套扎环怎么下“中美专家谈内痔内镜下套扎治疗”学习笔记

新闻资讯2026-04-21 08:12:46

      2020年3月31日,EndoNews内镜新知举办的《痔在必行,套扎精品课(三)》线上课程,子敬因为工作忙等原因,收藏课件视频,1年后通过回放视频学习,现归纳整理出学习笔记,分享如下。

    一、内窥镜治疗内痔: 循证方法——美国密西西比大学医学中心,高级内镜及内镜研究中心主任唐守江教授 

套扎环怎么下“中美专家谈内痔内镜下套扎治疗”学习笔记_https://www.jmylbn.com_新闻资讯_第1张

    1、内痔是正常的解剖结构,痔疮是指有病理性改变或有症状的痔。美国人口中有20%被诊断出患有痔疮,女性比男性更容易患痔疮(24%比16%),预计在未来20年内,对痔疮治疗的需求将增长23%,与结肠癌,憩室病,肠易激综合症或炎症性肠病相比,痔疮的访视频率更高。 

套扎环怎么下“中美专家谈内痔内镜下套扎治疗”学习笔记_https://www.jmylbn.com_新闻资讯_第2张

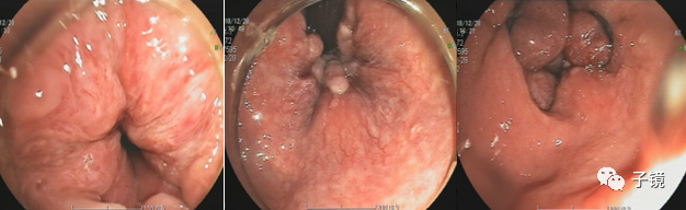
    内痔脱垂 

套扎环怎么下“中美专家谈内痔内镜下套扎治疗”学习笔记_https://www.jmylbn.com_新闻资讯_第3张

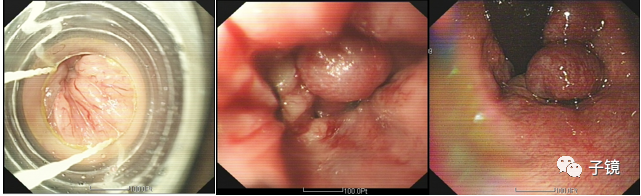
     外痔 

套扎环怎么下“中美专家谈内痔内镜下套扎治疗”学习笔记_https://www.jmylbn.com_新闻资讯_第4张

套扎环怎么下“中美专家谈内痔内镜下套扎治疗”学习笔记_https://www.jmylbn.com_新闻资讯_第5张

    2、胶圈套扎术(RBL)在美国被认为是最流行的非手术干预1995年对18项前瞻性研究的荟萃分析发现,套扎术比硬化疗法和红外光凝 (IRC)更有效;并发症发生率少于10%:疼痛5%,出血1-2%,感染0.05%,肛裂0.4%治愈率高,复发率低;套扎术简单,速度和有利的医保报销使这种治疗方法对诊所环境具有吸引力 

套扎环怎么下“中美专家谈内痔内镜下套扎治疗”学习笔记_https://www.jmylbn.com_新闻资讯_第6张

套扎环怎么下“中美专家谈内痔内镜下套扎治疗”学习笔记_https://www.jmylbn.com_新闻资讯_第7张

    3、内镜下多环套扎在齿状线上方1-2 cm放置1-3套扎环;如果需要的话在4-6周内重复。一项回顾性研究比较一次使用多环套扎和单环套扎,发现多环套扎确实有更多的不适和疼痛感(29%-4.5%),但持续时间有限,口服镇痛药具有良好的耐受性和可管理性;多环套扎减少治疗次数,更具成本效益。

    4、内镜与非内镜套扎:对二,三度出血性内痔逆行内镜套扎(平均三个环(1-6范围)一次性治疗,在80%的二度痔患者中显示出色结果;内镜下套扎比非内镜套扎具有一些优势: 非内镜套扎较难操纵,可视化效果有限。内镜下套扎提供更多套扎的位置和获得照相文件。随机研究比较了使用柔性内窥镜(逆行或顺行)的套扎术与使用刚性直肠镜的传统技术的套扎试验表明,长期疗效和安全性相似,但使用内窥镜需要的治疗次数更少,并且单次治疗的患者比例更高。

    5、RBL并发症:轻微并发症 4.7%(血栓性脱垂性痔疮,滑脱,轻微直肠出血);严重并发症,需要入院,2.5%患者(大量出血,痔疮严重血栓形成,严重疼痛,肛周脓肿和瘘管)套扎后出血通常发生在10-14天后,可能套扎后痔疮组织脱落;抗血栓治疗出血风险增加,建议在RBL之前至少1周和RBL之后2周停药脱环出血可用钛夹夹闭出血灶止血。  

套扎环怎么下“中美专家谈内痔内镜下套扎治疗”学习笔记_https://www.jmylbn.com_新闻资讯_第8张

    6、其他疗法1)红外光凝:对I级和II级痔疮有效,在4-6周内重复,安全,复发率高。2)内镜凝血:双极探头,加热器探头和APC;对I级和II级痔疮有效,在4-6周内重复,复发率高,已被套扎取代。3)硬化剂注射术:针对一级和二级痔疮, 复发率高;有时会出现严重副作用,包括性无能, 有尿保留和脓肿;一项随机研究显示长期效果可能不优于泻药。硬化剂注射治疗在美国已不用于内痔及食管静脉曲张硬化治疗

    7、痔疮的最佳治疗方法是什么橡皮筋套扎术的复发率低于竞争对手,可用于一级,二级或三级痔疮。美国胃肠病学学会和美国结肠学会的指南和直肠外科医生得出结论,橡皮筋套扎术是最有效的基于诊所的治疗方法,手术的复发率最低,但疼痛和并发症多

    8、痔疮的手术治疗包括痔疮切除术,痔疮缝合术;用于非手术治疗难治性痔疮;明显的外痔和IV级内痔;并发症:出血,脓肿形成,肛裂,狭窄,大便失禁

    二、内痔套扎术内镜下的套扎体会——厦门大学附属东南医院消化内科主任张鸣青教授 

套扎环怎么下“中美专家谈内痔内镜下套扎治疗”学习笔记_https://www.jmylbn.com_新闻资讯_第9张

    1、痔疮直肠下端和肛管皮肤下静脉丛组成的具有防止大便和废气漏出的肛垫组织;便秘等过于用力,会增加肛管负担,迫使肛垫组织的血管破裂或造成淤血,使血管周围结缔组织增生;有的血管和结缔组织会脱出肛门,这种突起的柔软肿物就被称为“痔疮”。 

套扎环怎么下“中美专家谈内痔内镜下套扎治疗”学习笔记_https://www.jmylbn.com_新闻资讯_第10张

    2、病因肛垫下移学说原因:盆底动力学改变、Treitz肌退行性变、动静脉吻合调节障碍;表现:病理性肥大、脱垂、出血、疼痛。静脉曲张学说:痔的形成主要是由静脉扩张、淤血所致;直肠静脉属门脉系统,无静脉瓣膜;直肠上下静脉丛管壁薄,位置浅;末端直肠粘膜组织松弛,周围缺乏支架固定;站立或坐位,肛门直肠位于下部,静脉回流易受障碍。 

套扎环怎么下“中美专家谈内痔内镜下套扎治疗”学习笔记_https://www.jmylbn.com_新闻资讯_第11张

    3、分类1)内痔:齿状线以上的静脉扩大曲张和充血形成的柔软静脉团。2)外痔齿状线以下的静脉丛病理性曲张、血栓瘀滞,或反复发炎导致3)混合痔:是内痔通过静脉丛与相应外痔融合,即上、下静脉丛吻合,混合痔脱出肛门外,呈梅花状时,称为环形痔,若被括约肌嵌顿,形成嵌顿性痔。 

套扎环怎么下“中美专家谈内痔内镜下套扎治疗”学习笔记_https://www.jmylbn.com_新闻资讯_第12张

套扎环怎么下“中美专家谈内痔内镜下套扎治疗”学习笔记_https://www.jmylbn.com_新闻资讯_第13张

    4、临床表现便血、肛门疼痛、直肠坠胀、肛门瘙痒、肿物脱出

    5、痔疮的治疗

    1) 治疗基础:对于有症状的痔病患者,首选的一线治疗方案包括饮食调节,包括适当的液体和纤维摄入,养成良好的排便习惯。

    2) 治疗药物地奥司明等静脉张力剂是一类用于治疗急、慢性痔病的药物,尽管作用机制不是很清楚,可能与加强血管壁、增加静脉张力和淋巴回流、以及维持正常的毛细血管通透性有关。

    3) 注射疗法:目的:硬化萎缩,脱落坏死;适应证:Ⅰ-Ⅲ度内痔;药物:5%的苯酚植物油、十四烷基硫酸钠;并发症:粘膜溃疡、坏死、菌血症、罕见的脓毒血症等。有关硬化剂注射疗法的疗效数据有限,2015年Yano.T的研究显示,硬化注射治疗Ⅲ度痔随访1年的成功率只有20%

    4) 痔切除术(外剥内扎术):是治疗混合痔的代表性的主要术式;基本要点是:齿状线以下的外痔做放射状切开并剥离切除内痔采用结扎的方法,以阻断血流循环,使其坏死脱落;对于保守治疗失败或不能耐受门诊手术(套扎、硬化剂注射和红外线凝固)、III 或 IV 度痔、或伴有严重皮赘的患者,仍然有效。缺点:切除组织较多,手术创面大,术后常出现难以忍受的疼痛,愈合时间较长,同时常出现肛门狭窄、水肿等。 

套扎环怎么下“中美专家谈内痔内镜下套扎治疗”学习笔记_https://www.jmylbn.com_新闻资讯_第14张

    5) 痔动脉结扎术(HAL):通过超声多普勒探头,准确找到痔上动脉位置,进行结扎、阻断痔核供血血管,减少进入痔核的血流量,致痔核萎缩,达到消除症状目的。创伤小、痛苦少;非根治手术,长期疗效尚待进一步观察。

    6) 痔上粘膜环切术(PPH手术) “肛垫下移学说”为理论基础,经由特制器械环状切除吻合直肠下段黏膜及黏膜下组织上提下移的肛垫使之复位在切除黏膜下组织同时也降低了动脉对痔区的血供,使痔缩小适应证Ⅲ-Ⅳ期内痔、混合痔、环形内痔。 

套扎环怎么下“中美专家谈内痔内镜下套扎治疗”学习笔记_https://www.jmylbn.com_新闻资讯_第15张


套扎环怎么下“中美专家谈内痔内镜下套扎治疗”学习笔记_https://www.jmylbn.com_新闻资讯_第16张


    7) 选择性痔上黏膜切除术(TST):是在PPH手术的基础上对原有的术式进行改良而产生的新技术,运用特制的肛门镜形成开环式的窗口,只暴露有痔区的痔上黏膜,使得切除病灶定位准确,进行针对性的切除,不破坏肛垫的完整性和功能性,维持肛门和直肠正常的精细控便功能。适应证:环形及非环形内痔、直肠黏膜脱垂、直肠前突。

    8) 红外线凝固疗法(IRC):直接应用红外线照射导致痔组织蛋白质坏死,最常用于Ⅰ度和Ⅱ度内痔。

    9) 胶圈套扎术(RBL)1954年,Blaisdell 首用套扎法治疗内痔1962年,由Barron 进行了改进并报道了痔胶圈套扎的良好疗效,是目前公认最有效的方法2008年,ElNakeeb AM等人发表的RBL连续治疗750例Ⅱ度和Ⅲ度痔的病例系列研究显示,随访2年后治愈率为93%、复发率为11% ,且不受痔的分度影响;以肛垫下移学说为理论基础而设计的一种痔的治疗方法,更符合痔的现代治疗原则;COOK痔疮枪技术是目前国际上非常高效的套扎技术,采用天然橡胶套扎环,以0.1MPa的压力不间断吸引病灶处,在极短时间达到吸引部位组织分离、坏死、干结、继而脱落、当痔疮脱落的瞬间压力吸引自动停止。

    A、原理套扎后粘膜皱缩,肛垫上提;局部炎症反应致使粘膜、粘膜下层与浅肌层粘连,肛垫固定于较高位置部分阻断痔疮血供或减少静脉倒流,减少痔的充血肥大或血流淤滞,使痔块萎缩直接套扎痔块基底部,可即刻止血

    B、适应证:各期内痔(I~III期效果最好)、混合痔内痔部分、对PPH或其他疗法后痔块或肛垫回缩不全者,可采用RBL作补充治疗;其他:直肠局灶性病变,如直肠息肉、直肠血管瘤或血管畸形等。

    C、禁忌症:有严重的心、肝,肾疾患及凝血功能障碍(包括正在进行抗凝治疗)、有盆腔放疗史、严重免疫功能缺陷、直肠及肛管有严重感染及炎性病变、近期(3个月)内有硬化剂注射治疗史 。 

套扎环怎么下“中美专家谈内痔内镜下套扎治疗”学习笔记_https://www.jmylbn.com_新闻资讯_第17张


套扎环怎么下“中美专家谈内痔内镜下套扎治疗”学习笔记_https://www.jmylbn.com_新闻资讯_第18张


套扎环怎么下“中美专家谈内痔内镜下套扎治疗”学习笔记_https://www.jmylbn.com_新闻资讯_第19张


套扎环怎么下“中美专家谈内痔内镜下套扎治疗”学习笔记_https://www.jmylbn.com_新闻资讯_第20张

    D、注意事项套扎部位充分注气,最好用CO2,以便暴露视野,首先选择病变最严重的部位进行治疗,一般在齿状线以上1~2cm套扎数目以每次1~3枚为宜错开平面同一水平面套点不要过多相邻部位最好稍微错开排便控制术前嘱病人排便,术后12小时内尽量避免排大便E、术后并发症及处理术后出血多能自愈,大量出血少见术后肛门坠胀:最常见,平卧休息约30min、坐浴、口服止痛剂;术后肛门疼痛:多可耐受,必要时止痛;术后感染:罕见致死性感染风险,酌情使用抗生素;外痔血栓形成:发生率为2%~3%,可予止痛、坐浴、手术刀挑破取出或切除血栓胶圈滑脱或断裂:选用高质量的胶圈,术后常规予通便药物,可在首次治疗后3~4周后重复套扎;溃疡形成:罕见,局部药物外用、坐浴理疗以及止痛药物。

    6、套扎的体会   

    1)结合指南合理选择治疗方案

套扎环怎么下“中美专家谈内痔内镜下套扎治疗”学习笔记_https://www.jmylbn.com_新闻资讯_第21张


套扎环怎么下“中美专家谈内痔内镜下套扎治疗”学习笔记_https://www.jmylbn.com_新闻资讯_第22张


套扎环怎么下“中美专家谈内痔内镜下套扎治疗”学习笔记_https://www.jmylbn.com_新闻资讯_第23张

 

    2)套扎部位合理选择一般在齿状线以上1~2cm,交叉位套扎套扎数目避免密集以每次1~3枚为宜,以免术后肛门狭窄。 

套扎环怎么下“中美专家谈内痔内镜下套扎治疗”学习笔记_https://www.jmylbn.com_新闻资讯_第24张

    3)术后无需常规使用抗生素,对于继发的感染可适当使用抗生素。

    4)术后护理非常重要术后以平卧位为主,减少运动术后以清淡半流、少渣饮食为主忌辛辣食物和饮酒,可适当使用润肠药;疼痛剧烈时可给予止痛、尿潴留给予导尿;痔疮膏等药物使用可减少术后并发症及肛门不适感;脱落期少许出血需观察。

    5) 树立痔疮治疗新观念保肛垫+保齿线+保肛管痔是人体关闭肛门必需的生理结构,要像保护口唇那样保护肛门

    三、回答网友提问

    1、问:痔体或痔上粘膜套扎有什么区别,套哪更有优势?

    张鸣青教授套痔体上方粘膜比较多,套痔体也可以,重要的是要在齿状线上方套扎

    唐守江教授套在痔上粘膜2cm,或1cm,或0.5cm,哪个位置好,目前没有对比数据,这是一个很好的研究;外科大夫还是主张套痔体上方的粘膜,疼痛小

    2、问:用胃镜做还是肠镜做套扎?

    唐守江教授:用成人胃镜倒镜做套扎比较好。

    3、问:如何避免套到齿状线上,套到齿状线的后果是什么?

    唐守江教授齿状线辨别很重要,要正镜和倒镜观察齿状线,然后倒镜做套扎,这样套到齿状线的可能性非常小可以刻意套齿状线1-2cm以上粘膜;如果套到齿状线,患者会有痛苦反应;如果是无痛下操作,患者复苏后会肛门明显疼痛,这个时候要再进镜把套扎环取出来,否则齿状线形成溃疡后处理很棘手

    张鸣青教授带透明帽观察齿状线,大部分腺上皮与磷状上皮还是有区别的;如果辨别不清楚,倒镜下观察,再则倒镜下治疗应该是安全的如果套到齿状线,患者肛门明显疼痛,还是要再进镜把套扎环取出来,以免出现不必要的并发症。如果是齿状线上的病灶要做治疗,要先注射利多卡因再行治疗或者改成全麻下治疗

    4、问:套扎治疗血栓性外痔的发生率高吗?

    唐守江教授:自己没有遇到过,应该非常低。

    张鸣青教授混合痔可能会发生,可以带透明帽进去,打点局麻药,把血栓挑破便可

    5、问:中药制剂,硬化剂与泡沫硬化剂的哪个更有优势?

唐守江教授:自己没有这方面的经验,有些中药应该会有活血化瘀的成份,在美国没有中药,建议国内开展这方面的对比研究。

    6、问:如何防止套扎环过早脱落并发出血?

    张鸣青教授套扎时要避免套扎部位张力过大;套扎时避免过多注气;术后要吸尽气体,液体;卧床休息,控制尽量12小时内不大便;必要时放置一根肛管协助排气。

    唐守江教授在美国食管静脉曲张和内痔套扎都是在门诊做的,套扎后回家休息,流质饮食,以避免套扎环脱落内痔套扎后可服软化大便的药物,避免腹压增高。术后抗凝药要停两周

    7、问:套扎后胶圈脱落形成溃疡是必然发生的吗?

    唐守江教授:是的,每个食道静脉曲张或内痔套扎后都会有医源性溃疡,胶圈一般在5-7天左右脱落,形成的溃疡完全修复要两周左右,形成的溃疡,不出血无需处理

    8、问:如果齿状线痔核正在出血,是套痔上1-2cm的粘膜,还是套出血的痔核?

    张鸣青教授齿状线的出血主要还是要靠压迫止血,可以在齿状线上方套粘膜,用透明帽压迫一下出血点如果仍有出血,可以打少量硬化剂,或用钛夹夹闭出血灶

    唐守江教授遇到齿状线或齿状线下方活动性出血,可以先用钛夹止血,后再套痔上粘膜

    9、问:套到齿状线的脱圈如何取下来,套扎有无穿孔的风险?

    唐守江教授套扎前一定要仔细辨认齿状线,避免套齿状线以下;如果有息肉或肿瘤等需要套齿状线的指征,术前要做好充分沟通。套扎环可以用异物钳夹住胶圈推镜身或透明帽蹭掉;套扎不会发生穿孔

    张鸣青教授万一套扎环在齿状线上引起患者痛,建议在镇静或麻醉下,直接用手指,或者用外科的止血钳打套扎取出来。如果深套可以有套穿孔,在直肠腹膜反折以下穿孔,可以用钛夹封闭或禁食两三天就可以了。

    10、问:倒镜下如果辨别截石位3、7、11点位的内痔?

    唐守江教授:倒镜下准确辨别外科肛门镜的3、7、11点有难度,内镜下套扎不必强调这个点位,以镜下内痔的红色征,血泡征等特点为主,就套这个点,一般是倒镜180度,分三个点离齿状线1-2cm均匀套

    张鸣青教授:倒镜下5点位应该就是正镜的11点位,如果不能肯定,可以带透明帽,正镜下观察,套扎时也没有强调一定要套3、7、11点位,每个套扎环有1cm左右的范围,套扎三环一般也在50%以上的范围了

 

子敬(广东省连州市人民医院潘新智)2020-03-312021-04-18整理于EndoNews内镜新知举办的《痔在必行,套扎精品课(三)》线上课程本次听课给子敬较深的印象是红色字体部分,感谢唐守江教授协助审稿!语音摘录内容不全,谨供各位老师参考。语音摘录内容可能存在不正确的地方,请各位老师批评指正,谢谢!

声明:以上是子敬(广东省连州市人民医院潘新智)个人的学习笔记,部分图片出自百度平台,如有错记、漏记、记录不完整等情况,纯属于本人问题,与授课老师无关。

欢迎关注“子镜”公众号,目前关注人数为11109“子镜”属于学习、公益型公众号,是子敬利用业余时间学习和收集消化、肝胆外科、超声介入、基础医学等各界大咖们宝贵的诊疗经验,按ERCP、ESVD、ESD、EUS、ERAT、消化道早癌诊治、内镜支架置入、内痔微创等技术分目录,分享给愿意学习和探讨的同仁,争取共同进步!   

 

套扎环怎么下“中美专家谈内痔内镜下套扎治疗”学习笔记_https://www.jmylbn.com_新闻资讯_第25张