塞球囊怎么取开通闭塞血管,守住透析“生命线”——山东省中医院完成首例头臂静脉闭塞球囊扩张成形术

新闻资讯2026-04-21 07:56:54

塞球囊怎么取开通闭塞血管,守住透析“生命线”——山东省中医院完成首例头臂静脉闭塞球囊扩张成形术_https://www.jmylbn.com_新闻资讯_第1张


年仅60的田大爷是一位尿毒症患者,由于长期的透析和静脉输液治疗,他双侧上肢的浅静脉都已经非常脆弱,又因为长期的体力劳动和外伤,导致他的右上肢无法做动静脉瘘,因此左上肢的动静脉瘘就成为他持续透析的“生命线”。而最近,这个瘘也出了问题,静脉端的压力持续升高,透析时无法维持足够的流量,严重影响了田大爷的生活。

肾病科靖永胜主任为田大爷行上肢静脉造影时发现,他左侧的头臂静脉闭塞是导致其动静脉瘘问题的主要原因,静脉端回流的血液不能直接进入上腔静脉,而需要绕道颈静脉及周围其他侧枝回流才能进入体循环。为此,肾病科请我科刘政主任会诊帮忙解决这个问题。刘政主任仔细询问了田大爷的病史及造影图像后,认为行球囊扩张成形术可以很好的解决这个问题,并且创伤小,不会损伤动静脉瘘的功能。

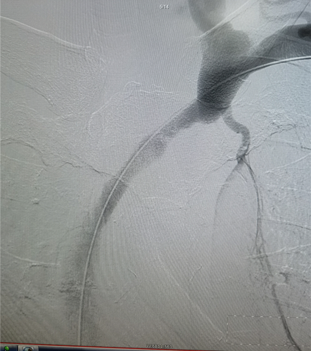
今天上午,我科刘政主任、张玉冬副主任医师、王冠主治医师会同肾病科靖永胜主任共同为田大爷进行了左头臂静脉球囊扩张成形术。术中发现患者左侧头臂静脉完全闭塞,导丝与导管正向通过阻力很大。

塞球囊怎么取开通闭塞血管,守住透析“生命线”——山东省中医院完成首例头臂静脉闭塞球囊扩张成形术_https://www.jmylbn.com_新闻资讯_第2张

遂取同侧股静脉入路,将导管置于上腔静脉,造影未能显示头臂静脉汇入口,留置导管作为标记,更换加硬导丝支撑,从上肢入路顺利通过闭塞段进入上腔静脉。

塞球囊怎么取开通闭塞血管,守住透析“生命线”——山东省中医院完成首例头臂静脉闭塞球囊扩张成形术_https://www.jmylbn.com_新闻资讯_第3张
塞球囊怎么取开通闭塞血管,守住透析“生命线”——山东省中医院完成首例头臂静脉闭塞球囊扩张成形术_https://www.jmylbn.com_新闻资讯_第4张

采用直径分别为6、8、10mm的球囊对闭塞段进行渐进性扩张,完成后造影显示左头臂静脉开通,左上肢的静脉血可以很顺畅的回流上腔静脉,动静脉瘘的压力明显降低。

塞球囊怎么取开通闭塞血管,守住透析“生命线”——山东省中医院完成首例头臂静脉闭塞球囊扩张成形术_https://www.jmylbn.com_新闻资讯_第5张

这是我院周围血管病科完成的首例头臂静脉闭塞球囊扩张成形术,本病例充分体现了我科与其他兄弟科室通过MDT合作模式为患者排忧解难的合作精神,使患者在院内就能享受到优质医疗服务。

树专科品牌,助医院腾飞,周围血管病科一直在努力!







(单选题)国家计划生育委员会是___在1981年决定设立的,其主要任务是:统一管理全国的计划生育工作,贯彻执行国家关于计划生育的方针、政策和法令等。

A

中共中央政治局

B

全国人大常委会

C

国务院

(点击选项查看答案)


塞球囊怎么取开通闭塞血管,守住透析“生命线”——山东省中医院完成首例头臂静脉闭塞球囊扩张成形术_https://www.jmylbn.com_新闻资讯_第6张

塞球囊怎么取开通闭塞血管,守住透析“生命线”——山东省中医院完成首例头臂静脉闭塞球囊扩张成形术_https://www.jmylbn.com_新闻资讯_第7张