呼吸机怎么打开Ⅱ型呼吸衰竭又陷诊断困局……当室速撞上呼吸“牢笼”,如何通过破解隐匿的神经肌肉密码打开思路,拨云见日?丨疑案探密(161)

新闻资讯2026-04-21 07:28:09

引言

当肺功能报告为“限制性通气功能障碍”时,每一位呼吸科医生的神经总会瞬间绷紧,因为大家深知这不是简单的通气管道阻塞,而是肺脏、胸廓、神经肌肉任何一环的“物理禁锢”在发出求救信号。通过本案例的分享可知,要想在肺部病变与肺外危机(如神经肌肉病累及呼吸肌)的迷雾中寻找答案,通过多学科协作可以帮助我们早期识别并干预潜在并发症,避免单一科室诊疗的局限性。


反复胸闷、心悸2月,患者Ⅱ型呼吸衰竭合并限制性肺通气障碍……聚焦睡眠呼吸暂停与肥胖低通气综合征的鉴别诊断



卷宗1


基本资料:患者男性,29岁,主诉“反复胸闷、心悸2月”于2024年1月2日入住我院心血管内科。


讲述者:李合薇


这名青年男性患者2月前无明显诱因反复心悸、胸闷,自觉心跳明显加快,每次持续几分钟至半小时,经休息后心悸症状可缓慢终止,发作时无头痛、黑矇、晕厥。

 

2023年12月19日,患者心悸症状再次发作,随即到当地医院就诊,完善血常规:白细胞计数13.36x109/L 、血红蛋白量213g/L;血生化:谷丙转氨酶 71.2U/L、尿酸428umol/L、钾5.91mmol/L;十二通道心电图提示宽QRS心动过速,予控制心室率(具体药物不详)后恢复窦性心律。为求进一步诊治来我院心血管内科就诊,门诊以“宽QRS心动过速”收住院。

 

患者未婚,平素体健,否认心肺基础疾病、否认家族遗传病史;有睡眠打鼾病史;3年前曾于当地医院行“胆囊切除术”。父母体健,有两个姐姐已逝世(大姐于5岁时病逝(腹痛后发病1小时逝世,具体叙述不清);二姐于17岁病逝(发病1周后逝世,具体病情不详)。入院后体格检查及辅助检查情况请见第二份卷宗:




卷宗2

体格检查:

T:36.5℃

R:20次/分钟

P:80次/分钟

BP:128/74mmHg

身高:165cm

体重:82kg

MBI:30.1kg/m2

不吸氧下SPO2:71%。

神情,精神可,口唇紫绀,下颌无后缩,舌体肥大,舌根后坠,软腭低垂,悬雍垂无肥大,扁桃体无肿大,咽腔稍狭窄。双肺呼吸音清,未闻及干湿啰音,心界无扩大,心律规则,心音正常,腹膨隆,无压痛及反跳痛,双下肢无水肿,无杵状指趾。


入院辅助检查:

2024-1-2血气分析:PH7.35,PaO2 70mmHg,PaCO2 56mmHg,HCO3-30.9 mmol/L,BE 3.2 mmol/L,FiO229%。

血常规:RBC 6.19x1012/L,HGB193g/L,白细胞计数正常。

血生化:AST45U/L、ALT60U/L、CHOL6.15mmol/L、TG4.51mmol/L、CK357U/L、乳酸3.12mmol/L;空腹血糖、肾功、电解质、肌钙蛋白正常。

DIC筛选:未见异常。

甲功:未见异常。

术前八项:未见异常。

小便常规:尿蛋白+-。

十二通道心电图:窦性心律,ST-T改变,前壁R波递增不良。

动态心电图:平均心率77次/分,最慢心率47次/分,最快心率112次/分,未见大于2.0秒的停搏。结论:1、窦性心律,阵发窦缓间歇性心室内传导阻滞伴ST-T改变;2、V1、V2、V3导联异常Q波,ST段抬高;3、HRV正常。

动态血压监测:正常。

颅脑MRI:双侧额、顶叶少量脑白质高信号(Fazekas1级);双侧蝶窦、右额窦及右上颌窦炎。

心脏MRI:1、心脏稍增大,余心脏MRI未见明确异常。2、二尖瓣、三尖瓣少许反流。3、主肺动脉轻度增宽。

心脏双源CT:1、左侧冠脉前降支中段长约59.1心肌桥,管腔狭窄不明显。2、双侧冠状动脉未见确切动脉粥样硬化斑块征象。

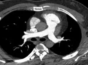
肺CTA:双肺支气管血管束增多。右肺中叶内段及左肺上叶下舌段见少许索条影。前上纵隔胸腺密度不均,考虑胸腺退化不全。心外形增大。肺动脉主干、左右肺动脉干及各叶、段、亚段肺动脉形态走行未见异常,管腔显影良好,未见确切充盈缺损病灶。(影像学资料见下图)

双下肢血管超声:未见异常。

心脏彩超:三尖瓣轻度反流。左室收缩舒张功能未见异常。估测肺动脉收缩压约37mmHg。EF:68%

肺功能:中重度限制性肺通气功能障碍。肺总量下降,残气量正常,残/总%增高。呼吸总阻抗增高,气道总阻力增高,中心气道阻力增高,周边弹性阻力正常。肺弥散功能正常。



呼吸机怎么打开Ⅱ型呼吸衰竭又陷诊断困局……当室速撞上呼吸“牢笼”,如何通过破解隐匿的神经肌肉密码打开思路,拨云见日?丨疑案探密(161)_https://www.jmylbn.com_新闻资讯_第1张


心血管内科请呼吸与危重症医学科会诊后意见如下:


1、患者肺功能提示中重度限制性肺通气功能障碍,胸部CT未见明确胸腔积液、气胸、占位、肺间质纤维化等改变,建议复查肺功能,完善相关检查积极寻找限制性肺通气功能障碍的原因;


2、患者夜间打鼾,建议请睡眠医学科会诊,完善睡眠监测,必要时佩戴呼吸机(行压力滴定确定合适参数);监测血气分析,据血气分析结果调整呼吸机参数;


3、积极治疗心脏相关疾病,及早下床,预防下肢静脉血栓、误吸及坠积性肺炎。


针对患者的临床表现和相关检查结果,心血管内科总结:患者为青年男性,肥胖体型,急性起病,胸闷、心悸就诊,发病时十二通道心电图提示宽QRS心动过速,予对症治疗转窦性心律。经心内科门诊以“宽QRS心动过速”收住院。既往有睡眠打鼾病史。入院后完善相关检查,其中血气分析提示Ⅱ型呼吸衰竭;肺功能提示中重度限制性肺通气功能障碍。请呼吸科会诊,患者胸部CT未见明确胸腔积液、气胸、占位、肺间质纤维化等改变,建议复查肺功能并积极寻找限制性肺通气功能障碍的原因。因患者夜间打鼾,建议请睡眠医学科会诊。


警惕肺功能受限的夜间呼吸陷阱……睡眠相关肺泡低通气综合征的隐匿关联


讲述者:邱敬满


睡眠医学科会诊后,建议进行多导睡眠监测检查。2024年1月4日,行便携式多导睡眠监测提示:AHI 36.5次/小时,OSA 34次,CSA 23次,MSA 10次,HP182次,最长呼吸暂停时间:48秒,最长低通气时间:79秒,平均血氧饱和度82%,最低血氧饱和度40%,小于90%氧饱占总监测时间的90%。其中,在REM睡眠期时血氧饱和度降低更为显著,明显低于NREM睡眠期时(见下图)。


呼吸机怎么打开Ⅱ型呼吸衰竭又陷诊断困局……当室速撞上呼吸“牢笼”,如何通过破解隐匿的神经肌肉密码打开思路,拨云见日?丨疑案探密(161)_https://www.jmylbn.com_新闻资讯_第2张

多导睡眠监测图示(说明:图中红框内标识的区域显示REM睡眠期时患者的血氧饱和度降低更显著,明显低于NREM睡眠期时。)


2024年1月7日,嘱患者至睡眠医学科进行整夜人工值守压力滴定。压力滴定时的PSG监测报告:AHI 14.5次/小时,OSA 2次,CSA 24次,MSA 0次,HP43次,最长呼吸暂停时间:17秒,最长低通气时间:33.5秒,平均血氧饱和度87%,最低血氧饱和度61%。


最终滴定的呼吸治疗参数为:侧卧,口鼻面罩,BiPAP-S/T,EPAP10 cmH2O,IPAP 27cmH2O,备用呼吸频率15次/分钟,同时加氧2L/min。整夜压力滴定下PSG监测趋势和压力滴定期间经皮二氧化碳趋势见下图:


呼吸机怎么打开Ⅱ型呼吸衰竭又陷诊断困局……当室速撞上呼吸“牢笼”,如何通过破解隐匿的神经肌肉密码打开思路,拨云见日?丨疑案探密(161)_https://www.jmylbn.com_新闻资讯_第3张

压力滴定时PSG监测趋势图


呼吸机怎么打开Ⅱ型呼吸衰竭又陷诊断困局……当室速撞上呼吸“牢笼”,如何通过破解隐匿的神经肌肉密码打开思路,拨云见日?丨疑案探密(161)_https://www.jmylbn.com_新闻资讯_第4张

压力滴定时经皮二氧化碳监测趋势图


压力滴定前的血气分析示:PH7.37,PaO2 45mmHg,PaCO2 52mmHg,HCO3- 29.5mmol/L,BE 2.7mmol/L,FiO2:21%;压力滴定后晨起血气分析示:PH7.40,PaO2 58mmHg,PaCO2 46mmHg,HCO3- 28.7mmol/L,BE 3.0mmol/L,FiO2:29%。

 

2024年1月9日,患者转入睡眠医学科进一步诊治。复查多导睡眠监测及同步经皮二氧化碳监测(趋势图见下图),进一步证实患者存在睡眠相关肺泡低通气。


呼吸机怎么打开Ⅱ型呼吸衰竭又陷诊断困局……当室速撞上呼吸“牢笼”,如何通过破解隐匿的神经肌肉密码打开思路,拨云见日?丨疑案探密(161)_https://www.jmylbn.com_新闻资讯_第5张

复查整夜PSG监测和经皮二氧化碳监测的趋势图(说明:图中红框内标识的区域显示REM睡眠期时患者的血氧饱和度降低更显著,经皮监测的氧分压降低而二氧化碳分压增高,明显不同于NREM睡眠期时。REM睡眠相关的血氧饱和度降低和CO2升高常常提示存在神经肌肉疾病。)


在睡眠医学科继续给予无创呼吸机辅助通气治疗,治疗模式为:口鼻罩,侧卧,床头抬高30度,BiPAP-S/T(EPAP10 cmH2O,IPAP22 cmH2O),备用呼吸频率15次/分钟,加氧3L/min。整夜血氧饱和度监测平均血氧饱和度为92%,最低血氧饱和度75%,4%氧减指数(ODI4)7.8次/小时。整夜血氧脉搏监测趋势图见下图:


呼吸机怎么打开Ⅱ型呼吸衰竭又陷诊断困局……当室速撞上呼吸“牢笼”,如何通过破解隐匿的神经肌肉密码打开思路,拨云见日?丨疑案探密(161)_https://www.jmylbn.com_新闻资讯_第6张

呼吸机治疗下整夜血氧脉搏趋势图


复查呼吸机治疗后血气分析示:PH7.38,PaO2 65mmHg,PaCO2 52mmHg,HCO3- 27.3mmol/L,BE 0.4mmol/L,FiO2:33%。在此呼吸机治疗参数下,患者能良好适应呼吸机,睡眠改善,夜间血氧基本达标。

 

进一步完善呼吸中枢调控功能检查,并复查心电图及动态心电图:

 

呼吸中枢驱动功能检测结果示:1、低氧呼吸中枢驱动反应性为0.17L.min-1.%-1,低于实验正常值;2、高CO2呼吸中枢驱动反应性为0.51L.min-1.mmHg-1,低于实验正常值。

 

复查心电图示:窦性心律;ST-T改变(抬高);心脏顺钟向转位;一度房室传导阻滞。

 

复查动态心电图示:平均心率70次/分,最慢心率42次/分,最快心率141次/分,未见大于2.0秒的停搏。室性早搏有187个,最多室性早搏发生于11时为60个,有1阵室性二联律,有11阵室性三联律。结论如下:


1、窦性心律,阵发长R-R间期(最长1.82秒);

2、偶发室性早搏,阵发二、三联律;

3、心室内传导阻滞;

4、V1-V3导联R波递增不良,部分导联ST-T改变,阵发可见I、AVL导联异常Q波;

5、HRV正常。


肌电图如何揭穿限制性通气功能障碍与睡眠肺泡低通气的神经共谋?……能否找到被隐藏的元凶?


讲述者:李红艳


根据患者存在限制性肺通气功能障碍和睡眠相关肺泡低通气与Ⅱ型呼吸衰竭,需逐一排除限制性肺通气功能障碍的常见病因及睡眠相关肺泡低通气的常见疾病。

 

限制性肺通气功能障碍的常见病因:1、肺实质疾病(肺内因素):间质性肺疾病、肺水肿、肺切除术后;2、胸膜与胸壁疾病(肺外因素):胸膜疾病(胸腔积液、胸膜增厚/纤维化、气胸);胸壁畸形/僵硬(脊柱畸形、强直性脊柱炎、肥胖等);胸壁肿瘤或巨大肿块压迫;3、神经肌肉疾病(周围神经病变、神经肌肉接头疾病、肌肉疾病、中枢神经系统疾病);4、其他。

 

睡眠相关肺泡低通气的常见疾病:肥胖低通气综合征、CCHS、LO-CCHS、ICAH、药物或其他物质致睡眠相关肺泡低通气、内科疾病所致睡眠相关肺泡低通气(包括呼吸中枢功能受损、神经肌肉疾病、严重甲状腺功能减退等)。

 

综上,目前考虑患者的诊断为:肥胖低通气综合征?神经肌肉疾病继发性睡眠肺泡低通气?

 

进一步完善神经内科肌电图/诱发电位检查,结果如下:


呼吸机怎么打开Ⅱ型呼吸衰竭又陷诊断困局……当室速撞上呼吸“牢笼”,如何通过破解隐匿的神经肌肉密码打开思路,拨云见日?丨疑案探密(161)_https://www.jmylbn.com_新闻资讯_第7张

肌电图/诱发电位检查报告


根据患者临床表现和目前所有相关检查的结果,我们邀请心内科、神经内科、眼科进行多学科会诊。

 

神经内科会诊:患者自初中起体育成绩较差,在活动初期可出现肢体无力,多次活动后症状能改善,无明显肢体乏力,自觉对生活无影响。否认撞击后肌球形成。查体:矮胖体型,口唇发绀,稍秃顶,双眼睑遮瞳,下垂外翻,用口呼吸,四肢肌肉发达紧绷,双眼轻微白内障,眼球各方向活动可,瞳孔对光反射灵敏,闭目力可,四肢瞬间肌力5级,腱反射活跃,病理征未引出,可引出明显肌强直现象。

 

印象:1、强直性肌病待查2、眼睑下垂待查3、胸腺残留。


处理:1、必要时完善重症肌无力相关抗体检查,病情允许完善新斯的明试验排外重症肌无力;2、完善肌肉活检;建议完善强直性肌营养不良基因检查;3、患者有猝死风险,需与患者及家属充分沟通。


呼吸机怎么打开Ⅱ型呼吸衰竭又陷诊断困局……当室速撞上呼吸“牢笼”,如何通过破解隐匿的神经肌肉密码打开思路,拨云见日?丨疑案探密(161)_https://www.jmylbn.com_新闻资讯_第8张



心内科会诊后诊断为:1、宽QRS心动过速 2、重度阻塞性睡眠呼吸暂停低通气综合征3、Ⅱ型呼吸衰竭。建议:1、患者入院后动态心电图、心电监护未见宽QRS心动过速发作,结合患者重度阻塞性睡眠呼吸暂停低通气综合征并Ⅱ型呼吸衰竭病史,目前不能排外缺氧引起心律失常,请积极治疗重度阻塞性睡眠呼吸暂停,改善缺氧。2、抗心律失常治疗:比索洛尔2.5-5mg qd,根据心率调整剂量。3、目前不考虑射频消融术,3月后复查动态心电图。

 

眼科会诊后诊断为:双眼白内障(初期),建议:定期眼科门诊复查随诊,如出现视力骤降、眼痛、眼胀及时眼科就诊。

 

据神经内科会诊意见,完善肌肉活检及基因检测,肌肉活检、基因检测(见下图)结果如下:


呼吸机怎么打开Ⅱ型呼吸衰竭又陷诊断困局……当室速撞上呼吸“牢笼”,如何通过破解隐匿的神经肌肉密码打开思路,拨云见日?丨疑案探密(161)_https://www.jmylbn.com_新闻资讯_第9张

肌肉活检报告↑


呼吸机怎么打开Ⅱ型呼吸衰竭又陷诊断困局……当室速撞上呼吸“牢笼”,如何通过破解隐匿的神经肌肉密码打开思路,拨云见日?丨疑案探密(161)_https://www.jmylbn.com_新闻资讯_第10张

基因检测报告↑


患者最终诊断为

1、神经肌肉疾病所致继发性睡眠相关肺泡低通气

2、Ⅱ型呼吸衰竭

3、强直性肌营养不良DM1型

4、心律失常

5、双眼白内障(初期)

6、继发性红细胞增多症

7、肺动脉高压

8、肝损害

9、高脂血症

10、高尿酸血症

11、心肌桥


患者明确诊断后,因存在二氧化碳潴留,逐步调整呼吸机治疗模式为:口鼻罩,侧卧,床头抬高30度,BiPAP-S/T(EPAP 9 cmH2O,IPAP 24 cmH2O),备用呼吸频率15次/分钟,加氧1L/min。整夜血氧脉搏监测平均血氧饱和度93%,最低血氧饱和度86%,ODI45.6次/小时。复查治疗后晨起血气分析:PH7.41,PaO2 70mmHg,PaCO2 41mmHg,HCO3- 25.2mmol/L,BE 1.4mmol/L。呼吸机治疗有效,II型呼吸衰竭纠正。出院后继续相同参数呼吸机治疗,未加氧。3个月后电话随访,患者坚持夜间佩戴呼吸机治疗,未再出现心悸、胸闷症状。


吕云辉主任点评

 

1、本例患者以心悸、胸闷起病,入院后检查发现心律不齐,同时发现存在明显Ⅱ型呼吸衰竭,红细胞增多、肺动脉高压,提示存在长期慢性缺氧。但肺功能检查却提示中重度限制性肺通气功能障碍,肺部CT检查也未发现明显异常,临床表现看似存在诸多矛盾点。进一步行PSG+经皮二氧化碳监测证实患者存在睡眠相关肺泡低通气,呼吸中枢对低氧和高CO2驱动的反应性也降低。

   

2、进一步梳理可以导致限制性肺通气功能障碍的常见病因及导致睡眠相关肺泡低通气的常见病因,发现二者在神经肌肉疾病这个点上有重合。通过肌电图/神经诱发电位检查,发现肌肉存在肌源性受损和肌强直电位,临床查体发现肌强直表现。进一步行肌肉活检和基因检测,证实患者为强直性肌营养不良DM1型。明确诊断后,采取夜间无创通气支持治疗,调整治疗参数,治疗有效,患者病情好转,出院后长期无创通气支持治疗。

 

3、尽管本例患者是以非呼吸系统的症状来诊,但破局的关键点却是发现患者存在睡眠相关肺泡低通气和限制性肺通气功能障碍,所以临床上除了注重常规胸部影像学和肺功能检查外,对于不明原因的呼吸衰竭,关注睡眠相关呼吸障碍的检测也是非常重要甚至是必不可少的一个环节!



参考文献 (可上下滑动浏览)


1.Timothy MM. differential diagnosis of myotonic disorders [J]. Muscle Nerve 37: 293–299, 2008

2.Mathias P, Catherine T, Pierre K, et al. Lack of correlation between the ventilatory response to CO2 and lung function impairment inmyotonic dystrophy patients: Evidence for a dysregulation at central level [J] Neuromuscular Disorders 25 (2015) 403–408

3.Esen K,Gulfer O,Caglar C,et al. Sleep apnea in adult myotonic dystrophy patients who have no excessive daytime sleepiness [J] Sleep Breath (2010) 14:19-24 eep-relbreat



专家介绍

呼吸机怎么打开Ⅱ型呼吸衰竭又陷诊断困局……当室速撞上呼吸“牢笼”,如何通过破解隐匿的神经肌肉密码打开思路,拨云见日?丨疑案探密(161)_https://www.jmylbn.com_新闻资讯_第11张

吕云辉

云南省第一人民医院睡眠医学科主任;主任医师,教授;中国睡眠研究会常务理事;中国老年医学会睡眠分会副会长;中国医师协会睡眠医学专业委员会常务委员;中国睡眠研究会睡眠医学发展工作委员会主任委员;云南省医师协会睡眠医学专业委员会主任委员。


呼吸机怎么打开Ⅱ型呼吸衰竭又陷诊断困局……当室速撞上呼吸“牢笼”,如何通过破解隐匿的神经肌肉密码打开思路,拨云见日?丨疑案探密(161)_https://www.jmylbn.com_新闻资讯_第12张

邱敬满

云南省第一人民医院睡眠医学科主治医师,硕士研究生,中国睡眠研究会青年委员,中国极端环境与睡眠专委会委员,中国罕见病联盟发作性睡病专业委员会委员。从事睡眠医学临床、教学、科研工作10余年。参加国家自然科学基金项目1项,省级项目基金1项。发表SCI文章2篇。


呼吸机怎么打开Ⅱ型呼吸衰竭又陷诊断困局……当室速撞上呼吸“牢笼”,如何通过破解隐匿的神经肌肉密码打开思路,拨云见日?丨疑案探密(161)_https://www.jmylbn.com_新闻资讯_第13张

李合薇

云南省第一人民医院睡眠医学科主治医师;擅长:睡眠呼吸暂停低通气综合征、睡眠障碍、发作性睡病、不宁腿综合征、异态睡眠等睡眠相关疾病诊治。2015年8月-2018年8月:云南省第一人民医院内科基地住院医师规范化培训;2018年8月至今:云南省第一人民医院睡眠医学科工作。

呼吸机怎么打开Ⅱ型呼吸衰竭又陷诊断困局……当室速撞上呼吸“牢笼”,如何通过破解隐匿的神经肌肉密码打开思路,拨云见日?丨疑案探密(161)_https://www.jmylbn.com_新闻资讯_第14张

李红艳

住院医师,昆明理工大学第一附属医院云南省第一人民医院睡眠医学硕士研究生在读。