为什么建立双输液通道输液港 偶遇“双上腔静脉”

新闻资讯2026-04-17 13:23:12
为什么建立双输液通道输液港 偶遇“双上腔静脉”_https://www.jmylbn.com_新闻资讯_第1张
导  读
输液港(port),一种植入式输液装置,可以通过“港口”将各种药物、营养液、血液制品输入到中心静脉。它即可以减少反复静脉穿刺带给患者的痛苦,又可以降低感染风险,留置时间长,长期使用节省费用等优点,是目前恶性肿瘤患者长期化疗、肠外营养治疗的最佳方式!
    输液港植入方式有胸壁港和手臂港。胸壁港是指其港体位于上胸部,首选的穿刺点为右侧颈内静脉,其次为左侧颈内静脉,锁骨下静脉为最后选择。手臂港是指其港体位于手臂,穿刺点为头静脉和贵要静脉。
    因右侧颈内静脉走行直,离上腔静脉路径短,导管不易打折等优点,目前临床上经右侧颈内静脉穿刺植入胸壁港最多见。但是当右侧胸壁不适合放置输液港,就需要改行其他穿刺方式!近日我院介入血管科放置输液港时见到一例“奇闻异事”!
    患者郑某,女性,48岁,因“右侧乳腺浸润性癌”在我院行“右侧乳腺癌改良根治术”两月余,需要放置左侧胸壁港!常规彩超引导行左侧颈内静脉穿刺成功后置入导丝,发现导丝“不走寻常路”,随即血管造影如下:
▲血管造影检查  
    原来此患者存在先天性体静脉畸形,属于永存左上腔静脉(PLSVC)的一种类型,即存在“双上腔静脉”。
    正常解剖:左颈内静脉与左锁骨下静脉汇总于左头臂静脉,而后与右侧头臂静脉汇入上腔静脉到右心房。
    而这位患者除了有正常人的静脉路径外,存在“左上腔静脉”,其发自左头臂静脉起始部,沿纵隔左侧向下走行,引流到冠状静脉窦到右心房!就是说左侧颈内静脉和左锁骨下静脉的血分两路引流到右心房(a.一路到右侧正常的上腔静脉;b.另一路是经左侧变异的“上腔静脉”—→冠状静脉窦—→右心房)。通常冠状静脉窦因同时接受冠状静脉和左颈内静脉、左锁骨下静脉的血液,所以容量增加,管径扩张。此种畸形血流动力学正常,只是血液引流途径不同!
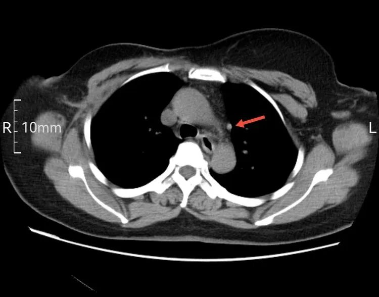
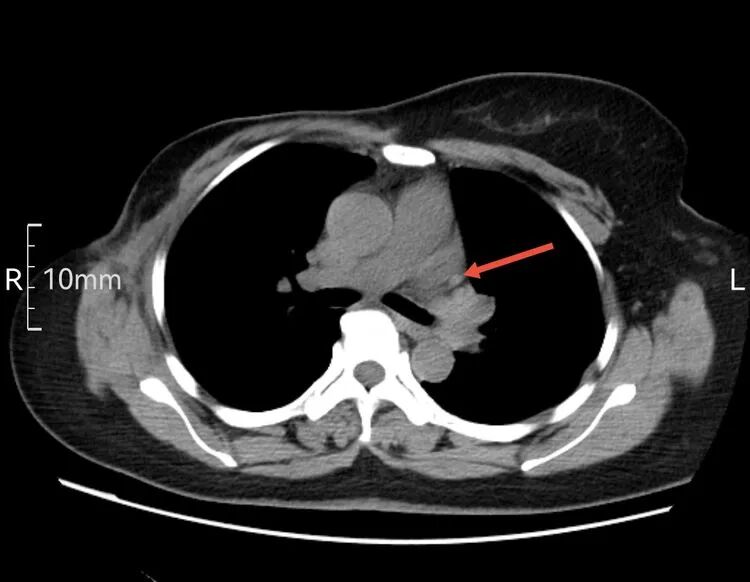
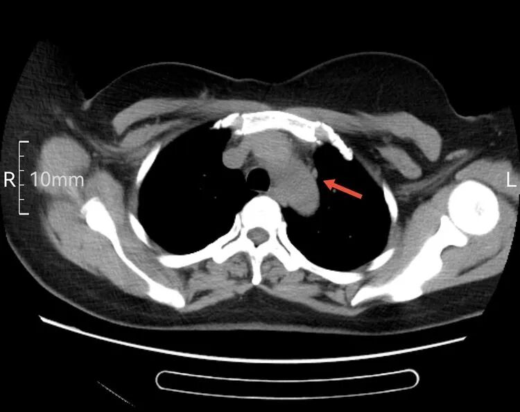
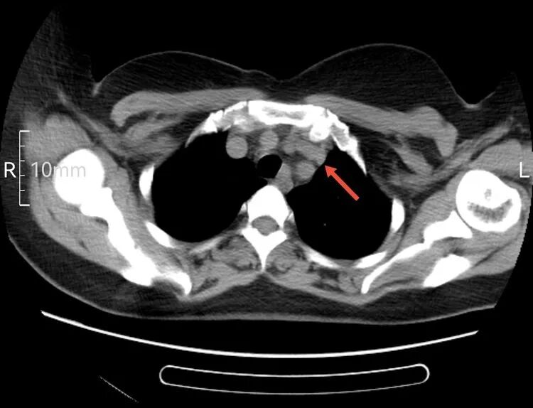
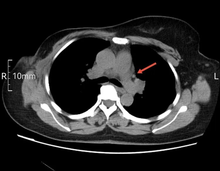
    以下是患者的CT表现:


为什么建立双输液通道输液港 偶遇“双上腔静脉”_https://www.jmylbn.com_新闻资讯_第2张




为什么建立双输液通道输液港 偶遇“双上腔静脉”_https://www.jmylbn.com_新闻资讯_第3张




为什么建立双输液通道输液港 偶遇“双上腔静脉”_https://www.jmylbn.com_新闻资讯_第4张




为什么建立双输液通道输液港 偶遇“双上腔静脉”_https://www.jmylbn.com_新闻资讯_第5张




为什么建立双输液通道输液港 偶遇“双上腔静脉”_https://www.jmylbn.com_新闻资讯_第6张


    箭头所指为左侧“上腔静脉”走行  虽然过程不寻常,但在血管造影辅助下显示其“真容”后,导管经左侧颈内静脉,避开变异的“左上腔静脉”并通过左侧头臂干,导管头端留置在正常的上腔静脉内。成功给予患者植入左侧胸壁港。
    永存左上腔静脉(PLSVC)约占健康人群的0.3%,65%的患者左头臂静脉很小或缺如,10%右侧上腔静脉缺如,左头臂静脉和右上腔静脉表现多变,甚至还有可能合并其他异常的心血管畸形。因此,虽然输液港事虽“小”,但遇到“奇闻异事”需要认真分析,谨慎操作,在血管造影的帮助下“行可视化操作”可能是更安全的选择。                  


介入血管科诊治范围:


  1、外周血管介入 —— 微创血管修复
  包括动脉血管疾病和静脉血管疾病。动脉血管疾病主要有消化道出血的急救,外伤造成的血管破裂;动脉硬化造成的动脉壁斑块引起血管狭窄、闭塞;动脉瘤或夹层等引起的动脉壁的某处薄弱,造成动脉扩张性疾病等。静脉血管疾病主要有下肢静脉曲张、下肢静脉血栓形成、慢性静脉功能不全、布加氏综合征等。上、下腔静脉滤器植入/取出术,肺栓塞的溶栓治疗。
      2、肿瘤介入——绿色微创
      对肺癌、肝癌、肝转移癌、胃癌、食管癌、肾癌、胰及十二指肠肿瘤、宫颈癌、膀胱癌、妇科肿瘤、肢体良性肿瘤等等,均可取得显著疗效。    
      3、综合介入应用——应用广泛
      气道狭窄支架治疗,消化系统支架植入,血液透析通路的维护,PTCD,肿瘤经皮穿刺活检,输液港植入,半永久导管置换,肠内营养管置入术等等。

健康咨询电话

    儋州市人民医院介入血管科:0898—23399125


为什么建立双输液通道输液港 偶遇“双上腔静脉”_https://www.jmylbn.com_新闻资讯_第7张

撰稿| 王永红(介入血管科)

审核| 汤继军(介入血管科)

编排| 孙佳乔(党委办)

责编| 廖理英

图片来源:儋州市人民医院护理部

为什么建立双输液通道输液港 偶遇“双上腔静脉”_https://www.jmylbn.com_新闻资讯_第8张