引流管怎么冲管教训!引流管流出墨绿色液体,冲管后患者却...

新闻资讯2026-04-21 09:48:35

感谢丁香园社区站友 @痔识分子 分享的病例:

者:女,83 岁

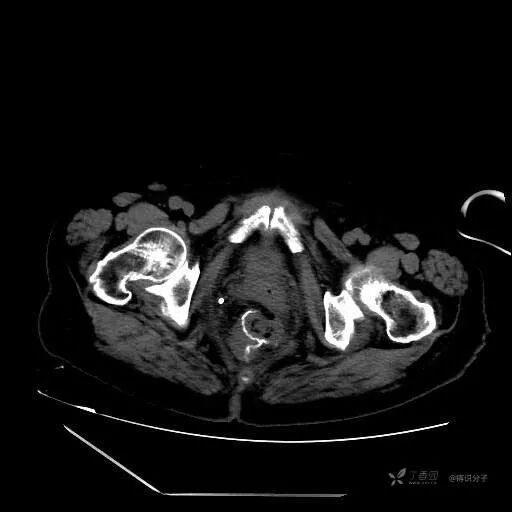
简要病史:2023 年 3 月 12 日行腹腔镜下直肠癌根治术,术中进展顺利,未损伤小肠,结肠够长,未游离脾区。吻合口距肛缘约 5 cm。术后第 9 天已半流食两天,发现腹腔引流管引出约 5 mL墨绿色液。引流液测淀粉酶为 50 U/L。术后第二天 CRP 155 mg/L,后续血炎症指标均正常。患者无发热,无腹痛等不适。墨绿色积液如图所示。

引流管怎么冲管教训!引流管流出墨绿色液体,冲管后患者却..._https://www.jmylbn.com_新闻资讯_第1张

辅助检查:查腹部 CT 示骶前包裹性积液,距离引流管较远,吻合口周围未见明显渗出和气体征象。

引流管怎么冲管教训!引流管流出墨绿色液体,冲管后患者却..._https://www.jmylbn.com_新闻资讯_第2张

引流管怎么冲管教训!引流管流出墨绿色液体,冲管后患者却..._https://www.jmylbn.com_新闻资讯_第3张

引流管怎么冲管教训!引流管流出墨绿色液体,冲管后患者却..._https://www.jmylbn.com_新闻资讯_第4张

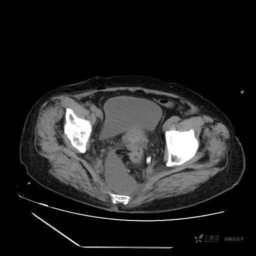
3 天后经肛门注入碘海醇,CT 未见明显漏出征象。

术后两周内,每天引流管仍引出 5~10 mL 墨绿色液,患者无不适,血象正常。

引流管怎么冲管教训!引流管流出墨绿色液体,冲管后患者却..._https://www.jmylbn.com_新闻资讯_第5张

但是往引流管内注射生理盐水,阻力非常大,无法注入腹腔。直肠指检未及这种墨绿色液体,可及少许黄色肠液。予以退管 3 cm,仍然冲洗阻力大,无法注射,但仍有墨绿色液引出。

术后 24 天,往引流管内冲洗几毫升生理盐水,引流管通畅。数小时后患者出现引流液性状改变(呈红色的浑浊液),并伴有下腹压痛,排尿费力。

引流管怎么冲管教训!引流管流出墨绿色液体,冲管后患者却..._https://www.jmylbn.com_新闻资讯_第6张

腹腔引流出墨绿色液的可能原因是什么?正常的腹腔引流液会含有淀粉酶吗?为何患者在冲管后引流液变红且浑浊,并伴有下腹痛?冲管操作是否有问题?

站友们在评论区讨论激烈,且作者已在原帖分享后续治疗过程,欢迎来丁香园社区参与讨论并发表你的观点。

题图、文内素材及图片来源:丁香园社区站友 @痔识分子

👇点击阅读原文」查看完整病例和站友精彩分析。