什么是联影ct真香预警?联影医疗双宽体双源CT大揭秘!TA竟然可以看到心脏的高清运动!

新闻资讯2026-04-23 19:51:09

什么是联影ct真香预警?联影医疗双宽体双源CT大揭秘!TA竟然可以看到心脏的高清运动!_https://www.jmylbn.com_新闻资讯_第1张

什么是联影ct真香预警?联影医疗双宽体双源CT大揭秘!TA竟然可以看到心脏的高清运动!_https://www.jmylbn.com_新闻资讯_第2张



各位看官,文章伊始,

有请诸位且看此图像为何?


什么是联影ct真香预警?联影医疗双宽体双源CT大揭秘!TA竟然可以看到心脏的高清运动!_https://www.jmylbn.com_新闻资讯_第3张


您觉得该图是?点击选项前小圆圈答题:

DSA
CT
MR
X线摄影


您道此乃DSA?列位莫急,暂容小编卖个关子,且看下一图!


什么是联影ct真香预警?联影医疗双宽体双源CT大揭秘!TA竟然可以看到心脏的高清运动!_https://www.jmylbn.com_新闻资讯_第4张


您觉得该图是?点击选项前小圆圈答题:

DSA
CT
MR
X线摄影


恍惚之间,是否只觉此为MRI?


什么是联影ct真香预警?联影医疗双宽体双源CT大揭秘!TA竟然可以看到心脏的高清运动!_https://www.jmylbn.com_新闻资讯_第5张


您要问这是何方神物?


上述二图,皆出自同一人、同一种、同一次检查图像,乃冠脉CTA图像


什么是联影ct真香预警?联影医疗双宽体双源CT大揭秘!TA竟然可以看到心脏的高清运动!_https://www.jmylbn.com_新闻资讯_第6张


惊喜不止于此,下图更高能!


什么是联影ct真香预警?联影医疗双宽体双源CT大揭秘!TA竟然可以看到心脏的高清运动!_https://www.jmylbn.com_新闻资讯_第7张

全心4D电影图像


做一次冠脉CTA,如何生成这种类DSA、类MR以及全心4D电影图像呢?欲知冠脉CTA七十二般变化,且听我细细道来~



什么是联影ct真香预警?联影医疗双宽体双源CT大揭秘!TA竟然可以看到心脏的高清运动!_https://www.jmylbn.com_新闻资讯_第8张

什么是联影ct真香预警?联影医疗双宽体双源CT大揭秘!TA竟然可以看到心脏的高清运动!_https://www.jmylbn.com_新闻资讯_第9张


一直以来,冠状动脉CTA比其他类型的CT检查更强调扫描技术,尤其对于高心率、心律失常等特殊群体的扫描,更是体现高端CT性能的试金石。


目前,超高端CT主要分为两大技术阵营:

  • 单源宽体探测器

  • 双源窄体探测器


随着各种先进技术的加持,我们明显感觉到冠脉CTA的扫描难度大大降低,扫查成功率和图像质量也得到了大幅提升。尽管如此,目前主流超高端CT能提供的信息仍然十分有限


现有两大技术阵营核心仍然聚焦于 “冻结” 心脏,即通过特定单时相的静态图像呈现心脏解剖结构,像冠脉、心肌、瓣膜、斑块等关键结构在心脏搏动过程中如何动态变化我们无从得知

现有两大技术路线仍存在心脏容积覆盖与时间分辨率不足的矛盾,两者优势始终无法兼得,这也迫使成像只能选择静态图像,对于心脏结构性评估、功能学分析等应用和前瞻探索也被迫陷入 "以静窥动" 的认知困境中。

以心脏瓣膜疾病为例,CT影像已逐渐成为拟定TAVR手术策略参考的金标准。针对主动脉瓣周围的结构数据测量及瓣膜运动评估,临床中需要依赖全时相CTA扫描获取主动脉根部图像。然而,受限于患者心率、屏气效果以及设备扫描能力等因素限制,部分时相下图像运动伪影严重,无法获得高质量的全时相CTA图像。仅通过特定时相静态高清成像,难以准确清晰呈现瓣膜等结构在整个心动周期内的动态变化。



什么是联影ct真香预警?联影医疗双宽体双源CT大揭秘!TA竟然可以看到心脏的高清运动!_https://www.jmylbn.com_新闻资讯_第10张
什么是联影ct真香预警?联影医疗双宽体双源CT大揭秘!TA竟然可以看到心脏的高清运动!_https://www.jmylbn.com_新闻资讯_第11张


面对心脏动态成像难题,是否有一款CT设备能够兼顾更高的时间分辨率与心脏全容积覆盖,精准捕捉心脏运动过程,实现单心动周期内的全心全时相动态高清成像和能谱成像?同时,保证图像质量的同时,提升检查的便捷性与成功率,为临床提供更为丰富的影像学信息?


答案是:有


那就是联影医疗将在今年中国国际医疗器械(春季)博览会(简称 “CMEF” )展出的新品uCT SiriuX

什么是联影ct真香预警?联影医疗双宽体双源CT大揭秘!TA竟然可以看到心脏的高清运动!_https://www.jmylbn.com_新闻资讯_第12张

uCT SiriuX产品图


这是联影推出的全球首创双宽体CT成像系统,首次将宽体探测器双源两种超高端CT系统形态结合,实现了突破:

  • 8ms心脏时间分辨率,业界最高;

  • 16cm宽体探测器,实现单心动周期全心完整容积覆盖扫描;

  • 470mm超大能谱成像视野,实现大范围成像。


基于这些突破,uCT SiriuX给我们带来了很多惊喜,文中开头所展示的冠脉CTA生成类DSA、类MR图像功能只是冰山一角,让我们进一步了解该设备在医院的实际临床应用及图像质量。


01

全心4D电影成像

展示心脏结构运动


传统CT通常只能提供单时相静态结构成像,但uCT SiriuX打破了局限,可提供全心动周期多个时相的清晰结构成像信息,动态展示心脏结构运动变化,达到了类DSA、类MR的效果。


什么是联影ct真香预警?联影医疗双宽体双源CT大揭秘!TA竟然可以看到心脏的高清运动!_https://www.jmylbn.com_新闻资讯_第13张

什么是联影ct真香预警?联影医疗双宽体双源CT大揭秘!TA竟然可以看到心脏的高清运动!_https://www.jmylbn.com_新闻资讯_第14张

心脏搏动

冠脉运动


什么是联影ct真香预警?联影医疗双宽体双源CT大揭秘!TA竟然可以看到心脏的高清运动!_https://www.jmylbn.com_新闻资讯_第15张
什么是联影ct真香预警?联影医疗双宽体双源CT大揭秘!TA竟然可以看到心脏的高清运动!_https://www.jmylbn.com_新闻资讯_第16张

瓣膜运动

心肌运动

单心动周期全心4D电影成像


如此一来,便可进一步帮助精准测量冠脉狭窄程度、观察狭窄变化及斑块应力变化,进而预测斑块进展与破裂。此外,图像清晰展示瓣膜开合运动,为瓣膜的结构完整性评估和尺寸测量提供可靠依据,具有重要的潜在临床应用价值。


02

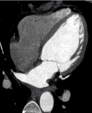
单心动周期

任意时相高清成像


一直以来,冠脉CTA扫描对患者心律和扫描条件要求较高,传统单源宽体系统受限于时间分辨率,往往在心脏收缩末期或舒张中期获得可用于临床诊断的冠脉CTA图像。


令人欣喜的是,uCT SiriuX凭借8ms超高时间分辨率和全心覆盖,可以做到在单心动周期内的任意时相获取高质量的冠脉CTA图像


我们来看成像效果!


什么是联影ct真香预警?联影医疗双宽体双源CT大揭秘!TA竟然可以看到心脏的高清运动!_https://www.jmylbn.com_新闻资讯_第17张


什么是联影ct真香预警?联影医疗双宽体双源CT大揭秘!TA竟然可以看到心脏的高清运动!_https://www.jmylbn.com_新闻资讯_第18张

什么是联影ct真香预警?联影医疗双宽体双源CT大揭秘!TA竟然可以看到心脏的高清运动!_https://www.jmylbn.com_新闻资讯_第19张

单心动周期全心全时相高清成像图


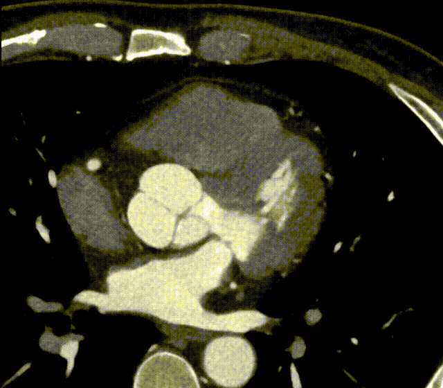
03

无心电冠脉CTA高清成像

无需剂量妥协


此前我们已得知uCT SiriuX拥有8ms超高时间分辨率,这意味着心脏扫描不再受曝光时相限制,在自由呼吸条件下,可以做到无心电门控的单时相冠脉CTA高质量成像,实现了低剂量、无限制心脏扫描,大大提高了检查效率。


什么是联影ct真香预警?联影医疗双宽体双源CT大揭秘!TA竟然可以看到心脏的高清运动!_https://www.jmylbn.com_新闻资讯_第20张
什么是联影ct真香预警?联影医疗双宽体双源CT大揭秘!TA竟然可以看到心脏的高清运动!_https://www.jmylbn.com_新闻资讯_第21张

自由呼吸状态下,单时相无心电冠脉成像 (辐射剂量:0.88 mSv)


04

单心动周期

全心能谱成像


uCT SiriuX落地临床验证中,我们切身体会了这款设备的全脏器覆盖能谱成像功能,可在单心动周期内完成全心能谱采集,提供多种能谱图像类型。


例如,虚拟单能图像可优化冠脉图像对比度,有效消除血管管腔中钙化导致的晕状伪影,确保准确的血管评估;同时,基于能谱图像的物质识别技术,还可进行斑块成分分析,进一步提升诊断精度。


什么是联影ct真香预警?联影医疗双宽体双源CT大揭秘!TA竟然可以看到心脏的高清运动!_https://www.jmylbn.com_新闻资讯_第22张


什么是联影ct真香预警?联影医疗双宽体双源CT大揭秘!TA竟然可以看到心脏的高清运动!_https://www.jmylbn.com_新闻资讯_第23张


05

「全域」心脏多模态高清成像


全新双宽体CT系统uCT SiriuX凭借全脏器覆盖能力,实现 “全域” 心脏多维成像评估,即注射一次对比剂可同时获取冠脉CTA、心肌灌注、心脏能谱成像和心肌延迟强化等多维图像信息,初步验证结果与DSA、MR心肌灌注、MR延迟强化等金标准影像手段有较高一致性。这对于需要同时进行解剖与功能性评估的患者来说,方便省事了许多。


什么是联影ct真香预警?联影医疗双宽体双源CT大揭秘!TA竟然可以看到心脏的高清运动!_https://www.jmylbn.com_新闻资讯_第24张

冠脉CTA  VS DSA


什么是联影ct真香预警?联影医疗双宽体双源CT大揭秘!TA竟然可以看到心脏的高清运动!_https://www.jmylbn.com_新闻资讯_第25张

CT心肌灌注 VS MR心肌灌注


什么是联影ct真香预警?联影医疗双宽体双源CT大揭秘!TA竟然可以看到心脏的高清运动!_https://www.jmylbn.com_新闻资讯_第26张

CT心肌延迟显像 VS MR ECV(心肌细胞外容积)


此外,通过心脏能谱成像的虚拟高能图像,系统能够有效抑制严重钙化和支架场景下的伪影。在心肌灌注成像的基础上,结合能谱成像的碘定量分析,有望解决CT值差异带来的灌注参数标准化难题,进一步提高诊断精度。


什么是联影ct真香预警?联影医疗双宽体双源CT大揭秘!TA竟然可以看到心脏的高清运动!_https://www.jmylbn.com_新闻资讯_第27张

CT心脏能谱 VS MR PSIR(相位敏感反转恢复)



什么是联影ct真香预警?联影医疗双宽体双源CT大揭秘!TA竟然可以看到心脏的高清运动!_https://www.jmylbn.com_新闻资讯_第28张

什么是联影ct真香预警?联影医疗双宽体双源CT大揭秘!TA竟然可以看到心脏的高清运动!_https://www.jmylbn.com_新闻资讯_第29张


想必今年的CMEF展会,联影的这款业界首创双宽体CT将会吸引了众多与会者参观,将 "解剖-功能-代谢" 集成至单次扫描流程,联影医疗不仅磁共振很厉害,CT领域也 “卷” 出新高度,国产设备正完成从 "参数追赶" 到 "临床价值定义" 的跨越!


除此之外,联影光子计数CT也将在本次CMEF展会上正式亮相,据悉,该设备成功突破了现有PCCT在超清成像模式中的数据处理和传输限制,实现了更大的扫描覆盖范围,为心脏疾病的精准诊断提供了全新可能。

什么是联影ct真香预警?联影医疗双宽体双源CT大揭秘!TA竟然可以看到心脏的高清运动!_https://www.jmylbn.com_新闻资讯_第30张

uCT Utima产品图




欢迎大家来CMEF联影展台,现场见证各种新款设备的重磅发布!另外,4月8日鼎湖影像将进行全天CMEF现场直播,欢迎大家一起云看展


4月8日

上海 · CMEF现场


点击预约直播

↓↓ 



·END·



什么是联影ct真香预警?联影医疗双宽体双源CT大揭秘!TA竟然可以看到心脏的高清运动!_https://www.jmylbn.com_新闻资讯_第31张



精彩推荐:
全网最全的解剖图库,千万不要错过
300+神经、头颈系统超全影像文章汇总
全网最全头颅影像解剖学,不容错过(更新版)
全网最全大关节影像解剖,不容错过(更新版)
影像科急诊必备手册,必点收藏
脊柱、脊髓解剖及常见疾病汇总(41篇)
乳腺解剖及影像学检查详细汇总
心胸系统文章汇总(132篇)
全网最全全身X线高清图谱


什么是联影ct真香预警?联影医疗双宽体双源CT大揭秘!TA竟然可以看到心脏的高清运动!_https://www.jmylbn.com_新闻资讯_第32张

更多精彩医学影像内容,尽在鼎湖影像
权威医学影像公众号,欢迎您的关注↓↓


什么是联影ct真香预警?联影医疗双宽体双源CT大揭秘!TA竟然可以看到心脏的高清运动!_https://www.jmylbn.com_新闻资讯_第33张↓↓ 欢迎进入鼎湖学堂