导丝怎么扩秦川论剑|张勇:攻坚克难——解决器械难以通过的CTO病变之技术图谱

新闻资讯2026-04-21 09:04:31

导丝怎么扩秦川论剑|张勇:攻坚克难——解决器械难以通过的CTO病变之技术图谱_https://www.jmylbn.com_新闻资讯_第1张

张勇 陕西省人民医院心血管内一科
虽然冠脉介入技术取得了长足的进步,但由于冠脉CTO开通充满了不确定性,仍然严重困扰着术者,临床工作中,我们经常会遇到器械难以通过的CTO病变,包括CTO近端纤维帽难以突破;导丝通过后微导管、预扩张球囊无法通过;甚至支架植入后,后扩球囊无法通过,尤其是导丝通过后微导管、预扩张球囊无法通过,导致手术失败,更让术者非常不甘与懊恼。下面根据我们自己的实战经验,对这一类问题进行探讨。

1. CTO近端纤维帽难以突破:由于CTO近端纤维帽坚硬,导丝无法突破,从而直接导致正向开通失败;由于导丝无法正向准备,Reverse-Cart不能进行,且逆向导丝直接通过CTO段,尤其是突破坚硬近端纤维帽进入真腔的概率均低,同样会大大减低逆向技术的成功率。目前解决该类的问题的核心办法有两大类,一是增加支撑力,硬导丝强行穿刺进入坚硬的近端纤维帽,二是改变近端纤维帽斑块形态,松散斑块,易化导丝通过斑块,甚至主动造成夹层,让导丝进入柔软的“内膜下”,以利于下一步操作。这些具体的技术方法包括Power-Puncture、Scratch and Go、Base、Power-Knuckle、双腔微导管辅助下Power-Puncture、Side-Base、Carlino(见图1)。

导丝怎么扩秦川论剑|张勇:攻坚克难——解决器械难以通过的CTO病变之技术图谱_https://www.jmylbn.com_新闻资讯_第2张

图1

(1)Power-Puncture:球囊打起压住微导管增加支撑力,采取硬导丝强力前向穿刺,以期快速主动通过坚硬的近端纤维帽(见图2);

导丝怎么扩秦川论剑|张勇:攻坚克难——解决器械难以通过的CTO病变之技术图谱_https://www.jmylbn.com_新闻资讯_第3张

图2

(2)Scratch and Go:硬导丝咬住近端坚硬纤维帽斑块强行前行,或斑块内通过,或进入“内膜下”,绕过坚硬斑块(见图3);

导丝怎么扩秦川论剑|张勇:攻坚克难——解决器械难以通过的CTO病变之技术图谱_https://www.jmylbn.com_新闻资讯_第4张

图3

(3)Base:非顺应性球囊直径1:1高压力扩张(有时候略小的球囊,不高的压力也可实现),造成夹层、斑块碎裂松散,易化导丝进入且通过近端硬纤维帽斑块,甚至进入“内膜下”,绕过坚硬斑块,以利于下一步操作(见图4);

导丝怎么扩秦川论剑|张勇:攻坚克难——解决器械难以通过的CTO病变之技术图谱_https://www.jmylbn.com_新闻资讯_第5张

图4

(4)Power-Knuckle:球囊打起压住微导管增加支撑力,采取亲水导丝前向强力Knuckle,以碎裂斑块,进入血管结构内,首选亲水导丝XT、Pilot系列导丝,回避硬导丝,避免较大血肿,为下一步操作提供条件(见图5);

导丝怎么扩秦川论剑|张勇:攻坚克难——解决器械难以通过的CTO病变之技术图谱_https://www.jmylbn.com_新闻资讯_第6张

图5

(5)双腔微导管辅助下Power-Puncture:适合解剖结构存在边支的情况,在双腔微导管辅助下,侧孔穿刺导丝的力量及操控性均明显增加,以期通过坚硬近端纤维帽(图6);

导丝怎么扩秦川论剑|张勇:攻坚克难——解决器械难以通过的CTO病变之技术图谱_https://www.jmylbn.com_新闻资讯_第7张

图6

(6)Side-Base:边支至主支球囊扩张,(球囊选择兼顾边支直径大小,球囊进入边支不要太深,以免造成边支血管夹层),造成夹层、斑块碎裂松散,易化导丝进入且通过近端硬纤维帽斑块,甚至进入“内膜下”,绕过坚硬斑块,以利于下一步操作(见图7);

导丝怎么扩秦川论剑|张勇:攻坚克难——解决器械难以通过的CTO病变之技术图谱_https://www.jmylbn.com_新闻资讯_第8张

图7

(7)Carlino:控制性注入造影剂,造成斑块松散变形、甚至夹层,显示血管走行,易化导丝进入且通过近端硬纤维帽斑块,甚至进入“内膜下”,绕过坚硬斑块,以利于下一步操作(图8)。

导丝怎么扩秦川论剑|张勇:攻坚克难——解决器械难以通过的CTO病变之技术图谱_https://www.jmylbn.com_新闻资讯_第9张

图8

上述操作技术,常需要结合使用,打出一套组合拳,以期通过近端坚硬的纤维帽。

2. 导丝通过后微导管、预扩张球囊无法通过:由于斑块坚硬致密,常引起导丝通过后微导管、预扩张球囊无法通过,致手术失败,这种情况更让术者非常不甘与懊恼。解决该类问题,核心的办法是增加支撑力及改变斑块形态。

增加支撑力的技术方法:

(1)强支撑指引导管:右冠CTO不要畏惧使用AL1;左冠EBU;股动脉路径;大腔Guiding(7-8F);
(2)球囊锚定技术:右冠圆锥支锚定要谨慎,容易引起心率血压的明显降低,严密观察下短时间锚定;右冠锐缘支可长时间锚定;回避锚定有严重病变的粗大边支;
(3)Guidezilla延长导管辅助技术:尽量将延长导管深插,以更好的提高支撑力;开口病变或者距离开口较近的病变效果欠佳;

(4)逆向冠脉技术:RG3导丝建成环路,将会提供非常强大的支撑力;当然在逆向导丝操作过程中,一定程度上也松解了斑块,改变了斑块形态。

改变斑块形态的技术方法:

(1)Corsair微导管穿通扩张技术:耐心旋转微导管,以旋转为主,推送为辅;一般情况下,只要Corsair微导管能过病变,1.5、2.0球囊均可通过;
(2)小球囊掘进技术:应用0.75、1.0、1.25或1.5*20mm长的小球囊,尽力向前掘进,可能需要多个小球囊(因为中间mark点最粗,一般不选短的小球囊);
(3)BAM技术(球囊爆破技术):高压力打爆球囊,冲击力松解斑块,一般选择1.5mm以下小球囊,大的球囊容易造成冠脉血管破裂;
(4)多导丝挤压技术:在双腔微导管辅助下,应用另外硬导丝,反复戳击斑块,达到松解斑块的目的(需要较长时间,耐心操作);如果另外一根导丝进入内膜下,将是一件好事,内膜下球囊好通过,在内膜下扩张挤压斑块,改变斑块形态,通过真腔导丝,预扩球囊将容易通过;
(5)Tornus微导管(螺纹穿通导管):其头端由8 根直径0.12mm的不锈钢金属丝顺时针缠绕制成,外表呈螺旋状,头端150mm逐渐变细并且顶端有不透X线标志,具有良好的操控性和扭矩力;操作技巧为逆时针旋转微导管为前进,顺时针旋转为后退松解;逆时针旋转不要超过20圈;但目前该器械已经很难得到;
(6)旋磨:微导管无法跟进,无法交换旋磨导丝,旋磨导丝通过病变的能力差,此办法成功率低(可首先尝试工作导丝能否通过,如果工作导丝可以通过,旋磨导丝将有通过可能);

(7)激光:激光松解斑块,是个很好的办法,可以冠脉内推注造影剂以增加效果。

根据具体情况,综合应用上述技术方法,以更多的解决该类导丝通过后微导管、预扩张球囊无法通过的问题,提高手术成功率。

3. 支架植入后,后扩球囊无法通过:

(1)改变后扩球囊角度:很多情况下后扩球囊不能通过不是支撑力问题,而是角度问题,逆时针、顺时针旋转指引导管,深插提拉指引导管,组合这些动作,会引起导丝位置改变,从而引起后扩球囊角度改变以利于其通过;

(2)双导丝技术:送入另外一根导丝,起到滑轨与改变角度作用,以利于后扩球囊通过;

(3)预扩球囊辅助技术:送入另外一根导丝,沿其中一根导丝送入预扩球囊(预扩球囊通过性好),起到滑轨与改变角度作用,以利于后扩球囊通过;

(4)后扩球囊塑形:导引针轻轻做个柔顺小弯,不敢损毁球囊,改变角度后容易通过;

(5)Guidezilla辅助:预扩球囊锚定送入Guidezilla,再送入后扩球囊。

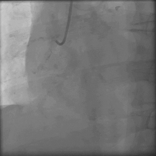
4.病例:如何开通近段纤维帽难以突破、微导管、预扩球囊难以通过的右冠CTO?

 

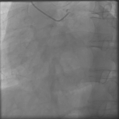
62岁,男性患者,间断胸痛1月,冠脉CTA提示右冠闭塞伴1-2段严重钙化;造影示右冠CTO,无明显入路且迂曲钙化,着陆区可


导丝怎么扩秦川论剑|张勇:攻坚克难——解决器械难以通过的CTO病变之技术图谱_https://www.jmylbn.com_新闻资讯_第10张

导丝怎么扩秦川论剑|张勇:攻坚克难——解决器械难以通过的CTO病变之技术图谱_https://www.jmylbn.com_新闻资讯_第11张


导丝怎么扩秦川论剑|张勇:攻坚克难——解决器械难以通过的CTO病变之技术图谱_https://www.jmylbn.com_新闻资讯_第12张

导丝怎么扩秦川论剑|张勇:攻坚克难——解决器械难以通过的CTO病变之技术图谱_https://www.jmylbn.com_新闻资讯_第13张


导丝怎么扩秦川论剑|张勇:攻坚克难——解决器械难以通过的CTO病变之技术图谱_https://www.jmylbn.com_新闻资讯_第14张

导丝怎么扩秦川论剑|张勇:攻坚克难——解决器械难以通过的CTO病变之技术图谱_https://www.jmylbn.com_新闻资讯_第15张

导丝怎么扩秦川论剑|张勇:攻坚克难——解决器械难以通过的CTO病变之技术图谱_https://www.jmylbn.com_新闻资讯_第16张


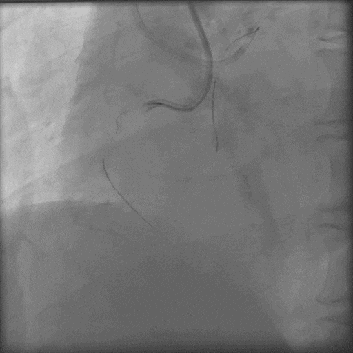
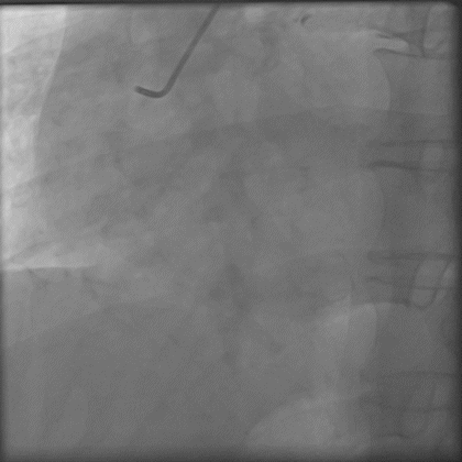
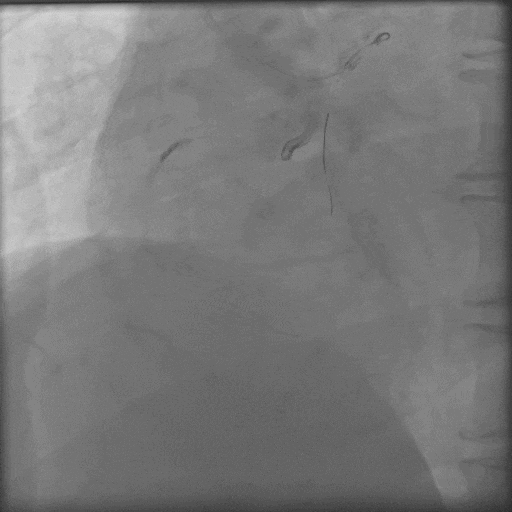
预案正向找到血管结构,ADR术式可快速高效开通右冠CTO,即使走逆向,也得进行充分正向准备,以进行Reverse-Cart;选择7F-AL1强支撑指引导管,由于近端纤维帽坚硬, Gaia3导丝、P200导丝前向试探失败;XTA、P200导丝Knuckle失败;

导丝怎么扩秦川论剑|张勇:攻坚克难——解决器械难以通过的CTO病变之技术图谱_https://www.jmylbn.com_新闻资讯_第17张

导丝怎么扩秦川论剑|张勇:攻坚克难——解决器械难以通过的CTO病变之技术图谱_https://www.jmylbn.com_新闻资讯_第18张


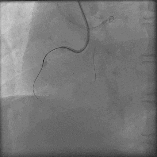
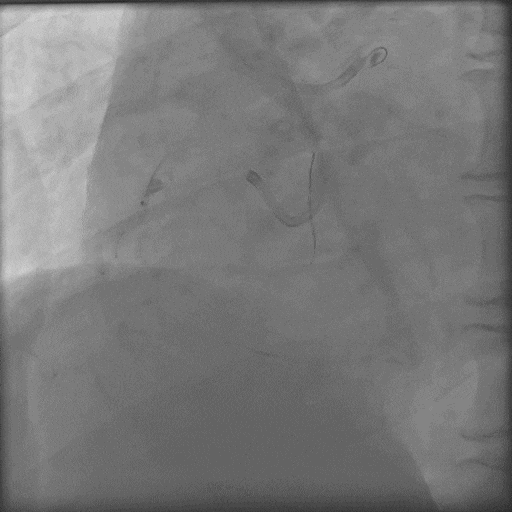
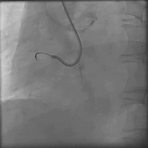
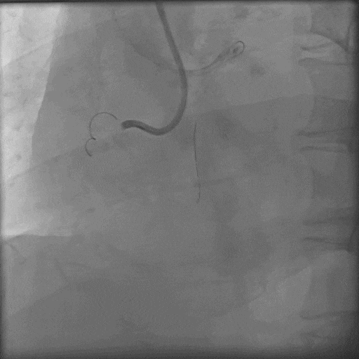
Carlino后导丝仍无法前行;
导丝怎么扩秦川论剑|张勇:攻坚克难——解决器械难以通过的CTO病变之技术图谱_https://www.jmylbn.com_新闻资讯_第19张

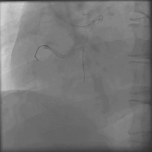
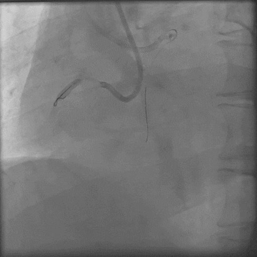
3.0后扩球囊Base;
导丝怎么扩秦川论剑|张勇:攻坚克难——解决器械难以通过的CTO病变之技术图谱_https://www.jmylbn.com_新闻资讯_第20张

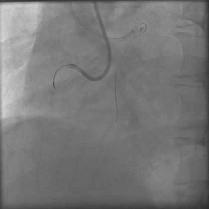
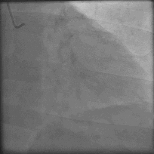
P200短距离前行后再也不能前行,
导丝怎么扩秦川论剑|张勇:攻坚克难——解决器械难以通过的CTO病变之技术图谱_https://www.jmylbn.com_新闻资讯_第21张

Gaia3磨进2段,进入内膜下,前进艰难;
导丝怎么扩秦川论剑|张勇:攻坚克难——解决器械难以通过的CTO病变之技术图谱_https://www.jmylbn.com_新闻资讯_第22张

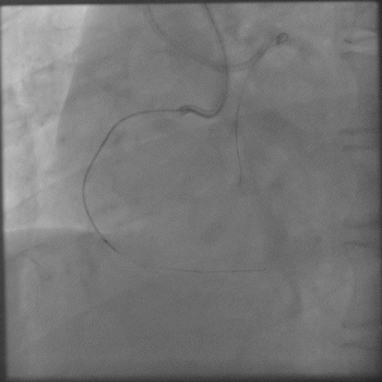
换用P200,导丝幸运进入血管真腔,
导丝怎么扩秦川论剑|张勇:攻坚克难——解决器械难以通过的CTO病变之技术图谱_https://www.jmylbn.com_新闻资讯_第23张

导丝通过后,Corsair微导管耐心旋转无法通过,小球囊无法通过;
导丝怎么扩秦川论剑|张勇:攻坚克难——解决器械难以通过的CTO病变之技术图谱_https://www.jmylbn.com_新闻资讯_第24张

采用M12、CP8-20导丝挤压(未留影),再小球囊掘进联合BAM技术;
导丝怎么扩秦川论剑|张勇:攻坚克难——解决器械难以通过的CTO病变之技术图谱_https://www.jmylbn.com_新闻资讯_第25张

Corsair微导管耐心旋转通过病变;
导丝怎么扩秦川论剑|张勇:攻坚克难——解决器械难以通过的CTO病变之技术图谱_https://www.jmylbn.com_新闻资讯_第26张

最终结果满意。
导丝怎么扩秦川论剑|张勇:攻坚克难——解决器械难以通过的CTO病变之技术图谱_https://www.jmylbn.com_新闻资讯_第27张


导丝怎么扩秦川论剑|张勇:攻坚克难——解决器械难以通过的CTO病变之技术图谱_https://www.jmylbn.com_新闻资讯_第28张张勇

陕西省人民医院心血管内一科
主任医师,医学博士,科室业务副主任
毕业于西安交通大学医学院。国际认证ADR带教术者(ADR Proctor),陕西省国际医学交流促进会心血管专业委员会常务委员,西安市医学会胸痛专业委员会常务委员,陕西省保健协会高血压专业委员会常务委员,中国心胸血管麻醉学会基层心血管病分会常务委员,陕西省医学会心血管内科分会青年委员,中国医师协会高血压专业委员会委员,西安医学会心血管病学分会委员,陕西省医师协会心力衰竭专业委员会委员,《中华高血压杂志》中青年编委。熟悉大内科业务,精于心血管专业,具有丰富的临床经验,擅长复杂高危冠心病介入诊断及治疗手术,在冠脉分叉病变介入治疗、左主干病变介入治疗、高危复杂病变CHIP介入治疗、冠脉慢性闭塞性病变CTO介入治疗方面积累了丰富的临床经验,熟练掌握正向导丝技术、逆向导丝技术及ADR技术,CTO开通率在95%以上;熟练掌握IABP及ECMO心脏辅助器械治疗、冠状动脉钙化旋磨术、激光消融术、冠脉生理学检查FFR测压、腔内影像学IVUS、OCT在冠脉优化治疗中的应用及多种冠脉辅助器械的应用;熟悉永久性心脏起搏器及CRT-D植入术、经皮导管射频消融术、先天性心脏病封堵术。主持陕西省自然科学基金面上项目2项、陕西省人民医院拔尖人才项目支持基金1项、陕西省人民医院学科建设高质量发展首批项目1项,参与国家高技术研究发展计划(863计划)1项、国家自然科学基金2项、省部级科研基金2项;以第一或通讯作者发表包括Nature Communications论文29篇,其中SCI索引论文19篇;获陕西省科学技术进步二等奖1项、陕西省自然科学二等奖1项;主编专著1部,主译专著1部,参编专著1部。


导丝怎么扩秦川论剑|张勇:攻坚克难——解决器械难以通过的CTO病变之技术图谱_https://www.jmylbn.com_新闻资讯_第29张

本文内容为《门诊》杂志原创内容

转载须经授权并请注明出处。

Clinic門诊新视野 微信号:ClinicMZ
导丝怎么扩秦川论剑|张勇:攻坚克难——解决器械难以通过的CTO病变之技术图谱_https://www.jmylbn.com_新闻资讯_第30张
导丝怎么扩秦川论剑|张勇:攻坚克难——解决器械难以通过的CTO病变之技术图谱_https://www.jmylbn.com_新闻资讯_第31张

《门诊》杂志官方微信

长按,识别二维码,加关注