外科拉勾怎么拉“天平拉钩”!医生的“第三只手”搞定这一肿瘤

新闻资讯2026-04-21 08:01:28
外科拉勾怎么拉“天平拉钩”!医生的“第三只手”搞定这一肿瘤_https://www.jmylbn.com_新闻资讯_第1张

“第三只手”助力!

胸心外科“天平拉钩”技术


外科拉勾怎么拉“天平拉钩”!医生的“第三只手”搞定这一肿瘤_https://www.jmylbn.com_新闻资讯_第2张



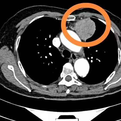
      一把神奇的“拉钩”,犹如为手术医生装上了“第三只手”,将胸骨稳稳抬起,为微创手术提供了清晰的视野和操作空间。近日,我院胸心外科创新开展了“天平拉钩”辅助剑突下单孔胸腔镜纵隔肿瘤切除术,标志着我院在胸外科微创领域再次迈出坚实一步,为患者带来了更微创、更快速康复的精准医疗新选择。

初心不改

对“更微创”的执着追求


外科拉勾怎么拉“天平拉钩”!医生的“第三只手”搞定这一肿瘤_https://www.jmylbn.com_新闻资讯_第3张
外科拉勾怎么拉“天平拉钩”!医生的“第三只手”搞定这一肿瘤_https://www.jmylbn.com_新闻资讯_第1张
外科拉勾怎么拉“天平拉钩”!医生的“第三只手”搞定这一肿瘤_https://www.jmylbn.com_新闻资讯_第5张

     微创,是外科手术发展的永恒主题。自2014年起,我院心胸外科便在自贡创新开展剑突下三孔胸腔镜纵膈肿瘤切除术,后于2016年开展剑突下单孔胸腔镜肺切除及纵隔肿瘤切除术,并凭借该技术荣获 “2018年自贡市引进新技术三等奖” 。

     然而,在纵隔肿瘤切除的实践中,团队发现,在常规器械下进行剑突下“单孔”手术,存在暴露困难、操作难度大等挑战。为确保手术患者的绝对安全和效果,科室更多地选择了更为稳妥的剑突下三孔方案。

外科拉勾怎么拉“天平拉钩”!医生的“第三只手”搞定这一肿瘤_https://www.jmylbn.com_新闻资讯_第6张

破局利器

“天平拉钩”带来革命性视野


     转机来自技术创新。由四川大学华西医院田东教授发明的 “经皮胸骨天平拉钩” ,很好地解决了这一难题。

     这把拉钩像天平一样,稳定、柔和地将胸骨抬起。在剑突下仅一个小小的切口下,拉钩从皮下小孔进入,瞬间为术者创造了一个宽阔、深邃且稳定的操作空间。它就像一双灵巧的 “第三只手” ,牢牢托起胸骨,让以往隐藏在深处的纵隔结构清晰地展现在高清显示屏上,实现“四两拨千斤”。


前沿技术应用于临床


外科拉勾怎么拉“天平拉钩”!医生的“第三只手”搞定这一肿瘤_https://www.jmylbn.com_新闻资讯_第7张

     9月24日,我院胸心外科团队将这一前沿技术应用于临床。

     手术中,当天平拉钩轻柔地将胸骨抬起,原本狭窄的纵隔区域豁然开朗,肿瘤暴露充分,周围组织关系一目了然。在清晰的视野保障下,胸心外科主任张远强精准、顺利地完成了肿瘤切除。整个手术实现了“小切口、大视野、精准操作” 的微创理念。

     手术的成功,开启了我院胸外科微创技术的新篇章。

     天平拉钩技术的引入,不仅让剑突下单孔纵隔肿瘤切除术变得安全、可行、易于推广,更重要的是,它为我们打开了新的思路。

外科拉勾怎么拉“天平拉钩”!医生的“第三只手”搞定这一肿瘤_https://www.jmylbn.com_新闻资讯_第8张
外科拉勾怎么拉“天平拉钩”!医生的“第三只手”搞定这一肿瘤_https://www.jmylbn.com_新闻资讯_第9张


科室简介


外科拉勾怎么拉“天平拉钩”!医生的“第三只手”搞定这一肿瘤_https://www.jmylbn.com_新闻资讯_第10张

     自贡市第一人民医院心胸外科成立于上世纪80年代,经过近三十年几代人的辛勤工作和不懈努力,如今已在自贡地区享有较高知名度。科室技术力量雄厚。科室人员多次到美国匹兹堡大学医学中心、中国医学科学院肿瘤医院、北京阜外心血管病医院、上海胸科医院、北京儿童医院、四川大学华西医院、四川省肿瘤医院、重庆医科大学附属医院等进修学习。发表国家级、省级科研论文30余篇,获得市卫生局新技术三等奖4项,院内优秀奖2项。科室始终瞄准国际先进技术,开展了大量以微创为特色的新技术,先后完成我市胸腹腔镜三切口食管癌根治术、单孔胸腔镜纵隔肿瘤切除术、单孔胸腔镜肺叶切除术、剑突下胸腔镜纵隔肿瘤切除术、剑突下单孔胸腔镜肺大泡切除术、剑突下单孔胸腔镜肺楔形切除术、非气管插管单孔胸腔镜肺楔形切除术、非气管插管肺叶切除术、单孔胸腔镜食管癌根治术、单孔胸腔镜单孔腹腔镜食管癌根治术、单孔充气纵隔镜加腹腔镜食管癌根治术、电磁导航肺结节精准定位术、乳晕切口肺切除术等。


胸外专家门诊表

外科拉勾怎么拉“天平拉钩”!医生的“第三只手”搞定这一肿瘤_https://www.jmylbn.com_新闻资讯_第11张
外科拉勾怎么拉“天平拉钩”!医生的“第三只手”搞定这一肿瘤_https://www.jmylbn.com_新闻资讯_第12张

预约挂号请拨打:2121048

外科拉勾怎么拉“天平拉钩”!医生的“第三只手”搞定这一肿瘤_https://www.jmylbn.com_新闻资讯_第13张