怎么取放射片研究--浅析下肢创伤中容易漏诊的X线片

新闻资讯2026-04-21 11:40:26

原作者:Alice S. Ha1Jack A. Porrino1 and Felix S. Chew1  2014年
 放射学仍然是创伤后骨折检测的成像标准。然而,骨折仍然是最常见的漏诊损伤。在这篇文章中,我们描述常见的下肢创伤的射线照相陷阱,并描述处理他们的策略。

怎么取放射片研究--浅析下肢创伤中容易漏诊的X线片_https://www.jmylbn.com_新闻资讯_第1张

漏诊1:视图不足

许多骨折仅在单个视图上可见。如果不能获得该视图,则检查将被解释为假阴性。大多数放射科都遵循要求正面(前后或前后)和长骨的侧向投影的正交视图的协议。对于髋,膝,踝和脚,还可以获得各种附加视图(表1)。

怎么取放射片研究--浅析下肢创伤中容易漏诊的X线片_https://www.jmylbn.com_新闻资讯_第2张

表1:在华盛顿大学执行的标准创伤放射照片

在膝关节处,髌骨的骨折可能不明显,除非获得轴向髌骨视图(图1)。缺乏体重视图可导致跗横关节或跗跖关节(Lisfranc or Chopart joint)损伤的假阴性射线照相结果[5,6]。压力观察可能是必要的,以显示对踝臼或下胫腓分离

的损伤。 在尽管有初步的阴性射线照相检查结果,仍有高度临床怀疑骨折时,获得额外的放射照相视图以试图识别骨折,可能不是最有效或具成本效益的疗程[7-10]。相反,当可用时,CT或MRI可能是更好的选择。MRI更好地识别可能具有临床重要性的软组织损伤。

怎么取放射片研究--浅析下肢创伤中容易漏诊的X线片_https://www.jmylbn.com_新闻资讯_第3张

图1〜20岁的男性患者出现短暂的外侧髌骨脱位。骨折在侧位和前后位X线照片上不可见。轴位视图显示沿着髌骨的中间边缘的多个撕裂碎片(箭头)。


漏诊2:位置不当或技术上不完善的X光片

当骨折存在时,在X光片上看到它的最佳机会是多个视图被正确定位并且技术上足够。对于数字放射线照相,不足的管电流(毫安)将导致曝光不足的X光片,其具有比正常曝光的X射线照片少的信息。因为显示设置可以呈现具有期望的灰度级,对比度和亮度的图像,所以X线照片看起来可能会被正确曝光。我们提出一个例子,其中骨折在正确定位和暴露的X光片上是明显的,但在几天后获得的不适当定位和曝光不足的随访X线片上不明显(图2)。

怎么取放射片研究--浅析下肢创伤中容易漏诊的X线片_https://www.jmylbn.com_新闻资讯_第4张

图2A-19岁男性运动损伤后。A,初始斜位放射照片显示不完全的第二和第三跖骨轴骨折。

怎么取放射片研究--浅析下肢创伤中容易漏诊的X线片_https://www.jmylbn.com_新闻资讯_第5张

图 2B-19岁男性运动损伤后。B,1周后在没有放射技术人员的门诊办公室获得的随访X光照片不显示跖骨骨折,因为穿透不足和不正确的管成角。注意缺乏小梁骨细节和跖骨和导管骨关节的可视性差。

现代放射照相术的其它可能妨碍骨折诊断的缺陷包括使用图像压缩和使用不合格或手持式显示器。虽然使用PACS的放射科医师不应该遇到这些问题,对于没有美国食品和药物管理局批准的显示监视器的临床医生,如果显示器和图像增强工具不具有适当的亮度,对比度,位深度,微小甚至不那么微小的异常可能被忽略,  对于在明亮空间中工作的临床医生,眩光和反射可能进一步减少从放射照片中可获得的信息[11]。

怎么取放射片研究--浅析下肢创伤中容易漏诊的X线片_https://www.jmylbn.com_新闻资讯_第6张

漏诊三:无移位骨折

即使正确定位和技术上优秀的射线照片,一些骨折在X线片上是不可检测的,因为它们是无位移的。这些骨折有症状,并有相应的临床表现和受伤的机制,但他们没有明显的X光片。在本质上,X射线照片结果是假阴性的,因为该方法本身局限性不足以显示断裂。 射线照片上的急性骨折的检测通常需要它们在一定程度上移位。由于临床体征高度怀疑,通常需要进一步评估额外的成像,特别是如果这种成像的结果将影响临床管理。这样的例子有上了年纪的人或老年人在地面踉跄之后加上不能承受体重,髋部疼痛, 骨质疏松通常进一步增加了检测不位移性骨折的难度。放射线检查结果可能是阴性或模棱两可的,因为骨矿物的弥漫性损失使不位移性骨折线不太明显。因为近端股骨骨折的管理通常是手术,当根据临床表现的骨折的预测概率高时,通常进行进一步的CT或MRI评估。美国放射学会[12]建议对中年或老年患者进行MRI(等级9)CT(等级6)或放射性核素骨扫描(等级4),这些患者在放射照片显示阴性或不确定性,用CT与MRI的诊断优势以排除存在放射学上隐匿性髋骨骨折[13]。如果MRI不可用或者患者对MRI具有禁忌症,CT可以提供最佳选择。然而,MRI在检测骨髓水肿方面优越(图3)。骨扫描已应用于放射摄影术的初步诊断[14],但在我们的实践中最少使用,因为CT更为普遍。床旁超声检查最近被研究作为一种检测第五跖骨骨折的方法,基本上作为身体检查的延伸,并且与放射线照片相比显示出一些前景[15]。然而,在多发伤筛查情况下,超声检查的成像效果不如放射照相[16]。

怎么取放射片研究--浅析下肢创伤中容易漏诊的X线片_https://www.jmylbn.com_新闻资讯_第7张

图3A-65岁的男子在地面摔倒后,在射线照片上没有看到移位性骨折。

A,前后放射照片显示正常。侧视图也是正常的。患者抱怨右髋疼痛,无法承受体重或步行。

怎么取放射片研究--浅析下肢创伤中容易漏诊的X线片_https://www.jmylbn.com_新闻资讯_第8张

图3B-65岁的男子在地面摔倒后,在射线照片上没有看到移位性骨折。冠状T1加权MRI显示无错位股骨颈骨折。

怎么取放射片研究--浅析下肢创伤中容易漏诊的X线片_https://www.jmylbn.com_新闻资讯_第9张

图3C-65岁的男子在地面摔倒后,在射线照片上没有看到移位性骨折。用三个压紧螺钉将骨折内部固定。


漏诊4:错误的常见位置

先前的分析已经将错开的骨折的常见位置分层[1,3,17]。对急诊部的忽视性骨折的研究发现,51.4%的漏诊骨折涉及脚踝或脚[18]。 在Wei等人的一项研究中 [3],涉及的下肢错位骨折,按降序,脚,膝,髋和脚踝。根据我们的经验,特定位点的解剖问题可能很麻烦。例如,骨骼的前后视图采用腿以大约15°的内旋转,以获得近侧股骨的最佳视图。然而,由于无响应的高能量创伤患者常常伴随股骨外旋,所以通常进行具有40°角度的骨盆的Judet位置(Judet view)来抵消这个难题[12]。如果没有看到实际骨折,旋转的,因此缩短的近端股骨的视图应该被认为是不明确的或不确定的。

在膝关节处,可以在股骨,胫骨,腓骨,和髌骨,其中软组织结构附上的各个表面发生撕脱骨折; 这些通常被覆盖的骨头掩盖。胫骨平台骨折,当没有按压时,可能难以看到,除非X射线束碰巧沿着骨折平面被引导。 关节积脂血病( lipohemarthrosis)的存在将表明存在关节内骨折,并且如果没有看到骨折,应该触发CT或MRI的考虑。

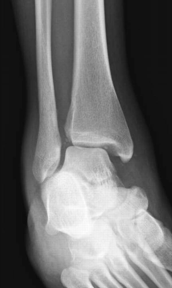
在脚踝处,必须警惕超出投照视野(图4)的足部腓骨骨折的可能性和足部骨折的可能性。例如,Maisonneuve骨折是一种旋前 - 旋转损伤,伴有远端胫腓骨间继位断裂和近端腓骨骨折[19]。了解骨折模式与相关的损伤机制模式至关重要,特别是在踝关节[20]。

怎么取放射片研究--浅析下肢创伤中容易漏诊的X线片_https://www.jmylbn.com_新闻资讯_第10张

怎么取放射片研究--浅析下肢创伤中容易漏诊的X线片_https://www.jmylbn.com_新闻资讯_第11张

图。4A-28岁女子在地面跌倒后。A,踝关节的斜视图显示继发性加宽和微小的内侧踝撕裂性骨折。B,近侧腿的侧视图显示倾斜的近端腓骨骨折,构成Maisonneuve骨折。

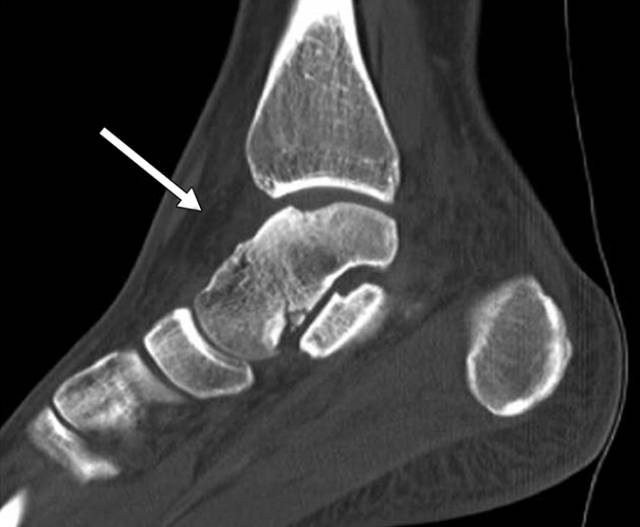
脚本身有一些最复杂的骨骼解剖,与多个奇怪形状的骨头相互重叠。一些足部骨折的微小性质和复杂的解剖结构可能导致脚的错过的骨折的增加的倾向。小骨软骨骨折的距骨穹顶或小的撕裂骨折周围的后足和中足可能很难找到[21]。后足和中足的解剖结构使其难以识别骨折,特别是距骨[22](图5),立方体(图6),楔形体[23-25],跟骨的前过程[26]和Lisfranc关节[27]。 

怎么取放射片研究--浅析下肢创伤中容易漏诊的X线片_https://www.jmylbn.com_新闻资讯_第12张

跖跗关节和跗横关节损伤可以在非负重X线照片上微小或隐蔽。骨折的延迟诊断可导致骨不连,继发性骨关节炎,无血管性坏死,假性关节,甚至神经性关节[5,6,28]。跟骨骨折可能与腰椎骨折相关。 放射科医生应该知道骨折常常错过的位置,并特别注意这些区域。我们通常使用CT或MRI在复杂解剖区域解决问题。

怎么取放射片研究--浅析下肢创伤中容易漏诊的X线片_https://www.jmylbn.com_新闻资讯_第13张

怎么取放射片研究--浅析下肢创伤中容易漏诊的X线片_https://www.jmylbn.com_新闻资讯_第14张

图5 -53岁男性骨折骨折。A,前后(A)和外侧(B)X线照片显示粉碎的内侧骨折体骨折。B,前后(A)和外侧(B)X线照片显示粉碎的内侧骨折体骨折。

怎么取放射片研究--浅析下肢创伤中容易漏诊的X线片_https://www.jmylbn.com_新闻资讯_第15张

怎么取放射片研究--浅析下肢创伤中容易漏诊的X线片_https://www.jmylbn.com_新闻资讯_第16张

图5 -53岁男性骨折骨折。C,随后的矢状(C)和轴向(D)CT图像更全面地显示通过延伸到距下关节的距骨的身体的另外的倾斜骨折(箭头)。

怎么取放射片研究--浅析下肢创伤中容易漏诊的X线片_https://www.jmylbn.com_新闻资讯_第17张

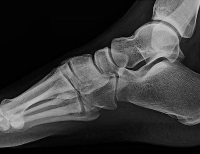
怎么取放射片研究--浅析下肢创伤中容易漏诊的X线片_https://www.jmylbn.com_新闻资讯_第18张

图 6-35岁的女人,脚后疼痛。A,在X光片,包括侧位片,骨折很难看到,甚至在事后。B,在这个矢状面CT重建中观察到第四跖关节(箭头)处的立方体的关节内骨折。


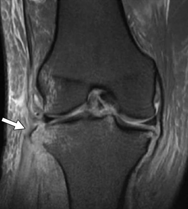
漏诊5:小撕裂骨折,大创伤

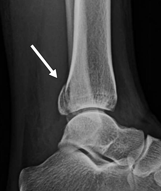
小撕裂性骨折可能容易忽视。有时他们会造成重大伤害。例如,踝的后踝撕裂性撕裂通常发生在远端腓骨通过距骨的力的异常运动,而远离胫骨横向移位时,使断裂和前胫腓韧带断裂[17](图7A)。强的后胫腓韧带保持完整,但是从附着的后胫骨脱离。如果在获得X光片前断裂减少,可能会忽略损伤[21]。

怎么取放射片研究--浅析下肢创伤中容易漏诊的X线片_https://www.jmylbn.com_新闻资讯_第19张怎么取放射片研究--浅析下肢创伤中容易漏诊的X线片_https://www.jmylbn.com_新闻资讯_第20张怎么取放射片研究--浅析下肢创伤中容易漏诊的X线片_https://www.jmylbn.com_新闻资讯_第21张

图7A、B、C-两名患者具有撕脱性骨折信号潜在损伤。A,32岁的踝关节受伤的男子在秋天受伤。侧面X线片显示最小移位后踝骨折(箭头),指示踝关节融合的破裂。B,30岁的男子汽车与行人碰撞后。冠状(B)和矢状(C)STIR MR图像显示在外侧胫骨坪(箭头,B)和全厚度前十字韧带撕裂处的急性Segond骨折。

另一个典型的例子是Segond断裂(图7B和7C)。这种骨折发生在外侧胫骨,似乎是侧膝关节囊撕裂的结果。已有许多研究显示Segond骨折与主要软组织损伤(包括前交叉韧带和半月板)的高度关联[29,30]。撕裂性骨折的其他频繁部位包括内侧和外侧股骨髁,胫骨的中间隆起,腓骨头,踝的内侧和外侧踝,远侧胫骨的前外侧边缘,距骨的背侧颈, 跟骨的前部过程,以及第二和第五跖骨的基部。当存在小的脉冲断裂片段时,放射科医生应确定通过哪种软组织结构附着于骨片段来考虑潜在的软组织分支。


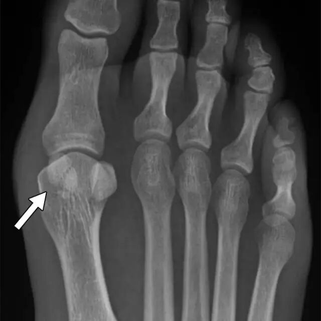
漏诊6:二分籽骨与骨折

籽骨和附属小骨对于放射诊断是一个独特的挑战。 籽骨通常是多样的; 因此,区分骨折和正常解剖变异可能是困难的(图8)。因此放射科医师必须熟悉籽骨多样形态和外观才能更得到更可靠的临床诊断。应特别注意前足部疼痛的跑步者可能的类固醇损伤(应激反应或骨折)[31]。附件小骨可能会混淆,而不彻底了解它们通常发生的地方。脚踝是辅助骨骼的多发部位,跖骨关节也是如此。虽然这些小骨不应该与移位骨折混淆,这些小骨不应该被认为是理所当然的,因为它们也可以骨折[32,33]。

怎么取放射片研究--浅析下肢创伤中容易漏诊的X线片_https://www.jmylbn.com_新闻资讯_第22张

图8 - 32岁的女性在踢足球时经历足部伤害。前后放射照片显示具有分开延伸穿过骨的两部分内侧的籽骨。在近侧方面,存在横向撕裂性骨折(箭头),并且籽骨已经向远侧移位。内侧软组织肿胀。


漏诊七:Satisfaction of Search

当放射学家找到了X射线片部分部分异常时,没有进一步仔细观察,可能会错过另外的异常; 这种现象最初在胸部X光片中研究,其中将模拟肺结节添加到实验组病例作为干扰物,但在对照组中被省略[34]。Berbaum 等发现放射科医师对于在实验组中发现非模拟异常比在对照组中执行更差,证实了基本上满意的搜索效果。

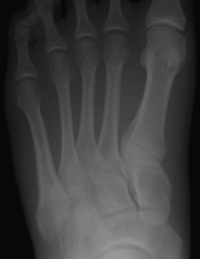
在各种方式,这一发现已被复制在肢端X线片。在一系列实验中,Bernbaum等[35,36]创建了多图像肌肉骨骼情况,他们能够测试第一个图像中检测到的异常是否干扰了随后的图像中ROC分析的异常检测; 他们发现,非置入性骨折的初始发现引起了搜索的满意度错误,但是高发病率的严重骨折的初始发现没有发现。Ashman等[37]简单地研究放射科医师在具有两种或更多种异常的骨骼X线照片上的表现,并且认为每当发现所有异常时都发生了满意搜索错误(图9)。

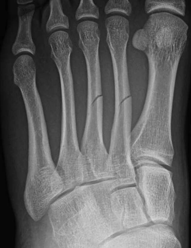
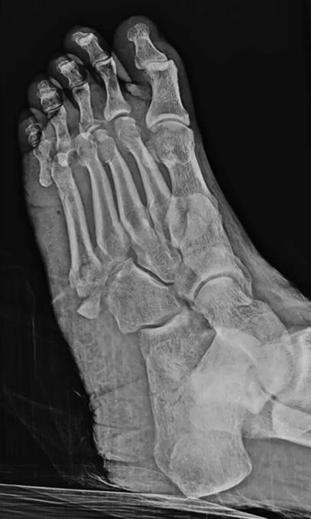
怎么取放射片研究--浅析下肢创伤中容易漏诊的X线片_https://www.jmylbn.com_新闻资讯_第23张

图 9A-61岁的女性在机动车辆碰撞中多发性创伤。多发性骨折脱位导致Satisfaction of SearchA,初步评价足前侧倾斜(A)和侧向(B)足部X线照片对多发跖骨和足趾骨折和多发跖趾关节脱位。最初忽略了跟骨骨折。

怎么取放射片研究--浅析下肢创伤中容易漏诊的X线片_https://www.jmylbn.com_新闻资讯_第24张

图9B-61岁的女性在机动车辆碰撞中持续多发性创伤。多发性骨折脱位导致搜索的满意度。B,初步评价足前侧倾斜(A)和侧向(B)足部X线照片对多发跖骨和足趾骨折以及多发跖趾关节脱位。最初忽略了跟骨骨折。


漏诊8:错误推理

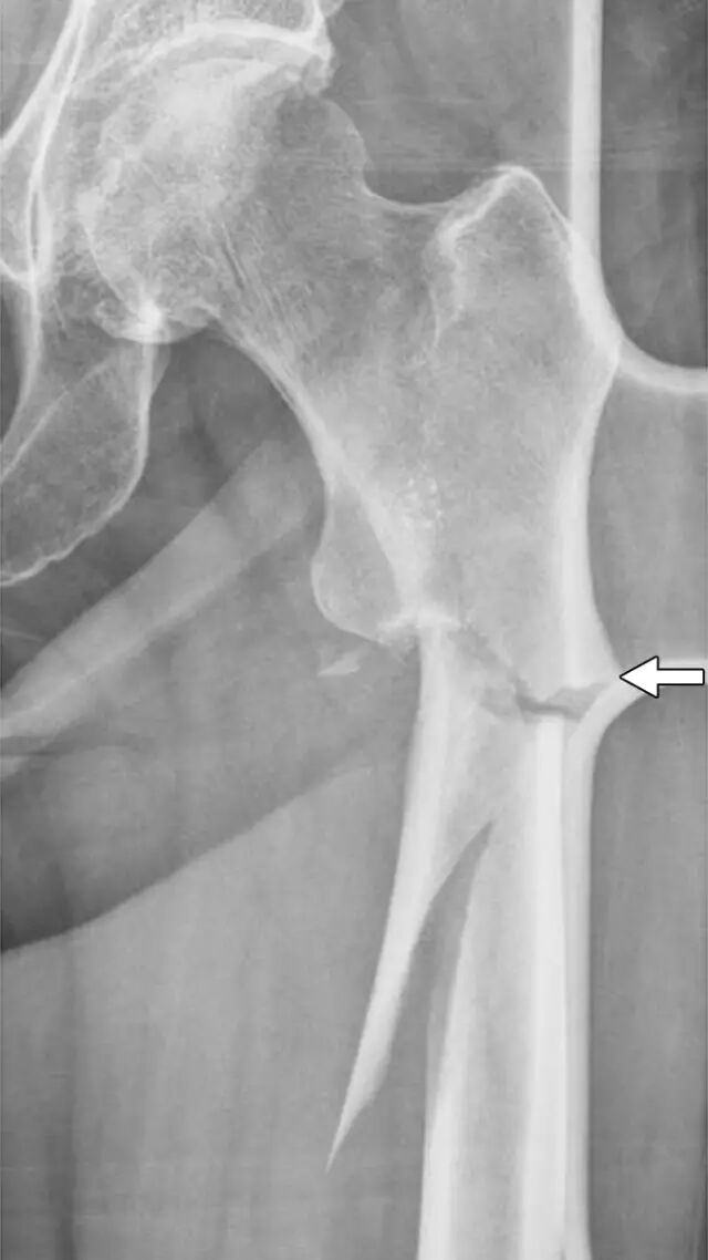
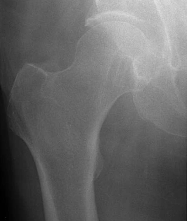
一旦确定了骨折,放射科医生应对其进行表征,以便进一步管理。然而,可能存在放射科医师可以提供超出简单骨折描述的范围的更多信息。特定解剖部位的骨折在特定年龄通常更频繁,并且通常作为特定机制的结果而发生。识别对于部位,年龄和机制不典型的骨折应导致进一步调查。例如,由于大的创伤性事件(例如机动车辆撞击或从高处坠落),近侧股骨轴(转子间或转子间 - 转子间)的骨折通常发生在健康成年人中。近端股骨干骨折可能由于在具有骨骼脆性的非常老年人群中或在具有使骨骨折的某些潜在病症的群体中的地面下降而发生。因此,由于地面跌倒导致的年轻或中年成年人的股骨近端骨折的发现应该引起立即怀疑潜在的预处置状况。经常有关于初始创伤X光片的潜在病理生理学的线索。外侧股骨皮质的增厚,特别是如果存在三角形峰的外观,已被认为是二膦酸相关的不全性骨折的特征[41](图10)局部的骨质破坏可以指示肿瘤或骨髓炎的存在。近端股骨是骨转移的最常见部位[42]。特别是,成年人的小转子股骨骨折的存在应引起强烈的临床关注,由于转移性疾病的病理性骨折[43,44]。该信息对于临床医生在手术治疗中是有价值的。

怎么取放射片研究--浅析下肢创伤中容易漏诊的X线片_https://www.jmylbn.com_新闻资讯_第25张

怎么取放射片研究--浅析下肢创伤中容易漏诊的X线片_https://www.jmylbn.com_新闻资讯_第26张

图10A、B - 两个异常骨折患者。A,65岁的妇女在商场后地面跌倒到急诊部。正位放射照片显示粉碎的股骨粗隆间骨折。她已经服用阿仑膦酸(Fosamax,Merck)10年的骨质疏松症。近端外侧股骨皮质(箭头)的异常增厚部分被创伤板遮蔽。B,46岁的男子在地面跌倒。前后放射照片显示股骨转子间股骨近端骨折与单独的小转子片段和明显的角度。在髓内丁放置时的病理学显示转移性癌症。


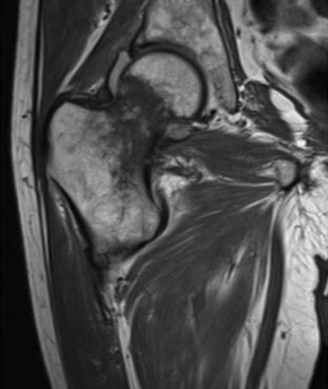
陷阱9:硬件放置后的骨折

骨折评估在硬件放置后的患者中是具有挑战性的,例如由于各种原因的骨折固定或关节置换所见[45,46]。密集重叠的金属密度可以限制硬件骨折或假体周围骨折的可视性。倾斜视图通常是有帮助的。诸如CT或MRI的横截面成像可以受到金属伪影的限制,并且应当在可用时使用修改的金属伪影减少协议来执行。硬件植入物改变宿主骨上的应力,导致应力屏蔽发生时的慢性骨丢失和应力集中的骨肥大。当经受创伤时,力倾向于集中在植入物和骨之间界面的位置。断裂通常在那些界面处开始,然后远离集中点传播。例如,髋关节植入物患者中的股骨骨折通常穿过股骨柄的尖端(图11)。通过具有内固定的骨的骨折通常穿过板的末端处的皮质。

怎么取放射片研究--浅析下肢创伤中容易漏诊的X线片_https://www.jmylbn.com_新闻资讯_第27张

怎么取放射片研究--浅析下肢创伤中容易漏诊的X线片_https://www.jmylbn.com_新闻资讯_第28张

图11A、B -54岁左侧全髋关节置换术的男性。A,骨盆正位片(A)和左侧髋部青蛙侧视图(B)显示股骨中轴延伸到股骨柄尖水平的倾斜骨折(箭头B)。

在射线照片上漏掉的大多数骨折是感知误差的结果。许多这些缺失发生在其中放射摄影解剖复杂的可预测位置。应该特别注意这些解剖部位可能会增加骨折风险。阅读X光片可以避免一些错误,但可能不实用或成本效益[47]。身体检查结果 - 最大疼痛和压痛的部位与X光片的精确相关性可能有帮助,即使它要求放射科医生检查患者。利用PACS和远程放射学,放射科医师可能距离患者一定距离,并且与检查患者的提供者的通信可能是放射科医师可以做的最好的。

当结果可能改变患者管理时,可能需要进一步的成像。虽然夹板和获取后续X光片都为上肢明智的选择,因为下肢是负重的,对于具有未诊断骨折或脱位的患者的相关发病率通常更大。CT是一个很好的即时选择; 然而,MRI常常提供对软组织损伤的更全面的评价,并且可以鉴别无错位的放射摄影和CT隐匿性骨折。一些研究人员报告,超声检查也可能在骨折诊断中发挥作用,但也许更多的是在护理点筛查[48],而不是解决射线照相隐蔽性骨折的问题。


参考文献:

1. Weisel BB, Saunders, RA, Weisel SW. Chapter 23: physical impairment ratings for fractures. In: Browner BD, Jupiter JB, Levine AM, Trafton PG, Krettek C, eds. Skeletal trauma: basic science, management, and reconstruction, 4th ed. Philadelphia, PA: Elsevier, 2009 

2. Whang JS, Baker SR, Patel R, Luk L, Castro A 3rd. The causes of medical malpractice suits against radiologists in the United States. Radiology 2013; 266:548–554

3. Wei CJ, Tsai WC, Tiu CM, Wu HT, Chiou HJ, Chang CY. Systematic analysis of missed extremity fractures in emergency radiology. Acta Radiol 2006; 47:710–717

4. Leeper WR, Leeper TJ, Vogt KN, Charyk-Stewart T, Gray DK, Parry NG. The role of trauma team leaders in missed injuries: does specialty matter? J Trauma Acute Care Surg 2013; 75:387–390 

5. van Rijn J, Dorleijn DM, Boetes B, Wiersma-Tuinstra S, Moonen S. Missing the Lisfranc fracture: a case report and review of the literature. J Foot Ankle Surg 2012; 51:270–274

6. van Dorp KB, de Vries MR, van der Elst M, Schepers T. Chopart joint injury: a study of outcome and morbidity. J Foot Ankle Surg 2010; 49:541–545 

7. Dorsay TA, Major NM, Helms CA. Cost-effectiveness of immediate MR imaging versus traditional follow-up for revealing radiographically occult scaphoid fracturesAJR 2001; 177:1257–1263

8. Brooks S, Cicuttini FM, Lim S, Taylor D, Stuckey SL, Wluka AE. Cost effectiveness of adding magnetic resonance imaging to the usual management of suspected scaphoid fracturesBr J Sports Med 2005; 39:75–79 

9. Blackmore CC, Mann FA, Wilson AJ., Helical CT in the primary trauma evaluation of the cervical spine: an evidence-based approach. Skeletal Radiol 2000; 29:632–639

10. Theocharopoulos N, Chatzakis G, Damilakis J. Is radiography justified for the evaluation of patients presenting with cervical spine trauma? Med Phys 2009; 36:4461–4470 

11. Krupinski EA, Williams MB, Andriole K, et al; ACR; AAPM; Society for Imaging Informatics in Medicine. Digital radiography image quality: image processing and display. J Am Coll Radiol 2007; 4:389–400 

12. American College of Radiology. ACR appropriateness criteria: acute hip pain—suspected fracture. American College of Radiology website. www.acr.org/˜/media/ACR/Documents/AppCriteria/Diagnostic/AcuteHipPainSuspectedFracture.pdf. Published 2013. Accessed May 15, 2014

13. Gill SK, Smith J, Fox R, Chesser TJ. Investigation of occult hip fractures: the use of CT and MRI. ScientificWorldJournal 2013; 2013:830319 

14. Lewis SL, Rees JI, Thomas GV, Williams LA. Pitfalls of bone scintigraphy in suspected hip fracturesBr J Radiol 1991; 64:403–408 

15. Yesilaras M, Aksay E, Atilla OD, Sever M, Kalenderer O. The accuracy of bedside ultrasonography as a diagnostic tool for the fifth metatarsal fracturesAm J Emerg Med 2014; 32:171–174 

16. Bolandparvaz S, Moharamzadeh P, Jamali K, et al. Comparing diagnostic accuracy of bedside ultrasound and radiography for bone fracture screening in multiple trauma patients at the ED. Am J Emerg Med 2013; 31:1583–1585 

17. Jibri Z, Mukherjee K, Kamath S, Mansour R. Frequently missed findings in acute ankle injury. Semin Musculoskelet Radiol 2013; 17:416–428

18. Er E, Kara PH, Oyar O, Ünlüer EE. Overlooked extremity fractures in the emergency department. Ulus Travma Acil Cerrahi Derg 2013; 19:25–28 

19. Levy BA, Vogt KJ, Herrera DA, Cole PA. Maisonneuve fracture equivalent with proximal tibiofibular dislocation: a case report and literature review. J Bone Joint Surg Am 2006; 88:1111–1116 

20. Okanobo H, Khurana B, Sheehan S, Duran-Mendicuti A, Arianjam A, Ledbetter S. Simplified diagnostic algorithm for Lauge-Hansen classification of ankle injuries. RadioGraphics 2012; 32:E71–E84 

21. Prokuski LJ, Saltzman CL. Challenging fractures of the foot and ankle. Radiol Clin North Am 1997; 35:655–670 

22. Dale JD, Ha AS, Chew FS. Update on talar fracture patterns: a large level I trauma center study. AJR 2013; 201:1087–1092 

23. Eraslan A, Ozyurek S, Erol B, Ercan E. Isolated medial cuneiform fracture: a commonly missed fractureBMJ Case Rep 2013; 2013:bcr2013010093

24. Olson RC, Mendicino SS, Rockett MS. Isolated medial cuneiform fracture: review of the literature and report of two cases. Foot Ankle Int 2000; 21:150–153

。。。。。。。。。。等等




对于一般疼痛和感觉异常的管理,我们团队通过多年临床摸索,在河北医科大学吴希瑞教授的指导下,深入研究了传统治疗方式和现代基础研究,形成了一套完整的治疗体系和理论体系,对于不同症状、不同病程,以及不同的临床特点,先后开发出“一针镇痛”技术、“皮内/皮下埋针”技术,“扳机点击打术”,以及“筋膜拉伸技术”,具有适应症广,见效快,痛苦少,费用低等临床特点,被医患人员广为赞誉

在临床实践中,我们团队逐步完善了理论基础,从现在基础研究层面多角度解释传统针灸到现代针刺技术的治疗效果,同时扩大了疾病库,涉及疼痛科,内科,外科,妇科及康复科,使之成为临床医生的好帮手。从起步到现在,我们已经培训了全国上千名专业医生,并把技术带回了本地,为本地人民服务,得到了患者的广泛好评。


专家简介
怎么取放射片研究--浅析下肢创伤中容易漏诊的X线片_https://www.jmylbn.com_新闻资讯_第29张真实病例

以下视频来源于

友智会务


精彩回放

怎么取放射片研究--浅析下肢创伤中容易漏诊的X线片_https://www.jmylbn.com_新闻资讯_第30张

怎么取放射片研究--浅析下肢创伤中容易漏诊的X线片_https://www.jmylbn.com_新闻资讯_第31张

怎么取放射片研究--浅析下肢创伤中容易漏诊的X线片_https://www.jmylbn.com_新闻资讯_第32张

怎么取放射片研究--浅析下肢创伤中容易漏诊的X线片_https://www.jmylbn.com_新闻资讯_第33张
怎么取放射片研究--浅析下肢创伤中容易漏诊的X线片_https://www.jmylbn.com_新闻资讯_第34张
怎么取放射片研究--浅析下肢创伤中容易漏诊的X线片_https://www.jmylbn.com_新闻资讯_第35张
怎么取放射片研究--浅析下肢创伤中容易漏诊的X线片_https://www.jmylbn.com_新闻资讯_第36张
怎么取放射片研究--浅析下肢创伤中容易漏诊的X线片_https://www.jmylbn.com_新闻资讯_第37张
怎么取放射片研究--浅析下肢创伤中容易漏诊的X线片_https://www.jmylbn.com_新闻资讯_第38张
怎么取放射片研究--浅析下肢创伤中容易漏诊的X线片_https://www.jmylbn.com_新闻资讯_第39张

怎么取放射片研究--浅析下肢创伤中容易漏诊的X线片_https://www.jmylbn.com_新闻资讯_第40张