这篇文章是有关准确安装矫治器及临床注意事项的经验分享,如果你感兴趣的话,那就继续看下去吧!你会get到新知识的。
1、粘托槽的时候,如果无法明确判断牙齿的三维形态,可以把石膏模型放在旁边。最好在粘托槽之前,仔细分析石膏模型,观察牙齿的三维形态。一定要从颌面检查托槽是否在牙齿的近远中向的中心位置,可以利用口镜在口内从颌面观察托槽位置。必要时,也可以根据全景片明确牙体长轴(图1,图2)。
2、双尖牙的托槽要与牙长轴一致,垂直向位置应该在临床冠中心偏向龈方(图3,图4)。
3、前牙3-3,托槽的垂直高度应该在临床冠中心,但是同时还要彼此高度协调(表1-1)。

1、上颌带环需要带有口外弓管,下颌带环舌侧选择带蝴蝶翼的。这样方便在后期必要的时候进行磨牙交互牵引(图5,图6)。
2、试带环的时候,不要选择过紧的带环,带环太小无法在磨牙牙冠上做调整;带环也不能太大,不要指望用粘结剂充填过大的带环和牙冠空间,过大的带环在矫治过程中很容易脱落。要保证带环的颊管位置应该在磨牙牙冠的临床冠中心,带环颊管的近中边缘应与磨牙的近中颊尖中央脊对齐,颊管与磨牙近远中颊尖连线平行(图7)。
3、颊面管的粘结定位为第一磨牙的颊面管应位于牙齿的临床冠中心,与磨牙近远中颊尖连线平行,上颌第二磨牙的颊面管位于临床冠中心偏颌方0.5mm。如此可以保存上颌磨牙后部的补偿曲线(图8,图9)。
注:儿童的磨牙通常使用带环,成人的磨牙通常使用颊面管。
托槽、带环的脱落是正畸临床很常见的现象。除了患者不在意、不配合的原因,还要从我们治疗过程中找原因。
1、原因:
-
很多医生喜欢在下颌牙面做玻璃离子颌垫,但玻璃离子很容易被磨耗掉,同时患者张口就会被看见,美观性差,并且由于玻璃离子与牙体颜色接近,去除时也容易损伤牙体组织。
-
建议在患者戴矫治器初期不要过早地粘下颌托槽,这样既能增加舒适性,又能减少托槽的脱落率。
-
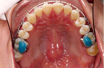
下颌粘托槽的时候,如果上颌牙尖咬到了下颌托槽上,可以在上颌磨牙工作尖的工作面做蓝色树脂颌垫(图10)。

-
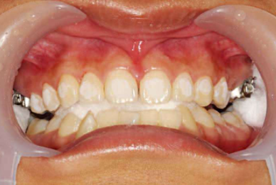
粘托槽的时候,要做到抛光、酸蚀、吹干、充分隔湿。除了防止唾液污染酸蚀牙面,还要防止牙龈出血对牙面的污染。对于牙龈容易出血的患者,需要先洗牙,几天后再粘托槽(图11,图12)。

今天的分享就到这里了,如果你感觉有用,不妨留个赞再走吧,感谢!
参考书源:现代口腔正畸技术与临床思维 (现代实用口腔医学著译丛书),作者:张栋梁,出版社:清华大学出版社,出版时间:2016-09
本文来源网络,如有侵权请联系我们删除。本平台发布的所有内容,仅作为分享参考,并不代表本平台观点,请理性阅读。

觉得不错 请戳赞 ↓↓↓