怎么取放射片放射拍片中的“几何学”,临床医生和技师都掌握了吗?

新闻资讯2026-04-21 11:40:14

怎么取放射片放射拍片中的“几何学”,临床医生和技师都掌握了吗?_https://www.jmylbn.com_新闻资讯_第1张

来源:二师兄学影像

“几何学这个词语好像很久都没听说过了,在以前初中数学中到是学习过,貌似和我们医生技师也没啥关系。其实并不是这样,我们放射拍片中也有“几何学”,你们都知道吗?


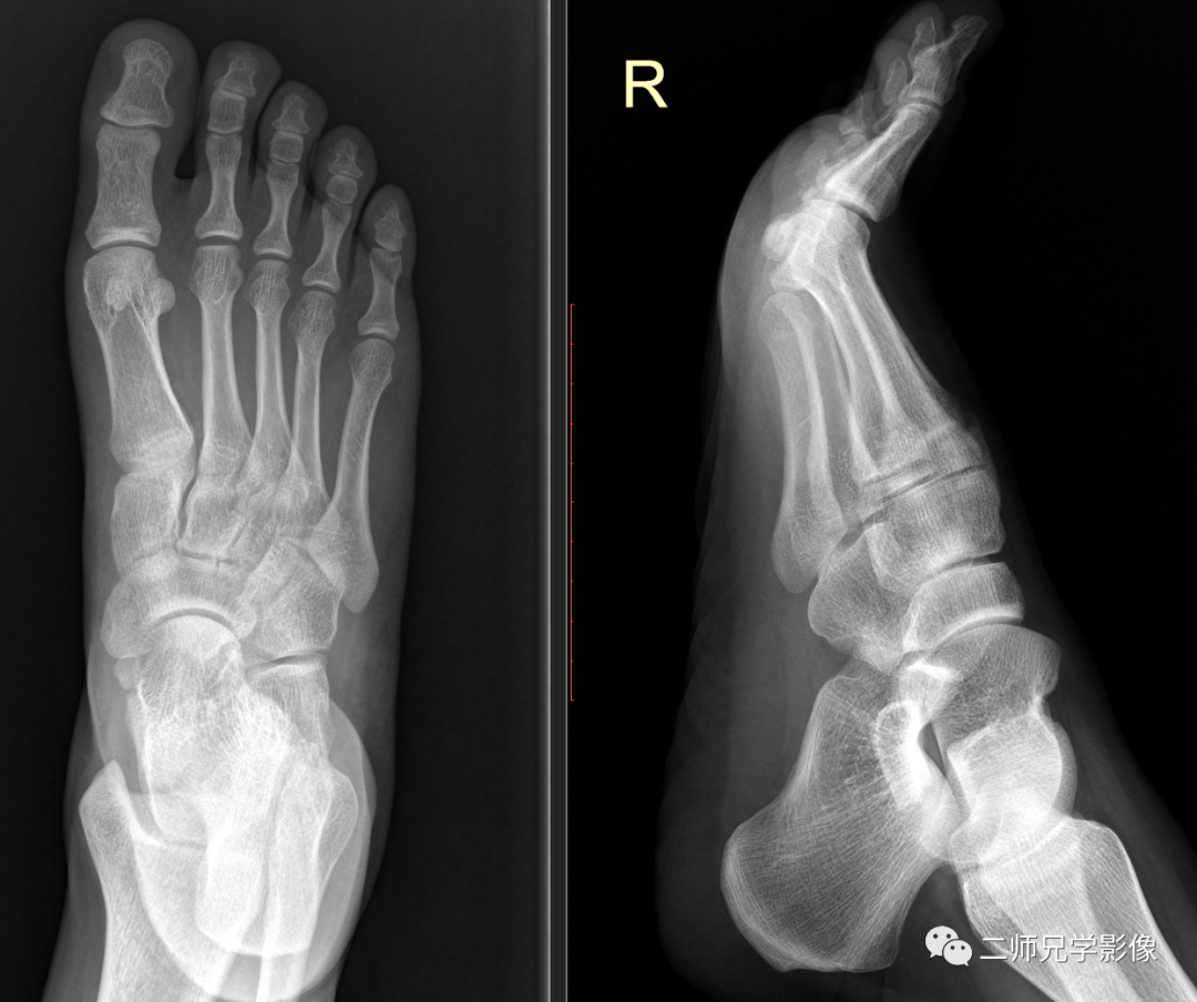
首先我们来看一个病例,临床表现:病人右足第一、二跖骨外伤疼痛,临床医生申请单开为右足正侧位。然后病人来到我们放射科进行拍片检查了。拍完过后如下图,大家有没有发现,右足侧位对第一、二跖骨显示不清,侧位片对显示第一、二跖骨效果并不好。


怎么取放射片放射拍片中的“几何学”,临床医生和技师都掌握了吗?_https://www.jmylbn.com_新闻资讯_第2张

个人认为右足侧位对第一、二跖骨显示不清,申请单应开成右足正斜位片效果更好。


那么为什么会出现上面那种情况呢?侧位片没有斜位片显示好,我们请看下面几幅图。


怎么取放射片放射拍片中的“几何学”,临床医生和技师都掌握了吗?_https://www.jmylbn.com_新闻资讯_第3张

图一:把三棱柱立起来,从长方形面拍摄,显示的就是立长方形影像


怎么取放射片放射拍片中的“几何学”,临床医生和技师都掌握了吗?_https://www.jmylbn.com_新闻资讯_第4张

图二:把三棱柱立起来,从三角形面拍摄,显示的就是立三角形影像


怎么取放射片放射拍片中的“几何学”,临床医生和技师都掌握了吗?_https://www.jmylbn.com_新闻资讯_第5张

图三:把平板立起来拍摄,显示的就是长方形的影像


怎么取放射片放射拍片中的“几何学”,临床医生和技师都掌握了吗?_https://www.jmylbn.com_新闻资讯_第6张

图四:把平板横放,显示的就是薄的横长方形的影像


怎么取放射片放射拍片中的“几何学”,临床医生和技师都掌握了吗?_https://www.jmylbn.com_新闻资讯_第7张

图五:把圆柱体立起来,显示的就是立的长方形影像


怎么取放射片放射拍片中的“几何学”,临床医生和技师都掌握了吗?_https://www.jmylbn.com_新闻资讯_第8张

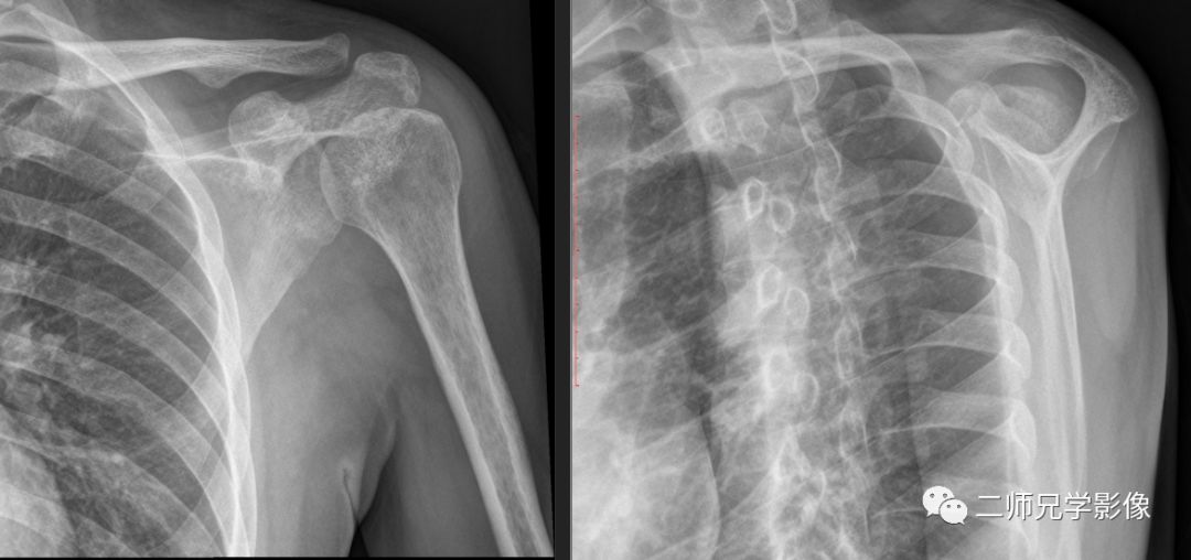
图六:拍摄肩胛骨时,从不同的位置和角度拍摄,显示出不同的影像


怎么取放射片放射拍片中的“几何学”,临床医生和技师都掌握了吗?_https://www.jmylbn.com_新闻资讯_第9张

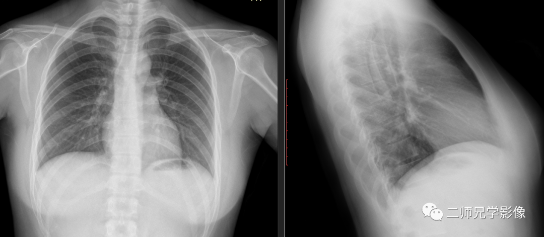
图七:拍摄肺部时,从不同的位置拍摄出不同的肺部影像


以上前五幅图片(图一至图五)就是从不同角度去拍摄不同物体,显示出不同的影像。同样,我们放射科拍片时也是一样的,同一个身体部位,从不同角度去拍摄,就会显示出不同的影像(图六图七)。


如果我们想要拍出能诊断的图像,就需要临床医生的正确开单和技师的丰富的操作经验。临床医生一定要合理开申请单,避免开错等 ;而技师也要正确操作,有时可能还需要加拍部位。


下面我们来看几例正确开单病例

病例一:小朋友左尺桡骨远端骨折复查,申请单:左腕关节正侧位

怎么取放射片放射拍片中的“几何学”,临床医生和技师都掌握了吗?_https://www.jmylbn.com_新闻资讯_第10张

左尺桡骨远端骨折,局部骨痂形成,断端对位良好


病例二:病人左胫骨平台骨折内固定复查,申请单:左胫腓骨正侧位(包膝)

怎么取放射片放射拍片中的“几何学”,临床医生和技师都掌握了吗?_https://www.jmylbn.com_新闻资讯_第11张

左胫骨平台骨折内固定术后改变


病例三:病人右颧骨骨折内固定复查,申请单:头颅正侧位

怎么取放射片放射拍片中的“几何学”,临床医生和技师都掌握了吗?_https://www.jmylbn.com_新闻资讯_第12张

右颧骨骨折内固定术后改变


病例四:病人右手指外伤,申请单:右手指正侧位

怎么取放射片放射拍片中的“几何学”,临床医生和技师都掌握了吗?_https://www.jmylbn.com_新闻资讯_第13张

右手第4指远节骨折,远端后移


注意事项:

临床医生注意事项(以下3点来源于骨科青年公众号骨科医生的个人总结)

1.对于特殊部位、特殊类型骨折,必须拍摄特殊体位片。
如:肩胛骨骨折,需拍摄肩胛骨正侧位片;髌骨骨折,需拍摄髌骨轴位(我曾因只拍摄髌骨正侧位漏诊过髌骨骨折);跟骨骨折,拍摄跟骨轴位等。

2.对于X线无法良好评估的骨折,必要时需拍摄CT。
尤其是对于足部、腕部骨折及髋部嵌插型骨折。对需要处理的骨折脱位,如肩关节脱位、肘关节脱位,复位前必须拍摄CT,评估有无骨折,避免不必要纠纷。

3.正确开具检查单的前提是对骨折、损伤等有预先的评估
只有在对患者充分的体检基础上,评估可能合并的损伤,才可能开具针对性的检查单。

放射技师注意事项

1.严重外伤病人,不方便移动的话,临床医生申请单尽管不要开一些复杂部位。

比如说要做手术要开一个常规胸片,就不要开胸部正侧位,只需要开一个胸部正位片即可。


2.临床医生开错部位或者对部位有出入时,最好电话联系开单医生,是否重开或者加拍。

比如,外伤病人的足部,临床医生开了正侧位,而斜位更能很好的显示,这个时候是否需要加拍斜位,是要得到临床医生的肯定。


3.临床医生要宣教和学习。

比如对于车祸病人,临床医生开了很多部位,有些部位是有重叠的,是否有必要拍摄。


4.拍片技师要有耐心和细心,不能马虎了事,任重而道远。

有些时候拍片切不能三心二意,“左”拍成“右”,给病人和医生带来了不必要的麻烦,严重的造成医疗纠纷。


个人总结:

对常规X线摄片,正位和侧位通常足以满足需要,但对于某些特殊部位或特殊类型损伤,单纯正侧位对辅助诊断意义不大,需拍摄斜位、轴位、某些结构的正侧位等!了解拍片中的“几何学”问题,临床医生可更有针对性地开具检查单。


放射科拍片可能大家认为是个很简单的事情,更有人说,我在大街上随便拉个人培训几天也都能拍。的确如此,但是我想说的是,会拍拍的好是两码事情,我们技师更应该要严格要求自己,我们不但要会拍片,更要拍好片。做一个合格的拍片技师,为病人服务。


好了,今天的分享就到这里了,希望大家喜欢。由于本人能力有限,思考的问题有一定的局限性,讲的东西也很表浅,没有具体分析。有讲的不正确的地方请指正,谢谢。


本文所有图片属于我公众号案例,所有图片均来源于原创,仅供学习交流,版权归原作者所有,并不代表我公众号观点。本公众号将不承担任何法律责任。如果有侵犯到您的权利,请及时联系我们删除。