心电图怎么切换导联原来读懂心电图可以如此简单!

新闻资讯2026-04-21 10:25:08

心电图怎么切换导联原来读懂心电图可以如此简单!_https://www.jmylbn.com_新闻资讯_第1张

心电图怎么切换导联原来读懂心电图可以如此简单!_https://www.jmylbn.com_新闻资讯_第2张

心电图作为一项常规检查项目而广泛应用于临床,它不仅在心血管疾病的诊治方面显得尤为重要,且在其他学科中也存有一定的辅助诊断价值。


心电图怎么切换导联原来读懂心电图可以如此简单!_https://www.jmylbn.com_新闻资讯_第3张
心电图怎么切换导联原来读懂心电图可以如此简单!_https://www.jmylbn.com_新闻资讯_第4张

先重温一下常规体表心电图的基本概念。常规体表心电图导联包括6个肢体导联(I、II、III、aVR、aVL、aVF)和6个胸导联(V1-V6),共12个导联。标准12导联中,I、II和III导联为双极肢体导联,而aVR、aVL和aVF导联为单极加压肢体导联,V1-V6导联为单极胸前导联。


接下来,我们就来学习一下,心电图判读的基本步骤:



第1步:看心电图而不能只看心电图


当我们拿到一份心电图时,首先要学会结合病史来分析心电图,并进行整体把握;同时要与之前的心电图进行对比分析,并关注心电图的动态变化;结合其它化验检查来分析心电图,有时还需结合腔内电生理的检查结果。


 病例1


76岁男性,确诊肺小细胞恶性肿瘤,本次未行第2周期化疗入院,入院第二天患者诉憋气,咳嗽带少许血丝,急查心电图(图1),考虑心电图胸导联T波改变的原因是什么?


心电图怎么切换导联原来读懂心电图可以如此简单!_https://www.jmylbn.com_新闻资讯_第5张

图1:急查心电图


 病例1(续)


对比患者上一周期化疗心电图(图2)。追溯患者病史:入院前3天开始出现憋气,上一周期化疗出院后长期卧床。急查肌钙蛋白(TNI)未见明显异常,D二聚体(D-Dimer)提示19.79 mg/L。


心电图怎么切换导联原来读懂心电图可以如此简单!_https://www.jmylbn.com_新闻资讯_第6张

图2:患者上一周期化疗心电图


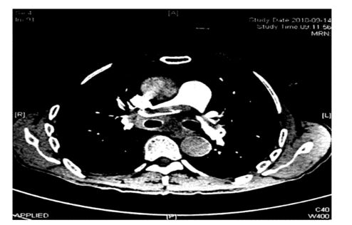
 病例1(续)


肺动脉CT(图3)证实为肺动脉骑跨栓。


心电图怎么切换导联原来读懂心电图可以如此简单!_https://www.jmylbn.com_新闻资讯_第7张

图3:患者行肺动脉CT检查


■ 病例1分析


T波倒置的产生可以有很多原因,如心肌缺血、右心系统疾病、微循环障碍等等,对比患者之前的心电图,发现T波存在着动态变化,结合患者长期卧床的病史,急查D-Dimer示升高,经肺动脉CT证实为肺动脉骑跨栓。



第2步:确定心电图描记参数正常,无伪差


在更详细地判读心电图之前,我们需在心电图上确定描记时的基本参数。在没有特殊的条件或要求时,国际上规定心电图的走纸速度为25 mm/s,标准电压10 mm/mV。


而在特殊情况下,例如宽窄QRS波心动过速的鉴别诊断时,可以利用加快走纸速度或者调整振幅的方法,使得P波更易识别,有助于复杂心律失常的诊断与鉴别诊断。心电图描记时常见的伪差有骨骼肌震颤、肢体移动、网络设备的电干扰、电极移动等因素。

心电图怎么切换导联原来读懂心电图可以如此简单!_https://www.jmylbn.com_新闻资讯_第8张

图4:心电图标准参数


 病例2


58岁男性,突发憋气伴咽部紧缩感3天,由救护车送入急诊,救护车心电图见图5。


心电图怎么切换导联原来读懂心电图可以如此简单!_https://www.jmylbn.com_新闻资讯_第9张

图5:患者救护车心电图


■ 病例2(续)


急诊心电图如图6,胸前导联T波倒置,较前明显变化,考虑急性冠脉综合征?


心电图怎么切换导联原来读懂心电图可以如此简单!_https://www.jmylbn.com_新闻资讯_第10张

图6:急诊心电图


■ 病例2(续)


患者行冠脉造影检查(图7),示冠状动脉未见异常,左室扩大。


心电图怎么切换导联原来读懂心电图可以如此简单!_https://www.jmylbn.com_新闻资讯_第11张

图7:冠脉造影


 病例2(续)


心电图怎么切换导联原来读懂心电图可以如此简单!_https://www.jmylbn.com_新闻资讯_第12张

图8:救护车心电图和急诊心电图之间存在着心电描记的振幅不同


■ 病例2分析


因为没有注意到救护车心电图和急诊心电图之间存在着心电描记的振幅不同,因而出现图形的“动态变化”,最终造成该患者的心电图判读错误。



第3步:是不是窦性心律?


在正常情况下,窦房结控制着心脏的搏动,但窦房结的激动很微小,体表心电图是不可能看到的。


窦性心律的P波在额面上的电轴(由肢体导联确定)为0°~+75°,多数在+45°~+60°。因此,在I和II导联,P波通常直立;而在aVR导联,P波倒置。III导联的P波可以是直立、双向或者倒置。若P波双向时,则先正后负;aVL导联P波的极性变化不定,P波倒置相对常见。若呈双向,则先负后正;aVF导联P波通常直立,但有时也呈双向或低平。


 病例3


图9为窦性心律?


心电图怎么切换导联原来读懂心电图可以如此简单!_https://www.jmylbn.com_新闻资讯_第13张

图9:左右上肢导线接反的心电图表现


■ 病例3分析:


左右上肢导线接反,I导联上下反转,II、III导联颠倒,aVR和aVL导联颠倒。患者胸导联并不存在着逆递增,因此不是右位心,而是心电图操作时左右手导线接反所致。


窦性P波一般在II导联和V1导联最明显,在肢体导联P波振幅不超过0.25 mV,在胸前导联中直立的P波振幅不超过0.15 mV。正常窦性P波的时限不超过0.11 s,P波较小在临床上一般没有重要意义。



第4步:心律齐不齐、心率快不快?


当我们进行心律失常的鉴别诊断时,首先需判断心律是否匀齐,心率是否异常增快或减慢。当心室率小于60次/分时,可判定为心动过缓。心动过缓的原因有窦性心动过缓、逸搏心律、房室阻滞等;当心室率大于100 次/分时,可判定为心动过速。心动过速的原因有窦性心动过速、室上性心动过速、室性心动过速等。


再根据心律是否匀齐进一步判读,若心律不齐且不存在P波,需考虑心房颤动或心房扑动的可能;若心律匀齐,存在P波,则需考虑正常的窦性心律或者异位P波的存在。最后需要根据QRS波是否增宽及P波频率与QRS波频率的关系,再行进一步的诊断与鉴别诊断。


心电图怎么切换导联原来读懂心电图可以如此简单!_https://www.jmylbn.com_新闻资讯_第14张

图10:心律失常鉴别诊断的简易流程图



第5步:QRS波额面电轴


正常成人电轴分布在-30°~+90°之间;电轴左偏的范围在-30°~-90°;电轴右偏的范围在+90°~±180°。电轴在-90°~±180°称“无人区”电轴或不确定电轴。


心电图怎么切换导联原来读懂心电图可以如此简单!_https://www.jmylbn.com_新闻资讯_第15张

图11:心电轴的分类示意图


如图12所示,根据I导联、III导联(或aVF导联)可以简单而快速地明确额面心电轴。


心电图怎么切换导联原来读懂心电图可以如此简单!_https://www.jmylbn.com_新闻资讯_第16张

图12:心电轴的简易判读法


评价额面心电轴结果时需考虑生理与病理两方面的因素。


  • 心电轴轻度右偏时,需考虑生理因素的影响,临床意义小,当超过+110°时多提示心脏不正常;


  • 同样心电轴轻度左偏仅提示有心脏异常的可能,而小于-30°时,多数是心脏存在异常的肯定证据。


  • 而无人区心电轴属于心电轴重度右偏或左偏,更应当视为心电图的病理性表现。


 病例4


47岁男性,图13A为窦性心律,图13B为宽QRS心动过速,电轴位于无人区确诊为室速,经射频消融后室速得以根治。


心电图怎么切换导联原来读懂心电图可以如此简单!_https://www.jmylbn.com_新闻资讯_第17张

心电图怎么切换导联原来读懂心电图可以如此简单!_https://www.jmylbn.com_新闻资讯_第18张

心电图怎么切换导联原来读懂心电图可以如此简单!_https://www.jmylbn.com_新闻资讯_第19张

心电图怎么切换导联原来读懂心电图可以如此简单!_https://www.jmylbn.com_新闻资讯_第20张

图13:A:窦性心律;B:宽QRS心动过速


 病例4分析:


宽QRS波心动过速伴无人区电轴:可确定该心动过速为室速而不是室上速伴差传或预激,应用无人区电轴鉴别宽QRS波性心动过速的方法简单、高效。



第6步:PR间期、P波与QRS波的关系


PR间期的时限在一定范围内随窦性心律的频率变化而变化,成人PR间期正常范围在0.12~0.20 s,儿童在0.11~0.18 s。


PR间期缩短的常见原因有:预激综合征,低位右房节律,干扰性房室脱节,正常的个体差异,交感神经张力增高和心率增快,药物影响,测量误差和年龄因素等。PR间期延长的常见原因有:房室传导阻滞,房室结双径路慢径传导,干扰性PR间期延长,迷走神经张力增高等


心电图怎么切换导联原来读懂心电图可以如此简单!_https://www.jmylbn.com_新闻资讯_第21张

图14:PR间期的异常数值及其临床意义


有些患者的PR间期过度延长是因房室结慢径路下传引起的,可间歇性出现,心电图表现为间歇性PR间期过度延长,这类患者的心动过速症状也呈间歇性,用射频消融阻断慢径路的传导,随着PR间期过度延长的根治,症状也将消失。


■ 病例5


41岁女性,主因“反复晕厥3年,再发晕厥伴心慌2周”入院,急诊心电图如图15,该病人晕厥的原因是什么?这个病人应该放起搏器吗?


心电图怎么切换导联原来读懂心电图可以如此简单!_https://www.jmylbn.com_新闻资讯_第22张

图15:急诊心电图


■ 病例5分析:


从12导联心电图上可以看到,P波和QRS波之间呈完全性阻滞性房室分离,该患者晕厥的原因是存在三度房室阻滞,应植入起搏器。



第7步:QRS波的时限测量


正常成人QRS时限为0.06 s~0.10 s,个别可达0.11 s,儿童上限为0.09 s。QRS时限代表心室激动持续的时间。


QRS波时限增宽>0.12 s常见的原因有:完全性左束支阻滞,完全性右束支阻滞,预激综合征,室性心动过速等。QRS波时限增宽介于0.10 s~0.12 s之间常见的原因有:室内阻滞,不完全性右束支阻滞等。


心电图怎么切换导联原来读懂心电图可以如此简单!_https://www.jmylbn.com_新闻资讯_第23张

图16:QRS波时限的异常数值及其临床意义



第8步:QRS波的振幅测量


 QRS波振幅降低:


  • 肢体导联低电压:三个标准导联(I、II和III导联)或三个单极加压肢体导联(aVR、aVL和aVF导联),每个导联的QRS波振幅均小于0.5 mV。


  • 胸导联低电压:所有胸导联(V1~V6导联),每个导联的QRS波振幅小于1.0 mV。


■ 低电压的临床意义


  • 心外因素:常见于肺气肿、胸腔积液及积气、心包积液、过度肥胖、甲状腺功能减退等。


  • 心内因素:心肌梗死:大面积心肌梗死者,出现低电压,常提示预后不良;扩张性心肌病;心力衰竭;心肌淀粉样变。


  • 正常人群:约有1%的正常人可出现低电压。


 QRS波振幅增高:


  • 左心室肥厚:①QRS波群电压改变;②QRS波群时限延长,一般<0.11 s;③QRS波群电轴左偏,一般<-30°;④ST-T改变:可见R波为主的导联下移≥0.05 mV,同导联T波低平、倒置或呈负正双向。诊断可能存在左心室肥厚时,需除外心室起搏、高钾血症、预激综合征、体型瘦弱的病人、运动员和年轻人均可常见QRS波振幅增高,但不伴随左心室肥厚。


  • 右心室肥厚:①QRS波群形态和电压改变;②心电轴右偏>+110°;③ST-T改变:V1~V3导联ST段下移,T波双向或倒置。


心电图怎么切换导联原来读懂心电图可以如此简单!_https://www.jmylbn.com_新闻资讯_第24张

图17:QRS波振幅的异常数值及其临床意义



第9步:胸前导联R波递增有无异常


胸前导联的R波振幅从右胸导联(V1、V2导联)到左胸导联(V4~V6导联)逐渐递增。V1导联可以呈QS型,但呈RS型时,R波振幅应<0.6 mV;V4导联的R波振幅最高,其次是V5、V6导联,V6导联的R波振幅一般低于V5导联。胸前导联R波振幅随年龄增长而逐渐减低。


胸导联R波递增缓慢常见的原因有:前壁心肌梗死、失代偿性心衰、胸导联电极放置错误(尤其是肥胖女性) 、左心室肥厚、完全性左束支阻滞、预激综合征、张力性气胸伴纵膈移位、先天性心脏病等。


心电图怎么切换导联原来读懂心电图可以如此简单!_https://www.jmylbn.com_新闻资讯_第25张

图18:胸导联R波正常递增及递增缓慢示意图


胸导联R波呈逆递增表现为:V1导联以R波为主,V1导联到V5导联R波振幅逐渐降低。胸导联R波逆递增时,若呈现窄QRS波时,可见于右心室肥厚、后壁心梗(或侧后壁心梗)、右位心、胸导联电极位置错误、少见的正常变异等。


胸导联R波逆递增时,若呈现宽QRS波时,可见于右束支传导阻滞、预激综合征等。



第10步:QT间期


QT间期随心率的改变而变化,心率加快QT缩短;心率减慢QT延长。为了消除心率对QT间期的影响,需计算出校正的QT间期(QTc)。


Bazett公式:QTc=QT/√RR(QT为实测的QT间期),目前临床认定的QTc正常值为<440 ms。(见图19)


心电图怎么切换导联原来读懂心电图可以如此简单!_https://www.jmylbn.com_新闻资讯_第26张

图19:QTc间期的参考范围


QT间期异常的原因有:遗传性LQT,需注意病史询问加以鉴别;获得性LQT,药物因素或电解质失衡为常见因素。


短QT综合征于2000年首次提出,非常罕见,常用的诊断标准:QTc≤330 ms,短QT间期会使房颤和室颤的风险增加。近年来推荐的QT间期延长的标准为:男性QTc≥450 ms,女性QTc≥470 ms;若患者QTc≥500 ms时,会使早期后除极、尖端扭转性室速(短-长-短周期现象)的风险增加。


心电图怎么切换导联原来读懂心电图可以如此简单!_https://www.jmylbn.com_新闻资讯_第27张

图20:QTc间期异常的参考范围及其临床意义



第11步:T波


T波方向多与同导联QRS主波一致。所有以R波为主的导联上,T波振幅均不能低于同导联R波的1/10,不能双向、倒置。


若常规心电图中有3个以上导联出现高耸T波,其振幅≥1.0 mV或以R波为主导联T波振幅高于同导联QRS波群的振幅,均称为T波高耸。常见的原因有高钾血症、超急性心肌梗死、正常变异等。


心电图怎么切换导联原来读懂心电图可以如此简单!_https://www.jmylbn.com_新闻资讯_第28张

图21:A:高钾血症图;B:超急性心肌梗死图;C:正常变异


其他异常形态的T波有:T波倒置、T波双向、T波低平等。T波“双峰”:可见于严重的低钾血症,显著u波融合于T波终末;有时隐藏P波与T波重叠,如窦性心动过速、各种类型房室阻滞。


心电图怎么切换导联原来读懂心电图可以如此简单!_https://www.jmylbn.com_新闻资讯_第29张

图22:T波的异常形态及其临床意义



第12步:u波


u波是在T波后20 ms~40 ms出现的小圆波,正常情况下u波可出现也可不出现。u波产生的确切机制尚未肯定。


心电图怎么切换导联原来读懂心电图可以如此简单!_https://www.jmylbn.com_新闻资讯_第30张

图23:u波的形态及其临床意义



第13步:ST段


正常人成人肢体导联ST段呈等电位线;ST段抬高或压低<0.1 mV为上限;右胸导联(V1~V3导联)ST段上移可达0.1 mV~0.3 mV;左胸导联(V4~V6导联)抬高上限<0.1 mV;所有胸导联的ST段压低均应<0.05 mV~0.1 mV。


心电图怎么切换导联原来读懂心电图可以如此简单!_https://www.jmylbn.com_新闻资讯_第31张

图24:ST段的测量方式


ST段抬高的主要类型有:凹面向上型、弓背向上型、平顶型(水平型)、斜直向上型(上斜型)、墓碑型(见图26)。


心电图怎么切换导联原来读懂心电图可以如此简单!_https://www.jmylbn.com_新闻资讯_第32张

图25:ST段抬高的类型


ST段压低常见的原因有:心肌缺血(最常见)、心内膜下心梗、急性心梗的镜面像、药物作用等(如图26A,B)。ST段抬高常见的原因有:急性心梗(弓背向上型)、透壁型心肌缺血、室壁瘤(急性心梗后ST段持续抬高)、心包炎、早复极表现等(如图27A,B)。


心电图怎么切换导联原来读懂心电图可以如此简单!_https://www.jmylbn.com_新闻资讯_第33张

图23:A:早期心梗的缺血性改变;B:洋地黄效应


心电图怎么切换导联原来读懂心电图可以如此简单!_https://www.jmylbn.com_新闻资讯_第34张

图27:A:急性心梗(弓背向上型);B:心包炎


小 结 


  1. 心电图判读时应结合患者病史,并与之前的心电图对比分析,动态观察心电图变化(看图又不只看图)


  2. 确保心电图描记的参数正常,无伪差或导联接反(图形描记正确)


  3. 从P波开始,到U波结束,序贯分析每份心电图上的各个波形(序贯看图法)


  4. 牢记正常情况下各个波形的特点,并理解异常图形的产生机制(知正常方能识异常)



心电图怎么切换导联原来读懂心电图可以如此简单!_https://www.jmylbn.com_新闻资讯_第35张


「有用就扩散」

来源|医学界心血管频道
版权归原作者所有,如有违规、侵权请联系我们

大家都在看



低血压

葡萄膜炎

低镁血症

低磷血症

胎儿心脏彩超

未分化结缔组织病

神经科普之脑震荡

病态窦房结综合征

急性肠系膜血管栓塞

一文读懂心源性休克

一文详解干燥综合征

中国1120心梗救治日

Bowen's,你见过吗?

什么是疣?(寻常疣)

浅谈Takotsubo综合征

HELLP综合征的前世今生

POEMS综合征是咋回事?

“Alport综合症”是咋回事

我是个护士,你会爱我多久?

冠心病,看这篇文章就够了!

一分钟让你知道什么是白内障

新冠防控方案 (第八版)PPT

胡桃夹综合征(含后胡桃夹综合征)

美国单纯按压式心肺复苏中文版视频

脑动脉瘤的发生和治疗动画及护理大全

学会这项技术,关键的时候是可以救命

5.17世界高血压日丨健康血压,健康人生

如果不是因为乳腺增生,也许我们已经·····

【420痛风日】关于痛风,这篇文章说透了!

呼吸道合胞病毒是个什么鬼?你们听过吗?

别再催核酸报告了,看完这篇文章就明白了!

什么是声带白斑?哪些人群容易得声带白斑?

世界早产儿日: 母乳喂养为早产宝宝赋爱·赋能

情人节“作”死指南,让医生后怕的啪啪啪案例!

世界防治结核病日| 终结结核流行,自由健康呼吸

重磅!新冠病毒感染诊疗方案(试行第十版)发布

什么是阿斯伯格综合症(Asperger’s Syndrome)?

“世界艾滋病日”——“携手防疫抗艾,共担健康责任”

高三的儿子坚持要学医,医生父亲连夜写出这份知情同意书 

注意!反腐新规:医生不许进娱乐场所,办公室不许有未拆封烟酒

“春天到了,我却闻不到花香” —性幼稚伴有失嗅的卡尔曼综合征

全国重症患者逐渐增多,多地通报疫情高峰将到来,国家卫健委回应

“乙类乙管”正式实施!第十版防控方案有何调整,对病毒监测、疫苗接种等有何要求?春节出行怎样做好防护?……权威解答来了!

抢救几个小时,没保住23岁小伙的命!一定要学点急救知识,关键时刻能救命!



看完记得分享哦


服务医生,期待支持!

《好医师》为旗下超 100万读者诚邀广大医友分享您的佳作,让更多医生受益,欢迎广大医师投稿:980151516@qq.com,另如有版权争议或频道建议与需要均可在频道后台留言或直接加小编QQ(980151516)或者微信沟通,本文仅供医疗卫生等专业人士参考,不代表本平台观点。谢谢!