康复仪探头怎么拿【阳光·科普】小探头大作用——超声看肩周炎

新闻资讯2026-04-21 09:31:55
康复仪探头怎么拿【阳光·科普】小探头大作用——超声看肩周炎_https://www.jmylbn.com_新闻资讯_第1张

肩周炎又称肩关节周围炎,俗称凝肩、五十肩。表现为肩部逐渐产生疼痛,夜间为甚,逐渐加重,肩关节活动功能受限而且日益加重,达到某种程度后逐渐缓解,直至最后完全复原,是一种肩关节囊及其周围韧带、肌腱和滑囊的慢性特异性炎症。肩周炎是一种常见病症,好发年龄在50岁左右,女性发病率略高于男性,多见于体力劳动者。

康复仪探头怎么拿【阳光·科普】小探头大作用——超声看肩周炎_https://www.jmylbn.com_新闻资讯_第2张

康复仪探头怎么拿【阳光·科普】小探头大作用——超声看肩周炎_https://www.jmylbn.com_新闻资讯_第3张

01
肩周炎的产生原因

造成的因素有多种,包括肩关节处的肌肉或肌腱出现僵硬、粘连和疼痛的情况,或者是肩关节周边出现了软组织损伤,这些都会使患者的肩关节活动受到限制。影像学检查表现为关节腔变窄或者出现骨质疏松,肩周炎如果得不到及时治疗,会出现三角肌萎缩等症状。

02
肩周炎的检查方法

常见的检查方法包括肌骨超声、X线、MRI等。

X线检查侧重于观察骨结构、位置等病理改变,肌肉的损伤无法观察。而肌骨超声及MRI可以看到肌肉、软组织的损伤。在肩周炎的诊断中,肌骨超声诊断准确率和MRI相当,但是相比MRI,患者更喜欢超声检查的舒适性

03
肩部超声检查前准备

1、检查前无特殊准备

2、检查区域皮肤无创伤及破损


04
肩周炎的二维超声表现

1.肱二头肌长头肌腱腱鞘炎或腱鞘积液

康复仪探头怎么拿【阳光·科普】小探头大作用——超声看肩周炎_https://www.jmylbn.com_新闻资讯_第4张

2.冈上肌腱炎或者冈上肌腱钙化

康复仪探头怎么拿【阳光·科普】小探头大作用——超声看肩周炎_https://www.jmylbn.com_新闻资讯_第5张

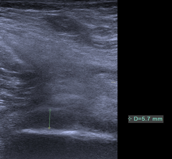
3.肩关节周围滑囊炎

康复仪探头怎么拿【阳光·科普】小探头大作用——超声看肩周炎_https://www.jmylbn.com_新闻资讯_第6张

诊断主要依靠测量肩峰下-三角肌下滑囊的厚度,其正常厚度应小于2mm,当滑囊厚度增加超过正常值时,结合临床症状及病史可初步诊断。

4.腋下关节囊增厚

康复仪探头怎么拿【阳光·科普】小探头大作用——超声看肩周炎_https://www.jmylbn.com_新闻资讯_第7张

总结:肌骨超声采用高频超声诊断技术对肩周炎可以进行定量评价,为临床医生提供诊断思路,诊断准确率高。

05
肩周炎的物理治疗

肩周炎病程长、恢复慢,对患者的工作、生活等方方面面都有巨大影响。目前物理治疗肩周炎疗效显著、可靠

理疗

康复仪探头怎么拿【阳光·科普】小探头大作用——超声看肩周炎_https://www.jmylbn.com_新闻资讯_第8张

热敷

康复仪探头怎么拿【阳光·科普】小探头大作用——超声看肩周炎_https://www.jmylbn.com_新闻资讯_第9张

推拿

康复仪探头怎么拿【阳光·科普】小探头大作用——超声看肩周炎_https://www.jmylbn.com_新闻资讯_第10张

通过这些方式能够帮助放松肌肉,促进血液循环,控制炎症,缓解疼痛。

06
肩周炎的预防

肩周炎的预防主要是避免肩部受凉,做好保暖防寒、加强体育锻炼也可延缓肩周炎的发生和发展。另外,得了肩周炎的患者也可以通过居家锻炼改善自己的症状,合适的、有效的、易于接受与坚持的锻炼医嘱,会大大缩减患者的疗程。


参考文献

[1] 邱懿德,黄伟俊,陈瀚勋,等 . 实时超声下隐窝关节囊的改变在肩周炎诊断中的价值分析 [J]. 现代诊断与治疗,2020,31(24):3985-3987.

[2] 雷小庆 . 肌骨超声对肩周炎的诊断价值分析 [ J ] . 中国农村卫生, 2020,12(18):45.

[3] 魏昭,郭建平,陈燊.高频超声在肩周炎中的应用价值[J].世界复合医学,2020,6(08):127-129.

[4]  Middleton WD, Payne WT, Teefey SA, et al. Sonography and MRI of the shoulder: comparison of patient satisfaction. AJR Am J Roentgenol. 2004 Nov;183(5):1449-1452.

[5] 毛剑莹,赵小虎,何勇等.高频超声诊断冈上肌腱撕裂[J].中国医学影像技术,2021,37(03):438-441.

[6] 林晨昀,李长辉.推拿治疗肩关节周围炎的研究进展[J].智慧健康,2022,8(02):36-38+42.

作者丨孙昌琴、孙微、陈斌

供稿丨超声科、物理治疗科

编辑丨宣传文明办



医院 概况



康复仪探头怎么拿【阳光·科普】小探头大作用——超声看肩周炎_https://www.jmylbn.com_新闻资讯_第11张

同济大学附属养志康复医院,即上海市养志康复医院(上海市阳光康复中心),2007年由时任上海市委书记习近平、国务院副总理回良玉揭牌落成。医院是上海市残疾人联合会直属,是上海市级三级康复医院、首家纳入上海申康医院发展中心市级医院管理平台的康复医院和首家双一流高校附属康复医院。医院同时拥有国家GCP药物及医疗器械临床试验资质,入选上海市首批工伤康复定点机构,是康复专业住院医师规范化培训教学基地。目前,医院已成为国家省(市)级三级残疾人康复中心、全国区域性工伤康复示范机构、全国脊髓损伤者“希望之家”资源中心、中国康复医学会继续教育培训基地和科普示范基地、国家级康复护理专科护士培训基地。医院被授予“全国残疾人之家”“全国最佳志愿服务组织”,连续五届被评为上海市文明单位,荣获“市五一劳动奖状”等称号。

医院占地面积396亩,一期总建筑面积近5万平方米,目前核定床位360张。医院现有职工近900名,其中具有硕士研究生及以上学历的员工占30%以上。医院拥有由中国工程院戴尅戎院士、顾玉东院士和美国医学科学院励建安院士领衔组成的专家顾问团以及教育部“长江学者”“青年长江学者”,国家自然科学基金委“杰青”“优青”,中组部国家海外高层次青年人才等高水平人才。

医院承担建设国家临床重点专科,牵头组建上海市级医院康复医学科专科联盟,建立了以康复医学科为主体,由内、外、妇、儿等共同支撑的康复服务和临床保障体系;秉承现代康复与传统康复相结合的全面康复理念,形成了以“神经康复、骨与关节康复、心肺与重症康复”为重点、“儿童康复、肿瘤康复、妇女健康康复、视听觉康复”为特色的“七大康复中心”学科建设规划;围绕“以患者为中心”的服务宗旨,医院采用联合学科团队服务模式,开展了物理治疗、作业治疗、言语治疗、心理治疗、康复工程等完善的康复治疗项目,在康复早期介入、改善身心功能障碍、重建生活技能和社会适应能力等领域具有雄厚实力。

医院获批上海市康复医学重中之重研究中心、上海市残联智能康复辅助器具与技术重点实验室、市级医院示范性研究型病房及同济大学智能康复临床研究中心,院内建有基础研究中心、临床研究中心、转化研究中心、康复生物样本库、康复疗愈实验舱等多个支撑平台。配有全自动机器人步态训练与评定系统、三维运动捕捉系统、近红外脑功能仪等国际先进临床研究设备,拥有一流的生物信息学研究平台以及先进的分子生物学研究平台,配备有完善的SPF级动物实验中心,重点开展干细胞与再生医学、神经调控与脑功能康复、生物力学与康复工程相关研究,承担国家重点研发计划、国家自然科学基金重点项目等各级各类科研项目,发表多篇高水平论文,荣获教育部科技进步奖、中国康复医学会科学技术奖等多项科技奖项。

作为高校附属医院,医院致力于培养卓越康复人才,与同济大学共同建设康复治疗学系,创建“2+2”(大学2年、医院2年)培养模式,实行小班化精品教学。2019年,医院牵头建设的康复物理治疗专业通过了世界物理治疗联盟(WP)教育机构最高等级(五年)的认证;2022年,康复物理治疗专业入选国家一流本科专业;2023年,获批上海市重点课程建设项目;连续2年在“软科中国大学专业排名”中专业等级为A+。同时,医院与30余所境内外高校建立了临床教学合作关系,每年承担200余名学生的临床教学任务。院内具有同济大学研究生导师资格的专家近20名,每年招收20余名研究生,截至目前培养研究生100余名,其中全日制研究生70余名。此外,还开展博士后培养工作,共招收有13名博士后。

医院以建设残疾人健康管理中心为抓手,构筑残疾人健康生活第一道防线。积极承担本市残疾人康复服务工作,开展各类残疾人康复训练,为全市残疾人提供辅具适配及使用指导,并形成标准向全国推广。医院入选上海市第一批城市数¬¬字化转型(生活领域)揭榜挂帅场景示范创建单位、上海市城市数字化转型专项资金支持单位,负责建设智慧医疗领域特色场景——康复医疗大数据平台与残疾人健康服务平台,打造智慧服务平台与数据中心,加速数字技术创新。

作为上海市重大建设项目,医院二期扩建工程即将竣工,建设完成后医院将拥有1000张床位。未来,医院将继续着眼于康复事业发展大局,注重体现龙头引领与示范辐射效应,建成全国领先、国际有影响力的集康复医疗、康复教育、康复科学研究和康复医学工程于一体的现代化三级康复专科医院;建成整合预防、治疗、康复技术,提供全周期医疗服务的残疾人健康管理中心;建成培养卓越康复人才、研发关键康复技术的大学附属研究型康复医院。

康复仪探头怎么拿【阳光·科普】小探头大作用——超声看肩周炎_https://www.jmylbn.com_新闻资讯_第12张