我们采用盲法置入,将鼻胃管送入胃内时未遇到任何阻力,置管结束后在上腹部听诊到气过水声确认导管位置。根据ICU喂养方案开始肠内营养。然而,48小时后,患者出现血流动力学不稳定,有创机械通气难以维持。床旁超声检查显示右侧胸腔积液,置入胸腔引流管发现胸腔积液为营养液。胸部CT检查三维重建(图1a,箭头)显示鼻胃管末端位于右侧胸腔内,确诊右下叶支气管穿孔及大面积肺实质损害(图1b)(尽管患者有气管插管且没有套囊漏气的表现)。我们建议,即使对于接受有创机械通气的患者,影像学检查仍然是确认鼻胃管位置正确与否的标准措施。

怎么拔鼻腔引流管胃管术(二)_https://www.jmylbn.com_新闻资讯_第6张

怎么拔鼻腔引流管胃管术(二)_https://www.jmylbn.com_新闻资讯_第7张


胃肠外科手术患者不可避免地要使用腹腔引流管、胃管、尿管(“三管”)的一种或几种,适当运用和合理护理很关键,其中有什么原则、注意要点及技巧呢?

实际上,目前随着加速康复外科(enhance recovery after surgery,ERAS)概念的提出,胃肠外科“三管”问题的决策产生了很大争议。

ERAS的核心是通过一系列的围手术期处理措施,减少或降低手术患者的生理及心理的创伤应激,达到快速康复,具有减少并发症、保护器官及免疫功能、缩短住院日、减少治疗费用的优点。

ERAS为了减少或降低手术患者的创伤应激,主张尽早拔除“三管”以利于早期恢复饮食和早期活动等。下面逐一对胃肠外科“三管”进行介绍。

一、胃管

胃肠减压是利用负压吸引的原理通过胃管吸出胃肠道积聚的气体和液体,有利于改善局部病变和全身情况,还可减轻腹内压,改善因膈肌抬高而导致的呼吸和循环障碍等。

但在ERAS理念的影响下,胃管已经不常规放置了。胃管的拔除不仅减少了患者咽部不适感和咽喉炎等并发症的发生,增强了患者的舒适度,且有利于患者早期下床活动,促进肠功能的恢复。

1.以行胃切除术的患者为例,只有在以下情况下才需要放置胃管:

(1)患者存在胃肠道梗阻;

(2)术者感觉胃肠吻合口不够可靠,术后产生吻合口瘘并发症的可能性较高。

2.行胃切除术的患者,其拔除胃管时机如下:

传统观点认为肠道手术患者术后48~72h经肛门排气,若无腹胀、恶心、呕吐等不良反应,即可拔除胃管。

现在多主张弱化胃肠道功能恢复的指标,对于吻合口瘘风险不是很高的患者在术后1天内拔出胃管。如若术者在术中对吻合口不满意,则可放置3天以上。

二、腹腔引流管

腹腔引流管广泛应用于腹部手术,其目的可分为治疗性和预防性。

①治疗性引流主要是对胃切除术患者的腹腔渗血引流。

②预防性引流主要是出于监测的目的,可以早期发现术后并发症如活动性出血、肠漏、腹腔感染等,以利于早期采取措施。

当然,为了让引流管起到应有的作用,不管是出于治疗性目的还是预防性目的,临床医务人员对引流管的护理都要求注意:

△严密观察并准确记录引流液的色、质、量;

△注意引流液的逐日变化趋势。

1.对应腹腔引流管的治疗性和预防性目的,胃切除术患者在以下情况需要放置腹腔引流管:

(1)治疗性:手术创面大、渗血多;

(2)预防性:术者认为胃肠吻合口不可靠,术后产生吻合口瘘的风险稍高。

2.胃切除术患者拔除腹腔引流管指证:

(1)由于手术创面大、渗血多而放置的腹腔引流管:

①如若术后无腹腔出血、感染征象,多在3天内拔管;

②如若发生腹腔内出血或腹腔感染,则根据引流液量是否量、性质的变化、腹部B超感染指标等因素而决策。

(2)为预防吻合口瘘而放置的腹腔引流管:

①如术后患者无腹腔出血、感染征象,一般术后5~7天即可拔除腹腔引流管;

②如过确诊吻合口瘘,需手术探查及进行相应处理。

三、导尿管

行盆腔手术、手术时间长、全麻的手术病人有放置导尿管的指证,因此行胃切除术前常规给予留置尿管。

但需要尽快拔除,留置导尿管会加重患者的不舒适感,影响其术后的早期活动,不利于患者术后快速康复,而且增加泌尿系统感染的机会。

胃切除术患者拔除导尿管时机为:

1.无合并泌尿系统相关病变的胃切除术的患者:

术后24h内,膀胱充盈状态下即给予拔除尿管;

2.合并泌尿系统相关的胃切除术患者:

合并骶神经神经损伤或前列腺肥大者,术后3~5天才予拔除导尿管。

怎么拔鼻腔引流管胃管术(二)_https://www.jmylbn.com_新闻资讯_第8张


导  语

在临床一线,护理人员常常会遇有气管插管接呼吸机,且需要插胃管进行鼻饲护理的患者,插管操作时会不会受呼吸管路压迫的影响,使得插管困难?这种情况如何克服?操作过程中又有什么经验可供大家借鉴的呢?我们来看D医院的临床案例讨论:
案例
护士莉莉:我在呼吸科RICU工作,科里经常有气管插管或气管切开,接呼吸机的患者需要插胃管。上周,我为一个使用呼吸机的病人下胃管,第一次操作,胃管盘到嘴里了,第二次竟然盘在鼻孔里,最后是通过放气囊才成功插上,说出来都觉得不可思议。至于《基础护理学》上提到的,为给昏迷病人提高插胃管成功率,为其插到15cm左右使病人头靠近胸骨柄的方法,我也试过了,可能是自己做得不够好吧,还是没有成功。

有没有什么更好的办法,提高带机患者下胃管成功率?
分析
病人气管插管或气管切开接呼吸机,因气管插管、气切管路和呼吸机管路影响,由于上呼吸机的患者气管插管后,使得食道变窄,插管时管道变窄,插管阻力真的很大,插胃管根本无法做到?

使用的胃管太粗太硬?

患者体重较重,护士单手操作力量有限?

局部解剖异常,如气管、胃管集中的部位,局部解剖受压移位,使胃管难以置入?
对策
针对这个问题,D医院护理部专门组织各科室护士会,在会上专门就此进行了专题讨论,有经验的护士谈了自己的切身插管体会:

采用带导丝支撑且具备较硬的胃管头端的新型胃管
气管插管或套管的气囊位置一般在声门下3cm左右,为气管弯曲的下方,属于气管直行部分,故其对气管粘膜的压力分布是均匀的,因此理想的气囊充气量是不会压迫气管下的食管。但充气过度,或充入气体越多,导致没有软骨支撑的气管后壁软组织向后突起越明显,对食管的压迫程度越严重,可能在食管起始狭窄部下方形成一个人为的狭窄,从而给置入胃管带来困难。

虽然从理论上讲,插管外径小于气管内径,不会压迫气管内壁,但由于气管导管有一定硬度,其管形会随人体的解剖特点自然弯曲为弧形,当插入气管后导管会在气管弯曲处对气管后壁产生推压作用,使没有软骨支撑的后壁软组织向后方突起,间接压迫食管壁,而此处恰是食管起始狭窄部,故食管开放受到限制。置入胃管时会因食管起始处管腔相对缩小,阻力增大,使胃管盘曲在咽喉部。

传统观念认为,气管插管患者是因为气囊充气时会有不同程度压迫食管,而导致置胃管困难,故主张置胃管前气囊放气。但后来研究发现气囊充气不是主要的置胃管失败的因素,并且放气后,弊大于利。

所以目前大家为了克服气管导管对食管壁起始处的柔性压迫,采用了有导丝支撑且具备较硬的胃管头端的新型胃管。普通胃管比较硬,我们可选择进口胃管, 这种胃管,内置导丝,管壁软,使用了带导丝的胃管,在插的时候是硬的,容易插入进去,进去后把导丝拔出,就可以了。

● 双人配合法完成插管
之前,遇到许多上呼吸机的患者,需要下胃管,其中有一例在下胃管过程中出现氧分压下降,患者呼吸停止,后经全力抢救,终于转危为安。后来,我们就注意在插胃管前先进行口腔吸痰,然后接呼吸机,待血氧到达100%后脱开呼吸机,更换吸痰管,将吸痰管放进气切管内,边吸痰边让另一个人放气囊,这样就防止了放气囊时附在气囊上的痰液直接坠到气管中,有效避免呼吸道感染。然后接呼吸机插胃管,操作很顺畅,插完胃管后再充气囊。

● 烦躁病人插前应用镇静剂

很多用呼吸机的患者都是气管插管的患者,而且其中,烦躁的病人又很多,插胃管又是件痛苦的事情,所以针对烦躁的病人,可以跟医生建议,插管前使用咪唑安定,病人在安静的情况下,插胃管就是件容易的事情了。

● 先吸痰再插管

其实有气管插管的患者,插胃管是不容易误气管的,这句话是以前护士长都讲过的。所以,每次插这类患者的胃管时,我们先将病人的痰液吸除,再插。刚开始,没经验,没吸痰就去插,插到一半病人就呛咳了,又要拔出来重新插过。

● 通过气囊适量放气再插管

插胃管的同时要保证患者的氧分压,就要求操作者一边插管一边观察SPO2的情况。放气囊后导致气囊封闭气道的作用丧失,而致患者吸入潮气量变小,还可以使设置的呼气末正压下降,而造成复张的肺陷闭,最终发生血氧指数下降。建议大家通过气囊少量放气来尝试,根据情况适当放气囊,如果需要放气囊,就请另一护士帮忙,两个人一起操作,可以相互帮助的。这样就会既提高下胃管的成功率,又保证患者的氧分压。

● 病情允许,可取去枕仰卧位
带管病人留置胃管时,如病情允许,可取去枕仰卧位。科里没有带导丝胃管的,可保留进口胃管导丝,送供应室灭菌备用。遇有普通胃管时,可在导丝外涂润滑油并内置于普通胃管中,按操作置入胃管。此方法留置普通胃管也变得容易,而且,导丝容易拔出。

● 借鉴昏迷病人插管法
如果不是因为气囊过度充气,造成的气道压迫食道,那么,就不必对待所有上呼吸机需要下胃管的患者,统统通过放气囊来解决。研究发现气囊充气不是主要的置胃管失败的因素,并且放气后的弊大于利,因为放气后会使气囊上端积聚的分泌物滑落入气道,引起肺部感染。如果气囊过度充气可以适度放气,以减轻下胃管时的阻力,但绝对不可以完全放气。

窍门:插管前先将患者呼吸道痰液吸尽,将呼吸机氧浓度调至纯氧,提升病人氧饱和度。插管时结合昏迷病人插管方法,插入胃管约15cm-20cm后,将病人的头部尽量贴近胸骨,然后快速插入。

● 插管困难者,请麻醉科喉镜下协助插管
插管前,注意检查患者口腔,因为可能有气管插管病人,假牙套脱落在口腔里,阻止胃管顺利置入的情况出现。多次盘在口中或误入气管就不要继续插了,可造成口腔里有大量凝血块(估计是气管插管时损伤局部粘膜所致)影响胃管置入;插管困难者,可请麻醉师会诊,在喉镜协助下放置胃管,插入鼻孔后,使胃管沿鼻腔和口腔的后部置入。

怎么拔鼻腔引流管胃管术(二)_https://www.jmylbn.com_新闻资讯_第9张

 


留置胃管——指将导管经鼻腔插入胃内,从管内注入流质食物、营养液、水分和药物及进行胃肠减压的方法。有胃肠减压、保证营养、减少误吸的作用。



PART 1


适 应 征


  • 昏迷或不能经口进食者

  • 不能张口者

  • 早产儿和病情危重者

  • 拒绝进食者



关 于 留 置 胃 管




(1)固 定

怎么拔鼻腔引流管胃管术(二)_https://www.jmylbn.com_新闻资讯_第10张
怎么拔鼻腔引流管胃管术(二)_https://www.jmylbn.com_新闻资讯_第11张


(2)留置时间


怎么拔鼻腔引流管胃管术(二)_https://www.jmylbn.com_新闻资讯_第12张


(3)确定胃管在胃内的方法


怎么拔鼻腔引流管胃管术(二)_https://www.jmylbn.com_新闻资讯_第13张
怎么拔鼻腔引流管胃管术(二)_https://www.jmylbn.com_新闻资讯_第14张




PART 2


怎么拔鼻腔引流管胃管术(二)_https://www.jmylbn.com_新闻资讯_第15张

常见护理问题


  1. 有误吸的危险


  2. 患者自行拔除胃管或脱出


  3. 胃管堵塞


  4. 鼻咽部黏膜或胃黏膜的损伤

怎么拔鼻腔引流管胃管术(二)_https://www.jmylbn.com_新闻资讯_第16张




留置胃管病人的护理




1.妥善固定,防止打折,避免脱出。


A.固定胃管应用白色橡皮胶布贴于鼻尖部,胶布应每天更换,3M胶布3天更换一次。

B.胃管插入的长度要合适,成人一般约45-55cm



2.保证胃管的通畅,定时冲洗、抽吸胃液。


A.定时冲洗,每4小时一次。

B. 根据胃液分泌的情况定时抽吸胃液,一般每4小时一次。



3.密切观察胃液的颜色、性质、量,并做好记录。


A.观察胃液的颜色、性质:胃液颜色一般为墨绿色(混有胆汁)。

若颜色为鲜红色,提示胃内有出血。若颜色为咖啡色,提示胃内有陈旧性血液。胃液出现颜色或性质的改变,应及时通知医生,给 予相应处理。



B.准确记录胃液的量:若胃液量过多,应暂停进食。



4.胃管护理


A. 每日用棉棒沾水清洁鼻腔。


B. 更换胶带时,须将脸部皮肤拭净再贴,并注意勿贴于同一皮肤部位。


C. 每日清洁口腔,以棉签清洁口腔;意识清楚合作的可以牙刷清洁。鼓励病人刷牙漱口,养成良好的卫生习惯。生活不能自理的病人或昏迷的病人给予口腔护理。


D. 意识不清或躁动不合作的,需预防鼻胃管被拉出,必要时可将患者双手做适当的约束保护


5.鼻饲的护理:


A. 鼻饲前应先确定胃管在胃内,且没有腹涨、胃储留之症状后,再行鼻饲。


B. 鼻饲量每次不超过200ml,根据全天总量和病人的消化吸收情况合理分配,制定间隔时间。


C. 鼻饲温度要适宜,以35℃左右为宜。


D.鼻饲前应将床头抬高30-40度,鼻饲后保持半卧30-60分钟后再恢平卧位


E.鼻饲前应吸净气道内的痰液,以免引起返流



F.如发生误吸,立即停止鼻饲,取头低右侧卧位,吸除气道内吸入物,气管切开者可经气管套管内吸引,需要时接负压瓶


怎么拔鼻腔引流管胃管术(二)_https://www.jmylbn.com_新闻资讯_第17张


怎么拔鼻腔引流管胃管术(二)_https://www.jmylbn.com_新闻资讯_第18张



怎么拔鼻腔引流管胃管术(二)_https://www.jmylbn.com_新闻资讯_第19张

导 


留置胃管究竟多长才合适?

8床肠梗阻的病人,入院都三天了,又是留置胃管胃肠减压,又是灌肠的,可症状没明显的减轻,这不病人痛苦,家属也抱怨!


管床的王医生查房的时候,询问得知24小时胃液引流量只有几十毫升。病人满脸痛苦的表情道:带这个管难受死了,都三天了,也不见好,干脆把管子拔了吧!


王医生仔细检查,病人腹胀明显,胃管植入的长度为45cm,该病人身高得有172cm。王医生找来责任护士小李,要求将胃管再植入10cm左右。


小李不情不愿道:明明按照规定从发际到剑突测量的长度插的管,况且听诊也有气过水声的,确认在胃内无疑,这不是多此一举吗?小李嘴上虽然嘟囔着,但碍于情面还是揭开固定胃管的胶布,将胃管插入了10cm。谁成想一股黄褐色的液体忽的就流出来了,这下小李可算是心服口服了!


临床中留置胃管胃肠减压的目的是引流胃内积液及胃肠道积气,减轻术后缝合口张力及腹胀。按照教科书传统插管深度为45-55cm,但临床中实际的胃肠减压效果并不好。胃管插入45-55cm,经常只能抽出少量胃液,有时仅仅抽出粘液而无胃液抽出。听诊胃中有气过水声,虽证明胃管在胃内,但减压效果并不好。


患者腹胀,胃肠蠕动慢 ,使置管时间延长,增加了患者痛苦,延长了住院时间,因此应对留置胃管长度进行改进:正常成年人鼻腔前庭至食管起始处长度为25-28cm,食管起始处至贲门长度为25-27cm(因身材高矮而不同),贲门至幽门长度为5-12cm(因胃的形状不同,存在个体差异),这样计算鼻腔经食管、胃体至幽门长度为55_65cm。


由此可见,长期以来胃管插入长度45-55cm显然是不够的,此外,胃管插入后见有胃液流出(腹胀情况下)时,其实胃管插入的长度有时仅到贲门,这样胃肠减压的效果肯定好不到哪去!


因此,护士在临床工作中不能墨守成规、照本宣科,要结合实际善于发现问题并解决问题,向传统挑战,向专家挑战 ,勇于创新,这样才能促进护理专业理论的发展和创新!

怎么拔鼻腔引流管胃管术(二)_https://www.jmylbn.com_新闻资讯_第20张



鼻胃管植入的缺点之一是舒适性差。因此,需要术中使用表面麻醉,并且需要患者充分配合。


鼻胃管可用于多种诊断和治疗目的。



诊断目的包括

1.上消化道出血量评估;

2.胃储留液抽吸;

3.有助于在胸部x线照片上确定食管和胃的位置;

4.消化道对比剂的引入;

5.胃液抽吸获取细胞学诊断,如胃癌的细胞学诊断等;




治疗目的包括

1.胃减压;

2.小肠梗阻减压治疗;

3.毒物摄入后的抽吸治疗

4.经导管直接注入治疗药物;

5.用于营养注入(营养管);

6.肠道灌洗;

7.食管腐蚀性损伤后的常规置管,便于食管狭窄的后续球囊扩张;



那么,鼻胃管植入有哪些禁忌症呢?

第一、 严重面部外伤;

第二 、近期鼻部手术。

以上为绝对禁忌症


相对禁忌症如下:

1.凝血功能障碍 ;

2.严重的食管静脉曲张,出现这种情况时,可以使用三腔二囊管;

3.近期食管静脉曲张套扎治疗;

4.碱性腐蚀性液体摄入史。


鼻胃管植入前需要准备以下器械:

1.鼻胃管准备,成人鼻胃管通常使用16-18F管径;小儿鼻胃管管径计算方法如下:(年龄+16)/2;比如,8岁小儿的鼻胃管管径为:8+16=24/2=12F;

2.表面麻醉用利多卡因;

3.10mL注射器, 60mL注射器若干

4.一杯饮料/饮用水+吸管

5.液体润滑剂;

6.胶带;

7.塑料盆,用于盛装呕吐物;

8.真空抽吸系统;包括导管和抽吸袋

怎么拔鼻腔引流管胃管术(二)_https://www.jmylbn.com_新闻资讯_第21张上图为鼻胃管套装



常规的方法是盲插,具体方法如下:

1.嘱患者塞住一侧鼻腔进行呼吸,较通畅侧为插管侧;


2.采用利多卡因行表面麻醉,从鼻腔注入,麻醉至鼻咽和口咽剂量10mL

怎么拔鼻腔引流管胃管术(二)_https://www.jmylbn.com_新闻资讯_第22张

10mL利多卡因行表面麻醉


3.测量鼻胃管长度,如下图所示:

怎么拔鼻腔引流管胃管术(二)_https://www.jmylbn.com_新闻资讯_第23张

测量/预估鼻胃管长度,管尖位于鼻尖,绕过耳后,至于胸骨/剑突交界处。


4.患者取坐位,头后仰,插管时嘱患者用习惯喝饮料/饮用水,同时将润滑的鼻胃管插入目标鼻腔,如下视频所示:



怎么拔鼻腔引流管胃管术(二)_https://www.jmylbn.com_新闻资讯_第24张

上图示润滑鼻胃管头端


6.采用50mL注射器通过鼻胃管注水,同时听诊胃部,采用此方法确认鼻胃管位置,如下图所示:

怎么拔鼻腔引流管胃管术(二)_https://www.jmylbn.com_新闻资讯_第25张


7.固定鼻胃管;


鼻胃管植入可以在透视监控下完成,这里不再赘述。

怎么拔鼻腔引流管胃管术(二)_https://www.jmylbn.com_新闻资讯_第26张

怎么拔鼻腔引流管胃管术(二)_https://www.jmylbn.com_新闻资讯_第20张

  济源市第二人民医院的“护士到家”服务,真正体现了我们护士到达患者家里去服务,确实为患者解决了困难,提供了帮助。

怎么拔鼻腔引流管胃管术(二)_https://www.jmylbn.com_新闻资讯_第28张

护士到家

  9月26日晚上八点四十五分,我接到了护理部侯主任的电话,“艳丽,有个患者要下胃管,快九点了,你能去吗?”我给主任说:“只要患者需要,我马上出发。”挂了电话,放下哭闹的孩子,和对方电话联系,询问了患者的具体情况和家庭住址,就开车赶往医院,背上我们的服务箱,检查一遍物品、药品齐全后,和我科护士孔换换就出发了,目的地是东马蓬村。

怎么拔鼻腔引流管胃管术(二)_https://www.jmylbn.com_新闻资讯_第29张

  漆黑的夜晚,开车走在沿河路上,没有了往日的恐惧和担忧,只有一个愿望,赶快给老爷子下上胃管,让他能够吃上饭!


  家属在楼下等着我们,他家在四楼,刚到患者家门口,阿姨就在门口着急的说,“谢谢你们,我们都快着急死了,他一下午了没进一点水!”我们仔细查看了患者的具体情况,听阿姨说,这个叔叔是脑梗塞后遗症,昏迷、长期卧床已经三、四年了,只能靠胃管鼻饲给他提供营养。患者多次住院,家属楼没有电梯,每次上下楼,都得三四个男士才能把他抬上抬下。今天早上刚出院回家,中午喂饭时发现胃管盘曲在口腔内,没办法只能拔除,把他再抬下楼去医院下胃管实在是太不方便了。多方求助,才知道了我院能上门服务,就给我们的服务平台6631616打了电话。

怎么拔鼻腔引流管胃管术(二)_https://www.jmylbn.com_新闻资讯_第30张


怎么拔鼻腔引流管胃管术(二)_https://www.jmylbn.com_新闻资讯_第31张

  我们准备好物品,测量了胃管需要的长度,按照技术操作规范操作,不到一分钟就下好了,验证胃管确实在胃内,专用鼻贴固定,一切完好。阿姨和在场的儿女们脸上都露出了笑容,不住地说“谢谢你们,真是太感谢了!”她的女儿赶快拿出准备好的饭和水,就开始给爸爸打饭了!我给家属交待了有关的注意事项,并留下联系方式,就离开了。

怎么拔鼻腔引流管胃管术(二)_https://www.jmylbn.com_新闻资讯_第32张

怎么拔鼻腔引流管胃管术(二)_https://www.jmylbn.com_新闻资讯_第33张

吞咽功能障碍病人,包括昏迷病人,神志清醒拌吞咽功能障碍的病人,如格林巴利、脑梗塞、多发性神经炎等病人。给这些病人插入胃管需要一定的技巧,介绍如下:


1、 常规方法准备用物,体位、量长度。


2、 润滑胃管的方法:充分润滑胃管至所需插入全长,以减少插入过程中的磨擦阻力。


3、 插入胃管的技巧:左手托住病人的头部,右手持镊夹持胃管,插入15~16厘米时,抬高病人头部,使下颌靠近胸骨柄,右手碗部向后上方用力,然后向下快速将胃管送下,稍停片刻,如病人无明显呛咳、紫绀等表现,插入时无阻力,则快速向下插入所需长度,常规方法确定胃管在胃内。


另:我体会一般胃管插入方法:


胃管插至咽部时,使病人做吞咽动作,胃管过咽部后,让病人做张口呼吸,胃管插入更易,您不妨试一试。


提出昏迷病人插胃管的方法:


使患者取左侧卧位,润滑胃管前端,左手将病人头部前托,尽量使其下颌靠近胸骨柄,右手置管于鼻腔中插入,若无呼吸困难加重,则插置预定长度。强调左侧卧位,对于昏迷病人有利于气道分泌物及呕吐物的引流;有利于呼吸道的通畅,降低了吸入性肺炎的发病率。

怎么拔鼻腔引流管胃管术(二)_https://www.jmylbn.com_新闻资讯_第20张

怎么拔鼻腔引流管胃管术(二)_https://www.jmylbn.com_新闻资讯_第35张
怎么拔鼻腔引流管胃管术(二)_https://www.jmylbn.com_新闻资讯_第36张

不到一分钟,

身患中风的大叔自己完成“插胃管”

临床病友直呼“太神奇了”!

今年55岁的靳大叔来自东北,2009年来杭州工作。半年前因脑卒中引起偏瘫,并出现失语、吞咽障碍、高频率呃逆,需要长期留置鼻胃管进行营养支持和药物注入。

怎么拔鼻腔引流管胃管术(二)_https://www.jmylbn.com_新闻资讯_第37张

△靳大自行插管

一个月前,靳大来到浙江医院康复医学科进行康复治疗,为减少因误吸、呛咳等情况造成肺部感染的风险,浙江医院康复医学科主任林坚主任医师建议,可以考虑去除鼻胃管。当听到医生要拔掉靳大叔的鼻胃管时,患者家属认为“不可思议”。在林坚的耐心讲解下,患者家属得知可通过一种新技术代替鼻胃管给予患者营养支持,这种IOE(间歇经口至食管管饲法)技术不仅操作简单,避免长期留置造成对黏膜的损伤和返流的发生,可有效避免自主进食时的呛咳和误吸,利于患者吞咽功能的训练,保证营养摄入,而且大大改善了形象,对患者心理是极大的安慰。

怎么拔鼻腔引流管胃管术(二)_https://www.jmylbn.com_新闻资讯_第38张

怎么拔鼻腔引流管胃管术(二)_https://www.jmylbn.com_新闻资讯_第39张

得到患者及家属的认可后,通过全面检查和系统评估,林坚决定为靳大实施IOE技术。在科室护理团队专业操作和手把手教学下,悟性较高的靳大花了不到一分钟,便自己完成了插管操作,病友徐阿姨见此直呼“太神奇了”!

据悉,该技术实施仅三天,靳大咳嗽的情况明显减少,精神状态改善,为下一步治疗打下良好基础。

怎么拔鼻腔引流管胃管术(二)_https://www.jmylbn.com_新闻资讯_第36张

“自从自己插胃管以来,胖了6斤”

训练个把月,就离正常饮食不远了

“多亏医生护士教我自己插胃管的方法,自己插更能找到些感觉,舒适度更高,速度也会快一些。”靳大笑着说,“自从自己插胃管以来,我胖了很多,一称体重,果然涨了6斤,营养跟上后,体力也比以前恢复了不少。”

怎么拔鼻腔引流管胃管术(二)_https://www.jmylbn.com_新闻资讯_第41张

据悉,临床中少部分插普通鼻胃管的患者在进食后,会出现反流、咳嗽,长此以往对进食出现恐惧。而浙江医院康复医学科医护技团队采取通过为患者实施吞咽障碍筛查及评估,经口间歇置管护理、吞咽障碍直接训练等一整套康复护理,极大提高了患者的日常生活能力和康复信心。

“与普通留置胃管相比,用间歇胃管进食更接近正常进食节律,可以避免反流造成的误吸和呛咳,随着靳大每顿摄入果汁、果泥等直接食物训练,再过个把月,他就能渐渐撤掉IOE管,恢复自主饮食的功能。”林坚称。

怎么拔鼻腔引流管胃管术(二)_https://www.jmylbn.com_新闻资讯_第42张

IOE管可部分替代鼻胃管 

大大提高吞咽障碍治愈率

怎么拔鼻腔引流管胃管术(二)_https://www.jmylbn.com_新闻资讯_第43张
怎么拔鼻腔引流管胃管术(二)_https://www.jmylbn.com_新闻资讯_第44张

怎么拔鼻腔引流管胃管术(二)_https://www.jmylbn.com_新闻资讯_第45张

△普通鼻胃管与IOE管

怎么拔鼻腔引流管胃管术(二)_https://www.jmylbn.com_新闻资讯_第46张

IOE技术听起来很“神奇”,其实原理很简单,林坚介绍,IOE技术是将一种特殊的专用管从患者口腔通过咽部插入食管,这种舒适化的软管长度约30厘米,并通过注射器将食物通过管道注入帮助患者进食,进食后就可以把这个管拔掉,全程无创、舒适,患者不会有异物感,更不会造成食管粘膜损伤,同时还可以促进咽喉反射功能的重建,利于吞咽功能的恢复。

林坚表示,IOE技术主要针对吞咽障碍患者,它可以部分替代鼻胃管,患者易于接受,大大提高了吞咽障碍的治愈率,而该项技术在浙江省内刚刚开始推展。目前,浙江医院康复医学科已经成功为靳大解决“吃不下饭、喝不下汤”的问题。接下去,将有更多这样的患者得益于IOE技术,过上“顺畅”生活。

怎么拔鼻腔引流管胃管术(二)_https://www.jmylbn.com_新闻资讯_第42张

IOE管的优势:

1.利于吞咽功能的恢复。

2.为临床治疗提供过渡。

3.减少抗生素的应用。

4.符合生理规律。

5.无呃逆、感染、误吸等并发症。

6.提高患者的生活质量。

7.缩短住院时间、节约医疗费用。

8.操作简便。

IOE管适用于哪些人?

1.中枢神经系统疾病导致吞咽障碍者。

2.头颈部肿瘤放疗或手术前后吞咽困难者。

3.器官衰退而吞咽困难的老年人。

4.呼吸功能行气管切开、气管插管或机械通气辅助呼吸需长时间营养支持者。

5.吞咽功能正常但摄入不足者,如:烧伤、厌食症。

6.认知障碍或意识障碍相关的吞咽困难者。

7.所有吞咽障碍终末期的患者。

怎么拔鼻腔引流管胃管术(二)_https://www.jmylbn.com_新闻资讯_第26张

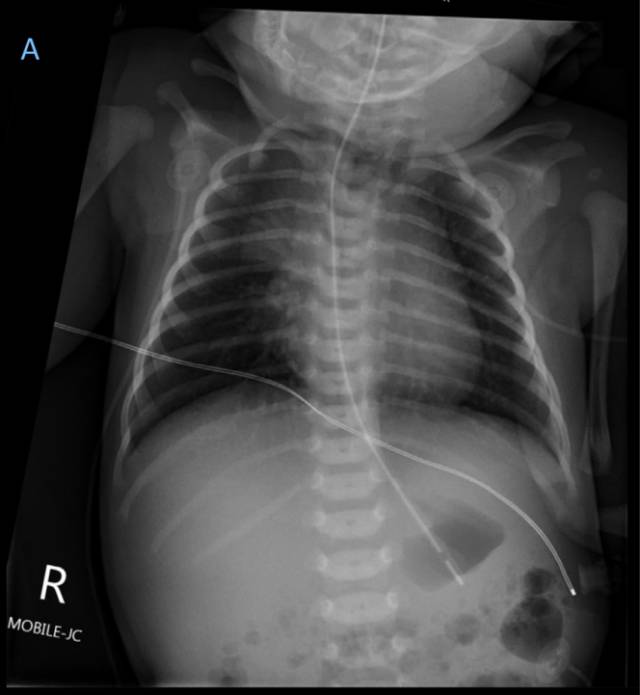
一个足月的新生儿在出生后出现了呼吸困难的症状,为了进一步支持治疗,大夫决定给患儿下一根鼻胃管。放置的过程比较顺利顺利进入相应深度之后,拍了一个胸片确认鼻胃管位置(图A)。

怎么拔鼻腔引流管胃管术(二)_https://www.jmylbn.com_新闻资讯_第49张

从胸片上来看,鼻胃管的一端顺利抵达了胃中,这是一次顺利、正确的插胃管。

然而,仅仅过了不久,患儿就出现了呼吸困难加重、经口喂养不耐受等症状,这是为什么呢?

经过进一步检查,大夫怀疑患儿有先天性的食管闭锁,但是从上图看,鼻胃管明明已经下到胃中了啊,这又是为什么呢?

为了探究这个奇怪的现象,他们给患儿行了进一步的检查,利用对比剂重新进行胸部影像学检查,结果如下(图B):

怎么拔鼻腔引流管胃管术(二)_https://www.jmylbn.com_新闻资讯_第50张

看完这次影像学检查后,大夫终于恍然大悟,原来如此。

怎么拔鼻腔引流管胃管术(二)_https://www.jmylbn.com_新闻资讯_第51张

作者:杨昆 胡建昆

文章来源:中华胃肠外科杂志,2017,20( 2 )

鼻胃管胃肠减压是一种已有百余年临床应用历史的技术,大多数外科医生认为其有助于降低胃癌术后并发症的发生,并在临床实践中常规实施。

随着加速康复外科理念的提出及推广,目前认为,胃癌患者如无幽门梗阻、呕吐、胃瘫等特殊情况,无需常规安置鼻胃管,亦不会增加术后并发症的发生率。然大多数外科医生仍在临床实践中常规实施。

由于鼻胃管胃肠减压毕竟属于一项侵入性操作,在胃癌患者围手术期应用会导致相应的并发症。现结合笔者的经验和体会,针对胃肿瘤围手术期胃管放置所致并发症进行讨论。

一、安置胃管时的并发症

胃管的机械性损伤:粗暴的插管或合并有慢性鼻炎、鼻甲肥大、鼻中隔偏曲的患者,容易发生鼻黏膜的损伤或鼻衄;

当胃管经过鼻咽到口咽时需经过90度的转向,在此过程中容易损伤咽后壁,故在此过程中如遇阻力,切忌暴力强插;

胃管经过喉咽时可能损伤喉黏膜,甚至引发急性喉头水肿;胃管经过食管和胃时可损伤胃和食管黏膜,导致黏膜出血,严重时甚至直接导致消化道穿孔引起纵膈炎、弥漫性腹膜炎等。

有罕见病例,胃管甚至经颅底骨折误入颅腔、穿破支气管误插胸腔内的报道。胃管的机械性损伤重在预防,要与患者做好沟通,取得其配合。

鼻衄一般能自止,必要时可用麻黄素喷洒止血;咽喉部的损伤可配合雾化治疗来减轻黏膜的充血水肿;胃肠道的出血可对症止血,必要时手术治疗。

误入气管:一般而言,如胃管误入气管会引起比较剧烈的呛咳反应,但在意识障碍或呛咳反射减弱时,容易误认为已插入胃内,此时如未能识别且经管喂,则可能引起窒息等严重后果。

因此,需按照抽吸胃液、观察气泡、胃区注气听诊等方法严格判断胃管是否已成功插入胃内。

反射引起的呕吐或误吸:由于咽喉部有比较丰富的神经末梢分布,故安置胃管时常会引起患者恶心呕吐等反应,有时呕吐物可误吸到支气管内引起吸入性肺炎。

因此,操作时要充分取得患者配合;如患者反应非常剧烈,可于操作前喷洒丁卡因以减轻反射。操作时采用半卧位可降低吸入性肺炎的风险。如已发生吸入性肺炎,则应抗炎、祛痰等对症支持治疗。

二、留置胃管所致的并发症

不舒适或异物感:在世界卫生组织将疼痛定义为人体第五大生命体征时,不舒适、异物感也就应该算作留置胃管的并发症之一,也正是此,推动了现在加速康复外科项目之"不常规安置胃管"工作的推进。

如临床上确有需要安置胃管的患者(如术前合并幽门梗阻、胃壁肿胀等),术后采取雾化吸入、润喉片含服或咀嚼口香糖等有助于分散注意力,减轻不适感。

声音嘶哑:发生原因主要是由于声带水肿所致。需嘱患者少说话,可予雾化吸入、润喉片含服,病情允许应尽早拔出胃管。

反流:由于留置胃管,一定程度上破坏了贲门防反流的生理屏障,再加上胃管引起的恶心、不适感,容易导致食物反流的发生,严重时可发生吸入性肺炎,尤其是采用胃管进行管饲的患者。

预防的重点在于采取半卧位,保证胃管的通畅引流,避免堵管;管饲少量多次。如发生误吸,则应按照吸入性肺炎予以处置。

此外,反流的另一层含义主要针对行Billroth-Ⅱ式吻合的病例,患者的胆汁、胰液等经输入袢反流至残胃,导致患者胃管引流量> 500 ml/d(尤其连接负压引流瓶时),造成出现胃瘫并发症的假象,需注意鉴别。可通过零负压自然引流、留管封堵的办法予以鉴别及逐步拔管。

肺部感染:肺部感染目前已是胃肿瘤术后最常见的并发症。据笔者所在中心数据库的资料统计,胃癌术后肺部感染的发生率已达到10%左右。

除上述反流所致的吸入性肺炎以外,胃管的存在不仅会使咽喉部的分泌物增加,而且影响患者的咳嗽及排痰,使得全身麻醉术后气道内积存的分泌物难以排出,从而导致术后肺部感染的出现。

笔者在临床实践中也发现,不安置胃管或早期拔除胃管的患者术后肺部感染的发生率明显低于常规留置胃管的患者。因此,预防术后肺部感染最好的方法之一就是不安置胃管或早期拔除。

呃逆:发生呃逆时需首先排除有无膈下感染、胃管不畅残胃扩张、切口裂开等并发症。针灸是治疗呃逆疗效较确切的手段之一,严重者可予氯丙嗪50 mg肌注。

水电解质酸碱失调:多发生在留置胃管时间较长时。由于消化液的大量丢失而临床补液不充分所致,需根据检测结果进行补液的调整。

管饲所致并发症:目前提倡胃切除术后早期开始肠内营养,故临床中不乏通过胃管进行管饲者,所发生的并发症也应归属于留置胃管所导致的并发症。

除上述并发症以外,管饲不当还容易引起血糖紊乱、氮质血症、腹泻和便秘等。除需注意营养液的量以外,还要注意营养液的配比、渗透压及浓度,必要时可予止泻、通便等药物。

长期留置胃管所致并发症:长期留置胃管容易导致萎缩性鼻炎、鼻软骨坏死等鼻部并发症;胃管长期摩擦咽鼓管开口容易引起中耳炎;胃管长期刺激容易引起喉软管炎、喉水肿、压迫损伤喉返神经等喉并发症;消化道黏膜长期受胃管压迫和接受负压吸引,容易引起消化道出血、溃疡甚至穿孔。

对于需长期留管者,可用石蜡油滴鼻以润滑鼻腔,并定期更换胃管,交替使用两侧鼻孔。喉部并发症最先出现的症状为喉部疼痛,有时伴有吞咽痛、声嘶和痰中带血,严重者可出现喉鸣、呼吸困难,喉镜检查可见声门运动障碍。

如能在病变早期识别并拔除鼻胃管,症状往往在1~ 2 d内即可明显好转。胃管引起的消化道黏膜出血往往量小,能自止,必要时用抑酸剂、止血药、黏膜保护剂等。如发生穿孔需急诊剖腹手术。

综上,由于胃切除术后不安置胃管的安全性已在诸多研究中得到证实,在外科医生的理念不断更新、与时俱进的基础上,我们提倡在胃癌术后,针对未合并幽门梗阻、胃瘫等情况的患者,应避免安置胃管。

参考文献【略】

怎么拔鼻腔引流管胃管术(二)_https://www.jmylbn.com_新闻资讯_第52张

1.插管动作要轻稳,特别是在通过咽喉食管的三个狭窄处时,以避免损伤食管黏膜。操作时强调是“咽”而不是“插”。
  2.在插管过程中病人出现恶心时应暂停片刻,嘱病人做深呼吸,以分散病人的注意力,缓解紧张,减轻胃肌收缩;如出现呛咳、呼吸困难提示导管误入喉内,应立即拔管重插;如果插入不畅时,切忌硬性插入,应检查胃管是否盘在口咽部,可将胃管拔出少许后再插入。
  3.昏迷患者插管时,应将患者头向后仰,当胃管插入会厌部时约15cm,左手托起头部,使下颌靠近胸骨柄,加大咽部通道的弧度,使管端沿后壁滑行,插至所需长度。

怎么拔鼻腔引流管胃管术(二)_https://www.jmylbn.com_新闻资讯_第53张

插了胃管还能喝水吗?

性别:女年龄:21

健康描述:老人需要长期插胃管,请问插了胃管还可以喝水吗?想得到的帮助:请问插了胃管还可以喝水吗?


您好老人这种情况插胃管的话,可以从胃管里边喂水的,喂饭,这也就是喝水啦,喂水喂饭都是这里的?建议您最好还是给老人多喝水的。再配合喝点蜂蜜水,尽量避免大便干的可能的。必须得平常注意调理,住院治疗期间听从大夫安排的。尽量保持心情舒畅,保证睡眠的,必须得配合大夫治疗的。


我还是禁烟你注意看看可以的话就是看看慢慢的喂点看看吧你注意不要一次提多那要的话我考虑是不是呛咳的吧,注意慢慢的观察下看看怎么样的以上是对“插了胃管还能喝水吗?”这个问题的建议,希望对您有帮助,祝您健康!

怎么拔鼻腔引流管胃管术(二)_https://www.jmylbn.com_新闻资讯_第54张

怎么拔鼻腔引流管胃管术(二)_https://www.jmylbn.com_新闻资讯_第55张


据台媒报道,最近一位台湾网友在脸书上传了一段视频,从中可见一名气管切开的老人,疑似将含有酒精成份的黄色液体,直接倒入鼻胃管中喝下肚,让他不禁感叹「要酒还是要命,谁能比他狂?」对此,有医师表示,用鼻胃管喝酒没有呛到风险,只要适量饮用,也无碍健康。


医生指出,插鼻胃管的患者,多半是有吞咽问题,也是气管切开患者最常使用的饮食管路。



怎么拔鼻腔引流管胃管术(二)_https://www.jmylbn.com_新闻资讯_第56张


由于插了鼻胃管之后,食物不会进入口腔,而是直接从管路进到胃中,因此患者感受不到酒的味道,只是在下肚后身体会出现兴奋感,因此只要慢慢灌、适量饮用,对患者其实无负面影响。


医生提到,需要接受气管切开的病人主要有5大类:中风伤及脑干无法自主呼吸、摔伤颈椎受影响、严重肺炎导致肺水肿、慢性阻塞性肺疾病(COPD)肺泡不够用,以及心脏衰竭的病患。


上述病患一旦接受气管切开,都需要利用呼吸器辅助呼吸,并搭配鼻胃管帮助进食。在进行灌食部分时,须先看管路内是否有排空,否则灌太多可能会发生呛到。


该视频于17日晚间上传后,引发热议,虽然大部份网友都觉得该老人「很狂」,但也有部分网友道出不同意见,有人说「人生苦短、及时行乐」,也有人提到「只要他不酒驾不犯法,让他快乐一点不好吗?」


但也有网友并不确定老人到底喝的茶还是酒,对内容物抱持怀疑的态度。

怎么拔鼻腔引流管胃管术(二)_https://www.jmylbn.com_新闻资讯_第57张


  入住ICU的危重症患者,常常需要进行持续镇痛镇静、机械通气治疗,因为患者极易出现胃肠功能抑制,肠蠕动减慢等胃肠功能障碍并发症,严重影响病情的恢复。为此,临床常采用厚朴排气合剂,促进危重患者胃肠功能早期恢复,降低营养不良的发生率,减少发生死亡的风险。但危重症患者多不能口服给药,需经胃管或肠管给药,两种不同的给药方式是否会造成临床效果不一?张文娟等评价了不同厚朴排气合剂注入法对ICU患者实施护理的临床效果。

怎么拔鼻腔引流管胃管术(二)_https://www.jmylbn.com_新闻资讯_第58张


研究概述

研究选取了ICU危重患者104例,所有患者胃肠道解剖结构正常,未接受手术治疗,且不存在生命体征不稳定以及具有较高死亡风险的患者。按照给药方式不同,所有患者随机分为胃管注入法组和肠管注入法组,每组52例。患者一般资料相比,没有统计学意义。


两组患者均进行常规护理,包括RASS评分,镇痛镇静方案,留置胃管并进行胃肠减压。在患者停止胃肠减压治疗12小时,注入厚朴排气合剂。胃管注入法组通过胃管向胃内缓慢注入50ml的常温厚朴排气合剂,并夹闭胃管。肠管注入法组使用导管向肠道内缓慢注入50ml的常温厚朴排期合剂。


观察并记录两组患者用药至排气的时间、用药起效时间和用药至首次排便的时间,并比较两组患者腹胀、恶心、呕吐等不良反应的发生率。


主要结果

两组患者各项治疗指标的比较


经过治疗,肠管注入法组患者用药至排气的时间、用药至起效的时间以及用药至首次排便的时间均明显短于胃管注入法组,差异有统计学意义(P<0.05)。(表1)

怎么拔鼻腔引流管胃管术(二)_https://www.jmylbn.com_新闻资讯_第59张


两组患者不良反应发生率比较


经过治疗,肠管注入法组患者腹胀、恶心和呕吐的发生率均明显少于胃管注入法组患者,差异有统计学意义(P<0.05)(表2)。

怎么拔鼻腔引流管胃管术(二)_https://www.jmylbn.com_新闻资讯_第60张


讨论分析

大量的循证医学研究结果证实,代谢状态和营养状态是直接影响危重症患者病情转归的重要因素。进行早期合理的肠内营养支持治疗,可最大限度地减轻患者营养不良的程度。


中医认为,因危重疾病所致的长时间意识障碍会对患者造成严重的创伤,导致其气机阻滞,影响其脾胃功能。由胃肠运动功能紊乱而产生的肠麻痹是此类患者的主要临床表现。厚朴排气合剂是根据《金匮要略》中的“厚朴三物汤”并添加木香制成的中药制剂。该药的主要成分有厚朴、大黄、木香、枳实等。厚朴排气合剂的药物组成以理气药物为主,配以清热、导泻、通腑之药,共奏行气消胀、通腑导滞功效。药理学分析显示,厚朴排气合剂中的厚朴、大黄、木香、枳实均具有兴奋消化道平滑肌和抑制消化道平滑肌的双向调节作用。


临床使用厚朴排气合剂对ICU患者进行肠道护理的方法有两种,胃管注入法和肠管注入法。胃管注入法是指由患者鼻孔插入胃管,再通过胃管向胃内注入药物的方法,但是,用该法对ICU患者进行肠道护理时,容易发生胃管污染、胃管脱出等情况。肠道注入法是通过一次性导管将药物直接注入到患者肠道内。该法对ICU患者进行肠道护理时,可使药物长时间停留在肠腔内,且药液不易外流。能够更充分地软化患者粪便,增加排便量,减轻患者痛苦。


小结

根据上述研究,与经胃管向患者胃内注入厚朴排气合剂的效果相比,经肠管注射对ICU的危重症患者实施护理的效果更好,可有效促进排气和排便,消除患者腹部胀满的症状,恢复胃肠功能,且安全性高。

怎么拔鼻腔引流管胃管术(二)_https://www.jmylbn.com_新闻资讯_第61张

怎么拔鼻腔引流管胃管术(二)_https://www.jmylbn.com_新闻资讯_第62张

有些中风患者,因为病情需要,下了胃管,这对于许多家属而言,突然多了这么根管子,平常都不知道做些什么好了,这一期,小编就和大家说一说留置胃管的患者在平常护理中需要提醒注意的几点事项。

留置胃管


下胃管分为经鼻置入法和经口置入法。一般选用较软较细的胃管来鼻饲,这样会更舒适。下胃管,主要是针对不能经口进食者,例如昏迷、意识状态不佳、吞咽困难的患者,用来保证他们足够营养,为水分及药物摄入提供通路;除此以外,还可避免呛咳,防止误吸,预防吸入性肺炎的发生,所以可见病情需要置胃管在患者疾病恢复过程中发挥着重要作用。

那么在下了胃管以后,家属喂食过程中都应该注意些什么呢?

1

每次喂服食物、药物、水等之前,都要先用注射器回抽一下,如果能抽出胃液(白色至透明色略粘稠的液体),一是说明胃管位置仍在胃中,再就说明上次喂入的食物已被消化,可继续喂食。

2

喂服时尽量抬高床头,使之呈30°至60°角,偏瘫患者头要偏向健侧喂服。这样一来,既可以使得食物更加顺利的进入胃部,也可以防止胃部反流引起呛咳。

3

注意每次喂服量一般不要超过200mL,便于消化吸收也避免食物返流。

4

喂服食物的温度以接近体温最佳。食物或水的温度过高或过低都容易引起胃部的不适,导致腹胀消化不良和腹泻等症状。

5

喂服食物应选择清淡、易消化的食物,如米糊、藕粉等,病情稳定的患者,可及时补充高热量、高维生素的食物,在主食中可以适当地掺入一些果汁、鸡汤、鱼汤等,保证营养均衡。两次喂服的间隔期间可以适当补充一些水分及果汁。喂服后30min不要翻动患者。

还要特别提醒家属的是:在日常护理中,特别是病情较重的患者,如果胃管回抽有褐色液体,应及时告知医生,判断是否为消化道出血,并留好胃内回抽物以备送检。

怎么拔鼻腔引流管胃管术(二)_https://www.jmylbn.com_新闻资讯_第63张

导 


临床护理工作经验是一个不断积累的过程,我们在认真完成工作任务的同时,要善于总结。

在网上看到一个帖子:
今睌给一浅昏迷病人鼻饲水和营养液时,发现患者有咳嗽现象,且咳出的痰很像鼻饲液,然后停止鼻饲,回抽出少量水。听气过水声不明显,无水泡,今天上午11点留置的,今天已经鼻饲300ml的液体。spo2波动在95左右,会在气管吗?

下面是网友的留言:
希望开心:随着纤支镜的普及,能经鼻进行气管插管盲插的高手已经不多,so,考虑胃管在胃里。回抽出水后,再听气过水声就不明显了。但鼻饲时出现咳嗽、咳出痰像鼻饲液,要考虑有没有胃管破裂渗漏,搞个吸引性肺炎就麻烦了,所以,为保守起见,建议更换胃管。

杨小花:不放心拍个床边胸片看看,不过能把胃管放入气道里的也不容易啊。

moral_1981:现在常规都拍胸片以确定胃管是否位于膈下,也可通过超声判断导管是否位于胃腔,这例估计置到气管的可能性微乎其微,也可能是返流导致,其实接个胃肠减压就更明朗了。

看到这个贴子,让我想起了前两天发生在本科室的一件类似事情。

那天,同事去给一个病人留置胃管,在胃管顺利进入到预定长度时,她使用了常规的三种方法来检查胃管是否已经进入胃内。结果,虽然把胃管放入水中没有气泡,但抽不出胃液,也听不清楚气过水声。她也想过把胃管拔出来重新置入,又怕万一已经在胃内了,岂不是增加了病人的痛苦。在左右为难的时候,她让正在护士站处理医嘱的我去看看,验证一下。

到了病人床旁,用注射器连接胃管头端,先回抽了一下,有阻力,但未见胃液。又把左手放在病人胃部,右手用50ml注射器抽取空气,以脉冲式方法向胃管内注入空气,放在胃部的左手没有感觉到随着气体注入发生的起伏感觉变化。为了保险起见,又把听诊器放在了病人胃部,用同样的方法注入空气,也没有听到明显的气过水声。

这时候,我看了一下病人的身高,躺在床的病人几乎占据了床的整个长度,家属告知患者身高为176cm。检查胃管置入的刻度是55cm,于是揭开胃管的胶布,又向下续插到了60cm,再次听诊,气过水声非常明显。

出了病房,一直在现场观看的实习同学问道:老师,检查胃管是否在胃内不是有三种方法吗?您为什么一直用这一种?我说这一种是最可靠的。

神经外科是一个昏迷病人居多的科室,插胃管时病人从来不会配合,只能凭着经验技巧把胃管顺利送入到预定长度。插入后,病人也不会主诉是否有不适,是否在口咽部盘曲,只能用我们认为最保险的方法确保胃管已经到达了指定的位置,以免鼻饲时引起呛咳、窒息或者肺部感染。

那么,为什么说听气过水声是三种方法里面最可靠的呢?

第一种:回抽胃液。

将胃管插入后,用无菌注射器连接导管末端回抽,看是否可抽出胃液。

这种方法,能抽出胃液的前提必须是病人胃里面有东西才行。在我们科室,插胃管的大部分是急诊手术后的病人,这种病人经过几个小时的胃排空,胃内早已空空如也,一般是抽不出来任何东西的。

再者,这样的方法受体位跟胃管插入深浅的影响,有时候,胃管的头端并不能恰好与胃内少量的胃液接触,只能以变换体位或者调整胃管插入长度的方法再次试验。这样来回的折腾,有时候会受病情的限制,也会增加病人的痛苦。

第二种:将导管末端放入盛有凉开水或生理盐水的碗中,看有无气泡溢出。

从临床经验来看,胃管插入到预定长度,即使不在胃内,也不一定会在气管内。它有可能盘曲在咽喉腔,或者食管进入胃内通道的任何一个地方。

这时候,即使没有气泡溢出,也不敢确定胃管一定在胃内。

第三种:听气过水声。

用无菌注射器注入10-20ml空气于胃管内,将听诊器放在病人上腹部,听有无气过水声。

一般情况下,也可以用手代替听诊器。如上所述,左手放在病人胃部,右手用50ml注射器抽取空气,以脉冲式方法向胃管内注入空气,用手来感觉空气注入时胃部时发生的起伏变化。如果感觉不明显或者注入空气与注入间隔期胃部蠕动产生的感觉混淆时,再用听诊器去听。

临床护理工作经验是一个不断积累的过程,我们在认真完成工作任务的同时,要善于总结,敢于尝试,在熟练掌握的前提下争取一次成功,避免反复操作给病人带来不必要的痛苦。

怎么拔鼻腔引流管胃管术(二)_https://www.jmylbn.com_新闻资讯_第64张

  •  编辑 讨论

插胃管是一名临床医生必须掌握的技术,是对不能经口进食的患者,从胃管灌入流质食物,保证病人摄入足够的营养、水分和药物。

  • 中文名

  • 插胃管

  • 本    质

  • 一类技术

  • 掌握人

  • 临床医生

  • 作    用

  • 保证病人摄入足够的营养

  1. 1 操作介绍

  2. 2 操作目的

  3. 3 适应证

  4. 4 禁忌证

  5. 5 准备工作

  6. 6 操作方法

  7. 7 注意事项


编辑

插胃管的操作方法是临床执业医师考试要求掌握的内容。是作为一名临床医生必须掌握的技术。


编辑

1.经胃肠减压管引流出胃肠内容物,腹部手术术前准备。

2.对不能经口进食的患者,从胃管灌入流质食物,保证病人摄入足够的营养、水分和药物,以利早日康复。


编辑

1.急性胃扩张。

2.上消化道穿孔或胃肠道有梗阻。

3.急腹症有明显胀气者或较大的腹部手术前等。

4.昏迷病人或不能经口进食者,如口腔疾患、口腔和咽喉手术后的病人。

5.不能张口的病人,如破伤风病人。

6.早产儿和病情危重的病人以及拒绝进食的病人。

7.服毒自杀或误食中毒需洗胃患者。


编辑

1.鼻咽部有癌肿或急性炎症的患者。

2.食管静脉曲张、上消化道出血、胃炎、鼻腔阻塞、食管、贲门狭窄或梗阻、心力衰竭和重度高血压患者。

3.吞食腐蚀性药物的患者。


编辑

1.训练病人插管时的配合动作,以保证插管顺利进行。

2.器械准备:备消毒胃管、弯盘、钳子或镊子、10ml注射器、纱布、治疗巾、石蜡油、棉签、胶布、夹子及听诊器。

3.检查胃管是否通畅,长度标记是否清晰。

4.插管前先检查鼻腔通气情况,选择通气顺利一侧鼻孔插管。


编辑

1.操作者洗手,备齐用物,携至病人床旁,核对病人,向病人及其家属解释操作目的及配合方法,戴口罩,戴手套。

2.协助病人取半坐卧位,铺治疗巾,置弯盘于口角,清洁病人鼻孔,选择通气顺利一侧鼻孔进管。取出胃管,测量胃管插入长度,成人插入长度为45--55cm,测量方法有以下两种:一是从前额发际至胸骨剑突的距离;二是由鼻尖至耳垂再到胸骨剑突的距离。

3.用石蜡油润滑胃管前段,左手持纱布托住胃管,右手持镊子夹住胃管前段,沿选定的鼻孔插入胃管,先稍向上而后平行再向后下缓慢轻轻地插入,缓慢插入到咽喉部(14~16cm),嘱病人作吞咽动作,当病人吞咽时顺势将胃管向前推进,直至预定长度。初步固定胃管,检查胃管是否盘曲在口中。

4.确定胃管位置,通常有三种方法:

(1)抽取胃液法,这是确定胃管是否在胃内最可靠的方法。然后用胶布固定胃管于鼻翼处。

(2)听气过水声法。即将听诊器置病人胃区,快速经胃管向胃内注入10ml的空气,听到气过水声。

(3)三是将胃管末端置于盛水的治疗碗内,无气泡逸出。

5.确认胃管在胃内后,用纱布拭去口角分泌物,撤弯盘,摘手套,用胶布将胃管固定于面颊部。将胃管末端反折,用纱布包好,撤治疗巾,用别针固定于枕旁或病人衣领处。

6.协助病人取舒适卧位,询问病人感受。整理病人及用物。

7.若需洗胃时,将漏斗放置低于胃的位置,挤压橡皮球,抽尽胃内容物,再准备洗胃液5000ml。将洗胃液倒入漏斗300-500ml,当漏斗内尚余少量洗胃液时,迅速将漏斗降至低于胃的部位,并倒置于水桶内,利用虹吸作用原理排出胃内容物和胃内灌洗液。反复灌洗直至洗出液澄清、无味为止。洗胃完毕,将胃管反折后迅速拔出,以防液体误吸。

8.胃管洗胃术适应证

(1)催吐洗胃法无效或有意识障碍不合作者。

(2)需留取胃液标本送毒物分析者。

(3)凡口服毒物6小时之内且无禁忌证者。


编辑

1.插管动作要轻稳,特别是在通过咽喉食管的三个狭窄处时,以避免损伤食管黏膜。操作时强调是“咽”而不是“插”。

2.在插管过程中病人出现恶心时应暂停片刻,嘱病人做深呼吸,以分散病人的注意力,缓解紧张,减轻胃肌收缩;如出现呛咳、呼吸困难提示导管误入喉内,应立即拔管重插;如果插入不畅时,切忌硬性插入,应检查胃管是否盘在口咽部,可将胃管拔出少许后再插入。

3.昏迷患者插管时,应将患者头向后仰,当胃管插入会厌部时约15cm,左手托起头部,使下颌靠近胸骨柄,加大咽部通道的弧度,使管端沿后壁滑行,插至所需长度。

词条标签:

  • 科技产品  科学  医学

怎么拔鼻腔引流管胃管术(二)_https://www.jmylbn.com_新闻资讯_第65张

怎么拔鼻腔引流管胃管术(二)_https://www.jmylbn.com_新闻资讯_第66张

怎么拔鼻腔引流管胃管术(二)_https://www.jmylbn.com_新闻资讯_第67张

怎么拔鼻腔引流管胃管术(二)_https://www.jmylbn.com_新闻资讯_第68张