彩超logiq怎么读B超、彩超“傻傻分不清楚”?其实区别就在这!

新闻资讯2026-04-21 09:59:47


最近小编发现

许多小伙伴们在就医或体检时

都有这么个疑问

明明体检单上的项目是彩超

怎么做的时候却发现“黑白”的呢?

彩超和B超又如何区分?

今天,古蔺县中医医院

超声科主任熊丽医生就为您解答

大家不如就一起了解下吧!



彩超logiq怎么读B超、彩超“傻傻分不清楚”?其实区别就在这!_https://www.jmylbn.com_新闻资讯_第1张

熊 丽 超声科主任,主治医师,毕业于成都中医学院。从事超声诊断工作20余年。擅长于胸腹部脏器、浅表器官、心血管、妇产科及儿科超声检查。曾先后多次到西南医科大学及重庆新桥医院等进修学习,有着丰富的超声检查经验,受到患者的一致好评。




彩超就是彩色的B超吗?



彩超logiq怎么读B超、彩超“傻傻分不清楚”?其实区别就在这!_https://www.jmylbn.com_新闻资讯_第2张

很多人都会误认为彩超就是彩色的B超,其实这是一种完全错误的看法。彩超和B超的主要区别可不是像彩电和黑白电视机那样简单。所谓的彩超是彩色多普勒超声的简称,B超是B型超声的简称。彩超和B超是两种完全不相同的仪器,而不是人们想象的类似彩色电视机与黑白电视机的简单颜色区别,彩超不是彩色B超。


什么是B超或彩超,到底B超还是彩超更准确呢?


彩超logiq怎么读B超、彩超“傻傻分不清楚”?其实区别就在这!_https://www.jmylbn.com_新闻资讯_第3张

广义上B超泛指做超声这项检查,但B超和彩超本质上其实又有很大区别。超声诊断仪按其诊断技术原理分了以下几类。

彩超logiq怎么读B超、彩超“傻傻分不清楚”?其实区别就在这!_https://www.jmylbn.com_新闻资讯_第4张

一、A型超声:即振幅调制型超声仪。

工作原理:以超声的传播和反射时间为横坐标,以反射波幅为纵坐标,以波的形式显示回声图。当声阻抗差为零时,则呈现无回声段。

彩超logiq怎么读B超、彩超“傻傻分不清楚”?其实区别就在这!_https://www.jmylbn.com_新闻资讯_第5张

应用范围:目前仍可应用在:脑中线探测;眼球探测;胸腔积液探测;心包积液探测;肝脓肿探测。

A型超声应用范围较小目前基本已为B型超声替代,同时又是其他超声诊断的基础。目前超声科所配备的超声诊断仪大多都是集各种超声技术为一体的,所以单纯的A超已经很少见。


二、B型超声:即辉度调制型超声仪,全称为实时灰阶二维显像仪,二维超声图像如用伪彩色编码显示,称为B型彩色仪(B彩)。这也就是我们所说的B超。那么B超也不只是黑白图哦。他也有彩图,也就是我们常用的B彩(或伪彩),这种技术也对疾病非常有用,如在囊肿的判断上有着特殊的功能,观察效果极好。

彩超logiq怎么读B超、彩超“傻傻分不清楚”?其实区别就在这!_https://www.jmylbn.com_新闻资讯_第6张


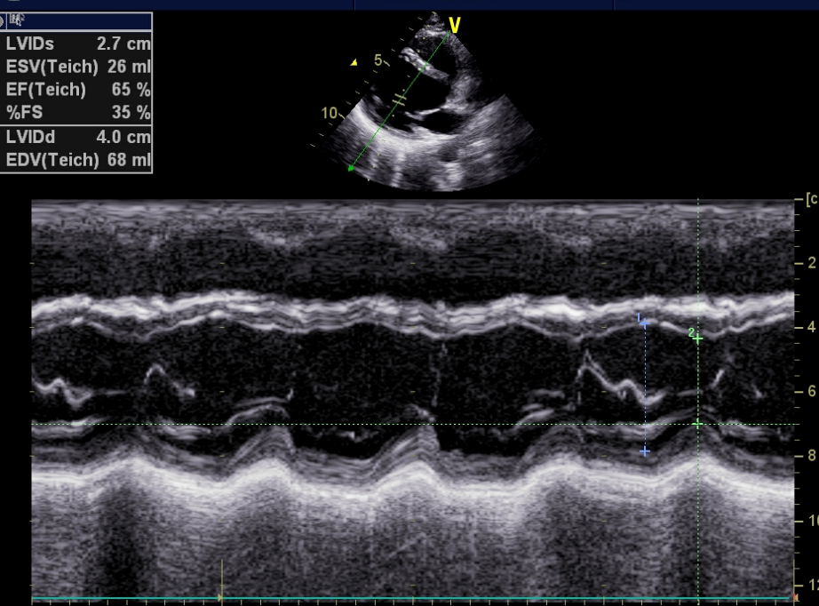
三、M型超声:也属辉度调制型,与A型不同的是,M型是辉度扫描,以运动曲线显示。

工作原理:为一维超声,是B型诊断仪的一种特型,采用辉度调制,在水平偏转板上加入一对慢扫描锯齿波,其横坐标表示时间,纵坐标表示距离。

彩超logiq怎么读B超、彩超“傻傻分不清楚”?其实区别就在这!_https://www.jmylbn.com_新闻资讯_第7张

应用范围:多用于心脏检查

(1)心脏的前后方向结构层次

(2)测量心腔前后径及厚度

(3)观察运动轨迹

(4)测量心动功能


四、频谱多普勒型超声:脉冲波多普勒或连续波多普勒超声。
1.PW(脉冲波多普勒)

彩超logiq怎么读B超、彩超“傻傻分不清楚”?其实区别就在这!_https://www.jmylbn.com_新闻资讯_第8张

工作原理:应用多普勒效应,检测人体组织、器官的血流信息。与二维图像相结合能做出更准确的诊断。分为脉冲多普勒(PW)和连续多普勒(CW)。
应用范围:判断血流方向、判断血流性质;测定血流速度及压力阶差;评价心脏功能;检测异常分流、反流。


2.CW(连续波多普勒)
定量估测分流量及反流量;估测各房室腔内的压力;通过多普勒信号声调,估测血流性质、血流速度等。


五、彩色多普勒超声:成像技术或兼备彩色能量多普勒功能。
工作原理:用彩色编码技术显示血流影像。设定流向探头的血流为红色,背离探头的血流为蓝色,湍流为绿色。颜色的辉度与速度成正比。

彩超logiq怎么读B超、彩超“傻傻分不清楚”?其实区别就在这!_https://www.jmylbn.com_新闻资讯_第9张

应用范围:彩色多普勒成像系统所显示的最大血流速度的彩色图像十分清晰,与M型、二维超声和频谱多普勒超声结合,可获可靠的诊断信息。


六、彩色多普勒能量超声

彩超logiq怎么读B超、彩超“傻傻分不清楚”?其实区别就在这!_https://www.jmylbn.com_新闻资讯_第10张

工作原理:彩色多普勒能量超声成像(CDE)与CDFI有所不同,CDFI能反映血流速度、加速度和方向变化,但这些信息受探测角度的影响较大。而CDE则堤取和显示多普勒信号的第三种参数:能量信号强度。
应用范围:能够显示较微小血管和弯曲迂回的血管更易显示,能有效地显示低速血流和平均速度为零的灌注区。能对腹腔内脏器占住病变中的滋养血管、肿瘤血管和某些部位血流灌注提供重要信息。


七、超声三维成像:
把二维成像重建成三维图像,也可包括血流的彩色多普勒三维成像。
工作原理:三维超声成像分为静态三维成像和动态三维成像,动态三维成像有时间因素(心动周期)。用整体显像法重建感兴趣区域准实时活动的三维图像,亦称四维超声心动图。静态与动态三维超声成像重建的原理基本相同,均系二维图像的三维重建。


八、血管内超声成像:运用心导管技术,可有二维超声成像、频谱多普勒测流速测量等功能。


九、心内超声成像:运用心导管技术可有二维超声成像频谱多普勒测流速、彩色多普勒血流成像等功能。

综上所述,B超和彩超本质上是有区别的,超声医生是用B型超声在二维超声下观察脏器情况,再应用M超、CDFI、CED血流成像、PW、CW血流频谱及三维成像及心血管内成像等多功能所扫查的超声即彩超。只是大家习惯性的称呼他为B超或彩超。


总的来说,彩超与B超的区别不是超声屏幕上有没有颜色,而是彩超性能明显优于B超。彩超除了具有比B超高清的分辨率外,还有具有更多的功能,可以检查的范围更广,细节方面也更加详细。



科 室 简 介 

彩超logiq怎么读B超、彩超“傻傻分不清楚”?其实区别就在这!_https://www.jmylbn.com_新闻资讯_第11张

古蔺县中医医院超声科位于医技楼一楼,使用面积300余平方米,科室流程设置及管理科学、规范,运行体系完善。现有专业技术人员10人,其中,主治医师2人,执业医师4人,执业助理医师2人,护理人员2人。科室先后选派骨干人员到华西附二院、重庆新桥医院、成都市第一人民医院及西南医科大学附属医院等进修学习,对各种常见病及疑难杂症的超声诊断具有丰富的临床经验。

超声科配置的仪器设备:GE-ViVid E80心脏、血管专用高档彩超、GE-LOGIQ P5、GE-LOGIQ C9腹部彩超、邦健Iocare iE 300及邦健Iocare iE 1210心电图机等各种先进医疗仪器设备,配置了一流的液晶喊号系统及先进的PACS系统等。

超声科广泛开展心脏、腹部、胎儿、小儿、外周血管、肌骨、浅表器官(包括眼睛、甲状腺、乳腺、全身浅表占位及淋巴结)等全身各部位、多脏器的超声检查、胃肠造影、阴道超声、盆底超声检查及超声引导下人流、取环、穿刺等诊治工作;24小时心电图常规检查及急诊、床旁心电图检查,可满足临床科室床旁24小时急诊。

全科室人员努力专研,不断自我完善、更新,将以更加饱满的热情,更加精湛的服务技能,更加完美的服务质量,更加整洁的医疗环境为病人提供更优质、更高效的诊疗服务。

科室地址:古蔺县中医医院医技楼底楼(右侧)

科室联系电话:0830—7030228

医院急救电话:“120”或0830—7101999

供稿:熊   丽

编辑:冯   蕾

审核:姜雪丽

点击下面关键词,了解更多健康资讯:

名医推介--张定芳|中药汤剂的煎煮及服用方法

滚蛋吧肿瘤君|如何早期识别肾脏肿瘤

医生口中清淡饮食怎么吃|小龙虾怎么吃健康

彩超logiq怎么读B超、彩超“傻傻分不清楚”?其实区别就在这!_https://www.jmylbn.com_新闻资讯_第12张
彩超logiq怎么读B超、彩超“傻傻分不清楚”?其实区别就在这!_https://www.jmylbn.com_新闻资讯_第13张

您点的每个赞和在看,我们都认真当成了喜欢